原发不明纵隔癌诱导治疗和手术治疗后的长期生存率。

IF 0.7 Q4 SURGERY
Surgical Case Reports Pub Date : 2025-01-01 Epub Date: 2025-02-22 DOI:10.70352/scrj.cr.24-0011
Yasushi Sakamaki, Naoya Takada, Yuya Kogita, Nanami Hiraiwa
{"title":"原发不明纵隔癌诱导治疗和手术治疗后的长期生存率。","authors":"Yasushi Sakamaki, Naoya Takada, Yuya Kogita, Nanami Hiraiwa","doi":"10.70352/scrj.cr.24-0011","DOIUrl":null,"url":null,"abstract":"<p><strong>Introduction: </strong>Carcinoma of unknown primary (CUP) is rarely located in the mediastinum. Most cases are revealed to be metastatic lymph node carcinoma, which carries a poor prognosis. The optimal treatment for CUP confined to the mediastinum is yet to be established, and the long-term outcome of induction therapy in combination with surgery for mediastinal CUP is unclear.</p><p><strong>Case presentation: </strong>A 46-year-old man with no history of malignancy was diagnosed with anterior mediastinal adenocarcinoma through biopsy. The patient underwent chemoradiation for the tumor, which was initially suspected as invasive T4 lung cancer. After a favorable response to presurgical therapy, the tumor was deemed more likely a mediastinal tumor, and it was completely resected simultaneously with the thymus, the partial left lung, and the partial left innominate vein. The tumor contained histologic features identifiable as a lymph node tissue and lacked any thymic tissue, which led to the final diagnosis as metastatic lymph node adenocarcinoma; however, its origin was unknown. No signs of recurrence were detected for 13 years after surgery.</p><p><strong>Conclusions: </strong>Our case suggests that even patients with mediastinal CUP deemed an advanced disease can achieve long-term survival after undergoing induction therapy and definitive surgery.</p>","PeriodicalId":22096,"journal":{"name":"Surgical Case Reports","volume":"11 1","pages":""},"PeriodicalIF":0.7000,"publicationDate":"2025-01-01","publicationTypes":"Journal Article","fieldsOfStudy":null,"isOpenAccess":false,"openAccessPdf":"https://www.ncbi.nlm.nih.gov/pmc/articles/PMC11867736/pdf/","citationCount":"0","resultStr":"{\"title\":\"Long-Term Survival after Treatment with Induction Therapy and Surgery for Mediastinal Carcinoma of Unknown Primary.\",\"authors\":\"Yasushi Sakamaki, Naoya Takada, Yuya Kogita, Nanami Hiraiwa\",\"doi\":\"10.70352/scrj.cr.24-0011\",\"DOIUrl\":null,\"url\":null,\"abstract\":\"<p><strong>Introduction: </strong>Carcinoma of unknown primary (CUP) is rarely located in the mediastinum. Most cases are revealed to be metastatic lymph node carcinoma, which carries a poor prognosis. The optimal treatment for CUP confined to the mediastinum is yet to be established, and the long-term outcome of induction therapy in combination with surgery for mediastinal CUP is unclear.</p><p><strong>Case presentation: </strong>A 46-year-old man with no history of malignancy was diagnosed with anterior mediastinal adenocarcinoma through biopsy. The patient underwent chemoradiation for the tumor, which was initially suspected as invasive T4 lung cancer. After a favorable response to presurgical therapy, the tumor was deemed more likely a mediastinal tumor, and it was completely resected simultaneously with the thymus, the partial left lung, and the partial left innominate vein. The tumor contained histologic features identifiable as a lymph node tissue and lacked any thymic tissue, which led to the final diagnosis as metastatic lymph node adenocarcinoma; however, its origin was unknown. No signs of recurrence were detected for 13 years after surgery.</p><p><strong>Conclusions: </strong>Our case suggests that even patients with mediastinal CUP deemed an advanced disease can achieve long-term survival after undergoing induction therapy and definitive surgery.</p>\",\"PeriodicalId\":22096,\"journal\":{\"name\":\"Surgical Case Reports\",\"volume\":\"11 1\",\"pages\":\"\"},\"PeriodicalIF\":0.7000,\"publicationDate\":\"2025-01-01\",\"publicationTypes\":\"Journal Article\",\"fieldsOfStudy\":null,\"isOpenAccess\":false,\"openAccessPdf\":\"https://www.ncbi.nlm.nih.gov/pmc/articles/PMC11867736/pdf/\",\"citationCount\":\"0\",\"resultStr\":null,\"platform\":\"Semanticscholar\",\"paperid\":null,\"PeriodicalName\":\"Surgical Case Reports\",\"FirstCategoryId\":\"1085\",\"ListUrlMain\":\"https://doi.org/10.70352/scrj.cr.24-0011\",\"RegionNum\":0,\"RegionCategory\":null,\"ArticlePicture\":[],\"TitleCN\":null,\"AbstractTextCN\":null,\"PMCID\":null,\"EPubDate\":\"2025/2/22 0:00:00\",\"PubModel\":\"Epub\",\"JCR\":\"Q4\",\"JCRName\":\"SURGERY\",\"Score\":null,\"Total\":0}","platform":"Semanticscholar","paperid":null,"PeriodicalName":"Surgical Case Reports","FirstCategoryId":"1085","ListUrlMain":"https://doi.org/10.70352/scrj.cr.24-0011","RegionNum":0,"RegionCategory":null,"ArticlePicture":[],"TitleCN":null,"AbstractTextCN":null,"PMCID":null,"EPubDate":"2025/2/22 0:00:00","PubModel":"Epub","JCR":"Q4","JCRName":"SURGERY","Score":null,"Total":0}
引用次数: 0

