白色念珠菌和都柏林念珠菌在阿根廷布宜诺斯艾利斯HIV感染者的龈下生物膜定植。

Verónica Á Dubois, Pablo A Salgado, Susana L Molgatini, Laura A Gliosca
{"title":"白色念珠菌和都柏林念珠菌在阿根廷布宜诺斯艾利斯HIV感染者的龈下生物膜定植。","authors":"Verónica Á Dubois, Pablo A Salgado, Susana L Molgatini, Laura A Gliosca","doi":"10.54589/aol.37/3/191","DOIUrl":null,"url":null,"abstract":"<p><p>Oropharyngeal candidiasis (OC) is common among people living with HIV (PLWH). Persistent colonization of oral epithelial surfaces serves as an ecological niche for opportunistic pathogens and is a significant predisposing factor for OC development in PLWH. Mucosal colonization can lead to biofilm formation, directly impacting oral epithelium.</p><p><strong>Aim: </strong>To assess Candida albicans and Candida dubliniensis colonization in subgingival biofilms of people living with HIV (PLWH) and undergoing antiretroviral therapy (ART).</p><p><strong>Materials and method: </strong>A sample of 51 PLWH who were receiving ART was studied, focusing on dental and periodontal parameters. Subgingival biofilm and mucosa samples were collected, and Candida spp. were identified using molecular techniques.</p><p><strong>Results: </strong>Men (average age: 41.11 ± 8.63) predominated. The main cause of HIV was sexual transmission. Fungal-related opportunistic diseases were observed in 18 patients, and LT CD4 counts were evaluated. A total 255 samples were collected, including 204 from gingivoperiodontal sites and 51 from oral mucosa. Candida spp. was detected in 55% of patients, with particular distribution patterns. Positive Candida spp. presence correlated with clinical attachment level and HIV treatments. Microscopic identification revealed the presence of hyphae at the time of microbiological sample collection. Molecular identification confirmed 16 Candida albicans and 36 Candida dubliniensis isolates, challenging their diagnostic importance.</p><p><strong>Conclusions: </strong>The presence of yeast hyphae/pseudohyphae in subgingival biofilms indicates their role in gingivo-periodontal disease dysbiosis. PLWH in this Argentine region face challenges including limited access to healthcare. The study underscores the need for early oral health intervention, emphasizing the diagnostic significance of Candida.</p>","PeriodicalId":93853,"journal":{"name":"Acta odontologica latinoamericana : AOL","volume":"37 3","pages":"191-202"},"PeriodicalIF":0.0000,"publicationDate":"2024-12-01","publicationTypes":"Journal Article","fieldsOfStudy":null,"isOpenAccess":false,"openAccessPdf":"https://www.ncbi.nlm.nih.gov/pmc/articles/PMC12324076/pdf/","citationCount":"0","resultStr":"{\"title\":\"Subgingival biofilm colonization by Candida albicans and Candida dubliniensis in patients living with HIV from Buenos Aires, Argentina.\",\"authors\":\"Verónica Á Dubois, Pablo A Salgado, Susana L Molgatini, Laura A Gliosca\",\"doi\":\"10.54589/aol.37/3/191\",\"DOIUrl\":null,\"url\":null,\"abstract\":\"<p><p>Oropharyngeal candidiasis (OC) is common among people living with HIV (PLWH). Persistent colonization of oral epithelial surfaces serves as an ecological niche for opportunistic pathogens and is a significant predisposing factor for OC development in PLWH. Mucosal colonization can lead to biofilm formation, directly impacting oral epithelium.</p><p><strong>Aim: </strong>To assess Candida albicans and Candida dubliniensis colonization in subgingival biofilms of people living with HIV (PLWH) and undergoing antiretroviral therapy (ART).</p><p><strong>Materials and method: </strong>A sample of 51 PLWH who were receiving ART was studied, focusing on dental and periodontal parameters. Subgingival biofilm and mucosa samples were collected, and Candida spp. were identified using molecular techniques.</p><p><strong>Results: </strong>Men (average age: 41.11 ± 8.63) predominated. The main cause of HIV was sexual transmission. Fungal-related opportunistic diseases were observed in 18 patients, and LT CD4 counts were evaluated. A total 255 samples were collected, including 204 from gingivoperiodontal sites and 51 from oral mucosa. Candida spp. was detected in 55% of patients, with particular distribution patterns. Positive Candida spp. presence correlated with clinical attachment level and HIV treatments. Microscopic identification revealed the presence of hyphae at the time of microbiological sample collection. Molecular identification confirmed 16 Candida albicans and 36 Candida dubliniensis isolates, challenging their diagnostic importance.</p><p><strong>Conclusions: </strong>The presence of yeast hyphae/pseudohyphae in subgingival biofilms indicates their role in gingivo-periodontal disease dysbiosis. PLWH in this Argentine region face challenges including limited access to healthcare. The study underscores the need for early oral health intervention, emphasizing the diagnostic significance of Candida.</p>\",\"PeriodicalId\":93853,\"journal\":{\"name\":\"Acta odontologica latinoamericana : AOL\",\"volume\":\"37 3\",\"pages\":\"191-202\"},\"PeriodicalIF\":0.0000,\"publicationDate\":\"2024-12-01\",\"publicationTypes\":\"Journal Article\",\"fieldsOfStudy\":null,\"isOpenAccess\":false,\"openAccessPdf\":\"https://www.ncbi.nlm.nih.gov/pmc/articles/PMC12324076/pdf/\",\"citationCount\":\"0\",\"resultStr\":null,\"platform\":\"Semanticscholar\",\"paperid\":null,\"PeriodicalName\":\"Acta odontologica latinoamericana : AOL\",\"FirstCategoryId\":\"1085\",\"ListUrlMain\":\"https://doi.org/10.54589/aol.37/3/191\",\"RegionNum\":0,\"RegionCategory\":null,\"ArticlePicture\":[],\"TitleCN\":null,\"AbstractTextCN\":null,\"PMCID\":null,\"EPubDate\":\"\",\"PubModel\":\"\",\"JCR\":\"\",\"JCRName\":\"\",\"Score\":null,\"Total\":0}","platform":"Semanticscholar","paperid":null,"PeriodicalName":"Acta odontologica latinoamericana : AOL","FirstCategoryId":"1085","ListUrlMain":"https://doi.org/10.54589/aol.37/3/191","RegionNum":0,"RegionCategory":null,"ArticlePicture":[],"TitleCN":null,"AbstractTextCN":null,"PMCID":null,"EPubDate":"","PubModel":"","JCR":"","JCRName":"","Score":null,"Total":0}
引用次数: 0

