儿童t细胞/组织细胞丰富的大b细胞淋巴瘤(THRLBC) 1例8岁男童

IF 0.6 Q4 ONCOLOGY
Case Reports in Oncological Medicine Pub Date : 2025-02-22 eCollection Date: 2025-01-01 DOI:10.1155/crom/8869045
Gashaw Arega, Haileyesus Adam, Alemayehu Girma, Galgaloo Diida, Eden Beresa, Leul Adane, Michael A Negussie, Fadil Nuredin Abrar, Mesfin Asefa
{"title":"儿童t细胞/组织细胞丰富的大b细胞淋巴瘤(THRLBC) 1例8岁男童","authors":"Gashaw Arega, Haileyesus Adam, Alemayehu Girma, Galgaloo Diida, Eden Beresa, Leul Adane, Michael A Negussie, Fadil Nuredin Abrar, Mesfin Asefa","doi":"10.1155/crom/8869045","DOIUrl":null,"url":null,"abstract":"<p><p>T-cell/histiocyte-rich large B-cell lymphoma (THRLBCL) is a rare and aggressive subtype of diffuse large B-cell lymphoma (DLBCL) that is uncommon in children. Here, we present the case of an 8-year-old male with a 3-month history of low-grade intermittent fever, significant weight loss, loss of appetite, and progressive abdominal swelling. Examination revealed splenomegaly and a palpable midabdominal mass, with laboratory findings showing bicytopenia. Imaging demonstrated hepatosplenomegaly, diffuse hypodense liver and spleen lesions, and mesenteric and retroperitoneal lymphadenopathy. A core-needle biopsy of the mesenteric mass confirmed the diagnosis, with histopathology revealing scattered large mononuclear and binucleate cells in a background of small lymphocytes and histiocytes. Immunohistochemistry showed positivity for CD45, CD20, and EMA and negativity for CD30, CD15, and Bcl-2, excluding alternative diagnoses such as nodular lymphocyte-predominant Hodgkin lymphoma (NLPHL) and classical Hodgkin lymphoma (cHL). The patient was initially stabilized with a prephase regimen of cyclophosphamide, vincristine, and prednisone (COP), followed by induction and consolidation with R-COPADM (rituximab, cyclophosphamide, vincristine, prednisone, and methotrexate). Posttreatment imaging revealed significant resolution of lymphadenopathy and hepatosplenomegaly, with no residual or recurrent disease. At follow-up, the patient remains in clinical remission with no signs of progression. This case highlights the importance of early recognition, detailed histopathological evaluation, and the role of immunohistochemistry in accurately diagnosing THRLBCL in children, ensuring timely initiation of effective therapy and improving outcomes in this rare pediatric malignancy.</p>","PeriodicalId":9636,"journal":{"name":"Case Reports in Oncological Medicine","volume":"2025 ","pages":"8869045"},"PeriodicalIF":0.6000,"publicationDate":"2025-02-22","publicationTypes":"Journal Article","fieldsOfStudy":null,"isOpenAccess":false,"openAccessPdf":"https://www.ncbi.nlm.nih.gov/pmc/articles/PMC11871974/pdf/","citationCount":"0","resultStr":"{\"title\":\"Pediatric T-Cell/Histiocyte-Rich Large B-Cell Lymphoma (THRLBC) in an 8-Year-Old Male Child: A Case Report.\",\"authors\":\"Gashaw Arega, Haileyesus Adam, Alemayehu Girma, Galgaloo Diida, Eden Beresa, Leul Adane, Michael A Negussie, Fadil Nuredin Abrar, Mesfin Asefa\",\"doi\":\"10.1155/crom/8869045\",\"DOIUrl\":null,\"url\":null,\"abstract\":\"<p><p>T-cell/histiocyte-rich large B-cell lymphoma (THRLBCL) is a rare and aggressive subtype of diffuse large B-cell lymphoma (DLBCL) that is uncommon in children. Here, we present the case of an 8-year-old male with a 3-month history of low-grade intermittent fever, significant weight loss, loss of appetite, and progressive abdominal swelling. Examination revealed splenomegaly and a palpable midabdominal mass, with laboratory findings showing bicytopenia. Imaging demonstrated hepatosplenomegaly, diffuse hypodense liver and spleen lesions, and mesenteric and retroperitoneal lymphadenopathy. A core-needle biopsy of the mesenteric mass confirmed the diagnosis, with histopathology revealing scattered large mononuclear and binucleate cells in a background of small lymphocytes and histiocytes. Immunohistochemistry showed positivity for CD45, CD20, and EMA and negativity for CD30, CD15, and Bcl-2, excluding alternative diagnoses such as nodular lymphocyte-predominant Hodgkin lymphoma (NLPHL) and classical Hodgkin lymphoma (cHL). The patient was initially stabilized with a prephase regimen of cyclophosphamide, vincristine, and prednisone (COP), followed by induction and consolidation with R-COPADM (rituximab, cyclophosphamide, vincristine, prednisone, and methotrexate). Posttreatment imaging revealed significant resolution of lymphadenopathy and hepatosplenomegaly, with no residual or recurrent disease. At follow-up, the patient remains in clinical remission with no signs of progression. This case highlights the importance of early recognition, detailed histopathological evaluation, and the role of immunohistochemistry in accurately diagnosing THRLBCL in children, ensuring timely initiation of effective therapy and improving outcomes in this rare pediatric malignancy.</p>\",\"PeriodicalId\":9636,\"journal\":{\"name\":\"Case Reports in Oncological Medicine\",\"volume\":\"2025 \",\"pages\":\"8869045\"},\"PeriodicalIF\":0.6000,\"publicationDate\":\"2025-02-22\",\"publicationTypes\":\"Journal Article\",\"fieldsOfStudy\":null,\"isOpenAccess\":false,\"openAccessPdf\":\"https://www.ncbi.nlm.nih.gov/pmc/articles/PMC11871974/pdf/\",\"citationCount\":\"0\",\"resultStr\":null,\"platform\":\"Semanticscholar\",\"paperid\":null,\"PeriodicalName\":\"Case Reports in Oncological Medicine\",\"FirstCategoryId\":\"1085\",\"ListUrlMain\":\"https://doi.org/10.1155/crom/8869045\",\"RegionNum\":0,\"RegionCategory\":null,\"ArticlePicture\":[],\"TitleCN\":null,\"AbstractTextCN\":null,\"PMCID\":null,\"EPubDate\":\"2025/1/1 0:00:00\",\"PubModel\":\"eCollection\",\"JCR\":\"Q4\",\"JCRName\":\"ONCOLOGY\",\"Score\":null,\"Total\":0}","platform":"Semanticscholar","paperid":null,"PeriodicalName":"Case Reports in Oncological Medicine","FirstCategoryId":"1085","ListUrlMain":"https://doi.org/10.1155/crom/8869045","RegionNum":0,"RegionCategory":null,"ArticlePicture":[],"TitleCN":null,"AbstractTextCN":null,"PMCID":null,"EPubDate":"2025/1/1 0:00:00","PubModel":"eCollection","JCR":"Q4","JCRName":"ONCOLOGY","Score":null,"Total":0}
引用次数: 0

