食管癌伴右上肺静脉异常胸腔镜食管切除术伴隆突下淋巴结清扫术中吲哚菁绿荧光显像1例并文献复习。

IF 1.3
Naoto Ujiie, Takanobu Nakamura, Takahiro Heishi, Yusuke Taniyama, Takashi Kamei
{"title":"食管癌伴右上肺静脉异常胸腔镜食管切除术伴隆突下淋巴结清扫术中吲哚菁绿荧光显像1例并文献复习。","authors":"Naoto Ujiie, Takanobu Nakamura, Takahiro Heishi, Yusuke Taniyama, Takashi Kamei","doi":"10.5761/atcs.cr.25-00015","DOIUrl":null,"url":null,"abstract":"<p><p>A 68-year-old woman was diagnosed with clinical T3N1M0 middle thoracic esophageal cancer. Preoperative three-dimensional computed tomography indicated a right superior posterior pulmonary vein (RSPPV) anomaly, which ran behind the right intermediate bronchus. The patient underwent thoracoscopic esophagectomy with mediastinal lymph node (LN) dissection. Before we began the dissection of the right subcarinal LN, we administered indocyanine green intravenously to confirm the running position of the anomalous RSPPV, and we were able to ascertain its placement accurately with correct recognition of the difference between the blood vessels and surrounding tissue. Although the patient had LN metastasis adjacent to this anomalous vessel and the dissection procedure was tough due to tightly adhesion, intraoperative fluorescent imaging enabled us to perform the dissection without any superfluous vascular injury. Intraoperative fluorescent imaging is very useful in such cases, providing accurate intraoperative information on the location of the anomaly and facilitating safer surgery.</p>","PeriodicalId":93877,"journal":{"name":"Annals of thoracic and cardiovascular surgery : official journal of the Association of Thoracic and Cardiovascular Surgeons of Asia","volume":"31 1","pages":""},"PeriodicalIF":1.3000,"publicationDate":"2025-01-01","publicationTypes":"Journal Article","fieldsOfStudy":null,"isOpenAccess":false,"openAccessPdf":"https://www.ncbi.nlm.nih.gov/pmc/articles/PMC11891391/pdf/","citationCount":"0","resultStr":"{\"title\":\"Intraoperative Fluorescent Imaging with Indocyanine Green during Thoracoscopic Esophagectomy with Subcarinal Lymph Node Dissection for Esophageal Cancer with a Right Superior Pulmonary Vein Anomaly: A Case Report and Literature Review.\",\"authors\":\"Naoto Ujiie, Takanobu Nakamura, Takahiro Heishi, Yusuke Taniyama, Takashi Kamei\",\"doi\":\"10.5761/atcs.cr.25-00015\",\"DOIUrl\":null,\"url\":null,\"abstract\":\"<p><p>A 68-year-old woman was diagnosed with clinical T3N1M0 middle thoracic esophageal cancer. Preoperative three-dimensional computed tomography indicated a right superior posterior pulmonary vein (RSPPV) anomaly, which ran behind the right intermediate bronchus. The patient underwent thoracoscopic esophagectomy with mediastinal lymph node (LN) dissection. Before we began the dissection of the right subcarinal LN, we administered indocyanine green intravenously to confirm the running position of the anomalous RSPPV, and we were able to ascertain its placement accurately with correct recognition of the difference between the blood vessels and surrounding tissue. Although the patient had LN metastasis adjacent to this anomalous vessel and the dissection procedure was tough due to tightly adhesion, intraoperative fluorescent imaging enabled us to perform the dissection without any superfluous vascular injury. Intraoperative fluorescent imaging is very useful in such cases, providing accurate intraoperative information on the location of the anomaly and facilitating safer surgery.</p>\",\"PeriodicalId\":93877,\"journal\":{\"name\":\"Annals of thoracic and cardiovascular surgery : official journal of the Association of Thoracic and Cardiovascular Surgeons of Asia\",\"volume\":\"31 1\",\"pages\":\"\"},\"PeriodicalIF\":1.3000,\"publicationDate\":\"2025-01-01\",\"publicationTypes\":\"Journal Article\",\"fieldsOfStudy\":null,\"isOpenAccess\":false,\"openAccessPdf\":\"https://www.ncbi.nlm.nih.gov/pmc/articles/PMC11891391/pdf/\",\"citationCount\":\"0\",\"resultStr\":null,\"platform\":\"Semanticscholar\",\"paperid\":null,\"PeriodicalName\":\"Annals of thoracic and cardiovascular surgery : official journal of the Association of Thoracic and Cardiovascular Surgeons of Asia\",\"FirstCategoryId\":\"1085\",\"ListUrlMain\":\"https://doi.org/10.5761/atcs.cr.25-00015\",\"RegionNum\":0,\"RegionCategory\":null,\"ArticlePicture\":[],\"TitleCN\":null,\"AbstractTextCN\":null,\"PMCID\":null,\"EPubDate\":\"\",\"PubModel\":\"\",\"JCR\":\"\",\"JCRName\":\"\",\"Score\":null,\"Total\":0}","platform":"Semanticscholar","paperid":null,"PeriodicalName":"Annals of thoracic and cardiovascular surgery : official journal of the Association of Thoracic and Cardiovascular Surgeons of Asia","FirstCategoryId":"1085","ListUrlMain":"https://doi.org/10.5761/atcs.cr.25-00015","RegionNum":0,"RegionCategory":null,"ArticlePicture":[],"TitleCN":null,"AbstractTextCN":null,"PMCID":null,"EPubDate":"","PubModel":"","JCR":"","JCRName":"","Score":null,"Total":0}
引用次数: 0

