CK7免疫反应性在预测宫颈上皮内瘤变进展中的作用:一项回顾性横断面研究

Q3 Medicine
Iranian Journal of Pathology Pub Date : 2024-01-01 Epub Date: 2024-10-02 DOI:10.30699/IJP.2024.2019662.3239
Soheila Sarmadi, Fatemeh Nili, Kiana Anousha
{"title":"CK7免疫反应性在预测宫颈上皮内瘤变进展中的作用:一项回顾性横断面研究","authors":"Soheila Sarmadi, Fatemeh Nili, Kiana Anousha","doi":"10.30699/IJP.2024.2019662.3239","DOIUrl":null,"url":null,"abstract":"<p><strong>Background & objective: </strong>Cervical intraepithelial squamous lesions (SIL) are the first step toward developing most cervical cancers. Moreover, most of the previous studies focusing on a reliable predictive factor of cervical cancer progression have been reported as inconclusive. Recently, immunophenotyping of squamocolumnar junction cells with CK7 has been introduced as a novel SIL detection and risk evaluation method. Therefore, we aimed to investigate the value of CK7 positivity and its pattern in predicting the progression of LSIL to high-grade counterparts.</p><p><strong>Methods: </strong>This retrospective study was conducted in Yas Complex Hospital from 2016 to 2018 among patients of the clinic of colonoscopy. Patients with low-grade lesions were included in one group, and patients with high-grade lesions were considered as a control group. The immunoreactivity of CK7 by immunohistochemical staining pattern was interpreted in both groups.</p><p><strong>Results: </strong>CK7 immunoreactivity was negative in 29.5% of the precancerous lesions and positive in 70.5%. The relationship between grade and CK7 staining was significant (<i>P</i> = 0.040). A significant relationship between the progression status of the disease and CK7 staining was obtained (<i>P</i>=0.001). CK7 staining showed a sensitivity of 82.35%, specificity of 81.82%, positive predictive value of 87.5%, negative predictive value of 75%, and diagnostic accuracy of 82.14% in predicting the progression of the SILs.</p><p><strong>Conclusion: </strong>Our data and previous studies support the correlation of CK7 expression with a higher chance of progression of low-grade intraepithelial lesions.</p>","PeriodicalId":38900,"journal":{"name":"Iranian Journal of Pathology","volume":"19 4","pages":"384-391"},"PeriodicalIF":0.0000,"publicationDate":"2024-01-01","publicationTypes":"Journal Article","fieldsOfStudy":null,"isOpenAccess":false,"openAccessPdf":"https://www.ncbi.nlm.nih.gov/pmc/articles/PMC11872037/pdf/","citationCount":"0","resultStr":"{\"title\":\"Role of CK7 Immunoreactivity in Predicting Progression of the Cervical Intraepithelial Neoplasia: A Retrospective Cross-sectional Study.\",\"authors\":\"Soheila Sarmadi, Fatemeh Nili, Kiana Anousha\",\"doi\":\"10.30699/IJP.2024.2019662.3239\",\"DOIUrl\":null,\"url\":null,\"abstract\":\"<p><strong>Background & objective: </strong>Cervical intraepithelial squamous lesions (SIL) are the first step toward developing most cervical cancers. Moreover, most of the previous studies focusing on a reliable predictive factor of cervical cancer progression have been reported as inconclusive. Recently, immunophenotyping of squamocolumnar junction cells with CK7 has been introduced as a novel SIL detection and risk evaluation method. Therefore, we aimed to investigate the value of CK7 positivity and its pattern in predicting the progression of LSIL to high-grade counterparts.</p><p><strong>Methods: </strong>This retrospective study was conducted in Yas Complex Hospital from 2016 to 2018 among patients of the clinic of colonoscopy. Patients with low-grade lesions were included in one group, and patients with high-grade lesions were considered as a control group. The immunoreactivity of CK7 by immunohistochemical staining pattern was interpreted in both groups.</p><p><strong>Results: </strong>CK7 immunoreactivity was negative in 29.5% of the precancerous lesions and positive in 70.5%. The relationship between grade and CK7 staining was significant (<i>P</i> = 0.040). A significant relationship between the progression status of the disease and CK7 staining was obtained (<i>P</i>=0.001). CK7 staining showed a sensitivity of 82.35%, specificity of 81.82%, positive predictive value of 87.5%, negative predictive value of 75%, and diagnostic accuracy of 82.14% in predicting the progression of the SILs.</p><p><strong>Conclusion: </strong>Our data and previous studies support the correlation of CK7 expression with a higher chance of progression of low-grade intraepithelial lesions.</p>\",\"PeriodicalId\":38900,\"journal\":{\"name\":\"Iranian Journal of Pathology\",\"volume\":\"19 4\",\"pages\":\"384-391\"},\"PeriodicalIF\":0.0000,\"publicationDate\":\"2024-01-01\",\"publicationTypes\":\"Journal Article\",\"fieldsOfStudy\":null,\"isOpenAccess\":false,\"openAccessPdf\":\"https://www.ncbi.nlm.nih.gov/pmc/articles/PMC11872037/pdf/\",\"citationCount\":\"0\",\"resultStr\":null,\"platform\":\"Semanticscholar\",\"paperid\":null,\"PeriodicalName\":\"Iranian Journal of Pathology\",\"FirstCategoryId\":\"1085\",\"ListUrlMain\":\"https://doi.org/10.30699/IJP.2024.2019662.3239\",\"RegionNum\":0,\"RegionCategory\":null,\"ArticlePicture\":[],\"TitleCN\":null,\"AbstractTextCN\":null,\"PMCID\":null,\"EPubDate\":\"2024/10/2 0:00:00\",\"PubModel\":\"Epub\",\"JCR\":\"Q3\",\"JCRName\":\"Medicine\",\"Score\":null,\"Total\":0}","platform":"Semanticscholar","paperid":null,"PeriodicalName":"Iranian Journal of Pathology","FirstCategoryId":"1085","ListUrlMain":"https://doi.org/10.30699/IJP.2024.2019662.3239","RegionNum":0,"RegionCategory":null,"ArticlePicture":[],"TitleCN":null,"AbstractTextCN":null,"PMCID":null,"EPubDate":"2024/10/2 0:00:00","PubModel":"Epub","JCR":"Q3","JCRName":"Medicine","Score":null,"Total":0}
引用次数: 0

