无结节性硬化症的成人室管膜下巨细胞星形细胞瘤:系统回顾和说明性病例。

IF 0.7 Q4 CLINICAL NEUROLOGY
Journal of Neurological Surgery Reports Pub Date : 2025-02-27 eCollection Date: 2025-01-01 DOI:10.1055/a-2530-5965
Brandon M Holler, Alexander R Evans, Abigail York, Christopher S Graffeo
{"title":"无结节性硬化症的成人室管膜下巨细胞星形细胞瘤:系统回顾和说明性病例。","authors":"Brandon M Holler, Alexander R Evans, Abigail York, Christopher S Graffeo","doi":"10.1055/a-2530-5965","DOIUrl":null,"url":null,"abstract":"<p><p><b>Background</b>  Subependymal giant cell astrocytoma (SEGA) is a rare neoplasm arising from subependymal tissue. Predominantly associated with the tuberous sclerosis complex (TSC), SEGA may present with a range of diverse symptoms, most commonly seizures or neurocutaneous features of TSC. We present a novel case of sporadic SEGA in a 59-year-old woman who presented with acute intraparenchymal hemorrhage (IPH). <b>Methods</b>  Systematic literature review and illustrative case example. <b>Results</b>  A 59-year-old woman presented with a headache decreased level of consciousness, and acute IPH involving the anterior septum pellucidum and right medial caudate head. MRI was concerning for an underlying neoplasm, which grew slowly on follow-up imaging, prompting microsurgical resection. A gross total resection was achieved, and postoperative pathology confirmed SEGA (WHO grade I) without <i>TSC1/2</i> mutation. She remained disease-free and neurologically intact at 1-year follow-up. A systematic review identified seven publications that revealed pathologically confirmed SEGA in nine adult patients without TSC. Headache, papilledema, and visual disturbances were the most common presenting symptoms. Treatment protocols included microsurgical resection versus biopsy followed by radiographic surveillance, and the overall rate of symptom-free survival was at least 80% as of the last follow-up. <b>Conclusion</b>  We report the tenth case of sporadic SEGA in an adult patient without TSC, as well as an associated systematic review of this rare neoplastic entity. Further study is required to identify risk factors for the development of sporadic SEGA, as well as potential avenues for the management of this disease that may depart from the standard protocol in pediatric TSC patients.</p>","PeriodicalId":44256,"journal":{"name":"Journal of Neurological Surgery Reports","volume":"86 1","pages":"e31-e35"},"PeriodicalIF":0.7000,"publicationDate":"2025-02-27","publicationTypes":"Journal Article","fieldsOfStudy":null,"isOpenAccess":false,"openAccessPdf":"https://www.ncbi.nlm.nih.gov/pmc/articles/PMC11867713/pdf/","citationCount":"0","resultStr":"{\"title\":\"Subependymal Giant Cell Astrocytoma in an Adult without Tuberous Sclerosis: Systematic Review and Illustrative Case Example.\",\"authors\":\"Brandon M Holler, Alexander R Evans, Abigail York, Christopher S Graffeo\",\"doi\":\"10.1055/a-2530-5965\",\"DOIUrl\":null,\"url\":null,\"abstract\":\"<p><p><b>Background</b>  Subependymal giant cell astrocytoma (SEGA) is a rare neoplasm arising from subependymal tissue. Predominantly associated with the tuberous sclerosis complex (TSC), SEGA may present with a range of diverse symptoms, most commonly seizures or neurocutaneous features of TSC. We present a novel case of sporadic SEGA in a 59-year-old woman who presented with acute intraparenchymal hemorrhage (IPH). <b>Methods</b>  Systematic literature review and illustrative case example. <b>Results</b>  A 59-year-old woman presented with a headache decreased level of consciousness, and acute IPH involving the anterior septum pellucidum and right medial caudate head. MRI was concerning for an underlying neoplasm, which grew slowly on follow-up imaging, prompting microsurgical resection. A gross total resection was achieved, and postoperative pathology confirmed SEGA (WHO grade I) without <i>TSC1/2</i> mutation. She remained disease-free and neurologically intact at 1-year follow-up. A systematic review identified seven publications that revealed pathologically confirmed SEGA in nine adult patients without TSC. Headache, papilledema, and visual disturbances were the most common presenting symptoms. Treatment protocols included microsurgical resection versus biopsy followed by radiographic surveillance, and the overall rate of symptom-free survival was at least 80% as of the last follow-up. <b>Conclusion</b>  We report the tenth case of sporadic SEGA in an adult patient without TSC, as well as an associated systematic review of this rare neoplastic entity. Further study is required to identify risk factors for the development of sporadic SEGA, as well as potential avenues for the management of this disease that may depart from the standard protocol in pediatric TSC patients.</p>\",\"PeriodicalId\":44256,\"journal\":{\"name\":\"Journal of Neurological Surgery Reports\",\"volume\":\"86 1\",\"pages\":\"e31-e35\"},\"PeriodicalIF\":0.7000,\"publicationDate\":\"2025-02-27\",\"publicationTypes\":\"Journal Article\",\"fieldsOfStudy\":null,\"isOpenAccess\":false,\"openAccessPdf\":\"https://www.ncbi.nlm.nih.gov/pmc/articles/PMC11867713/pdf/\",\"citationCount\":\"0\",\"resultStr\":null,\"platform\":\"Semanticscholar\",\"paperid\":null,\"PeriodicalName\":\"Journal of Neurological Surgery Reports\",\"FirstCategoryId\":\"1085\",\"ListUrlMain\":\"https://doi.org/10.1055/a-2530-5965\",\"RegionNum\":0,\"RegionCategory\":null,\"ArticlePicture\":[],\"TitleCN\":null,\"AbstractTextCN\":null,\"PMCID\":null,\"EPubDate\":\"2025/1/1 0:00:00\",\"PubModel\":\"eCollection\",\"JCR\":\"Q4\",\"JCRName\":\"CLINICAL NEUROLOGY\",\"Score\":null,\"Total\":0}","platform":"Semanticscholar","paperid":null,"PeriodicalName":"Journal of Neurological Surgery Reports","FirstCategoryId":"1085","ListUrlMain":"https://doi.org/10.1055/a-2530-5965","RegionNum":0,"RegionCategory":null,"ArticlePicture":[],"TitleCN":null,"AbstractTextCN":null,"PMCID":null,"EPubDate":"2025/1/1 0:00:00","PubModel":"eCollection","JCR":"Q4","JCRName":"CLINICAL NEUROLOGY","Score":null,"Total":0}
引用次数: 0

