牙本质颗粒移植结合重组人血小板源性生长因子治疗牙周下颌骨缺损。

Q2 Dentistry
Vishal Garg, Amit Bhardwaj, Kirti Chawla
{"title":"牙本质颗粒移植结合重组人血小板源性生长因子治疗牙周下颌骨缺损。","authors":"Vishal Garg, Amit Bhardwaj, Kirti Chawla","doi":"10.4103/jisp.jisp_449_23","DOIUrl":null,"url":null,"abstract":"<p><p>Periodontal bone defects pose significant challenges in dentistry, necessitating effective treatment strategies. This case report explores the regenerative potential of using a combination of particulate dentin graft (PDG) derived from extracted teeth and recombinant human platelet-derived growth factor (rhPDGF) as bone graft material for the treatment of human periodontal infrabony defects. A 44-year-old male patient presented with a 9 mm pocket probing depth (PPD) and an 8 mm infrabony defect depth mesial to #13, with no gingival recession (GR). Following Phase I therapy, open flap debridement and grafting with PDG and rhPDGF were performed. Clinical and radiographic measurements were taken at baseline and 6 and 12 months. At 12 months, a 6 mm reduction in PPD and clinical attachment level gain were observed with no GR. 5 mm (83.33%) bone fill was seen radiographically. Within the limitations of this case report, the utilization of PDG with rhPDGF for the treatment of infrabony periodontal defects has emerged as a promising regenerative therapy.</p>","PeriodicalId":15890,"journal":{"name":"Journal of Indian Society of Periodontology","volume":"28 4","pages":"489-493"},"PeriodicalIF":0.0000,"publicationDate":"2024-07-01","publicationTypes":"Journal Article","fieldsOfStudy":null,"isOpenAccess":false,"openAccessPdf":"https://www.ncbi.nlm.nih.gov/pmc/articles/PMC11864331/pdf/","citationCount":"0","resultStr":"{\"title\":\"Treatment of periodontal infrabony defect using particulate dentin graft and recombinant human platelet-derived growth factor.\",\"authors\":\"Vishal Garg, Amit Bhardwaj, Kirti Chawla\",\"doi\":\"10.4103/jisp.jisp_449_23\",\"DOIUrl\":null,\"url\":null,\"abstract\":\"<p><p>Periodontal bone defects pose significant challenges in dentistry, necessitating effective treatment strategies. This case report explores the regenerative potential of using a combination of particulate dentin graft (PDG) derived from extracted teeth and recombinant human platelet-derived growth factor (rhPDGF) as bone graft material for the treatment of human periodontal infrabony defects. A 44-year-old male patient presented with a 9 mm pocket probing depth (PPD) and an 8 mm infrabony defect depth mesial to #13, with no gingival recession (GR). Following Phase I therapy, open flap debridement and grafting with PDG and rhPDGF were performed. Clinical and radiographic measurements were taken at baseline and 6 and 12 months. At 12 months, a 6 mm reduction in PPD and clinical attachment level gain were observed with no GR. 5 mm (83.33%) bone fill was seen radiographically. Within the limitations of this case report, the utilization of PDG with rhPDGF for the treatment of infrabony periodontal defects has emerged as a promising regenerative therapy.</p>\",\"PeriodicalId\":15890,\"journal\":{\"name\":\"Journal of Indian Society of Periodontology\",\"volume\":\"28 4\",\"pages\":\"489-493\"},\"PeriodicalIF\":0.0000,\"publicationDate\":\"2024-07-01\",\"publicationTypes\":\"Journal Article\",\"fieldsOfStudy\":null,\"isOpenAccess\":false,\"openAccessPdf\":\"https://www.ncbi.nlm.nih.gov/pmc/articles/PMC11864331/pdf/\",\"citationCount\":\"0\",\"resultStr\":null,\"platform\":\"Semanticscholar\",\"paperid\":null,\"PeriodicalName\":\"Journal of Indian Society of Periodontology\",\"FirstCategoryId\":\"1085\",\"ListUrlMain\":\"https://doi.org/10.4103/jisp.jisp_449_23\",\"RegionNum\":0,\"RegionCategory\":null,\"ArticlePicture\":[],\"TitleCN\":null,\"AbstractTextCN\":null,\"PMCID\":null,\"EPubDate\":\"2025/1/6 0:00:00\",\"PubModel\":\"Epub\",\"JCR\":\"Q2\",\"JCRName\":\"Dentistry\",\"Score\":null,\"Total\":0}","platform":"Semanticscholar","paperid":null,"PeriodicalName":"Journal of Indian Society of Periodontology","FirstCategoryId":"1085","ListUrlMain":"https://doi.org/10.4103/jisp.jisp_449_23","RegionNum":0,"RegionCategory":null,"ArticlePicture":[],"TitleCN":null,"AbstractTextCN":null,"PMCID":null,"EPubDate":"2025/1/6 0:00:00","PubModel":"Epub","JCR":"Q2","JCRName":"Dentistry","Score":null,"Total":0}
引用次数: 0