摘要

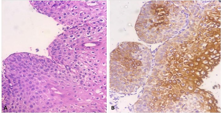
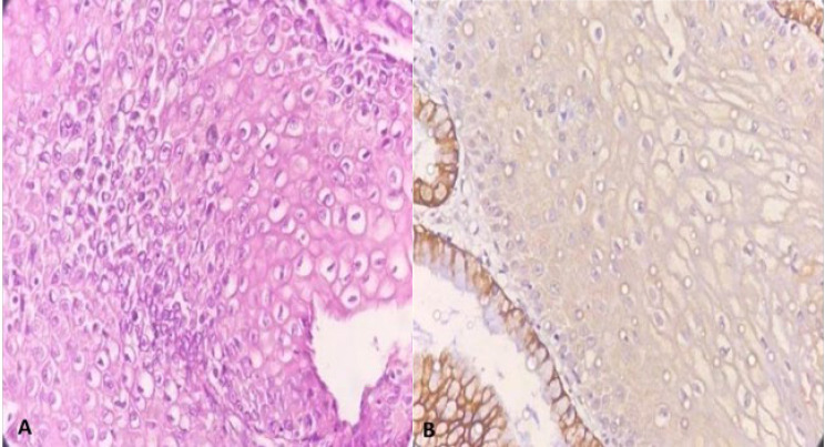
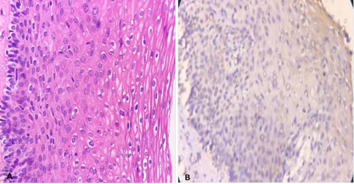
背景与目的:宫颈上皮内鳞状病变(SIL)是发展为大多数宫颈癌的第一步。此外,大多数先前的研究集中于宫颈癌进展的可靠预测因素,据报道是不确定的。近年来,鳞状柱连接细胞的CK7免疫分型被引入作为一种新的SIL检测和风险评估方法。因此,我们旨在探讨CK7阳性的价值及其模式在预测低级别sil向高级别病变进展中的作用。方法:对2016 - 2018年亚斯综合医院结肠镜门诊患者进行回顾性研究。低级别病变患者为一组,高级别病变患者为对照组。免疫组化染色法分析两组CK7的免疫反应性。结果:癌前病变中CK7免疫反应性为阴性的占29.5%,阳性的占70.5%。CK7染色与分级有显著关系(P = 0.040)。CK7染色与疾病进展状态有显著关系(P=0.001)。CK7染色预测SILs进展的敏感性为82.35%,特异性为81.82%,阳性预测值为87.5%,阴性预测值为75%,诊断准确率为82.14%。结论:我们的数据和先前的研究支持CK7表达与低级别上皮内病变进展的更高几率相关。
本文章由计算机程序翻译,如有差异,请以英文原文为准。