摘要

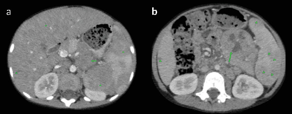
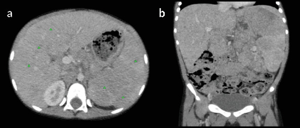
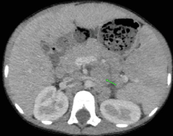
t细胞/组织细胞丰富的大b细胞淋巴瘤(THRLBCL)是弥漫性大b细胞淋巴瘤(DLBCL)的一种罕见的侵袭性亚型,在儿童中并不常见。在这里,我们提出一个8岁的男性病例,他有3个月的低度间歇性发热史,体重明显减轻,食欲不振,腹部肿胀。检查显示脾肿大,腹部中部可触及肿块,实验室结果显示双氧体减少。影像学显示肝脾肿大,弥漫性低密度肝脏和脾脏病变,肠系膜和腹膜后淋巴结病变。肠系膜肿块的核心穿刺活检证实了诊断,组织病理学显示分散的大单核和双核细胞,背景是小淋巴细胞和组织细胞。免疫组织化学显示CD45、CD20和EMA呈阳性,CD30、CD15和Bcl-2呈阴性,排除了其他诊断,如结节性淋巴细胞显性霍奇金淋巴瘤(NLPHL)和经典霍奇金淋巴瘤(cHL)。患者最初通过环磷酰胺、长春新碱和泼尼松(COP)的前期方案稳定,随后用R-COPADM(利妥昔单抗、环磷酰胺、长春新碱、泼尼松和甲氨蝶呤)诱导和巩固。治疗后影像学显示淋巴结病变和肝脾肿大明显消退,无残留或复发疾病。在随访中,患者仍处于临床缓解期,无进展迹象。该病例强调了早期识别,详细的组织病理学评估以及免疫组织化学在准确诊断儿童THRLBCL中的作用,确保及时开始有效治疗并改善这种罕见的儿科恶性肿瘤的预后。
本文章由计算机程序翻译,如有差异,请以英文原文为准。