摘要

未知原发癌(CUP)很少位于纵隔。大多数病例显示为转移性淋巴结癌,预后较差。局限于纵隔的CUP的最佳治疗方法尚未确定,诱导治疗联合手术治疗纵隔CUP的长期结果尚不清楚。病例介绍:46岁男性,无恶性肿瘤病史,经活检诊断为前纵隔腺癌。患者接受肿瘤放化疗,最初怀疑为浸润性T4肺癌。在手术治疗反应良好后,肿瘤被认为更可能是纵隔肿瘤,并与胸腺、部分左肺和部分左无名静脉同时完全切除。肿瘤包含可识别为淋巴结组织的组织学特征,缺乏任何胸腺组织,这导致最终诊断为转移性淋巴结腺癌;然而,它的起源是未知的。术后13年未发现复发迹象。结论:我们的病例表明,纵隔CUP患者即使被认为是晚期疾病,也可以在接受诱导治疗和最终手术后获得长期生存。
本文章由计算机程序翻译,如有差异,请以英文原文为准。

Long-Term Survival after Treatment with Induction Therapy and Surgery for Mediastinal Carcinoma of Unknown Primary.

Long-Term Survival after Treatment with Induction Therapy and Surgery for Mediastinal Carcinoma of Unknown Primary.

Long-Term Survival after Treatment with Induction Therapy and Surgery for Mediastinal Carcinoma of Unknown Primary.

Long-Term Survival after Treatment with Induction Therapy and Surgery for Mediastinal Carcinoma of Unknown Primary.

Introduction: Carcinoma of unknown primary (CUP) is rarely located in the mediastinum. Most cases are revealed to be metastatic lymph node carcinoma, which carries a poor prognosis. The optimal treatment for CUP confined to the mediastinum is yet to be established, and the long-term outcome of induction therapy in combination with surgery for mediastinal CUP is unclear.

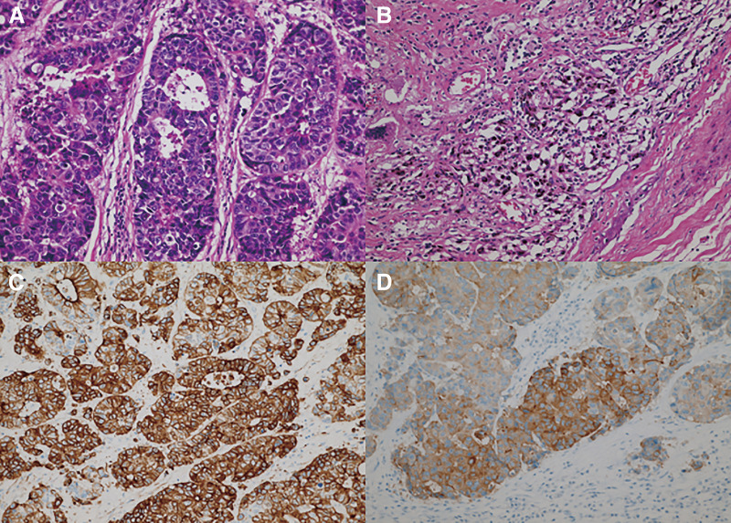
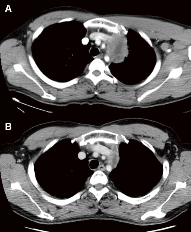
Case presentation: A 46-year-old man with no history of malignancy was diagnosed with anterior mediastinal adenocarcinoma through biopsy. The patient underwent chemoradiation for the tumor, which was initially suspected as invasive T4 lung cancer. After a favorable response to presurgical therapy, the tumor was deemed more likely a mediastinal tumor, and it was completely resected simultaneously with the thymus, the partial left lung, and the partial left innominate vein. The tumor contained histologic features identifiable as a lymph node tissue and lacked any thymic tissue, which led to the final diagnosis as metastatic lymph node adenocarcinoma; however, its origin was unknown. No signs of recurrence were detected for 13 years after surgery.

Conclusions: Our case suggests that even patients with mediastinal CUP deemed an advanced disease can achieve long-term survival after undergoing induction therapy and definitive surgery.

求助全文
通过发布文献求助,成功后即可免费获取论文全文。 去求助
来源期刊
自引率
0.00%
发文量
218
审稿时长
13 weeks
×
引用
GB/T 7714-2015
复制
MLA
复制
APA
复制
导出至
BibTeX EndNote RefMan NoteFirst NoteExpress
×
提示
您的信息不完整,为了账户安全,请先补充。
现在去补充
×
提示
您因"违规操作"
具体请查看互助需知
我知道了
×
提示
确定
请完成安全验证×
copy
已复制链接
快去分享给好友吧!
我知道了
右上角分享
点击右上角分享
0
联系我们:info@booksci.cn Book学术提供免费学术资源搜索服务,方便国内外学者检索中英文文献。致力于提供最便捷和优质的服务体验。 Copyright © 2023 布克学术 All rights reserved.
京ICP备2023020795号-1
ghs 京公网安备 11010802042870号
Book学术文献互助
Book学术文献互助群
群 号:604180095
Book学术官方微信