中央心性视网膜色素变性的临床特征和视觉预后生物标志物:一项韩国队列研究。

Korean journal of ophthalmology : KJO Pub Date : 2025-04-01 Epub Date: 2025-02-26 DOI:10.3341/kjo.2024.0097
Su Ho Bae, Seung Woo Choi, Chang Ki Yoon, Un Chul Park, Kyu Hyung Park, Eun Kyoung Lee
{"title":"中央心性视网膜色素变性的临床特征和视觉预后生物标志物:一项韩国队列研究。","authors":"Su Ho Bae, Seung Woo Choi, Chang Ki Yoon, Un Chul Park, Kyu Hyung Park, Eun Kyoung Lee","doi":"10.3341/kjo.2024.0097","DOIUrl":null,"url":null,"abstract":"<p><strong>Purpose: </strong>To investigate the clinical characteristics of South Korean patients with pericentral retinitis pigmentosa (RP) and to identify clinical biomarkers associated with rapid visual acuity decline based on baseline factors.</p><p><strong>Methods: </strong>This retrospective study included 59 eyes of 31 patients diagnosed with pericentral RP. Comprehensive ophthalmological examinations and genetic sequencing were conducted to assess the baseline characteristics. For biomarker analysis, eyes were categorized into two groups based on the annual rate of change in visual acuity. The clinical findings of the two groups were evaluated to identify the biomarkers associated with rapid loss of visual acuity.</p><p><strong>Results: </strong>Patients with pericentral RP in this study exhibited a mean best-corrected visual acuity of 0.17 ± 0.23 in logarithm of the minimum angle of resolution. The visual field test showed annular or semicircular scotoma with relatively preserved periphery and 27 eyes (45.8%) exhibited no macular complications in optical coherence tomography. Genetic analysis identified genes associated with previous typical and pericentral RP studies but also highlighted that many genetic causes of pericentral RP remain unidentified. Of the 55 eyes for which the rate of visual acuity change could be estimated, 18 exhibited an annual decline of ≥10%, whereas 37 showed an annual decline of &lt;10%. Male sex and prolonged b-wave latency on dark-adapted 0.01 electroretinogram correlated with rapid visual acuity decline in the multivariate analysis.</p><p><strong>Conclusions: </strong>South Korean patients with pericentral RP exhibited a milder phenotype compared to typical RP patients reported in previous studies. Genetic analysis revealed heterogeneity, with mutations in some genes commonly associated with milder forms of RP. Male sex and prolonged b-wave latency on dark-adapted 0.01 electroretinogram were significant biomarkers for predicting rapid visual acuity decline. Monitoring initial b-wave latency is important for predicting visual decline, particularly in male patients with pericentral RP.</p>","PeriodicalId":101356,"journal":{"name":"Korean journal of ophthalmology : KJO","volume":" ","pages":"157-169"},"PeriodicalIF":0.0000,"publicationDate":"2025-04-01","publicationTypes":"Journal Article","fieldsOfStudy":null,"isOpenAccess":false,"openAccessPdf":"https://www.ncbi.nlm.nih.gov/pmc/articles/PMC12010173/pdf/","citationCount":"0","resultStr":"{\"title\":\"Clinical Characteristics and Visual Prognostic Biomarkers in Pericentral Retinitis Pigmentosa: A Study in a South Korean Cohort.\",\"authors\":\"Su Ho Bae, Seung Woo Choi, Chang Ki Yoon, Un Chul Park, Kyu Hyung Park, Eun Kyoung Lee\",\"doi\":\"10.3341/kjo.2024.0097\",\"DOIUrl\":null,\"url\":null,\"abstract\":\"<p><strong>Purpose: </strong>To investigate the clinical characteristics of South Korean patients with pericentral retinitis pigmentosa (RP) and to identify clinical biomarkers associated with rapid visual acuity decline based on baseline factors.</p><p><strong>Methods: </strong>This retrospective study included 59 eyes of 31 patients diagnosed with pericentral RP. Comprehensive ophthalmological examinations and genetic sequencing were conducted to assess the baseline characteristics. For biomarker analysis, eyes were categorized into two groups based on the annual rate of change in visual acuity. The clinical findings of the two groups were evaluated to identify the biomarkers associated with rapid loss of visual acuity.</p><p><strong>Results: </strong>Patients with pericentral RP in this study exhibited a mean best-corrected visual acuity of 0.17 ± 0.23 in logarithm of the minimum angle of resolution. The visual field test showed annular or semicircular scotoma with relatively preserved periphery and 27 eyes (45.8%) exhibited no macular complications in optical coherence tomography. Genetic analysis identified genes associated with previous typical and pericentral RP studies but also highlighted that many genetic causes of pericentral RP remain unidentified. Of the 55 eyes for which the rate of visual acuity change could be estimated, 18 exhibited an annual decline of ≥10%, whereas 37 showed an annual decline of &lt;10%. Male sex and prolonged b-wave latency on dark-adapted 0.01 electroretinogram correlated with rapid visual acuity decline in the multivariate analysis.</p><p><strong>Conclusions: </strong>South Korean patients with pericentral RP exhibited a milder phenotype compared to typical RP patients reported in previous studies. Genetic analysis revealed heterogeneity, with mutations in some genes commonly associated with milder forms of RP. Male sex and prolonged b-wave latency on dark-adapted 0.01 electroretinogram were significant biomarkers for predicting rapid visual acuity decline. Monitoring initial b-wave latency is important for predicting visual decline, particularly in male patients with pericentral RP.</p>\",\"PeriodicalId\":101356,\"journal\":{\"name\":\"Korean journal of ophthalmology : KJO\",\"volume\":\" \",\"pages\":\"157-169\"},\"PeriodicalIF\":0.0000,\"publicationDate\":\"2025-04-01\",\"publicationTypes\":\"Journal Article\",\"fieldsOfStudy\":null,\"isOpenAccess\":false,\"openAccessPdf\":\"https://www.ncbi.nlm.nih.gov/pmc/articles/PMC12010173/pdf/\",\"citationCount\":\"0\",\"resultStr\":null,\"platform\":\"Semanticscholar\",\"paperid\":null,\"PeriodicalName\":\"Korean journal of ophthalmology : KJO\",\"FirstCategoryId\":\"1085\",\"ListUrlMain\":\"https://doi.org/10.3341/kjo.2024.0097\",\"RegionNum\":0,\"RegionCategory\":null,\"ArticlePicture\":[],\"TitleCN\":null,\"AbstractTextCN\":null,\"PMCID\":null,\"EPubDate\":\"2025/2/26 0:00:00\",\"PubModel\":\"Epub\",\"JCR\":\"\",\"JCRName\":\"\",\"Score\":null,\"Total\":0}","platform":"Semanticscholar","paperid":null,"PeriodicalName":"Korean journal of ophthalmology : KJO","FirstCategoryId":"1085","ListUrlMain":"https://doi.org/10.3341/kjo.2024.0097","RegionNum":0,"RegionCategory":null,"ArticlePicture":[],"TitleCN":null,"AbstractTextCN":null,"PMCID":null,"EPubDate":"2025/2/26 0:00:00","PubModel":"Epub","JCR":"","JCRName":"","Score":null,"Total":0}
引用次数: 0