摘要

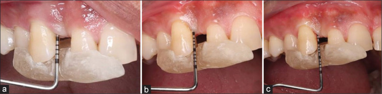
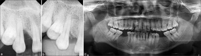
牙周骨缺损是牙科学的一大挑战,需要有效的治疗策略。本病例报告探讨了用提取牙齿的颗粒牙本质移植物(PDG)和重组人血小板衍生生长因子(rhPDGF)作为骨移植材料治疗人牙周下颌骨缺损的再生潜力。一名44岁男性患者表现为9 mm的牙袋探查深度(PPD)和8 mm的骨下缺损深度(近13 #),无牙龈退缩(GR)。在I期治疗后,进行开放皮瓣清创和PDG和rhPDGF移植。在基线、6个月和12个月进行临床和影像学测量。12个月时,观察到PPD减少6mm,临床附着水平增加,无GR。x线片显示5 mm(83.33%)骨填充。在本病例报告的限制下,利用PDG与rhPDGF治疗骨下牙周缺损已成为一种有前途的再生疗法。
本文章由计算机程序翻译,如有差异,请以英文原文为准。

Treatment of periodontal infrabony defect using particulate dentin graft and recombinant human platelet-derived growth factor.

Treatment of periodontal infrabony defect using particulate dentin graft and recombinant human platelet-derived growth factor.

Treatment of periodontal infrabony defect using particulate dentin graft and recombinant human platelet-derived growth factor.

Treatment of periodontal infrabony defect using particulate dentin graft and recombinant human platelet-derived growth factor.

Periodontal bone defects pose significant challenges in dentistry, necessitating effective treatment strategies. This case report explores the regenerative potential of using a combination of particulate dentin graft (PDG) derived from extracted teeth and recombinant human platelet-derived growth factor (rhPDGF) as bone graft material for the treatment of human periodontal infrabony defects. A 44-year-old male patient presented with a 9 mm pocket probing depth (PPD) and an 8 mm infrabony defect depth mesial to #13, with no gingival recession (GR). Following Phase I therapy, open flap debridement and grafting with PDG and rhPDGF were performed. Clinical and radiographic measurements were taken at baseline and 6 and 12 months. At 12 months, a 6 mm reduction in PPD and clinical attachment level gain were observed with no GR. 5 mm (83.33%) bone fill was seen radiographically. Within the limitations of this case report, the utilization of PDG with rhPDGF for the treatment of infrabony periodontal defects has emerged as a promising regenerative therapy.

求助全文
通过发布文献求助,成功后即可免费获取论文全文。 去求助
来源期刊
CiteScore
1.70
自引率
0.00%
发文量
87
审稿时长
44 weeks
期刊介绍: The Journal of Indian Society of Periodontology publishes original scientific articles to support practice , education and research in the dental specialty of periodontology and oral implantology. Journal of Indian Society of Periodontology (JISP), is the official publication of the Society and is managed and brought out by the Editor of the society. The journal is published Bimonthly with special issues being brought out for specific occasions. The ISP had a bulletin as its publication for a large number of years and was enhanced as a Journal a few years ago
×
引用
GB/T 7714-2015
复制
MLA
复制
APA
复制
导出至
BibTeX EndNote RefMan NoteFirst NoteExpress
×
提示
您的信息不完整,为了账户安全,请先补充。
现在去补充
×
提示
您因"违规操作"
具体请查看互助需知
我知道了
×
提示
确定
请完成安全验证×
copy
已复制链接
快去分享给好友吧!
我知道了
右上角分享
点击右上角分享
0
联系我们:info@booksci.cn Book学术提供免费学术资源搜索服务,方便国内外学者检索中英文文献。致力于提供最便捷和优质的服务体验。 Copyright © 2023 布克学术 All rights reserved.
京ICP备2023020795号-1
ghs 京公网安备 11010802042870号
Book学术文献互助
Book学术文献互助群
群 号:604180095
Book学术官方微信