Pediatric T-Cell/Histiocyte-Rich Large B-Cell Lymphoma (THRLBC) in an 8-Year-Old Male Child: A Case Report.

Pediatric T-Cell/Histiocyte-Rich Large B-Cell Lymphoma (THRLBC) in an 8-Year-Old Male Child: A Case Report.

Pediatric T-Cell/Histiocyte-Rich Large B-Cell Lymphoma (THRLBC) in an 8-Year-Old Male Child: A Case Report.

Pediatric T-Cell/Histiocyte-Rich Large B-Cell Lymphoma (THRLBC) in an 8-Year-Old Male Child: A Case Report.

T-cell/histiocyte-rich large B-cell lymphoma (THRLBCL) is a rare and aggressive subtype of diffuse large B-cell lymphoma (DLBCL) that is uncommon in children. Here, we present the case of an 8-year-old male with a 3-month history of low-grade intermittent fever, significant weight loss, loss of appetite, and progressive abdominal swelling. Examination revealed splenomegaly and a palpable midabdominal mass, with laboratory findings showing bicytopenia. Imaging demonstrated hepatosplenomegaly, diffuse hypodense liver and spleen lesions, and mesenteric and retroperitoneal lymphadenopathy. A core-needle biopsy of the mesenteric mass confirmed the diagnosis, with histopathology revealing scattered large mononuclear and binucleate cells in a background of small lymphocytes and histiocytes. Immunohistochemistry showed positivity for CD45, CD20, and EMA and negativity for CD30, CD15, and Bcl-2, excluding alternative diagnoses such as nodular lymphocyte-predominant Hodgkin lymphoma (NLPHL) and classical Hodgkin lymphoma (cHL). The patient was initially stabilized with a prephase regimen of cyclophosphamide, vincristine, and prednisone (COP), followed by induction and consolidation with R-COPADM (rituximab, cyclophosphamide, vincristine, prednisone, and methotrexate). Posttreatment imaging revealed significant resolution of lymphadenopathy and hepatosplenomegaly, with no residual or recurrent disease. At follow-up, the patient remains in clinical remission with no signs of progression. This case highlights the importance of early recognition, detailed histopathological evaluation, and the role of immunohistochemistry in accurately diagnosing THRLBCL in children, ensuring timely initiation of effective therapy and improving outcomes in this rare pediatric malignancy.

求助全文
通过发布文献求助,成功后即可免费获取论文全文。 去求助
来源期刊
自引率
0.00%
发文量
11
审稿时长
16 weeks
期刊介绍: Case Reports in Oncological Medicine is a peer-reviewed, Open Access journal that publishes case reports and case series related to breast cancer, lung cancer, gastrointestinal cancer, skin cancer, head and neck cancer, paediatric oncology, neurooncology as well as genitourinary cancer.
×
引用
GB/T 7714-2015
复制
MLA
复制
APA
复制
导出至
BibTeX EndNote RefMan NoteFirst NoteExpress
×
提示
您的信息不完整,为了账户安全,请先补充。
现在去补充
×
提示
您因"违规操作"
具体请查看互助需知
我知道了
×
提示
确定
请完成安全验证×
copy
已复制链接
快去分享给好友吧!
我知道了
右上角分享
点击右上角分享
0
联系我们:info@booksci.cn Book学术提供免费学术资源搜索服务,方便国内外学者检索中英文文献。致力于提供最便捷和优质的服务体验。 Copyright © 2023 布克学术 All rights reserved.
京ICP备2023020795号-1
ghs 京公网安备 11010802042870号
Book学术文献互助
Book学术文献互助群
群 号:604180095
Book学术官方微信