上颌毛霉菌病伪装成牙髓-牙周病变。

Q2 Dentistry
Journal of Indian Society of Periodontology Pub Date : 2024-07-01 Epub Date: 2025-01-06 DOI:10.4103/jisp.jisp_89_24
Abubacker Afreen Jannath, Krishnan Viswanathan, Sambanthan Thiruneelakandan, Rajasekar Sundaram, Srinivasan Sivapragasam
{"title":"上颌毛霉菌病伪装成牙髓-牙周病变。","authors":"Abubacker Afreen Jannath, Krishnan Viswanathan, Sambanthan Thiruneelakandan, Rajasekar Sundaram, Srinivasan Sivapragasam","doi":"10.4103/jisp.jisp_89_24","DOIUrl":null,"url":null,"abstract":"<p><p>Endodontic-periodontal (endo-perio) lesions are commonly encountered in dental clinics, with patients typically presenting with acute pulpal pain, often accompanied by abscess formation and tooth mobility. Management generally involves root canal treatment (RCT) and, if required, surgical intervention. This article discusses a notable case of a 43-year-old male patient who presented with a chief complaint of pain and loose teeth in the upper left back region for the past 3 weeks. Phase I periodontal therapy was initiated, followed by RCT of teeth #21 to #25. However, 2 weeks later, the patient presented with swelling, prompting surgical excision and biopsy. Histopathological analysis revealed nonseptate hyphae with right-angle branching, indicative of mucormycosis.</p>","PeriodicalId":15890,"journal":{"name":"Journal of Indian Society of Periodontology","volume":"28 4","pages":"484-488"},"PeriodicalIF":0.0000,"publicationDate":"2024-07-01","publicationTypes":"Journal Article","fieldsOfStudy":null,"isOpenAccess":false,"openAccessPdf":"https://www.ncbi.nlm.nih.gov/pmc/articles/PMC11864335/pdf/","citationCount":"0","resultStr":"{\"title\":\"Maxillary mucormycosis masquerading as an endodontic-periodontal lesion.\",\"authors\":\"Abubacker Afreen Jannath, Krishnan Viswanathan, Sambanthan Thiruneelakandan, Rajasekar Sundaram, Srinivasan Sivapragasam\",\"doi\":\"10.4103/jisp.jisp_89_24\",\"DOIUrl\":null,\"url\":null,\"abstract\":\"<p><p>Endodontic-periodontal (endo-perio) lesions are commonly encountered in dental clinics, with patients typically presenting with acute pulpal pain, often accompanied by abscess formation and tooth mobility. Management generally involves root canal treatment (RCT) and, if required, surgical intervention. This article discusses a notable case of a 43-year-old male patient who presented with a chief complaint of pain and loose teeth in the upper left back region for the past 3 weeks. Phase I periodontal therapy was initiated, followed by RCT of teeth #21 to #25. However, 2 weeks later, the patient presented with swelling, prompting surgical excision and biopsy. Histopathological analysis revealed nonseptate hyphae with right-angle branching, indicative of mucormycosis.</p>\",\"PeriodicalId\":15890,\"journal\":{\"name\":\"Journal of Indian Society of Periodontology\",\"volume\":\"28 4\",\"pages\":\"484-488\"},\"PeriodicalIF\":0.0000,\"publicationDate\":\"2024-07-01\",\"publicationTypes\":\"Journal Article\",\"fieldsOfStudy\":null,\"isOpenAccess\":false,\"openAccessPdf\":\"https://www.ncbi.nlm.nih.gov/pmc/articles/PMC11864335/pdf/\",\"citationCount\":\"0\",\"resultStr\":null,\"platform\":\"Semanticscholar\",\"paperid\":null,\"PeriodicalName\":\"Journal of Indian Society of Periodontology\",\"FirstCategoryId\":\"1085\",\"ListUrlMain\":\"https://doi.org/10.4103/jisp.jisp_89_24\",\"RegionNum\":0,\"RegionCategory\":null,\"ArticlePicture\":[],\"TitleCN\":null,\"AbstractTextCN\":null,\"PMCID\":null,\"EPubDate\":\"2025/1/6 0:00:00\",\"PubModel\":\"Epub\",\"JCR\":\"Q2\",\"JCRName\":\"Dentistry\",\"Score\":null,\"Total\":0}","platform":"Semanticscholar","paperid":null,"PeriodicalName":"Journal of Indian Society of Periodontology","FirstCategoryId":"1085","ListUrlMain":"https://doi.org/10.4103/jisp.jisp_89_24","RegionNum":0,"RegionCategory":null,"ArticlePicture":[],"TitleCN":null,"AbstractTextCN":null,"PMCID":null,"EPubDate":"2025/1/6 0:00:00","PubModel":"Epub","JCR":"Q2","JCRName":"Dentistry","Score":null,"Total":0}
引用次数: 0

