妊娠水牛的抗苗勒管激素(AMH):母体和胎儿血浆浓度和胎儿性腺的免疫定位。

IF 2.1 4区 农林科学 Q2 AGRICULTURE, DAIRY & ANIMAL SCIENCE
Animal Reproduction Pub Date : 2025-02-24 eCollection Date: 2025-01-01 DOI:10.1590/1984-3143-AR2023-0152
Nathalia Nogueira da Costa, Maria Auxiliadora Pantoja Ferreira, Priscilla do Carmo Azevedo Ramos, Alessandra Ximenes Santos, Marcela da Silva Cordeiro, Priscila di Paula Bessa Santana, Vanessa Cunha Brito, Thiago Velasco Guimarães Silva, Bruno Porpino Homobono, Eduardo Baia de Souza, William Allan King, Moyses Santos Miranda, Simone Socorro Damasceno Santos
{"title":"妊娠水牛的抗苗勒管激素(AMH):母体和胎儿血浆浓度和胎儿性腺的免疫定位。","authors":"Nathalia Nogueira da Costa, Maria Auxiliadora Pantoja Ferreira, Priscilla do Carmo Azevedo Ramos, Alessandra Ximenes Santos, Marcela da Silva Cordeiro, Priscila di Paula Bessa Santana, Vanessa Cunha Brito, Thiago Velasco Guimarães Silva, Bruno Porpino Homobono, Eduardo Baia de Souza, William Allan King, Moyses Santos Miranda, Simone Socorro Damasceno Santos","doi":"10.1590/1984-3143-AR2023-0152","DOIUrl":null,"url":null,"abstract":"<p><p>Anti-Müllerian Hormone (AMH), a member of the TGF-β superfamily, plays a critical role in mammalian fertility. This study aimed to investigate AMH concentrations in pregnant buffalo cows and their fetuses, and to characterize the cellular distribution and immunolocalization of AMH within fetal gonads. Gonads were collected from 12 male and 14 female buffalo fetuses, fixed in 10% buffered formalin, and processed for routine histological analysis and immunohistochemical localization of AMH. Blood samples were collected from 26 pregnant buffalo cows and their corresponding fetuses into EDTA-coated tubes. AMH levels in both maternal and fetal blood were quantified using a commercially available bovine AMH ELISA kit. Significant (p < 0.05) inter-individual variations in maternal and fetal AMH concentrations were observed. In males, fetal AMH concentrations increased significantly with gestational age, with levels substantially higher compared to females at all gestational ages (52-1222 times higher). Immunohistochemistry revealed intense AMH immunoreactivity in the cytoplasm of pre-Sertoli cells in male fetuses. In females, no significant correlation was found between fetal AMH concentrations and follicular populations, although intense AMH immunostaining was observed in the cytoplasm of oocytes within primordial follicles. These findings suggest that fetal AMH concentrations in buffaloes are influenced by gestational age and sex, and that fetal AMH likely does not readily cross the placental barrier. Further investigations are warranted to elucidate the intricate role of AMH in gonadal development and function in buffaloes.</p>","PeriodicalId":7889,"journal":{"name":"Animal Reproduction","volume":"22 1","pages":"e20230152"},"PeriodicalIF":2.1000,"publicationDate":"2025-02-24","publicationTypes":"Journal Article","fieldsOfStudy":null,"isOpenAccess":false,"openAccessPdf":"https://www.ncbi.nlm.nih.gov/pmc/articles/PMC11864731/pdf/","citationCount":"0","resultStr":"{\"title\":\"Anti-mullerian hormone (AMH) in pregnant buffaloes: maternal and fetal plasma concentrations and immunolocalization in the fetal gonads.\",\"authors\":\"Nathalia Nogueira da Costa, Maria Auxiliadora Pantoja Ferreira, Priscilla do Carmo Azevedo Ramos, Alessandra Ximenes Santos, Marcela da Silva Cordeiro, Priscila di Paula Bessa Santana, Vanessa Cunha Brito, Thiago Velasco Guimarães Silva, Bruno Porpino Homobono, Eduardo Baia de Souza, William Allan King, Moyses Santos Miranda, Simone Socorro Damasceno Santos\",\"doi\":\"10.1590/1984-3143-AR2023-0152\",\"DOIUrl\":null,\"url\":null,\"abstract\":\"<p><p>Anti-Müllerian Hormone (AMH), a member of the TGF-β superfamily, plays a critical role in mammalian fertility. This study aimed to investigate AMH concentrations in pregnant buffalo cows and their fetuses, and to characterize the cellular distribution and immunolocalization of AMH within fetal gonads. Gonads were collected from 12 male and 14 female buffalo fetuses, fixed in 10% buffered formalin, and processed for routine histological analysis and immunohistochemical localization of AMH. Blood samples were collected from 26 pregnant buffalo cows and their corresponding fetuses into EDTA-coated tubes. AMH levels in both maternal and fetal blood were quantified using a commercially available bovine AMH ELISA kit. Significant (p < 0.05) inter-individual variations in maternal and fetal AMH concentrations were observed. In males, fetal AMH concentrations increased significantly with gestational age, with levels substantially higher compared to females at all gestational ages (52-1222 times higher). Immunohistochemistry revealed intense AMH immunoreactivity in the cytoplasm of pre-Sertoli cells in male fetuses. In females, no significant correlation was found between fetal AMH concentrations and follicular populations, although intense AMH immunostaining was observed in the cytoplasm of oocytes within primordial follicles. These findings suggest that fetal AMH concentrations in buffaloes are influenced by gestational age and sex, and that fetal AMH likely does not readily cross the placental barrier. Further investigations are warranted to elucidate the intricate role of AMH in gonadal development and function in buffaloes.</p>\",\"PeriodicalId\":7889,\"journal\":{\"name\":\"Animal Reproduction\",\"volume\":\"22 1\",\"pages\":\"e20230152\"},\"PeriodicalIF\":2.1000,\"publicationDate\":\"2025-02-24\",\"publicationTypes\":\"Journal Article\",\"fieldsOfStudy\":null,\"isOpenAccess\":false,\"openAccessPdf\":\"https://www.ncbi.nlm.nih.gov/pmc/articles/PMC11864731/pdf/\",\"citationCount\":\"0\",\"resultStr\":null,\"platform\":\"Semanticscholar\",\"paperid\":null,\"PeriodicalName\":\"Animal Reproduction\",\"FirstCategoryId\":\"97\",\"ListUrlMain\":\"https://doi.org/10.1590/1984-3143-AR2023-0152\",\"RegionNum\":4,\"RegionCategory\":\"农林科学\",\"ArticlePicture\":[],\"TitleCN\":null,\"AbstractTextCN\":null,\"PMCID\":null,\"EPubDate\":\"2025/1/1 0:00:00\",\"PubModel\":\"eCollection\",\"JCR\":\"Q2\",\"JCRName\":\"AGRICULTURE, DAIRY & ANIMAL SCIENCE\",\"Score\":null,\"Total\":0}","platform":"Semanticscholar","paperid":null,"PeriodicalName":"Animal Reproduction","FirstCategoryId":"97","ListUrlMain":"https://doi.org/10.1590/1984-3143-AR2023-0152","RegionNum":4,"RegionCategory":"农林科学","ArticlePicture":[],"TitleCN":null,"AbstractTextCN":null,"PMCID":null,"EPubDate":"2025/1/1 0:00:00","PubModel":"eCollection","JCR":"Q2","JCRName":"AGRICULTURE, DAIRY & ANIMAL SCIENCE","Score":null,"Total":0}
引用次数: 0

