智能眼科摄像机在确定核性白内障分级中的可靠性和准确性。

Korean journal of ophthalmology : KJO Pub Date : 2025-04-01 Epub Date: 2025-02-26 DOI:10.3341/kjo.2023.0131
Anak Agung Mas Putrawati Triningrat, Angelo Doniho, Wayan Gede Jayanegara, I Gde Raka Widiana, Siska Wigono, Ni Made Laksmi Utari, Eisuke Shimizu, Shintaro Nakayama, Thendy Foraldy
{"title":"智能眼科摄像机在确定核性白内障分级中的可靠性和准确性。","authors":"Anak Agung Mas Putrawati Triningrat, Angelo Doniho, Wayan Gede Jayanegara, I Gde Raka Widiana, Siska Wigono, Ni Made Laksmi Utari, Eisuke Shimizu, Shintaro Nakayama, Thendy Foraldy","doi":"10.3341/kjo.2023.0131","DOIUrl":null,"url":null,"abstract":"<p><strong>Purpose: </strong>Cataracts are the cause of more than 50% of blindness in the world. Cataract is diagnosed using a slit lamp to evaluate the opacity of the lens. Slit lamps as the primary tools cataract are not available in primary care units. Smart Eye Camera (SEC) is a medical device placed on smartphone, capable of creating slit beam similar to conventional slit lamp. Previous studies have been conducted in Japan. We wanted to further compare ocular examination between SEC and conventional slit lamp with samples taken from UPTD Eye Clinic Ambon Vlissingen in Indonesia.</p><p><strong>Methods: </strong>Observational analytical study with a cross-sectional study design. The research sample consisted of 67 people selected by consecutive sampling. All samples were examined for cataracts using a conventional slit lamp and SEC. To evaluate the accuracy of SEC, diagnosis of cataract was carried out by one observer based on slit-lamp images. The results of examinations were then compared with the examinations by two observers based on the SEC video, where the videos were read two times in a span of 1 week.</p><p><strong>Results: </strong>Sixty-seven eye samples were taken with average age of 61.76 ± 5.83 years, visual acuity was 0.07 ± 0.12, intraocular pressure was 14.12 ± 2.06 mmHg, and SEC video duration was 4.15 ± 1.09 seconds. SEC intraobserver reliability has a κ of 0.795/0.818, SEC interobserver reliability has a κ of 0.795/0.817. SEC assessment accuracy for observer 1 has a κ of 0.606/0.681 and for observer 2 has a κ of 0.629/0.717, with the highest accuracy for cataract grade 3 (86.67% and 91.18%, respectively).</p><p><strong>Conclusions: </strong>This study shows SEC has good consistency and reliability in assessing the degree of nuclear cataract compared to conventional slit lamp. This tool could be used for cataract screening in remote areas.</p>","PeriodicalId":101356,"journal":{"name":"Korean journal of ophthalmology : KJO","volume":" ","pages":"114-124"},"PeriodicalIF":0.0000,"publicationDate":"2025-04-01","publicationTypes":"Journal Article","fieldsOfStudy":null,"isOpenAccess":false,"openAccessPdf":"https://www.ncbi.nlm.nih.gov/pmc/articles/PMC12010183/pdf/","citationCount":"0","resultStr":"{\"title\":\"Reliability and Accuracy of Smart Eye Camera in Determining Grading of Nuclear Cataract.