摘要

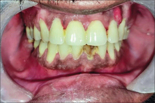
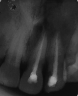
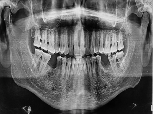
牙髓-牙周(根管-牙周)病变在牙科诊所很常见,患者通常表现为急性牙髓疼痛,常常伴有脓肿形成和牙齿移动。治疗方法一般包括根管治疗(RCT),必要时进行外科手术。本文讨论的是一个值得注意的病例,患者是一名 43 岁的男性,主诉是左上背部疼痛和牙齿松动已持续 3 周。患者接受了一期牙周治疗,随后对 21 号至 25 号牙齿进行了 RCT 治疗。然而,2 周后,患者出现肿胀,于是进行了手术切除和活检。组织病理学分析表明,该病菌为无隔膜的菌丝,具有直角分支,显示为粘孢子菌病。
本文章由计算机程序翻译,如有差异,请以英文原文为准。

Maxillary mucormycosis masquerading as an endodontic-periodontal lesion.

Maxillary mucormycosis masquerading as an endodontic-periodontal lesion.

Maxillary mucormycosis masquerading as an endodontic-periodontal lesion.

Maxillary mucormycosis masquerading as an endodontic-periodontal lesion.

Endodontic-periodontal (endo-perio) lesions are commonly encountered in dental clinics, with patients typically presenting with acute pulpal pain, often accompanied by abscess formation and tooth mobility. Management generally involves root canal treatment (RCT) and, if required, surgical intervention. This article discusses a notable case of a 43-year-old male patient who presented with a chief complaint of pain and loose teeth in the upper left back region for the past 3 weeks. Phase I periodontal therapy was initiated, followed by RCT of teeth #21 to #25. However, 2 weeks later, the patient presented with swelling, prompting surgical excision and biopsy. Histopathological analysis revealed nonseptate hyphae with right-angle branching, indicative of mucormycosis.

求助全文
通过发布文献求助,成功后即可免费获取论文全文。 去求助
来源期刊
CiteScore
1.70
自引率
0.00%
发文量
87
审稿时长
44 weeks
期刊介绍: The Journal of Indian Society of Periodontology publishes original scientific articles to support practice , education and research in the dental specialty of periodontology and oral implantology. Journal of Indian Society of Periodontology (JISP), is the official publication of the Society and is managed and brought out by the Editor of the society. The journal is published Bimonthly with special issues being brought out for specific occasions. The ISP had a bulletin as its publication for a large number of years and was enhanced as a Journal a few years ago
×
引用
GB/T 7714-2015
复制
MLA
复制
APA
复制
导出至
BibTeX EndNote RefMan NoteFirst NoteExpress
×
提示
您的信息不完整,为了账户安全,请先补充。
现在去补充
×
提示
您因"违规操作"
具体请查看互助需知
我知道了
×
提示
确定
请完成安全验证×
copy
已复制链接
快去分享给好友吧!
我知道了
右上角分享
点击右上角分享
0
联系我们:info@booksci.cn Book学术提供免费学术资源搜索服务,方便国内外学者检索中英文文献。致力于提供最便捷和优质的服务体验。 Copyright © 2023 布克学术 All rights reserved.
京ICP备2023020795号-1
ghs 京公网安备 11010802042870号
Book学术文献互助
Book学术文献互助群
群 号:604180095
Book学术官方微信