内镜下鼻内切除骨内斜坡黏液瘤后的Bezold-Jarisch反射:1例报告。

Q3 Medicine
Case Reports in Anesthesiology Pub Date : 2025-02-20 eCollection Date: 2025-01-01 DOI:10.1155/cria/3336045
Abigail Peterson, Omar Hussain, Nathan Zwagerman, Harvey Woehlck
{"title":"内镜下鼻内切除骨内斜坡黏液瘤后的Bezold-Jarisch反射:1例报告。","authors":"Abigail Peterson, Omar Hussain, Nathan Zwagerman, Harvey Woehlck","doi":"10.1155/cria/3336045","DOIUrl":null,"url":null,"abstract":"<p><p>In certain contexts, young and healthy patients with a strong heart and a history of vasovagal syncope are at increased risk of cardiac arrest. An increase in vagal tone results in the normal maintenance of arterial pressure shifting into parasympathetic activation and sympathetic suppression, amplifying afferent mechanoreceptors and, in rare instances, inducing asystole. We report the case of a 17-year-old patient with a past medical history of syncope who went into asystole while maintaining consciousness and protecting his airway when recovering from anesthesia in the postanesthesia care unit (PACU) following endoscopic endonasal resection of an intraosseous clival myxoma. Chest compressions were initiated and epinephrine was administered, allowing for return of spontaneous circulation to be quickly achieved. While being transferred to the intensive care unit, the patient's heart rate dropped to 20 bpm while sitting in Fowler's position, causing vasovagal syncope which was then resolved by laying the patient supine and 0.8 mg of glycopyrrolate administration. The altered sympathetic to parasympathetic tone resulting in asystole within this case and cardiac beta-agonist stimulation by epinephrine injection provide evidence that the Bezold-Jarisch reflex occurred. This case suggests that the intracranial internal carotid arteries can potentially display similar mechanical sensitivity as the carotid sinus and questions the validity of electrocardiogram readings during this reflex, as the patient remained conscious while in asystole.</p>","PeriodicalId":36504,"journal":{"name":"Case Reports in Anesthesiology","volume":"2025 ","pages":"3336045"},"PeriodicalIF":0.0000,"publicationDate":"2025-02-20","publicationTypes":"Journal Article","fieldsOfStudy":null,"isOpenAccess":false,"openAccessPdf":"https://www.ncbi.nlm.nih.gov/pmc/articles/PMC11867714/pdf/","citationCount":"0","resultStr":"{\"title\":\"The Bezold-Jarisch Reflex Following an Endoscopic Endonasal Resection of an Intraosseous Clival Myxoma: A Case Report.\",\"authors\":\"Abigail Peterson, Omar Hussain, Nathan Zwagerman, Harvey Woehlck\",\"doi\":\"10.1155/cria/3336045\",\"DOIUrl\":null,\"url\":null,\"abstract\":\"<p><p>In certain contexts, young and healthy patients with a strong heart and a history of vasovagal syncope are at increased risk of cardiac arrest. An increase in vagal tone results in the normal maintenance of arterial pressure shifting into parasympathetic activation and sympathetic suppression, amplifying afferent mechanoreceptors and, in rare instances, inducing asystole. We report the case of a 17-year-old patient with a past medical history of syncope who went into asystole while maintaining consciousness and protecting his airway when recovering from anesthesia in the postanesthesia care unit (PACU) following endoscopic endonasal resection of an intraosseous clival myxoma. Chest compressions were initiated and epinephrine was administered, allowing for return of spontaneous circulation to be quickly achieved. While being transferred to the intensive care unit, the patient's heart rate dropped to 20 bpm while sitting in Fowler's position, causing vasovagal syncope which was then resolved by laying the patient supine and 0.8 mg of glycopyrrolate administration. The altered sympathetic to parasympathetic tone resulting in asystole within this case and cardiac beta-agonist stimulation by epinephrine injection provide evidence that the Bezold-Jarisch reflex occurred. This case suggests that the intracranial internal carotid arteries can potentially display similar mechanical sensitivity as the carotid sinus and questions the validity of electrocardiogram readings during this reflex, as the patient remained conscious while in asystole.</p>\",\"PeriodicalId\":36504,\"journal\":{\"name\":\"Case Reports in Anesthesiology\",\"volume\":\"2025 \",\"pages\":\"3336045\"},\"PeriodicalIF\":0.0000,\"publicationDate\":\"2025-02-20\",\"publicationTypes\":\"Journal Article\",\"fieldsOfStudy\":null,\"isOpenAccess\":false,\"openAccessPdf\":\"https://www.ncbi.nlm.nih.gov/pmc/articles/PMC11867714/pdf/\",\"citationCount\":\"0\",\"resultStr\":null,\"platform\":\"Semanticscholar\",\"paperid\":null,\"PeriodicalName\":\"Case Reports in Anesthesiology\",\"FirstCategoryId\":\"1085\",\"ListUrlMain\":\"https://doi.org/10.1155/cria/3336045\",\"RegionNum\":0,\"RegionCategory\":null,\"ArticlePicture\":[],\"TitleCN\":null,\"AbstractTextCN\":null,\"PMCID\":null,\"EPubDate\":\"2025/1/1 0:00:00\",\"PubModel\":\"eCollection\",\"JCR\":\"Q3\",\"JCRName\":\"Medicine\",\"Score\":null,\"Total\":0}","platform":"Semanticscholar","paperid":null,"PeriodicalName":"Case Reports in Anesthesiology","FirstCategoryId":"1085","ListUrlMain":"https://doi.org/10.1155/cria/3336045","RegionNum":0,"RegionCategory":null,"ArticlePicture":[],"TitleCN":null,"AbstractTextCN":null,"PMCID":null,"EPubDate":"2025/1/1 0:00:00","PubModel":"eCollection","JCR":"Q3","JCRName":"Medicine","Score":null,"Total":0}
引用次数: 0