摘要

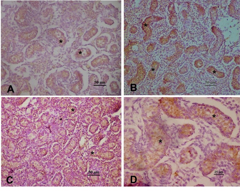
勒氏激素(AMH)是TGF-β超家族的成员,在哺乳动物的生育中起着至关重要的作用。本研究旨在研究AMH在妊娠水牛及其胎儿体内的浓度,并探讨AMH在胎儿性腺内的细胞分布和免疫定位。收集12只雄性和14只雌性水牛胎儿的性腺,固定在10%的福尔马林缓冲液中,进行常规组织学分析和AMH的免疫组织化学定位。将26头怀孕水牛及其胎儿的血液样本采集到edta涂层管中。使用市售的牛AMH酶联免疫吸附测定试剂盒定量测定母体和胎儿血液中的AMH水平。母体和胎儿AMH浓度个体间差异显著(p < 0.05)。在男性中,胎儿AMH浓度随着胎龄的增加而显著增加,与所有胎龄的女性相比,其水平都要高得多(高52-1222倍)。免疫组织化学显示,在男性胎儿的支持前细胞细胞质中存在强烈的AMH免疫反应性。在女性中,胎儿AMH浓度与卵泡数量之间没有明显的相关性,尽管在原始卵泡内的卵母细胞细胞质中观察到强烈的AMH免疫染色。这些发现表明,水牛胎儿AMH浓度受胎龄和性别的影响,胎儿AMH可能不易穿过胎盘屏障。进一步的研究需要阐明AMH在水牛性腺发育和功能中的复杂作用。
本文章由计算机程序翻译,如有差异,请以英文原文为准。

