爱泼斯坦-巴尔病毒脑炎作为癫痫持续状态的原因-一个罕见的遭遇。

IF 1 4区 医学 Q3 MEDICINE, GENERAL & INTERNAL
Ayisha Farooq Khan, Tooba Arshad, Faryal Abdy, Mohammad Wasay
{"title":"爱泼斯坦-巴尔病毒脑炎作为癫痫持续状态的原因-一个罕见的遭遇。","authors":"Ayisha Farooq Khan, Tooba Arshad, Faryal Abdy, Mohammad Wasay","doi":"10.34172/aim.28844","DOIUrl":null,"url":null,"abstract":"<p><p>Epstein-Barr virus (EBV) is associated with infectious mononucleosis and is known to cause various neurological complications, albeit rarely. EBV encephalitis is a rare manifestation, and even rarer is its presentation as status epilepticus. To date, fewer than ten cases of EBV encephalitis presenting as status epilepticus have been reported globally. We report a case of an 18-year-old girl who presented with fever followed by seizures. She went into status epilepticus the next day. Cerebrospinal fluid (CSF) analysis showed lymphocytic predominance. Brain imaging showed bilateral symmetric hyperintense lesions in the caudate and the putamen. EBV IgG and IgM were found to be positive. The patient was treated with ganciclovir and anti-epileptics and she improved gradually. Our case emphasizes the importance of considering EBV encephalitis as a potential cause of status epilepticus, even in individuals without immunodeficiency. Recognizing atypical presentations and appropriate diagnostic investigations can facilitate early diagnosis and treatment initiation.</p>","PeriodicalId":55469,"journal":{"name":"Archives of Iranian Medicine","volume":"28 1","pages":"67-70"},"PeriodicalIF":1.0000,"publicationDate":"2025-01-01","publicationTypes":"Journal Article","fieldsOfStudy":null,"isOpenAccess":false,"openAccessPdf":"https://www.ncbi.nlm.nih.gov/pmc/articles/PMC11862401/pdf/","citationCount":"0","resultStr":"{\"title\":\"Epstein-Barr Virus Encephalitis as a Cause of Status Epilepticus - A Rare Encounter.\",\"authors\":\"Ayisha Farooq Khan, Tooba Arshad, Faryal Abdy, Mohammad Wasay\",\"doi\":\"10.34172/aim.28844\",\"DOIUrl\":null,\"url\":null,\"abstract\":\"<p><p>Epstein-Barr virus (EBV) is associated with infectious mononucleosis and is known to cause various neurological complications, albeit rarely. EBV encephalitis is a rare manifestation, and even rarer is its presentation as status epilepticus. To date, fewer than ten cases of EBV encephalitis presenting as status epilepticus have been reported globally. We report a case of an 18-year-old girl who presented with fever followed by seizures. She went into status epilepticus the next day. Cerebrospinal fluid (CSF) analysis showed lymphocytic predominance. Brain imaging showed bilateral symmetric hyperintense lesions in the caudate and the putamen. EBV IgG and IgM were found to be positive. The patient was treated with ganciclovir and anti-epileptics and she improved gradually. Our case emphasizes the importance of considering EBV encephalitis as a potential cause of status epilepticus, even in individuals without immunodeficiency. Recognizing atypical presentations and appropriate diagnostic investigations can facilitate early diagnosis and treatment initiation.</p>\",\"PeriodicalId\":55469,\"journal\":{\"name\":\"Archives of Iranian Medicine\",\"volume\":\"28 1\",\"pages\":\"67-70\"},\"PeriodicalIF\":1.0000,\"publicationDate\":\"2025-01-01\",\"publicationTypes\":\"Journal Article\",\"fieldsOfStudy\":null,\"isOpenAccess\":false,\"openAccessPdf\":\"https://www.ncbi.nlm.nih.gov/pmc/articles/PMC11862401/pdf/\",\"citationCount\":\"0\",\"resultStr\":null,\"platform\":\"Semanticscholar\",\"paperid\":null,\"PeriodicalName\":\"Archives of Iranian Medicine\",\"FirstCategoryId\":\"3\",\"ListUrlMain\":\"https://doi.org/10.34172/aim.28844\",\"RegionNum\":4,\"RegionCategory\":\"医学\",\"ArticlePicture\":[],\"TitleCN\":null,\"AbstractTextCN\":null,\"PMCID\":null,\"EPubDate\":\"\",\"PubModel\":\"\",\"JCR\":\"Q3\",\"JCRName\":\"MEDICINE, GENERAL & INTERNAL\",\"Score\":null,\"Total\":0}","platform":"Semanticscholar","paperid":null,"PeriodicalName":"Archives of Iranian Medicine","FirstCategoryId":"3","ListUrlMain":"https://doi.org/10.34172/aim.28844","RegionNum":4,"RegionCategory":"医学","ArticlePicture":[],"TitleCN":null,"AbstractTextCN":null,"PMCID":null,"EPubDate":"","PubModel":"","JCR":"Q3","JCRName":"MEDICINE, GENERAL & INTERNAL","Score":null,"Total":0}
引用次数: 0