摘要

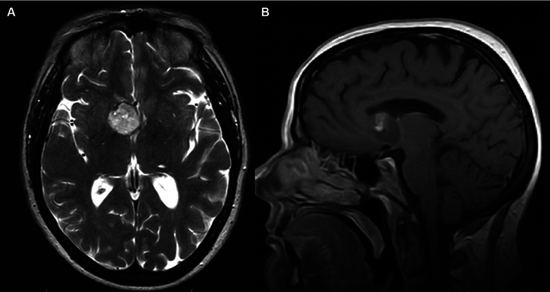
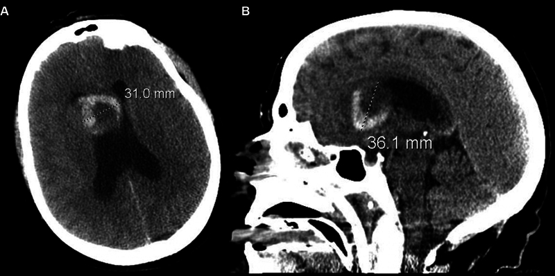
背景:室管膜下巨细胞星形细胞瘤(SEGA)是一种发生于室管膜下组织的罕见肿瘤。SEGA主要与结节性硬化症(TSC)相关,可表现为一系列不同的症状,最常见的是癫痫发作或TSC的神经皮肤特征。我们提出一个新病例散发性SEGA在一个59岁的妇女谁提出了急性肝实质内出血(IPH)。方法系统查阅文献,结合案例分析。结果1例59岁女性患者表现为头痛,意识水平下降,急性IPH累及前隔透明膜和右侧内侧尾状头。MRI提示有潜在的肿瘤,后续影像学显示肿瘤生长缓慢,需显微手术切除。术后病理证实SEGA (WHO I级),无TSC1/2突变。随访1年,患者无疾病,神经功能完整。一项系统综述确定了7篇出版物,在9名无TSC的成年患者中病理证实了SEGA。头痛、乳头水肿和视觉障碍是最常见的症状。治疗方案包括显微手术切除与活检后的放射学监测,截至最后一次随访,总体无症状生存率至少为80%。结论:我们报告了第10例散发性SEGA成人患者,无TSC,并对这种罕见的肿瘤实体进行了相关的系统回顾。需要进一步的研究来确定散发性SEGA发展的危险因素,以及可能偏离儿童TSC患者标准方案的这种疾病管理的潜在途径。
本文章由计算机程序翻译,如有差异,请以英文原文为准。