Anti-mullerian hormone (AMH) in pregnant buffaloes: maternal and fetal plasma concentrations and immunolocalization in the fetal gonads.

Anti-mullerian hormone (AMH) in pregnant buffaloes: maternal and fetal plasma concentrations and immunolocalization in the fetal gonads.

Anti-mullerian hormone (AMH) in pregnant buffaloes: maternal and fetal plasma concentrations and immunolocalization in the fetal gonads.

Anti-mullerian hormone (AMH) in pregnant buffaloes: maternal and fetal plasma concentrations and immunolocalization in the fetal gonads.

Anti-Müllerian Hormone (AMH), a member of the TGF-β superfamily, plays a critical role in mammalian fertility. This study aimed to investigate AMH concentrations in pregnant buffalo cows and their fetuses, and to characterize the cellular distribution and immunolocalization of AMH within fetal gonads. Gonads were collected from 12 male and 14 female buffalo fetuses, fixed in 10% buffered formalin, and processed for routine histological analysis and immunohistochemical localization of AMH. Blood samples were collected from 26 pregnant buffalo cows and their corresponding fetuses into EDTA-coated tubes. AMH levels in both maternal and fetal blood were quantified using a commercially available bovine AMH ELISA kit. Significant (p < 0.05) inter-individual variations in maternal and fetal AMH concentrations were observed. In males, fetal AMH concentrations increased significantly with gestational age, with levels substantially higher compared to females at all gestational ages (52-1222 times higher). Immunohistochemistry revealed intense AMH immunoreactivity in the cytoplasm of pre-Sertoli cells in male fetuses. In females, no significant correlation was found between fetal AMH concentrations and follicular populations, although intense AMH immunostaining was observed in the cytoplasm of oocytes within primordial follicles. These findings suggest that fetal AMH concentrations in buffaloes are influenced by gestational age and sex, and that fetal AMH likely does not readily cross the placental barrier. Further investigations are warranted to elucidate the intricate role of AMH in gonadal development and function in buffaloes.

求助全文
通过发布文献求助,成功后即可免费获取论文全文。 去求助
来源期刊
Animal Reproduction
Animal Reproduction AGRICULTURE, DAIRY & ANIMAL SCIENCE-
CiteScore
2.30
自引率
11.80%
发文量
49
审稿时长
70 days
期刊介绍: Animal Reproduction (AR) publishes original scientific papers and invited literature reviews, in the form of Basic Research, Biotechnology, Applied Research and Review Articles, with the goal of contributing to a better understanding of phenomena related to animal reproduction. The scope of the journal applies to students, researchers and practitioners in the fields of veterinary, biology and animal science, also being of interest to practitioners of human medicine. Animal Reproduction Journal is the official organ of the Brazilian College of Animal Reproduction in Brazil.
×
引用
GB/T 7714-2015
复制
MLA
复制
APA
复制
导出至
BibTeX EndNote RefMan NoteFirst NoteExpress
×
提示
您的信息不完整,为了账户安全,请先补充。
现在去补充
×
提示
您因"违规操作"
具体请查看互助需知
我知道了
×
提示
确定
请完成安全验证×
copy
已复制链接
快去分享给好友吧!
我知道了
右上角分享
点击右上角分享
0
联系我们:info@booksci.cn Book学术提供免费学术资源搜索服务,方便国内外学者检索中英文文献。致力于提供最便捷和优质的服务体验。 Copyright © 2023 布克学术 All rights reserved.
京ICP备2023020795号-1
ghs 京公网安备 11010802042870号
Book学术文献互助
Book学术文献互助群
群 号:604180095
Book学术官方微信