摘要

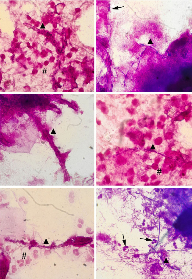
口咽念珠菌病(OC)在艾滋病毒感染者(PLWH)中很常见。口腔上皮表面的持续定植为机会性病原体提供了生态位,是PLWH中OC发展的重要易感因素。粘膜定植可导致生物膜的形成,直接影响口腔上皮。目的:评估接受抗逆转录病毒治疗(ART)的HIV感染者(PLWH)牙龈下生物膜中白色念珠菌和都柏林念珠菌的定植情况。材料与方法:对51例接受抗逆转录病毒治疗的PLWH患者进行口腔和牙周参数的研究。采集龈下生物膜和黏膜标本,利用分子技术对念珠菌进行鉴定。结果:男性居多,平均年龄41.11±8.63岁。艾滋病毒的主要原因是性传播。在18例患者中观察到真菌相关的机会性疾病,并评估LT CD4计数。共采集标本255份,其中龈周204份,口腔黏膜51份。念珠菌在55%的患者中检出,具有特定的分布模式。念珠菌阳性与临床依恋水平和HIV治疗相关。显微鉴定显示菌丝的存在时,微生物样品采集。分子鉴定证实了16株白色念珠菌和36株都柏林念珠菌,对其诊断意义提出了挑战。结论:龈下生物膜中酵母菌丝/假菌丝的存在表明它们在牙龈-牙周病生态失调中起作用。阿根廷这一地区的PLWH面临挑战,包括获得医疗保健的机会有限。该研究强调了早期口腔健康干预的必要性,强调了念珠菌的诊断意义。
本文章由计算机程序翻译,如有差异,请以英文原文为准。

Subgingival biofilm colonization by Candida albicans and Candida dubliniensis in patients living with HIV from Buenos Aires, Argentina.

Subgingival biofilm colonization by Candida albicans and Candida dubliniensis in patients living with HIV from Buenos Aires, Argentina.

Subgingival biofilm colonization by Candida albicans and Candida dubliniensis in patients living with HIV from Buenos Aires, Argentina.

Subgingival biofilm colonization by Candida albicans and Candida dubliniensis in patients living with HIV from Buenos Aires, Argentina.

Oropharyngeal candidiasis (OC) is common among people living with HIV (PLWH). Persistent colonization of oral epithelial surfaces serves as an ecological niche for opportunistic pathogens and is a significant predisposing factor for OC development in PLWH. Mucosal colonization can lead to biofilm formation, directly impacting oral epithelium.

Aim: To assess Candida albicans and Candida dubliniensis colonization in subgingival biofilms of people living with HIV (PLWH) and undergoing antiretroviral therapy (ART).

Materials and method: A sample of 51 PLWH who were receiving ART was studied, focusing on dental and periodontal parameters. Subgingival biofilm and mucosa samples were collected, and Candida spp. were identified using molecular techniques.

Results: Men (average age: 41.11 ± 8.63) predominated. The main cause of HIV was sexual transmission. Fungal-related opportunistic diseases were observed in 18 patients, and LT CD4 counts were evaluated. A total 255 samples were collected, including 204 from gingivoperiodontal sites and 51 from oral mucosa. Candida spp. was detected in 55% of patients, with particular distribution patterns. Positive Candida spp. presence correlated with clinical attachment level and HIV treatments. Microscopic identification revealed the presence of hyphae at the time of microbiological sample collection. Molecular identification confirmed 16 Candida albicans and 36 Candida dubliniensis isolates, challenging their diagnostic importance.

Conclusions: The presence of yeast hyphae/pseudohyphae in subgingival biofilms indicates their role in gingivo-periodontal disease dysbiosis. PLWH in this Argentine region face challenges including limited access to healthcare. The study underscores the need for early oral health intervention, emphasizing the diagnostic significance of Candida.

求助全文
通过发布文献求助,成功后即可免费获取论文全文。 去求助
来源期刊
CiteScore
1.00
自引率
0.00%
发文量
0
×
引用
GB/T 7714-2015
复制
MLA
复制
APA
复制
导出至
BibTeX EndNote RefMan NoteFirst NoteExpress
×
提示
您的信息不完整,为了账户安全,请先补充。
现在去补充
×
提示
您因"违规操作"
具体请查看互助需知
我知道了
×
提示
确定
请完成安全验证×
copy
已复制链接
快去分享给好友吧!
我知道了
右上角分享
点击右上角分享
0
联系我们:info@booksci.cn Book学术提供免费学术资源搜索服务,方便国内外学者检索中英文文献。致力于提供最便捷和优质的服务体验。 Copyright © 2023 布克学术 All rights reserved.
京ICP备2023020795号-1
ghs 京公网安备 11010802042870号
Book学术文献互助
Book学术文献互助群
群 号:604180095
Book学术官方微信