摘要

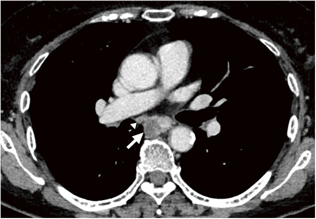
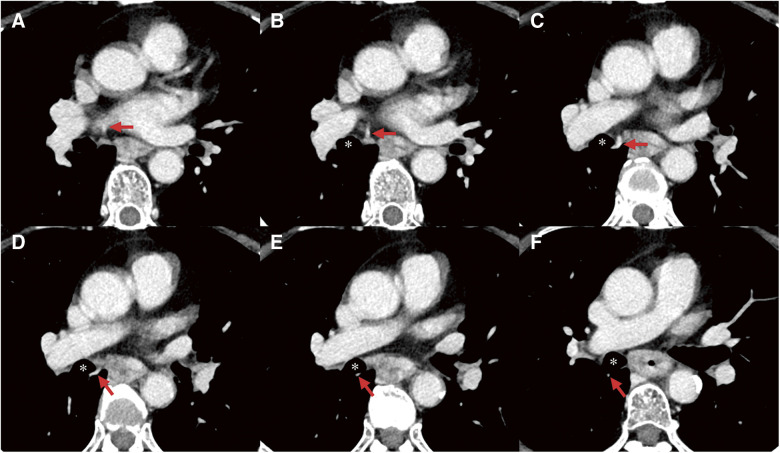
一名68岁女性被诊断为临床T3N1M0中胸食管癌。术前三维计算机断层扫描显示右上后肺静脉(RSPPV)异常,位于右中间支气管后方。患者行胸腔镜食管切除术并纵膈淋巴结清扫术。在我们开始解剖右侧隆突下淋巴结之前,我们静脉注射吲哚菁绿以确定异常RSPPV的运行位置,我们能够准确地确定其位置,正确识别血管和周围组织之间的差异。尽管患者在异常血管附近有淋巴结转移,并且由于粘连紧密,剥离手术很困难,但术中荧光成像使我们能够在没有任何多余血管损伤的情况下进行剥离。在这种情况下,术中荧光成像非常有用,可以提供关于异常位置的准确术中信息,促进更安全的手术。
本文章由计算机程序翻译,如有差异,请以英文原文为准。

Intraoperative Fluorescent Imaging with Indocyanine Green during Thoracoscopic Esophagectomy with Subcarinal Lymph Node Dissection for Esophageal Cancer with a Right Superior Pulmonary Vein Anomaly: A Case Report and Literature Review.

Intraoperative Fluorescent Imaging with Indocyanine Green during Thoracoscopic Esophagectomy with Subcarinal Lymph Node Dissection for Esophageal Cancer with a Right Superior Pulmonary Vein Anomaly: A Case Report and Literature Review.

Intraoperative Fluorescent Imaging with Indocyanine Green during Thoracoscopic Esophagectomy with Subcarinal Lymph Node Dissection for Esophageal Cancer with a Right Superior Pulmonary Vein Anomaly: A Case Report and Literature Review.

Intraoperative Fluorescent Imaging with Indocyanine Green during Thoracoscopic Esophagectomy with Subcarinal Lymph Node Dissection for Esophageal Cancer with a Right Superior Pulmonary Vein Anomaly: A Case Report and Literature Review.

A 68-year-old woman was diagnosed with clinical T3N1M0 middle thoracic esophageal cancer. Preoperative three-dimensional computed tomography indicated a right superior posterior pulmonary vein (RSPPV) anomaly, which ran behind the right intermediate bronchus. The patient underwent thoracoscopic esophagectomy with mediastinal lymph node (LN) dissection. Before we began the dissection of the right subcarinal LN, we administered indocyanine green intravenously to confirm the running position of the anomalous RSPPV, and we were able to ascertain its placement accurately with correct recognition of the difference between the blood vessels and surrounding tissue. Although the patient had LN metastasis adjacent to this anomalous vessel and the dissection procedure was tough due to tightly adhesion, intraoperative fluorescent imaging enabled us to perform the dissection without any superfluous vascular injury. Intraoperative fluorescent imaging is very useful in such cases, providing accurate intraoperative information on the location of the anomaly and facilitating safer surgery.

求助全文
通过发布文献求助,成功后即可免费获取论文全文。 去求助
来源期刊
自引率
0.00%
发文量
0
×
引用
GB/T 7714-2015
复制
MLA
复制
APA
复制
导出至
BibTeX EndNote RefMan NoteFirst NoteExpress
×
提示
您的信息不完整,为了账户安全,请先补充。
现在去补充
×
提示
您因"违规操作"
具体请查看互助需知
我知道了
×
提示
确定
请完成安全验证×
copy
已复制链接
快去分享给好友吧!
我知道了
右上角分享
点击右上角分享
0
联系我们:info@booksci.cn Book学术提供免费学术资源搜索服务,方便国内外学者检索中英文文献。致力于提供最便捷和优质的服务体验。 Copyright © 2023 布克学术 All rights reserved.
京ICP备2023020795号-1
ghs 京公网安备 11010802042870号
Book学术文献互助
Book学术文献互助群
群 号:604180095
Book学术官方微信