黄斑孔和葡萄膜黑色素瘤共存:病例系列和文献回顾。

Korean journal of ophthalmology : KJO Pub Date : 2025-04-01 Epub Date: 2025-02-26 DOI:10.3341/kjo.2024.0104
Yeji Kim, So Hyun Yu, Yong Joon Kim, Eun Young Choi, Sung Chul Lee, Christopher Seungkyu Lee
{"title":"黄斑孔和葡萄膜黑色素瘤共存:病例系列和文献回顾。","authors":"Yeji Kim, So Hyun Yu, Yong Joon Kim, Eun Young Choi, Sung Chul Lee, Christopher Seungkyu Lee","doi":"10.3341/kjo.2024.0104","DOIUrl":null,"url":null,"abstract":"<p><strong>Purpose: </strong>To report five cases of macular hole (MH) coexisting with uveal melanoma (UM) and review the literature.</p><p><strong>Methods: </strong>Seventeen patients (5 new and 12 from previous reports) with coexisting MH and UM were reviewed. The patients were divided into two groups based on whether the MH was diagnosed before or after tumor treatment. The clinical features, pathogenesis, management options, and clinical outcomes were reviewed.</p><p><strong>Results: </strong>Of 505 patients with UM in our institution, 5 (1.0%) had a concurrent MH in the ipsilateral eye. The 17 patients reviewed had a mean age of 63.9 years at the time of MH diagnosis. Of 16 patients with available data on sex, 11 (64.7%) were female. There were no major differences in the demographic or clinical data of the groups. Of the 15 known tumor locations, 6 (35.3%) were juxtapapillary or macular. In patients who developed MH after UM treatment, the durations from tumor treatment (radiotherapy or transpupillary thermotherapy) to MH diagnosis were 3 to 56 months (median, 8.5 months). MH surgery was performed in nine eyes, and hole closure was achieved in seven eyes with postoperative data. The mean visual acuity showed a tendency of improvement after surgery. No intraocular or extraocular tumor dissemination associated with surgery was observed.</p><p><strong>Conclusions: </strong>MH is observed in approximately 1% of patients with UM, either before or after tumor treatment. Of patients with coexisting MH and UM, MH surgery appears to be safe and effective in those with stable tumors and visual potential.</p>","PeriodicalId":101356,"journal":{"name":"Korean journal of ophthalmology : KJO","volume":" ","pages":"170-180"},"PeriodicalIF":0.0000,"publicationDate":"2025-04-01","publicationTypes":"Journal Article","fieldsOfStudy":null,"isOpenAccess":false,"openAccessPdf":"https://www.ncbi.nlm.nih.gov/pmc/articles/PMC12010186/pdf/","citationCount":"0","resultStr":"{\"title\":\"Coexisting Macular Hole and Uveal Melanoma: A Case Series and Literature Review.\",\"authors\":\"Yeji Kim, So Hyun Yu, Yong Joon Kim, Eun Young Choi, Sung Chul Lee, Christopher Seungkyu Lee\",\"doi\":\"10.3341/kjo.2024.0104\",\"DOIUrl\":null,\"url\":null,\"abstract\":\"<p><strong>Purpose: </strong>To report five cases of macular hole (MH) coexisting with uveal melanoma (UM) and review the literature.</p><p><strong>Methods: </strong>Seventeen patients (5 new and 12 from previous reports) with coexisting MH and UM were reviewed. The patients were divided into two groups based on whether the MH was diagnosed before or after tumor treatment. The clinical features, pathogenesis, management options, and clinical outcomes were reviewed.</p><p><strong>Results: </strong>Of 505 patients with UM in our institution, 5 (1.0%) had a concurrent MH in the ipsilateral eye. The 17 patients reviewed had a mean age of 63.9 years at the time of MH diagnosis. Of 16 patients with available data on sex, 11 (64.7%) were female. There were no major differences in the demographic or clinical data of the groups. Of the 15 known tumor locations, 6 (35.3%) were juxtapapillary or macular. In patients who developed MH after UM treatment, the durations from tumor treatment (radiotherapy or transpupillary thermotherapy) to MH diagnosis were 3 to 56 months (median, 8.5 months). MH surgery was performed in nine eyes, and hole closure was achieved in seven eyes with postoperative data. The mean visual acuity showed a tendency of improvement after surgery. No intraocular or extraocular tumor dissemination associated with surgery was observed.</p><p><strong>Conclusions: </strong>MH is observed in approximately 1% of patients with UM, either before or after tumor treatment. Of patients with coexisting MH and UM, MH surgery appears to be safe and effective in those with stable tumors and visual potential.</p>\",\"PeriodicalId\":101356,\"journal\":{\"name\":\"Korean journal of ophthalmology : KJO\",\"volume\":\" \",\"pages\":\"170-180\"},\"PeriodicalIF\":0.0000,\"publicationDate\":\"2025-04-01\",\"publicationTypes\":\"Journal Article\",\"fieldsOfStudy\":null,\"isOpenAccess\":false,\"openAccessPdf\":\"https://www.ncbi.nlm.nih.gov/pmc/articles/PMC12010186/pdf/\",\"citationCount\":\"0\",\"resultStr\":null,\"platform\":\"Semanticscholar\",\"paperid\":null,\"PeriodicalName\":\"Korean journal of ophthalmology : KJO\",\"FirstCategoryId\":\"1085\",\"ListUrlMain\":\"https://doi.org/10.3341/kjo.2024.0104\",\"RegionNum\":0,\"RegionCategory\":null,\"ArticlePicture\":[],\"TitleCN\":null,\"AbstractTextCN\":null,\"PMCID\":null,\"EPubDate\":\"2025/2/26 0:00:00\",\"PubModel\":\"Epub\",\"JCR\":\"\",\"JCRName\":\"\",\"Score\":null,\"Total\":0}","platform":"Semanticscholar","paperid":null,"PeriodicalName":"Korean journal of ophthalmology : KJO","FirstCategoryId":"1085","ListUrlMain":"https://doi.org/10.3341/kjo.2024.0104","RegionNum":0,"RegionCategory":null,"ArticlePicture":[],"TitleCN":null,"AbstractTextCN":null,"PMCID":null,"EPubDate":"2025/2/26 0:00:00","PubModel":"Epub","JCR":"","JCRName":"","Score":null,"Total":0}
引用次数: 0

