一名肺癌患者因彭博利珠单抗诱发的肌无力伴孤立性横膈膜受累:病例报告。

Q2 Medicine
Therapeutic Advances in Vaccines and Immunotherapy Pub Date : 2025-02-27 eCollection Date: 2025-01-01 DOI:10.1177/25151355251324374
Nefeli Mouratidou, Dimitrios Papadopoulos, Iro Vrouvaki, Vasileios Skouras, Stamatis Katsenos
{"title":"一名肺癌患者因彭博利珠单抗诱发的肌无力伴孤立性横膈膜受累:病例报告。","authors":"Nefeli Mouratidou, Dimitrios Papadopoulos, Iro Vrouvaki, Vasileios Skouras, Stamatis Katsenos","doi":"10.1177/25151355251324374","DOIUrl":null,"url":null,"abstract":"<p><p>Immune-related neuromuscular disorders are rare and potentially life-threatening adverse events of immune checkpoint inhibitors (ICIs) used in the treatment of cancer. They tend to have a chronic course that usually leads to the permanent discontinuation of immunotherapy. We present a case of pembrolizumab-induced myasthenia gravis that only involved the diaphragm. The patient is a 71-year-old female with a history of stage IV lung adenocarcinoma under maintenance therapy with pemetrexed and pembrolizumab after a complete response to first-line chemo-immunotherapy. She complained of orthopnea since the previous month and was admitted due to hypoxemic respiratory failure. Radiology showed decreased lung volumes and atelectatic areas in both lower lung fields. A subsequent bronchoscopy ruled out infection and cancer recurrence. Pulmonary function tests revealed a mixed disorder with a severe reduction in maximal inspiratory pressure and a large drop in vital capacity in the supine versus the sited position. Ultrasonography of the diaphragm confirmed bilateral diaphragmatic dysfunction, and the patient was initiated on non-invasive ventilation (NIV) during sleep, which led to symptom relief. A neurological physical examination did not reveal any other muscle involvement. Laboratory tests for myasthenic syndromes showed an elevated titer of the anti-acetylcholine receptor antibody, which confirmed the diagnosis of myasthenia gravis. The patient was subsequently treated with corticosteroids, pyridostigmine, and intravenous immunoglobulin and was gradually able to wean off supplemental oxygen. On follow-up, her chest X-ray and spirometry had improved, but she continued sleeping on NIV. Pembrolizumab was stopped, and she is still free of cancer after 9 months. Clinicians treating cancer patients with immunotherapy should be aware of this rare complication and perform timely investigations in any case of orthopnea in the course of ICI therapy to offer specialized management.</p>","PeriodicalId":33285,"journal":{"name":"Therapeutic Advances in Vaccines and Immunotherapy","volume":"13 ","pages":"25151355251324374"},"PeriodicalIF":0.0000,"publicationDate":"2025-02-27","publicationTypes":"Journal Article","fieldsOfStudy":null,"isOpenAccess":false,"openAccessPdf":"https://www.ncbi.nlm.nih.gov/pmc/articles/PMC11866388/pdf/","citationCount":"0","resultStr":"{\"title\":\"Pembrolizumab-induced myasthenia gravis with isolated diaphragmatic involvement in a lung cancer patient: a case report.\",\"authors\":\"Nefeli Mouratidou, Dimitrios Papadopoulos, Iro Vrouvaki, Vasileios Skouras, Stamatis Katsenos\",\"doi\":\"10.1177/25151355251324374\",\"DOIUrl\":null,\"url\":null,\"abstract\":\"<p><p>Immune-related neuromuscular disorders are rare and potentially life-threatening adverse events of immune checkpoint inhibitors (ICIs) used in the treatment of cancer. They tend to have a chronic course that usually leads to the permanent discontinuation of immunotherapy. We present a case of pembrolizumab-induced myasthenia gravis that only involved the diaphragm. The patient is a 71-year-old female with a history of stage IV lung adenocarcinoma under maintenance therapy with pemetrexed and pembrolizumab after a complete response to first-line chemo-immunotherapy. She complained of orthopnea since the previous month and was admitted due to hypoxemic respiratory failure. Radiology showed decreased lung volumes and atelectatic areas in both lower lung fields. A subsequent bronchoscopy ruled out infection and cancer recurrence. Pulmonary function tests revealed a mixed disorder with a severe reduction in maximal inspiratory pressure and a large drop in vital capacity in the supine versus the sited position. Ultrasonography of the diaphragm confirmed bilateral diaphragmatic dysfunction, and the patient was initiated on non-invasive ventilation (NIV) during sleep, which led to symptom relief. A neurological physical examination did not reveal any other muscle involvement. Laboratory tests for myasthenic syndromes showed an elevated titer of the anti-acetylcholine receptor antibody, which confirmed the diagnosis of myasthenia gravis. The patient was subsequently treated with corticosteroids, pyridostigmine, and intravenous immunoglobulin and was gradually able to wean off supplemental oxygen. On follow-up, her chest X-ray and spirometry had improved, but she continued sleeping on NIV. Pembrolizumab was stopped, and she is still free of cancer after 9 months. Clinicians treating cancer patients with immunotherapy should be aware of this rare complication and perform timely investigations in any case of orthopnea in the course of ICI therapy to offer specialized management.</p>\",\"PeriodicalId\":33285,\"journal\":{\"name\":\"Therapeutic Advances in Vaccines and Immunotherapy\",\"volume\":\"13 \",\"pages\":\"25151355251324374\"},\"PeriodicalIF\":0.0000,\"publicationDate\":\"2025-02-27\",\"publicationTypes\":\"Journal Article\",\"fieldsOfStudy\":null,\"isOpenAccess\":false,\"openAccessPdf\":\"https://www.ncbi.nlm.nih.gov/pmc/articles/PMC11866388/pdf/\",\"citationCount\":\"0\",\"resultStr\":null,\"platform\":\"Semanticscholar\",\"paperid\":null,\"PeriodicalName\":\"Therapeutic Advances in Vaccines and Immunotherapy\",\"FirstCategoryId\":\"1085\",\"ListUrlMain\":\"https://doi.org/10.1177/25151355251324374\",\"RegionNum\":0,\"RegionCategory\":null,\"ArticlePicture\":[],\"TitleCN\":null,\"AbstractTextCN\":null,\"PMCID\":null,\"EPubDate\":\"2025/1/1 0:00:00\",\"PubModel\":\"eCollection\",\"JCR\":\"Q2\",\"JCRName\":\"Medicine\",\"Score\":null,\"Total\":0}","platform":"Semanticscholar","paperid":null,"PeriodicalName":"Therapeutic Advances in Vaccines and Immunotherapy","FirstCategoryId":"1085","ListUrlMain":"https://doi.org/10.1177/25151355251324374","RegionNum":0,"RegionCategory":null,"ArticlePicture":[],"TitleCN":null,"AbstractTextCN":null,"PMCID":null,"EPubDate":"2025/1/1 0:00:00","PubModel":"eCollection","JCR":"Q2","JCRName":"Medicine","Score":null,"Total":0}
引用次数: 0