摘要

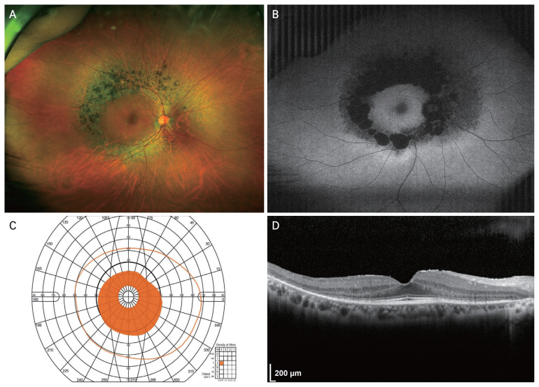
目的:探讨韩国中央心周视网膜色素变性(RP)患者的临床特征,并基于基线因素确定与快速视力下降相关的临床生物标志物。方法:本回顾性研究包括31例59眼诊断为中心周围RP的患者。进行全面的眼科检查和基因测序以评估基线特征。为了进行生物标志物分析,根据视力的年变化率将眼睛分为两组。对两组患者的临床表现进行评估,以确定与视力快速丧失相关的生物标志物。结果:本研究中中心周围RP患者的平均最佳矫正视力为0.17±0.23最小分辨角的对数。视野检查显示环形或半圆形暗点,外围相对保存,45.8%的患者光学相干断层扫描无黄斑并发症。遗传分析确定了与先前典型和中心周围RP研究相关的基因,但也强调了中心周围RP的许多遗传原因仍未确定。在可以估计视力变化率的55只眼睛中,18只眼睛的年下降率≥10%,而37只眼睛的年下降率。结论:与以往研究中报道的典型RP患者相比,韩国中心周围RP患者表现出更温和的表型。遗传分析显示异质性,一些基因突变通常与轻度形式的RP相关。男性性别和暗适应0.01 ERG b波潜伏期延长是预测快速视力下降的重要生物标志物。监测初始b波潜伏期对于预测视力下降很重要,特别是对于男性中心周围RP患者。
本文章由计算机程序翻译,如有差异,请以英文原文为准。

