伴有胃肠功能症状的多动性埃勒-丹洛斯综合征患者与健康人群内脏下垂的影像学鉴别

IF 3 3区 医学 Q2 GASTROENTEROLOGY & HEPATOLOGY
Yin Chan, Bianca W Chang, Amrit K Kamboj, Yaniv Raphael, Richard Sukov, Ali Rezaie
{"title":"伴有胃肠功能症状的多动性埃勒-丹洛斯综合征患者与健康人群内脏下垂的影像学鉴别","authors":"Yin Chan, Bianca W Chang, Amrit K Kamboj, Yaniv Raphael, Richard Sukov, Ali Rezaie","doi":"10.14309/ctg.0000000000000834","DOIUrl":null,"url":null,"abstract":"<p><strong>Introduction: </strong>Visceroptosis is a potential cause of gastrointestinal symptoms in hypermobile Ehlers-Danlos syndrome (hEDS).</p><p><strong>Methods: </strong>We systematically examined the prolapse of abdominal organs below their natural supine position (visceroptosis) during the upright small bowel barium study in healthy and hEDS subjects with irritable bowel syndrome.</p><p><strong>Results: </strong>Comparison of age- and sex-matched healthy (n = 20) and hEDS (n = 10) subjects did not show any significant difference in dynamic movement of the viscera. Subgroup analysis did not demonstrate any correlation between the degree of prolapse, clinical symptoms, and hypermobility clinical (Beighton) scores. The interobserver reliability for 3 of the 4 anatomic landmarks showed \"moderate\" or \"good\" correlation based on their interclass correlation coefficients.</p><p><strong>Discussion: </strong>Patients with hEDS do not appear to have a significantly increased incidence of visceroptosis.</p>","PeriodicalId":10278,"journal":{"name":"Clinical and Translational Gastroenterology","volume":" ","pages":"e00834"},"PeriodicalIF":3.0000,"publicationDate":"2025-05-01","publicationTypes":"Journal Article","fieldsOfStudy":null,"isOpenAccess":false,"openAccessPdf":"https://www.ncbi.nlm.nih.gov/pmc/articles/PMC12101917/pdf/","citationCount":"0","resultStr":"{\"title\":\"Radiographic Identification of Visceroptosis in Patients With Hypermobile Ehlers-Danlos Syndrome With Functional Gastrointestinal Symptoms Compared With Healthy Subjects.\",\"authors\":\"Yin Chan, Bianca W Chang, Amrit K Kamboj, Yaniv Raphael, Richard Sukov, Ali Rezaie\",\"doi\":\"10.14309/ctg.0000000000000834\",\"DOIUrl\":null,\"url\":null,\"abstract\":\"<p><strong>Introduction: </strong>Visceroptosis is a potential cause of gastrointestinal symptoms in hypermobile Ehlers-Danlos syndrome (hEDS).</p><p><strong>Methods: </strong>We systematically examined the prolapse of abdominal organs below their natural supine position (visceroptosis) during the upright small bowel barium study in healthy and hEDS subjects with irritable bowel syndrome.</p><p><strong>Results: </strong>Comparison of age- and sex-matched healthy (n = 20) and hEDS (n = 10) subjects did not show any significant difference in dynamic movement of the viscera. Subgroup analysis did not demonstrate any correlation between the degree of prolapse, clinical symptoms, and hypermobility clinical (Beighton) scores. The interobserver reliability for 3 of the 4 anatomic landmarks showed \\\"moderate\\\" or \\\"good\\\" correlation based on their interclass correlation coefficients.</p><p><strong>Discussion: </strong>Patients with hEDS do not appear to have a significantly increased incidence of visceroptosis.</p>\",\"PeriodicalId\":10278,\"journal\":{\"name\":\"Clinical and Translational Gastroenterology\",\"volume\":\" \",\"pages\":\"e00834\"},\"PeriodicalIF\":3.0000,\"publicationDate\":\"2025-05-01\",\"publicationTypes\":\"Journal Article\",\"fieldsOfStudy\":null,\"isOpenAccess\":false,\"openAccessPdf\":\"https://www.ncbi.nlm.nih.gov/pmc/articles/PMC12101917/pdf/\",\"citationCount\":\"0\",\"resultStr\":null,\"platform\":\"Semanticscholar\",\"paperid\":null,\"PeriodicalName\":\"Clinical and Translational Gastroenterology\",\"FirstCategoryId\":\"3\",\"ListUrlMain\":\"https://doi.org/10.14309/ctg.0000000000000834\",\"RegionNum\":3,\"RegionCategory\":\"医学\",\"ArticlePicture\":[],\"TitleCN\":null,\"AbstractTextCN\":null,\"PMCID\":null,\"EPubDate\":\"\",\"PubModel\":\"\",\"JCR\":\"Q2\",\"JCRName\":\"GASTROENTEROLOGY & HEPATOLOGY\",\"Score\":null,\"Total\":0}","platform":"Semanticscholar","paperid":null,"PeriodicalName":"Clinical and Translational Gastroenterology","FirstCategoryId":"3","ListUrlMain":"https://doi.org/10.14309/ctg.0000000000000834","RegionNum":3,"RegionCategory":"医学","ArticlePicture":[],"TitleCN":null,"AbstractTextCN":null,"PMCID":null,"EPubDate":"","PubModel":"","JCR":"Q2","JCRName":"GASTROENTEROLOGY & HEPATOLOGY","Score":null,"Total":0}
引用次数: 0