摘要

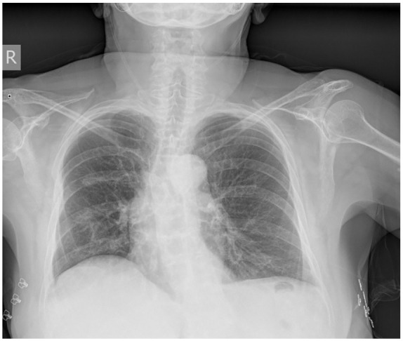
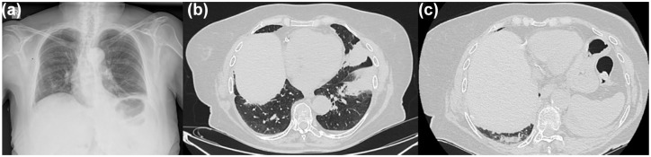
免疫相关神经肌肉疾病是用于治疗癌症的免疫检查点抑制剂(ICIs)罕见且可能危及生命的不良事件。他们往往有一个慢性过程,通常导致永久停止免疫治疗。我们提出一个病例的派姆单抗诱导重症肌无力,只涉及隔膜。患者是一名71岁女性,有IV期肺腺癌病史,在一线化疗免疫治疗完全缓解后,正在接受培美曲塞和派姆单抗的维持治疗。她自上月起主诉直呼,因低氧性呼吸衰竭入院。放射学显示肺体积减小,双肺下野无电区。随后的支气管镜检查排除了感染和癌症复发。肺功能检查显示一种混合性疾病,最大吸气压力严重降低,仰卧位与原位位相比肺活量大幅下降。横膈膜超声检查证实双侧横膈膜功能障碍,患者在睡眠中开始无创通气(NIV),症状得到缓解。神经系统检查未发现其他肌肉受累。重症肌无力综合征的实验室检测显示抗乙酰胆碱受体抗体滴度升高,这证实了重症肌无力的诊断。患者随后接受皮质类固醇、吡哆斯的明和静脉注射免疫球蛋白治疗,并逐渐能够停止补充氧气。在随访中,她的胸片和肺活量有所改善,但她继续使用NIV睡觉。停用了派姆单抗,9个月后,她仍然没有癌症。使用免疫疗法治疗癌症患者的临床医生应该意识到这种罕见的并发症,并在ICI治疗过程中及时调查任何一例矫直,以提供专门的管理。
本文章由计算机程序翻译,如有差异,请以英文原文为准。

