静脉臭氧治疗后的神经系统危象一份病例报告。

IF 2 Q1 EMERGENCY MEDICINE
Archives of Academic Emergency Medicine Pub Date : 2025-01-21 eCollection Date: 2025-01-01 DOI:10.22037/aaemj.v13i1.2592
Chloe Y Y Wong, Komal Saxena, John Meneer, Koshy George, Gerben Keijzers
{"title":"静脉臭氧治疗后的神经系统危象一份病例报告。","authors":"Chloe Y Y Wong, Komal Saxena, John Meneer, Koshy George, Gerben Keijzers","doi":"10.22037/aaemj.v13i1.2592","DOIUrl":null,"url":null,"abstract":"<p><p>Ozone therapy, often marketed as an immune-boosting alternative treatment, lacks robust evidence of efficacy and poses significant safety risks. Despite claims of therapeutic benefits, Regulatory agencies, such as the U.S. Food and Drug Administration (FDA), warn against its use due to its toxic properties and lack of proven benefits at tolerable exposure levels. This case report highlights severe neurological complications, including ischemic infarcts and persistent cognitive deficits, following intravenous ozone (O<sub>3</sub>) therapy in a previously healthy patient. A 36-year-old woman presented to the emergency department with chest pain, syncope, and generalized seizure shortly after receiving intravenous ozone therapy. Diagnostic imaging revealed multiple ischemic infarcts in the thalamus and cerebellum, consistent with an embolic event. The patient required intensive care unit (ICU) admission, and despite improved neurological function experienced lasting cognitive impairments necessitating long-term rehabilitation.</p>","PeriodicalId":8146,"journal":{"name":"Archives of Academic Emergency Medicine","volume":"13 1","pages":"e31"},"PeriodicalIF":2.0000,"publicationDate":"2025-01-21","publicationTypes":"Journal Article","fieldsOfStudy":null,"isOpenAccess":false,"openAccessPdf":"https://www.ncbi.nlm.nih.gov/pmc/articles/PMC11868665/pdf/","citationCount":"0","resultStr":"{\"title\":\"Neurological Crisis Following Intravenous Ozone Therapy; a Case Report.\",\"authors\":\"Chloe Y Y Wong, Komal Saxena, John Meneer, Koshy George, Gerben Keijzers\",\"doi\":\"10.22037/aaemj.v13i1.2592\",\"DOIUrl\":null,\"url\":null,\"abstract\":\"<p><p>Ozone therapy, often marketed as an immune-boosting alternative treatment, lacks robust evidence of efficacy and poses significant safety risks. Despite claims of therapeutic benefits, Regulatory agencies, such as the U.S. Food and Drug Administration (FDA), warn against its use due to its toxic properties and lack of proven benefits at tolerable exposure levels. This case report highlights severe neurological complications, including ischemic infarcts and persistent cognitive deficits, following intravenous ozone (O<sub>3</sub>) therapy in a previously healthy patient. A 36-year-old woman presented to the emergency department with chest pain, syncope, and generalized seizure shortly after receiving intravenous ozone therapy. Diagnostic imaging revealed multiple ischemic infarcts in the thalamus and cerebellum, consistent with an embolic event. The patient required intensive care unit (ICU) admission, and despite improved neurological function experienced lasting cognitive impairments necessitating long-term rehabilitation.</p>\",\"PeriodicalId\":8146,\"journal\":{\"name\":\"Archives of Academic Emergency Medicine\",\"volume\":\"13 1\",\"pages\":\"e31\"},\"PeriodicalIF\":2.0000,\"publicationDate\":\"2025-01-21\",\"publicationTypes\":\"Journal Article\",\"fieldsOfStudy\":null,\"isOpenAccess\":false,\"openAccessPdf\":\"https://www.ncbi.nlm.nih.gov/pmc/articles/PMC11868665/pdf/\",\"citationCount\":\"0\",\"resultStr\":null,\"platform\":\"Semanticscholar\",\"paperid\":null,\"PeriodicalName\":\"Archives of Academic Emergency Medicine\",\"FirstCategoryId\":\"1085\",\"ListUrlMain\":\"https://doi.org/10.22037/aaemj.v13i1.2592\",\"RegionNum\":0,\"RegionCategory\":null,\"ArticlePicture\":[],\"TitleCN\":null,\"AbstractTextCN\":null,\"PMCID\":null,\"EPubDate\":\"2025/1/1 0:00:00\",\"PubModel\":\"eCollection\",\"JCR\":\"Q1\",\"JCRName\":\"EMERGENCY MEDICINE\",\"Score\":null,\"Total\":0}","platform":"Semanticscholar","paperid":null,"PeriodicalName":"Archives of Academic Emergency Medicine","FirstCategoryId":"1085","ListUrlMain":"https://doi.org/10.22037/aaemj.v13i1.2592","RegionNum":0,"RegionCategory":null,"ArticlePicture":[],"TitleCN":null,"AbstractTextCN":null,"PMCID":null,"EPubDate":"2025/1/1 0:00:00","PubModel":"eCollection","JCR":"Q1","JCRName":"EMERGENCY MEDICINE","Score":null,"Total":0}
引用次数: 0

