疏忽牙龈过度生长导致整个牙列的丧失。

Q2 Dentistry
Monali Shah, Vandana Shah, Megha Ellu Poojari, Nishanta Bora
{"title":"疏忽牙龈过度生长导致整个牙列的丧失。","authors":"Monali Shah, Vandana Shah, Megha Ellu Poojari, Nishanta Bora","doi":"10.4103/jisp.jisp_147_23","DOIUrl":null,"url":null,"abstract":"<p><p>Drug-induced gingival enlargement often occurs due to patient's lack of awareness about the side effects of prescribed medications. This case report details an unusual instance of massive drug-induced gingival overgrowth in a 50-year-old female, successfully managed through a multidisciplinary approach, including surgical intervention and prosthetic rehabilitation. The surgical treatment involved multiple extractions and the excision of excessive tissue. Both arches healed completely after surgery, and the patient underwent prosthetic rehabilitation, with no signs of recurrence. Effective management of such cases relies on patient counseling and appropriate drug substitution. Increasing awareness about the side effects of certain medications and the connection between systemic and oral health is crucial to prevent such cases of gingival enlargement.</p>","PeriodicalId":15890,"journal":{"name":"Journal of Indian Society of Periodontology","volume":"28 4","pages":"494-498"},"PeriodicalIF":0.0000,"publicationDate":"2024-07-01","publicationTypes":"Journal Article","fieldsOfStudy":null,"isOpenAccess":false,"openAccessPdf":"https://www.ncbi.nlm.nih.gov/pmc/articles/PMC11864326/pdf/","citationCount":"0","resultStr":"{\"title\":\"Negligence of gingival overgrowth leading to loss of entire dentition.\",\"authors\":\"Monali Shah, Vandana Shah, Megha Ellu Poojari, Nishanta Bora\",\"doi\":\"10.4103/jisp.jisp_147_23\",\"DOIUrl\":null,\"url\":null,\"abstract\":\"<p><p>Drug-induced gingival enlargement often occurs due to patient's lack of awareness about the side effects of prescribed medications. This case report details an unusual instance of massive drug-induced gingival overgrowth in a 50-year-old female, successfully managed through a multidisciplinary approach, including surgical intervention and prosthetic rehabilitation. The surgical treatment involved multiple extractions and the excision of excessive tissue. Both arches healed completely after surgery, and the patient underwent prosthetic rehabilitation, with no signs of recurrence. Effective management of such cases relies on patient counseling and appropriate drug substitution. Increasing awareness about the side effects of certain medications and the connection between systemic and oral health is crucial to prevent such cases of gingival enlargement.</p>\",\"PeriodicalId\":15890,\"journal\":{\"name\":\"Journal of Indian Society of Periodontology\",\"volume\":\"28 4\",\"pages\":\"494-498\"},\"PeriodicalIF\":0.0000,\"publicationDate\":\"2024-07-01\",\"publicationTypes\":\"Journal Article\",\"fieldsOfStudy\":null,\"isOpenAccess\":false,\"openAccessPdf\":\"https://www.ncbi.nlm.nih.gov/pmc/articles/PMC11864326/pdf/\",\"citationCount\":\"0\",\"resultStr\":null,\"platform\":\"Semanticscholar\",\"paperid\":null,\"PeriodicalName\":\"Journal of Indian Society of Periodontology\",\"FirstCategoryId\":\"1085\",\"ListUrlMain\":\"https://doi.org/10.4103/jisp.jisp_147_23\",\"RegionNum\":0,\"RegionCategory\":null,\"ArticlePicture\":[],\"TitleCN\":null,\"AbstractTextCN\":null,\"PMCID\":null,\"EPubDate\":\"2025/1/6 0:00:00\",\"PubModel\":\"Epub\",\"JCR\":\"Q2\",\"JCRName\":\"Dentistry\",\"Score\":null,\"Total\":0}","platform":"Semanticscholar","paperid":null,"PeriodicalName":"Journal of Indian Society of Periodontology","FirstCategoryId":"1085","ListUrlMain":"https://doi.org/10.4103/jisp.jisp_147_23","RegionNum":0,"RegionCategory":null,"ArticlePicture":[],"TitleCN":null,"AbstractTextCN":null,"PMCID":null,"EPubDate":"2025/1/6 0:00:00","PubModel":"Epub","JCR":"Q2","JCRName":"Dentistry","Score":null,"Total":0}
引用次数: 0

摘要

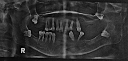
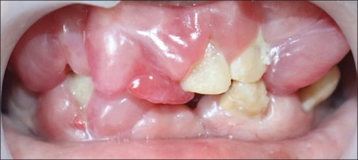
药物性牙龈肿大通常是由于患者对处方药的副作用缺乏认识而发生的。本病例报告详细介绍了一位50岁女性的罕见的大量药物引起的牙龈过度生长,通过多学科方法,包括手术干预和假肢康复,成功地进行了治疗。手术治疗包括多次摘除和切除多余组织。手术后两足弓完全愈合,患者接受了假肢康复治疗,无复发迹象。此类病例的有效管理依赖于患者咨询和适当的药物替代。提高对某些药物的副作用以及全身和口腔健康之间的联系的认识对于预防这类牙龈肿大的病例至关重要。
本文章由计算机程序翻译,如有差异,请以英文原文为准。

Negligence of gingival overgrowth leading to loss of entire dentition.

Negligence of gingival overgrowth leading to loss of entire dentition.

Negligence of gingival overgrowth leading to loss of entire dentition.

Negligence of gingival overgrowth leading to loss of entire dentition.

Drug-induced gingival enlargement often occurs due to patient's lack of awareness about the side effects of prescribed medications. This case report details an unusual instance of massive drug-induced gingival overgrowth in a 50-year-old female, successfully managed through a multidisciplinary approach, including surgical intervention and prosthetic rehabilitation. The surgical treatment involved multiple extractions and the excision of excessive tissue. Both arches healed completely after surgery, and the patient underwent prosthetic rehabilitation, with no signs of recurrence. Effective management of such cases relies on patient counseling and appropriate drug substitution. Increasing awareness about the side effects of certain medications and the connection between systemic and oral health is crucial to prevent such cases of gingival enlargement.

求助全文
通过发布文献求助,成功后即可免费获取论文全文。 去求助
来源期刊
CiteScore
1.70
自引率
0.00%
发文量
87
审稿时长
44 weeks
期刊介绍: The Journal of Indian Society of Periodontology publishes original scientific articles to support practice , education and research in the dental specialty of periodontology and oral implantology. Journal of Indian Society of Periodontology (JISP), is the official publication of the Society and is managed and brought out by the Editor of the society. The journal is published Bimonthly with special issues being brought out for specific occasions. The ISP had a bulletin as its publication for a large number of years and was enhanced as a Journal a few years ago
×
引用
GB/T 7714-2015
复制
MLA
复制
APA
复制
导出至
BibTeX EndNote RefMan NoteFirst NoteExpress
×
提示
您的信息不完整,为了账户安全,请先补充。
现在去补充
×
提示
您因"违规操作"
具体请查看互助需知
我知道了
×
提示
确定
请完成安全验证×
copy
已复制链接
快去分享给好友吧!
我知道了
右上角分享
点击右上角分享
0
联系我们:info@booksci.cn Book学术提供免费学术资源搜索服务,方便国内外学者检索中英文文献。致力于提供最便捷和优质的服务体验。 Copyright © 2023 布克学术 All rights reserved.
京ICP备2023020795号-1
ghs 京公网安备 11010802042870号
Book学术文献互助
Book学术文献互助群
群 号:604180095
Book学术官方微信