Pembrolizumab-induced myasthenia gravis with isolated diaphragmatic involvement in a lung cancer patient: a case report.

Pembrolizumab-induced myasthenia gravis with isolated diaphragmatic involvement in a lung cancer patient: a case report.

Pembrolizumab-induced myasthenia gravis with isolated diaphragmatic involvement in a lung cancer patient: a case report.

Pembrolizumab-induced myasthenia gravis with isolated diaphragmatic involvement in a lung cancer patient: a case report.

Immune-related neuromuscular disorders are rare and potentially life-threatening adverse events of immune checkpoint inhibitors (ICIs) used in the treatment of cancer. They tend to have a chronic course that usually leads to the permanent discontinuation of immunotherapy. We present a case of pembrolizumab-induced myasthenia gravis that only involved the diaphragm. The patient is a 71-year-old female with a history of stage IV lung adenocarcinoma under maintenance therapy with pemetrexed and pembrolizumab after a complete response to first-line chemo-immunotherapy. She complained of orthopnea since the previous month and was admitted due to hypoxemic respiratory failure. Radiology showed decreased lung volumes and atelectatic areas in both lower lung fields. A subsequent bronchoscopy ruled out infection and cancer recurrence. Pulmonary function tests revealed a mixed disorder with a severe reduction in maximal inspiratory pressure and a large drop in vital capacity in the supine versus the sited position. Ultrasonography of the diaphragm confirmed bilateral diaphragmatic dysfunction, and the patient was initiated on non-invasive ventilation (NIV) during sleep, which led to symptom relief. A neurological physical examination did not reveal any other muscle involvement. Laboratory tests for myasthenic syndromes showed an elevated titer of the anti-acetylcholine receptor antibody, which confirmed the diagnosis of myasthenia gravis. The patient was subsequently treated with corticosteroids, pyridostigmine, and intravenous immunoglobulin and was gradually able to wean off supplemental oxygen. On follow-up, her chest X-ray and spirometry had improved, but she continued sleeping on NIV. Pembrolizumab was stopped, and she is still free of cancer after 9 months. Clinicians treating cancer patients with immunotherapy should be aware of this rare complication and perform timely investigations in any case of orthopnea in the course of ICI therapy to offer specialized management.

求助全文
通过发布文献求助,成功后即可免费获取论文全文。 去求助
来源期刊
Therapeutic Advances in Vaccines and Immunotherapy
Therapeutic Advances in Vaccines and Immunotherapy Medicine-Pharmacology (medical)
CiteScore
5.10
自引率
0.00%
发文量
15
审稿时长
8 weeks
×
引用
GB/T 7714-2015
复制
MLA
复制
APA
复制
导出至
BibTeX EndNote RefMan NoteFirst NoteExpress
×
提示
您的信息不完整,为了账户安全,请先补充。
现在去补充
×
提示
您因"违规操作"
具体请查看互助需知
我知道了
×
提示
确定
请完成安全验证×
copy
已复制链接
快去分享给好友吧!
我知道了
右上角分享
点击右上角分享
0
联系我们:info@booksci.cn Book学术提供免费学术资源搜索服务,方便国内外学者检索中英文文献。致力于提供最便捷和优质的服务体验。 Copyright © 2023 布克学术 All rights reserved.
京ICP备2023020795号-1
ghs 京公网安备 11010802042870号
Book学术文献互助
Book学术文献互助群
群 号:604180095
Book学术官方微信