摘要

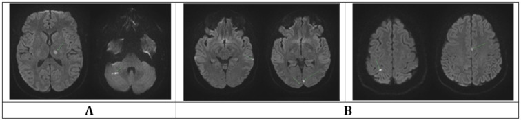
臭氧疗法通常作为一种增强免疫力的替代疗法在市场上销售,缺乏强有力的疗效证据,并存在重大的安全风险。尽管声称它有治疗效果,但监管机构,如美国食品和药物管理局(FDA),警告不要使用它,因为它具有毒性,而且在可容忍的暴露水平下缺乏证明的益处。本病例报告强调了严重的神经系统并发症,包括缺血性梗死和持续的认知缺陷,在静脉注射臭氧(O3)治疗后,先前健康的患者。一名36岁的女性在接受静脉臭氧治疗后不久因胸痛、晕厥和全身癫痫发作而就诊于急诊科。诊断成像显示丘脑和小脑多发缺血性梗死,与栓塞事件一致。患者需要重症监护病房(ICU)入院,尽管神经功能有所改善,但经历了持续的认知障碍,需要长期康复。
本文章由计算机程序翻译,如有差异,请以英文原文为准。

Neurological Crisis Following Intravenous Ozone Therapy; a Case Report.

Neurological Crisis Following Intravenous Ozone Therapy; a Case Report.

Ozone therapy, often marketed as an immune-boosting alternative treatment, lacks robust evidence of efficacy and poses significant safety risks. Despite claims of therapeutic benefits, Regulatory agencies, such as the U.S. Food and Drug Administration (FDA), warn against its use due to its toxic properties and lack of proven benefits at tolerable exposure levels. This case report highlights severe neurological complications, including ischemic infarcts and persistent cognitive deficits, following intravenous ozone (O3) therapy in a previously healthy patient. A 36-year-old woman presented to the emergency department with chest pain, syncope, and generalized seizure shortly after receiving intravenous ozone therapy. Diagnostic imaging revealed multiple ischemic infarcts in the thalamus and cerebellum, consistent with an embolic event. The patient required intensive care unit (ICU) admission, and despite improved neurological function experienced lasting cognitive impairments necessitating long-term rehabilitation.

求助全文
通过发布文献求助,成功后即可免费获取论文全文。 去求助
来源期刊
Archives of Academic Emergency Medicine
Archives of Academic Emergency Medicine Medicine-Emergency Medicine
CiteScore
8.90
自引率
7.40%
发文量
0
审稿时长
6 weeks
×
引用
GB/T 7714-2015
复制
MLA
复制
APA
复制
导出至
BibTeX EndNote RefMan NoteFirst NoteExpress
×
提示
您的信息不完整,为了账户安全,请先补充。
现在去补充
×
提示
您因"违规操作"
具体请查看互助需知
我知道了
×
提示
确定
请完成安全验证×
copy
已复制链接
快去分享给好友吧!
我知道了
右上角分享
点击右上角分享
0
联系我们:info@booksci.cn Book学术提供免费学术资源搜索服务,方便国内外学者检索中英文文献。致力于提供最便捷和优质的服务体验。 Copyright © 2023 布克学术 All rights reserved.
京ICP备2023020795号-1
ghs 京公网安备 11010802042870号
Book学术文献互助
Book学术文献互助群
群 号:604180095
Book学术官方微信