Subependymal Giant Cell Astrocytoma in an Adult without Tuberous Sclerosis: Systematic Review and Illustrative Case Example.

Subependymal Giant Cell Astrocytoma in an Adult without Tuberous Sclerosis: Systematic Review and Illustrative Case Example.

Subependymal Giant Cell Astrocytoma in an Adult without Tuberous Sclerosis: Systematic Review and Illustrative Case Example.

Subependymal Giant Cell Astrocytoma in an Adult without Tuberous Sclerosis: Systematic Review and Illustrative Case Example.

Background  Subependymal giant cell astrocytoma (SEGA) is a rare neoplasm arising from subependymal tissue. Predominantly associated with the tuberous sclerosis complex (TSC), SEGA may present with a range of diverse symptoms, most commonly seizures or neurocutaneous features of TSC. We present a novel case of sporadic SEGA in a 59-year-old woman who presented with acute intraparenchymal hemorrhage (IPH). Methods  Systematic literature review and illustrative case example. Results  A 59-year-old woman presented with a headache decreased level of consciousness, and acute IPH involving the anterior septum pellucidum and right medial caudate head. MRI was concerning for an underlying neoplasm, which grew slowly on follow-up imaging, prompting microsurgical resection. A gross total resection was achieved, and postoperative pathology confirmed SEGA (WHO grade I) without TSC1/2 mutation. She remained disease-free and neurologically intact at 1-year follow-up. A systematic review identified seven publications that revealed pathologically confirmed SEGA in nine adult patients without TSC. Headache, papilledema, and visual disturbances were the most common presenting symptoms. Treatment protocols included microsurgical resection versus biopsy followed by radiographic surveillance, and the overall rate of symptom-free survival was at least 80% as of the last follow-up. Conclusion  We report the tenth case of sporadic SEGA in an adult patient without TSC, as well as an associated systematic review of this rare neoplastic entity. Further study is required to identify risk factors for the development of sporadic SEGA, as well as potential avenues for the management of this disease that may depart from the standard protocol in pediatric TSC patients.

求助全文
通过发布文献求助,成功后即可免费获取论文全文。 去求助
来源期刊
自引率
0.00%
发文量
31
审稿时长
12 weeks
×
引用
GB/T 7714-2015
复制
MLA
复制
APA
复制
导出至
BibTeX EndNote RefMan NoteFirst NoteExpress
×
提示
您的信息不完整,为了账户安全,请先补充。
现在去补充
×
提示
您因"违规操作"
具体请查看互助需知
我知道了
×
提示
确定
请完成安全验证×
copy
已复制链接
快去分享给好友吧!
我知道了
右上角分享
点击右上角分享
0
联系我们:info@booksci.cn Book学术提供免费学术资源搜索服务,方便国内外学者检索中英文文献。致力于提供最便捷和优质的服务体验。 Copyright © 2023 布克学术 All rights reserved.
京ICP备2023020795号-1
ghs 京公网安备 11010802042870号
Book学术文献互助
Book学术文献互助群
群 号:604180095
Book学术官方微信