Role of CK7 Immunoreactivity in Predicting Progression of the Cervical Intraepithelial Neoplasia: A Retrospective Cross-sectional Study.

Role of CK7 Immunoreactivity in Predicting Progression of the Cervical Intraepithelial Neoplasia: A Retrospective Cross-sectional Study.

Role of CK7 Immunoreactivity in Predicting Progression of the Cervical Intraepithelial Neoplasia: A Retrospective Cross-sectional Study.

Role of CK7 Immunoreactivity in Predicting Progression of the Cervical Intraepithelial Neoplasia: A Retrospective Cross-sectional Study.

Background & objective: Cervical intraepithelial squamous lesions (SIL) are the first step toward developing most cervical cancers. Moreover, most of the previous studies focusing on a reliable predictive factor of cervical cancer progression have been reported as inconclusive. Recently, immunophenotyping of squamocolumnar junction cells with CK7 has been introduced as a novel SIL detection and risk evaluation method. Therefore, we aimed to investigate the value of CK7 positivity and its pattern in predicting the progression of LSIL to high-grade counterparts.

Methods: This retrospective study was conducted in Yas Complex Hospital from 2016 to 2018 among patients of the clinic of colonoscopy. Patients with low-grade lesions were included in one group, and patients with high-grade lesions were considered as a control group. The immunoreactivity of CK7 by immunohistochemical staining pattern was interpreted in both groups.

Results: CK7 immunoreactivity was negative in 29.5% of the precancerous lesions and positive in 70.5%. The relationship between grade and CK7 staining was significant (P = 0.040). A significant relationship between the progression status of the disease and CK7 staining was obtained (P=0.001). CK7 staining showed a sensitivity of 82.35%, specificity of 81.82%, positive predictive value of 87.5%, negative predictive value of 75%, and diagnostic accuracy of 82.14% in predicting the progression of the SILs.

Conclusion: Our data and previous studies support the correlation of CK7 expression with a higher chance of progression of low-grade intraepithelial lesions.

求助全文
通过发布文献求助,成功后即可免费获取论文全文。 去求助
来源期刊
Iranian Journal of Pathology
Iranian Journal of Pathology Medicine-Pathology and Forensic Medicine
CiteScore
2.00
自引率
0.00%
发文量
99
审稿时长
20 weeks
×
引用
GB/T 7714-2015
复制
MLA
复制
APA
复制
导出至
BibTeX EndNote RefMan NoteFirst NoteExpress
×
提示
您的信息不完整,为了账户安全,请先补充。
现在去补充
×
提示
您因"违规操作"
具体请查看互助需知
我知道了
×
提示
确定
请完成安全验证×
copy
已复制链接
快去分享给好友吧!
我知道了
右上角分享
点击右上角分享
0
联系我们:info@booksci.cn Book学术提供免费学术资源搜索服务,方便国内外学者检索中英文文献。致力于提供最便捷和优质的服务体验。 Copyright © 2023 布克学术 All rights reserved.
京ICP备2023020795号-1
ghs 京公网安备 11010802042870号
Book学术文献互助
Book学术文献互助群
群 号:604180095
Book学术官方微信