摘要

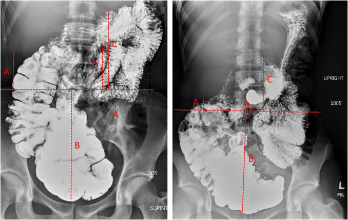
简介:内脏下垂是多动症患者胃肠道症状的一个潜在原因。方法:我们系统地检查了健康和患有肠易激综合征的hEDS患者在直立小肠钡餐检查时腹部器官在自然仰卧位以下的脱垂(内脏下垂)。结果:年龄和性别匹配的健康受试者(n=20)与hEDS受试者(n=10)相比,脏器动态运动无显著差异。亚组分析未显示脱垂程度、临床症状和多动症临床(Beighton)评分之间有任何相关性。基于类间相关系数,4个解剖标志中3个的观察者间信度显示出“中等”或“良好”的相关性。讨论:hEDS患者似乎没有明显增加内脏下垂的发生率。
本文章由计算机程序翻译,如有差异,请以英文原文为准。

Radiographic Identification of Visceroptosis in Patients With Hypermobile Ehlers-Danlos Syndrome With Functional Gastrointestinal Symptoms Compared With Healthy Subjects.

Radiographic Identification of Visceroptosis in Patients With Hypermobile Ehlers-Danlos Syndrome With Functional Gastrointestinal Symptoms Compared With Healthy Subjects.

Introduction: Visceroptosis is a potential cause of gastrointestinal symptoms in hypermobile Ehlers-Danlos syndrome (hEDS).

Methods: We systematically examined the prolapse of abdominal organs below their natural supine position (visceroptosis) during the upright small bowel barium study in healthy and hEDS subjects with irritable bowel syndrome.

Results: Comparison of age- and sex-matched healthy (n = 20) and hEDS (n = 10) subjects did not show any significant difference in dynamic movement of the viscera. Subgroup analysis did not demonstrate any correlation between the degree of prolapse, clinical symptoms, and hypermobility clinical (Beighton) scores. The interobserver reliability for 3 of the 4 anatomic landmarks showed "moderate" or "good" correlation based on their interclass correlation coefficients.

Discussion: Patients with hEDS do not appear to have a significantly increased incidence of visceroptosis.

求助全文
通过发布文献求助,成功后即可免费获取论文全文。 去求助
来源期刊
Clinical and Translational Gastroenterology
Clinical and Translational Gastroenterology GASTROENTEROLOGY & HEPATOLOGY-
CiteScore
7.00
自引率
0.00%
发文量
114
审稿时长
16 weeks
期刊介绍: Clinical and Translational Gastroenterology (CTG), published on behalf of the American College of Gastroenterology (ACG), is a peer-reviewed open access online journal dedicated to innovative clinical work in the field of gastroenterology and hepatology. CTG hopes to fulfill an unmet need for clinicians and scientists by welcoming novel cohort studies, early-phase clinical trials, qualitative and quantitative epidemiologic research, hypothesis-generating research, studies of novel mechanisms and methodologies including public health interventions, and integration of approaches across organs and disciplines. CTG also welcomes hypothesis-generating small studies, methods papers, and translational research with clear applications to human physiology or disease. Colon and small bowel Endoscopy and novel diagnostics Esophagus Functional GI disorders Immunology of the GI tract Microbiology of the GI tract Inflammatory bowel disease Pancreas and biliary tract Liver Pathology Pediatrics Preventative medicine Nutrition/obesity Stomach.
×
引用
GB/T 7714-2015
复制
MLA
复制
APA
复制
导出至
BibTeX EndNote RefMan NoteFirst NoteExpress
×
提示
您的信息不完整,为了账户安全,请先补充。
现在去补充
×
提示
您因"违规操作"
具体请查看互助需知
我知道了
×
提示
确定
请完成安全验证×
copy
已复制链接
快去分享给好友吧!
我知道了
右上角分享
点击右上角分享
0
联系我们:info@booksci.cn Book学术提供免费学术资源搜索服务,方便国内外学者检索中英文文献。致力于提供最便捷和优质的服务体验。 Copyright © 2023 布克学术 All rights reserved.
京ICP备2023020795号-1
ghs 京公网安备 11010802042870号
Book学术文献互助
Book学术文献互助群
群 号:604180095
Book学术官方微信