\",\"authors\":\"Anak Agung Mas Putrawati Triningrat, Angelo Doniho, Wayan Gede Jayanegara, I Gde Raka Widiana, Siska Wigono, Ni Made Laksmi Utari, Eisuke Shimizu, Shintaro Nakayama, Thendy Foraldy\",\"doi\":\"10.3341/kjo.2023.0131\",\"DOIUrl\":null,\"url\":null,\"abstract\":\"<p><strong>Purpose: </strong>Cataracts are the cause of more than 50% of blindness in the world. Cataract is diagnosed using a slit lamp to evaluate the opacity of the lens. Slit lamps as the primary tools cataract are not available in primary care units. Smart Eye Camera (SEC) is a medical device placed on smartphone, capable of creating slit beam similar to conventional slit lamp. Previous studies have been conducted in Japan. We wanted to further compare ocular examination between SEC and conventional slit lamp with samples taken from UPTD Eye Clinic Ambon Vlissingen in Indonesia.</p><p><strong>Methods: </strong>Observational analytical study with a cross-sectional study design. The research sample consisted of 67 people selected by consecutive sampling. All samples were examined for cataracts using a conventional slit lamp and SEC. To evaluate the accuracy of SEC, diagnosis of cataract was carried out by one observer based on slit-lamp images. The results of examinations were then compared with the examinations by two observers based on the SEC video, where the videos were read two times in a span of 1 week.</p><p><strong>Results: </strong>Sixty-seven eye samples were taken with average age of 61.76 ± 5.83 years, visual acuity was 0.07 ± 0.12, intraocular pressure was 14.12 ± 2.06 mmHg, and SEC video duration was 4.15 ± 1.09 seconds. SEC intraobserver reliability has a κ of 0.795/0.818, SEC interobserver reliability has a κ of 0.795/0.817. SEC assessment accuracy for observer 1 has a κ of 0.606/0.681 and for observer 2 has a κ of 0.629/0.717, with the highest accuracy for cataract grade 3 (86.67% and 91.18%, respectively).</p><p><strong>Conclusions: </strong>This study shows SEC has good consistency and reliability in assessing the degree of nuclear cataract compared to conventional slit lamp. This tool could be used for cataract screening in remote areas.</p>\",\"PeriodicalId\":101356,\"journal\":{\"name\":\"Korean journal of ophthalmology : KJO\",\"volume\":\" \",\"pages\":\"114-124\"},\"PeriodicalIF\":0.0000,\"publicationDate\":\"2025-04-01\",\"publicationTypes\":\"Journal Article\",\"fieldsOfStudy\":null,\"isOpenAccess\":false,\"openAccessPdf\":\"https://www.ncbi.nlm.nih.gov/pmc/articles/PMC12010183/pdf/\",\"citationCount\":\"0\",\"resultStr\":null,\"platform\":\"Semanticscholar\",\"paperid\":null,\"PeriodicalName\":\"Korean journal of ophthalmology : KJO\",\"FirstCategoryId\":\"1085\",\"ListUrlMain\":\"https://doi.org/10.3341/kjo.2023.0131\",\"RegionNum\":0,\"RegionCategory\":null,\"ArticlePicture\":[],\"TitleCN\":null,\"AbstractTextCN\":null,\"PMCID\":null,\"EPubDate\":\"2025/2/26 0:00:00\",\"PubModel\":\"Epub\",\"JCR\":\"\",\"JCRName\":\"\",\"Score\":null,\"Total\":0}","platform":"Semanticscholar","paperid":null,"PeriodicalName":"Korean journal of ophthalmology : KJO","FirstCategoryId":"1085","ListUrlMain":"https://doi.org/10.3341/kjo.2023.0131","RegionNum":0,"RegionCategory":null,"ArticlePicture":[],"TitleCN":null,"AbstractTextCN":null,"PMCID":null,"EPubDate":"2025/2/26 0:00:00","PubModel":"Epub","JCR":"","JCRName":"","Score":null,"Total":0}
引用次数: 0

