二甲亚砜致多发性骨髓瘤癫痫1例。

IF 2.8 Q2 HEMATOLOGY
Ho Cheol Jang, Ga-Young Song, Mihee Kim, Seo-Yeon Ahn, Jae-Sook Ahn, Deok-Hwan Yang, Hyeoung-Joon Kim, Je-Jung Lee, Sung-Hoon Jung
{"title":"二甲亚砜致多发性骨髓瘤癫痫1例。","authors":"Ho Cheol Jang, Ga-Young Song, Mihee Kim, Seo-Yeon Ahn, Jae-Sook Ahn, Deok-Hwan Yang, Hyeoung-Joon Kim, Je-Jung Lee, Sung-Hoon Jung","doi":"10.1007/s44313-025-00063-9","DOIUrl":null,"url":null,"abstract":"","PeriodicalId":46224,"journal":{"name":"Blood Research","volume":"60 1","pages":"14"},"PeriodicalIF":2.8000,"publicationDate":"2025-03-04","publicationTypes":"Journal Article","fieldsOfStudy":null,"isOpenAccess":false,"openAccessPdf":"https://www.ncbi.nlm.nih.gov/pmc/articles/PMC11880447/pdf/","citationCount":"0","resultStr":"{\"title\":\"A case of dimethyl sulfoxide-induced seizure in multiple myeloma.\",\"authors\":\"Ho Cheol Jang, Ga-Young Song, Mihee Kim, Seo-Yeon Ahn, Jae-Sook Ahn, Deok-Hwan Yang, Hyeoung-Joon Kim, Je-Jung Lee, Sung-Hoon Jung\",\"doi\":\"10.1007/s44313-025-00063-9\",\"DOIUrl\":null,\"url\":null,\"abstract\":\"\",\"PeriodicalId\":46224,\"journal\":{\"name\":\"Blood Research\",\"volume\":\"60 1\",\"pages\":\"14\"},\"PeriodicalIF\":2.8000,\"publicationDate\":\"2025-03-04\",\"publicationTypes\":\"Journal Article\",\"fieldsOfStudy\":null,\"isOpenAccess\":false,\"openAccessPdf\":\"https://www.ncbi.nlm.nih.gov/pmc/articles/PMC11880447/pdf/\",\"citationCount\":\"0\",\"resultStr\":null,\"platform\":\"Semanticscholar\",\"paperid\":null,\"PeriodicalName\":\"Blood Research\",\"FirstCategoryId\":\"1085\",\"ListUrlMain\":\"https://doi.org/10.1007/s44313-025-00063-9\",\"RegionNum\":0,\"RegionCategory\":null,\"ArticlePicture\":[],\"TitleCN\":null,\"AbstractTextCN\":null,\"PMCID\":null,\"EPubDate\":\"\",\"PubModel\":\"\",\"JCR\":\"Q2\",\"JCRName\":\"HEMATOLOGY\",\"Score\":null,\"Total\":0}","platform":"Semanticscholar","paperid":null,"PeriodicalName":"Blood Research","FirstCategoryId":"1085","ListUrlMain":"https://doi.org/10.1007/s44313-025-00063-9","RegionNum":0,"RegionCategory":null,"ArticlePicture":[],"TitleCN":null,"AbstractTextCN":null,"PMCID":null,"EPubDate":"","PubModel":"","JCR":"Q2","JCRName":"HEMATOLOGY","Score":null,"Total":0}
引用次数: 0

摘要

本文章由计算机程序翻译,如有差异,请以英文原文为准。

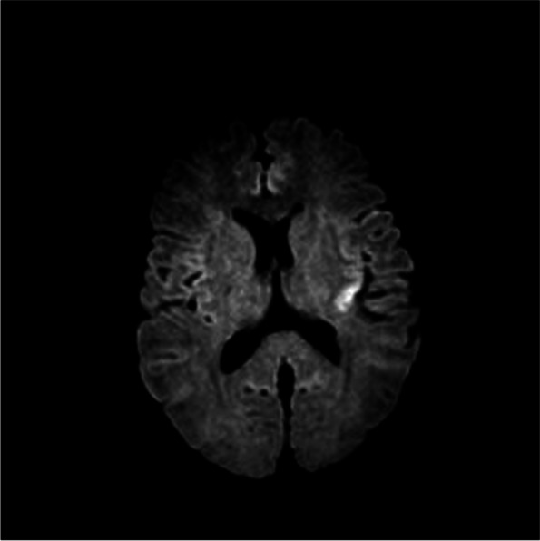
A case of dimethyl sulfoxide-induced seizure in multiple myeloma.

A case of dimethyl sulfoxide-induced seizure in multiple myeloma.
求助全文
通过发布文献求助,成功后即可免费获取论文全文。 去求助
来源期刊
Blood Research
Blood Research HEMATOLOGY-
CiteScore
3.70
自引率
0.00%
发文量
64
×
引用
GB/T 7714-2015
复制
MLA
复制
APA
复制
导出至
BibTeX EndNote RefMan NoteFirst NoteExpress
×
提示
您的信息不完整,为了账户安全,请先补充。
现在去补充
×
提示
您因"违规操作"
具体请查看互助需知
我知道了
×
提示
确定
请完成安全验证×
copy
已复制链接
快去分享给好友吧!
我知道了
右上角分享
点击右上角分享
0
联系我们:info@booksci.cn Book学术提供免费学术资源搜索服务,方便国内外学者检索中英文文献。致力于提供最便捷和优质的服务体验。 Copyright © 2023 布克学术 All rights reserved.
京ICP备2023020795号-1
ghs 京公网安备 11010802042870号
Book学术文献互助
Book学术文献互助群
群 号:604180095
Book学术官方微信