摘要

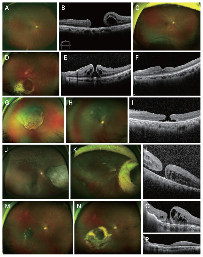
目的:报告5例黄斑孔(MH)合并葡萄膜黑色素瘤(UM)的病例,并复习相关文献。方法:对17例合并MH和UM的患者(新报告5例,既往报告12例)进行回顾性分析。根据患者在肿瘤治疗前或治疗后是否诊断出MH分为两组。本文对其临床特点、发病机制、治疗方案及临床结果进行综述。结果:本院505例UM患者中,5例(1%)同侧眼并发MH。17例患者在MH诊断时的平均年龄为63.9岁。在16例可获得性别数据的患者中,11例(64.7%)为女性。两组的人口学或临床数据没有重大差异。在已知的15个肿瘤位置中,6个(35.3%)位于乳头旁或黄斑。在第二组,从肿瘤治疗(放疗或上突热疗)到MH诊断的时间为3-56个月(中位数,8.5)。9只眼行MH手术,7只眼闭孔,术后资料齐全。术后平均VA有改善的趋势。没有观察到与手术相关的眼内或眼外肿瘤播散。结论:在肿瘤治疗之前或之后,大约1%的UM患者观察到MH。在同时存在MH和UM的患者中,对于肿瘤稳定且有视电位的患者,MH手术似乎是安全有效的。
本文章由计算机程序翻译,如有差异,请以英文原文为准。

Coexisting Macular Hole and Uveal Melanoma: A Case Series and Literature Review.

Coexisting Macular Hole and Uveal Melanoma: A Case Series and Literature Review.

Purpose: To report five cases of macular hole (MH) coexisting with uveal melanoma (UM) and review the literature.

Methods: Seventeen patients (5 new and 12 from previous reports) with coexisting MH and UM were reviewed. The patients were divided into two groups based on whether the MH was diagnosed before or after tumor treatment. The clinical features, pathogenesis, management options, and clinical outcomes were reviewed.

Results: Of 505 patients with UM in our institution, 5 (1.0%) had a concurrent MH in the ipsilateral eye. The 17 patients reviewed had a mean age of 63.9 years at the time of MH diagnosis. Of 16 patients with available data on sex, 11 (64.7%) were female. There were no major differences in the demographic or clinical data of the groups. Of the 15 known tumor locations, 6 (35.3%) were juxtapapillary or macular. In patients who developed MH after UM treatment, the durations from tumor treatment (radiotherapy or transpupillary thermotherapy) to MH diagnosis were 3 to 56 months (median, 8.5 months). MH surgery was performed in nine eyes, and hole closure was achieved in seven eyes with postoperative data. The mean visual acuity showed a tendency of improvement after surgery. No intraocular or extraocular tumor dissemination associated with surgery was observed.

Conclusions: MH is observed in approximately 1% of patients with UM, either before or after tumor treatment. Of patients with coexisting MH and UM, MH surgery appears to be safe and effective in those with stable tumors and visual potential.

求助全文
通过发布文献求助,成功后即可免费获取论文全文。 去求助
来源期刊
自引率
0.00%
发文量
0
×
引用
GB/T 7714-2015
复制
MLA
复制
APA
复制
导出至
BibTeX EndNote RefMan NoteFirst NoteExpress
×
提示
您的信息不完整,为了账户安全,请先补充。
现在去补充
×
提示
您因"违规操作"
具体请查看互助需知
我知道了
×
提示
确定
请完成安全验证×
copy
已复制链接
快去分享给好友吧!
我知道了
右上角分享
点击右上角分享
0
联系我们:info@booksci.cn Book学术提供免费学术资源搜索服务,方便国内外学者检索中英文文献。致力于提供最便捷和优质的服务体验。 Copyright © 2023 布克学术 All rights reserved.
京ICP备2023020795号-1
ghs 京公网安备 11010802042870号
Book学术文献互助
Book学术文献互助群
群 号:604180095
Book学术官方微信