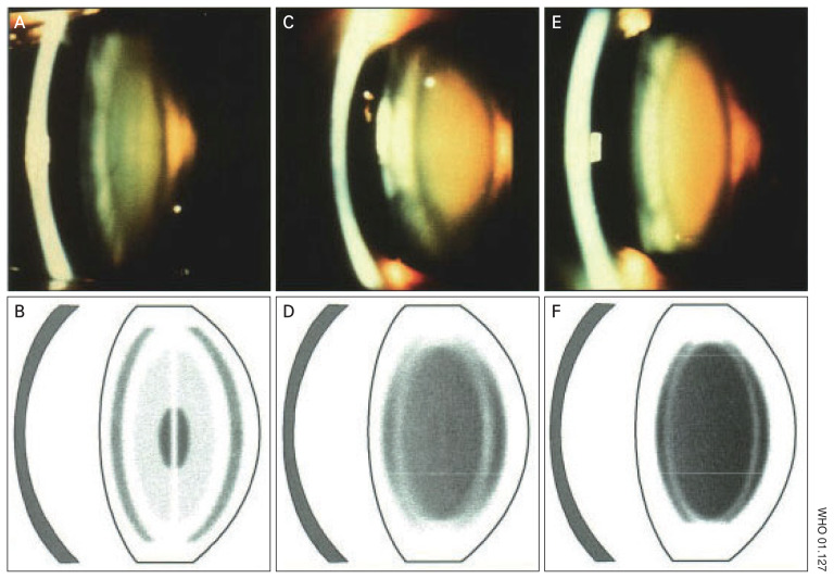
摘要

目的:白内障是世界上50%以上失明的原因。白内障的诊断使用裂隙灯来评估晶状体的浑浊程度。裂隙灯作为治疗白内障的主要工具在初级保健单位是不可用的。来自OUI公司的智能眼相机(SEC)是一种放置在智能手机上的医疗设备,能够产生类似于传统裂隙灯的裂隙光束。此前的研究由Shimizu等人在日本进行。研究人员希望将SEC和传统裂隙灯的眼部检查与来自印度尼西亚Ambon Vlissingen UPTD眼科诊所的样本进行进一步分析。方法:采用横断面研究设计的观察性分析研究。研究样本由连续抽样选出的67人组成。所有样本均使用常规裂隙灯和SEC检查白内障。为了评估SEC的准确性,由1名观察员根据裂隙灯图像进行白内障诊断。然后将考试结果与2名观察员根据SEC视频进行的考试进行比较,其中视频在1周内被阅读2次。结果:取眼67只,平均年龄61.76±5.83岁,视力0.07±0.12,眼压14.12±2.06,SEC视频时长4.15±1.09秒。SEC观察者内信度kappa为0.795/0.818,SEC观察者间信度kappa为0.795/0.817。观察者1的SEC评估准确率Kappa为0.606/0.681,观察者2的Kappa为0.629/0.717,3级白内障的准确率最高为86,67%/91,18%。结论:与传统裂隙灯相比,SEC在评估核性白内障程度方面具有良好的一致性和可靠性。该工具可用于偏远地区的白内障筛查。
本文章由计算机程序翻译,如有差异,请以英文原文为准。

Reliability and Accuracy of Smart Eye Camera in Determining Grading of Nuclear Cataract.

Reliability and Accuracy of Smart Eye Camera in Determining Grading of Nuclear Cataract.

Reliability and Accuracy of Smart Eye Camera in Determining Grading of Nuclear Cataract.

Reliability and Accuracy of Smart Eye Camera in Determining Grading of Nuclear Cataract.

Purpose: Cataracts are the cause of more than 50% of blindness in the world. Cataract is diagnosed using a slit lamp to evaluate the opacity of the lens. Slit lamps as the primary tools cataract are not available in primary care units. Smart Eye Camera (SEC) is a medical device placed on smartphone, capable of creating slit beam similar to conventional slit lamp. Previous studies have been conducted in Japan. We wanted to further compare ocular examination between SEC and conventional slit lamp with samples taken from UPTD Eye Clinic Ambon Vlissingen in Indonesia.

Methods: Observational analytical study with a cross-sectional study design. The research sample consisted of 67 people selected by consecutive sampling. All samples were examined for cataracts using a conventional slit lamp and SEC. To evaluate the accuracy of SEC, diagnosis of cataract was carried out by one observer based on slit-lamp images. The results of examinations were then compared with the examinations by two observers based on the SEC video, where the videos were read two times in a span of 1 week.

Results: Sixty-seven eye samples were taken with average age of 61.76 ± 5.83 years, visual acuity was 0.07 ± 0.12, intraocular pressure was 14.12 ± 2.06 mmHg, and SEC video duration was 4.15 ± 1.09 seconds. SEC intraobserver reliability has a κ of 0.795/0.818, SEC interobserver reliability has a κ of 0.795/0.817. SEC assessment accuracy for observer 1 has a κ of 0.606/0.681 and for observer 2 has a κ of 0.629/0.717, with the highest accuracy for cataract grade 3 (86.67% and 91.18%, respectively).

Conclusions: This study shows SEC has good consistency and reliability in assessing the degree of nuclear cataract compared to conventional slit lamp. This tool could be used for cataract screening in remote areas.

求助全文
通过发布文献求助,成功后即可免费获取论文全文。 去求助
来源期刊
自引率
0.00%
发文量
0
×
引用
GB/T 7714-2015
复制
MLA
复制
APA
复制
导出至
BibTeX EndNote RefMan NoteFirst NoteExpress
×
提示
您的信息不完整,为了账户安全,请先补充。
现在去补充
×
提示
您因"违规操作"
具体请查看互助需知
我知道了
×
提示
确定
请完成安全验证×
copy
已复制链接
快去分享给好友吧!
我知道了
右上角分享
点击右上角分享
0
联系我们:info@booksci.cn Book学术提供免费学术资源搜索服务,方便国内外学者检索中英文文献。致力于提供最便捷和优质的服务体验。 Copyright © 2023 布克学术 All rights reserved.
京ICP备2023020795号-1
ghs 京公网安备 11010802042870号
Book学术文献互助
Book学术文献互助群
群 号:604180095
Book学术官方微信