摘要

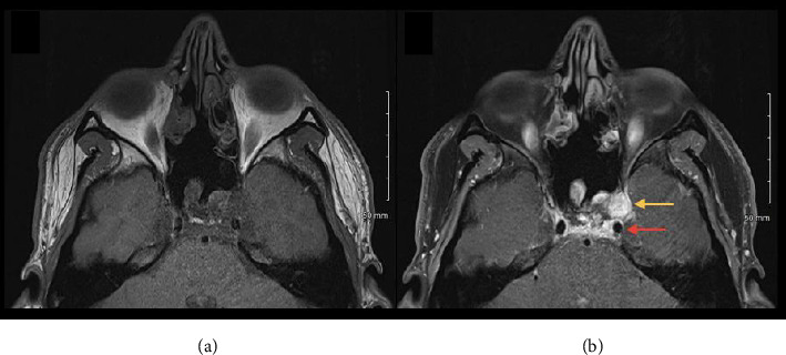
在某些情况下,年轻健康的心脏功能强大且有血管迷走神经性晕厥病史的患者发生心脏骤停的风险增加。迷走神经张力的增加导致动脉压的正常维持转变为副交感神经激活和交感神经抑制,放大传入机械感受器,并在极少数情况下引起心跳停止。我们报告一例17岁的晕厥病史患者,在内镜下鼻内切除骨内黏液瘤后,在麻醉后护理病房(PACU)恢复时,在保持意识和保护气道的情况下进入心跳停止。开始胸外按压并给予肾上腺素,使患者迅速恢复自然循环。在转至重症监护室时,患者采用Fowler位,心率降至20bpm,引起血管迷走神经性晕厥,随后患者仰卧并给予0.8 mg甘罗酸钠治疗。本例中交感神经对副交感神经张力的改变导致心跳停止,以及肾上腺素注射引起的心脏β激动剂刺激提供了Bezold-Jarisch反射发生的证据。该病例提示颅内颈内动脉可能表现出与颈动脉窦相似的机械敏感性,并质疑该反射期间心电图读数的有效性,因为患者在心脏停止时仍保持意识。
本文章由计算机程序翻译,如有差异,请以英文原文为准。

The Bezold-Jarisch Reflex Following an Endoscopic Endonasal Resection of an Intraosseous Clival Myxoma: A Case Report.

The Bezold-Jarisch Reflex Following an Endoscopic Endonasal Resection of an Intraosseous Clival Myxoma: A Case Report.

The Bezold-Jarisch Reflex Following an Endoscopic Endonasal Resection of an Intraosseous Clival Myxoma: A Case Report.

In certain contexts, young and healthy patients with a strong heart and a history of vasovagal syncope are at increased risk of cardiac arrest. An increase in vagal tone results in the normal maintenance of arterial pressure shifting into parasympathetic activation and sympathetic suppression, amplifying afferent mechanoreceptors and, in rare instances, inducing asystole. We report the case of a 17-year-old patient with a past medical history of syncope who went into asystole while maintaining consciousness and protecting his airway when recovering from anesthesia in the postanesthesia care unit (PACU) following endoscopic endonasal resection of an intraosseous clival myxoma. Chest compressions were initiated and epinephrine was administered, allowing for return of spontaneous circulation to be quickly achieved. While being transferred to the intensive care unit, the patient's heart rate dropped to 20 bpm while sitting in Fowler's position, causing vasovagal syncope which was then resolved by laying the patient supine and 0.8 mg of glycopyrrolate administration. The altered sympathetic to parasympathetic tone resulting in asystole within this case and cardiac beta-agonist stimulation by epinephrine injection provide evidence that the Bezold-Jarisch reflex occurred. This case suggests that the intracranial internal carotid arteries can potentially display similar mechanical sensitivity as the carotid sinus and questions the validity of electrocardiogram readings during this reflex, as the patient remained conscious while in asystole.

求助全文
通过发布文献求助,成功后即可免费获取论文全文。 去求助
来源期刊
Case Reports in Anesthesiology
Case Reports in Anesthesiology Medicine-Anesthesiology and Pain Medicine
CiteScore
1.40
自引率
0.00%
发文量
19
审稿时长
12 weeks
×
引用
GB/T 7714-2015
复制
MLA
复制
APA
复制
导出至
BibTeX EndNote RefMan NoteFirst NoteExpress
×
提示
您的信息不完整,为了账户安全,请先补充。
现在去补充
×
提示
您因"违规操作"
具体请查看互助需知
我知道了
×
提示
确定
请完成安全验证×
copy
已复制链接
快去分享给好友吧!
我知道了
右上角分享
点击右上角分享
0
联系我们:info@booksci.cn Book学术提供免费学术资源搜索服务,方便国内外学者检索中英文文献。致力于提供最便捷和优质的服务体验。 Copyright © 2023 布克学术 All rights reserved.
京ICP备2023020795号-1
ghs 京公网安备 11010802042870号
Book学术文献互助
Book学术文献互助群
群 号:604180095
Book学术官方微信