Clinical Characteristics and Visual Prognostic Biomarkers in Pericentral Retinitis Pigmentosa: A Study in a South Korean Cohort.

Clinical Characteristics and Visual Prognostic Biomarkers in Pericentral Retinitis Pigmentosa: A Study in a South Korean Cohort.

Clinical Characteristics and Visual Prognostic Biomarkers in Pericentral Retinitis Pigmentosa: A Study in a South Korean Cohort.

Clinical Characteristics and Visual Prognostic Biomarkers in Pericentral Retinitis Pigmentosa: A Study in a South Korean Cohort.

Purpose: To investigate the clinical characteristics of South Korean patients with pericentral retinitis pigmentosa (RP) and to identify clinical biomarkers associated with rapid visual acuity decline based on baseline factors.

Methods: This retrospective study included 59 eyes of 31 patients diagnosed with pericentral RP. Comprehensive ophthalmological examinations and genetic sequencing were conducted to assess the baseline characteristics. For biomarker analysis, eyes were categorized into two groups based on the annual rate of change in visual acuity. The clinical findings of the two groups were evaluated to identify the biomarkers associated with rapid loss of visual acuity.

Results: Patients with pericentral RP in this study exhibited a mean best-corrected visual acuity of 0.17 ± 0.23 in logarithm of the minimum angle of resolution. The visual field test showed annular or semicircular scotoma with relatively preserved periphery and 27 eyes (45.8%) exhibited no macular complications in optical coherence tomography. Genetic analysis identified genes associated with previous typical and pericentral RP studies but also highlighted that many genetic causes of pericentral RP remain unidentified. Of the 55 eyes for which the rate of visual acuity change could be estimated, 18 exhibited an annual decline of ≥10%, whereas 37 showed an annual decline of <10%. Male sex and prolonged b-wave latency on dark-adapted 0.01 electroretinogram correlated with rapid visual acuity decline in the multivariate analysis.

Conclusions: South Korean patients with pericentral RP exhibited a milder phenotype compared to typical RP patients reported in previous studies. Genetic analysis revealed heterogeneity, with mutations in some genes commonly associated with milder forms of RP. Male sex and prolonged b-wave latency on dark-adapted 0.01 electroretinogram were significant biomarkers for predicting rapid visual acuity decline. Monitoring initial b-wave latency is important for predicting visual decline, particularly in male patients with pericentral RP.

求助全文
通过发布文献求助,成功后即可免费获取论文全文。 去求助
来源期刊
自引率
0.00%
发文量
0
×
引用
GB/T 7714-2015
复制
MLA
复制
APA
复制
导出至
BibTeX EndNote RefMan NoteFirst NoteExpress
×
提示
您的信息不完整,为了账户安全,请先补充。
现在去补充
×
提示
您因"违规操作"
具体请查看互助需知
我知道了
×
提示
确定
请完成安全验证×
copy
已复制链接
快去分享给好友吧!
我知道了
右上角分享
点击右上角分享
0
联系我们:info@booksci.cn Book学术提供免费学术资源搜索服务,方便国内外学者检索中英文文献。致力于提供最便捷和优质的服务体验。 Copyright © 2023 布克学术 All rights reserved.
京ICP备2023020795号-1
ghs 京公网安备 11010802042870号
Book学术文献互助
Book学术文献互助群
群 号:604180095
Book学术官方微信