摘要

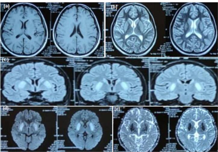
eb病毒(EBV)与传染性单核细胞增多症有关,虽然很少,但已知会引起各种神经系统并发症。EBV脑炎是一种罕见的表现,更罕见的是其表现为癫痫持续状态。迄今为止,全球报告的以癫痫持续状态表现的EBV脑炎病例不足10例。我们报告一例18岁的女孩谁提出发烧,随后癫痫发作。第二天她进入了癫痫持续状态。脑脊液(CSF)分析显示淋巴细胞优势。脑成像显示双侧对称的尾状核和壳核高强度病变。EBV IgG和IgM阳性。患者给予更昔洛韦和抗癫痫药物治疗,病情逐渐好转。我们的病例强调了考虑EBV脑炎作为癫痫持续状态的潜在原因的重要性,即使在没有免疫缺陷的个体中也是如此。认识到非典型的表现和适当的诊断调查可以促进早期诊断和治疗的开始。
本文章由计算机程序翻译,如有差异,请以英文原文为准。

Epstein-Barr Virus Encephalitis as a Cause of Status Epilepticus - A Rare Encounter.

Epstein-Barr Virus Encephalitis as a Cause of Status Epilepticus - A Rare Encounter.

Epstein-Barr virus (EBV) is associated with infectious mononucleosis and is known to cause various neurological complications, albeit rarely. EBV encephalitis is a rare manifestation, and even rarer is its presentation as status epilepticus. To date, fewer than ten cases of EBV encephalitis presenting as status epilepticus have been reported globally. We report a case of an 18-year-old girl who presented with fever followed by seizures. She went into status epilepticus the next day. Cerebrospinal fluid (CSF) analysis showed lymphocytic predominance. Brain imaging showed bilateral symmetric hyperintense lesions in the caudate and the putamen. EBV IgG and IgM were found to be positive. The patient was treated with ganciclovir and anti-epileptics and she improved gradually. Our case emphasizes the importance of considering EBV encephalitis as a potential cause of status epilepticus, even in individuals without immunodeficiency. Recognizing atypical presentations and appropriate diagnostic investigations can facilitate early diagnosis and treatment initiation.

求助全文
通过发布文献求助,成功后即可免费获取论文全文。 去求助
来源期刊
Archives of Iranian Medicine
Archives of Iranian Medicine 医学-医学:内科
CiteScore
4.20
自引率
0.00%
发文量
67
审稿时长
3-8 weeks
期刊介绍: Aim and Scope: The Archives of Iranian Medicine (AIM) is a monthly peer-reviewed multidisciplinary medical publication. The journal welcomes contributions particularly relevant to the Middle-East region and publishes biomedical experiences and clinical investigations on prevalent diseases in the region as well as analyses of factors that may modulate the incidence, course, and management of diseases and pertinent medical problems. Manuscripts with didactic orientation and subjects exclusively of local interest will not be considered for publication.The 2016 Impact Factor of "Archives of Iranian Medicine" is 1.20.
×
引用
GB/T 7714-2015
复制
MLA
复制
APA
复制
导出至
BibTeX EndNote RefMan NoteFirst NoteExpress
×
提示
您的信息不完整,为了账户安全,请先补充。
现在去补充
×
提示
您因"违规操作"
具体请查看互助需知
我知道了
×
提示
确定
请完成安全验证×
copy
已复制链接
快去分享给好友吧!
我知道了
右上角分享
点击右上角分享
0
联系我们:info@booksci.cn Book学术提供免费学术资源搜索服务,方便国内外学者检索中英文文献。致力于提供最便捷和优质的服务体验。 Copyright © 2023 布克学术 All rights reserved.
京ICP备2023020795号-1
ghs 京公网安备 11010802042870号
Book学术文献互助
Book学术文献互助群
群 号:604180095
Book学术官方微信