托法替尼成功治疗顽固性间质性肺疾病伴抗mda5抗体阳性的青少年皮肌炎患者

IF 2.3 3区 医学 Q1 PEDIATRICS
Valentina Natoli, Serena Palmeri, Ana Isabel Rebollo-Giménez, Caterina Matucci-Cerinic, Paola Bocca, Roberta Caorsi, Stefano Volpi, Riccardo Papa, Alessandro Consolaro, Marco Gattorno, Angelo Ravelli, Silvia Rosina
{"title":"托法替尼成功治疗顽固性间质性肺疾病伴抗mda5抗体阳性的青少年皮肌炎患者","authors":"Valentina Natoli, Serena Palmeri, Ana Isabel Rebollo-Giménez, Caterina Matucci-Cerinic, Paola Bocca, Roberta Caorsi, Stefano Volpi, Riccardo Papa, Alessandro Consolaro, Marco Gattorno, Angelo Ravelli, Silvia Rosina","doi":"10.1186/s12969-024-01044-5","DOIUrl":null,"url":null,"abstract":"","PeriodicalId":54630,"journal":{"name":"Pediatric Rheumatology","volume":"23 1","pages":"22"},"PeriodicalIF":2.3000,"publicationDate":"2025-02-25","publicationTypes":"Journal Article","fieldsOfStudy":null,"isOpenAccess":false,"openAccessPdf":"https://www.ncbi.nlm.nih.gov/pmc/articles/PMC11863721/pdf/","citationCount":"0","resultStr":"{\"title\":\"Successful treatment of an anti-MDA5 antibody-positive Juvenile Dermatomyositis patient with refractory interstitial lung disease using tofacitinib.\",\"authors\":\"Valentina Natoli, Serena Palmeri, Ana Isabel Rebollo-Giménez, Caterina Matucci-Cerinic, Paola Bocca, Roberta Caorsi, Stefano Volpi, Riccardo Papa, Alessandro Consolaro, Marco Gattorno, Angelo Ravelli, Silvia Rosina\",\"doi\":\"10.1186/s12969-024-01044-5\",\"DOIUrl\":null,\"url\":null,\"abstract\":\"\",\"PeriodicalId\":54630,\"journal\":{\"name\":\"Pediatric Rheumatology\",\"volume\":\"23 1\",\"pages\":\"22\"},\"PeriodicalIF\":2.3000,\"publicationDate\":\"2025-02-25\",\"publicationTypes\":\"Journal Article\",\"fieldsOfStudy\":null,\"isOpenAccess\":false,\"openAccessPdf\":\"https://www.ncbi.nlm.nih.gov/pmc/articles/PMC11863721/pdf/\",\"citationCount\":\"0\",\"resultStr\":null,\"platform\":\"Semanticscholar\",\"paperid\":null,\"PeriodicalName\":\"Pediatric Rheumatology\",\"FirstCategoryId\":\"3\",\"ListUrlMain\":\"https://doi.org/10.1186/s12969-024-01044-5\",\"RegionNum\":3,\"RegionCategory\":\"医学\",\"ArticlePicture\":[],\"TitleCN\":null,\"AbstractTextCN\":null,\"PMCID\":null,\"EPubDate\":\"\",\"PubModel\":\"\",\"JCR\":\"Q1\",\"JCRName\":\"PEDIATRICS\",\"Score\":null,\"Total\":0}","platform":"Semanticscholar","paperid":null,"PeriodicalName":"Pediatric Rheumatology","FirstCategoryId":"3","ListUrlMain":"https://doi.org/10.1186/s12969-024-01044-5","RegionNum":3,"RegionCategory":"医学","ArticlePicture":[],"TitleCN":null,"AbstractTextCN":null,"PMCID":null,"EPubDate":"","PubModel":"","JCR":"Q1","JCRName":"PEDIATRICS","Score":null,"Total":0}
引用次数: 0

摘要

本文章由计算机程序翻译,如有差异,请以英文原文为准。

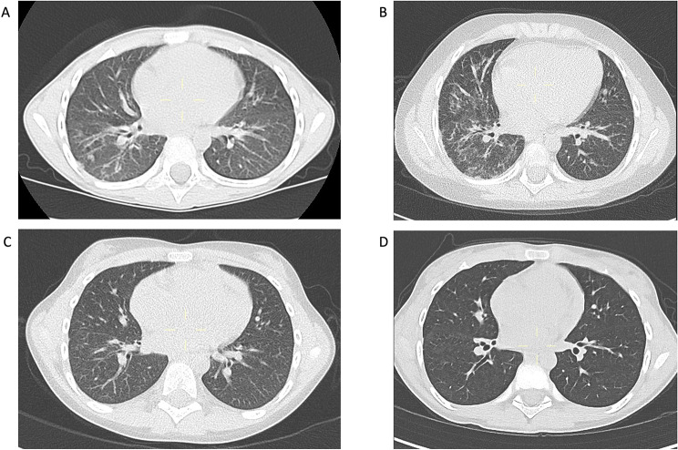
Successful treatment of an anti-MDA5 antibody-positive Juvenile Dermatomyositis patient with refractory interstitial lung disease using tofacitinib.

Successful treatment of an anti-MDA5 antibody-positive Juvenile Dermatomyositis patient with refractory interstitial lung disease using tofacitinib.

Successful treatment of an anti-MDA5 antibody-positive Juvenile Dermatomyositis patient with refractory interstitial lung disease using tofacitinib.

Successful treatment of an anti-MDA5 antibody-positive Juvenile Dermatomyositis patient with refractory interstitial lung disease using tofacitinib.
求助全文
通过发布文献求助,成功后即可免费获取论文全文。 去求助
来源期刊
Pediatric Rheumatology
Pediatric Rheumatology PEDIATRICS-RHEUMATOLOGY
CiteScore
4.10
自引率
8.00%
发文量
95
审稿时长
>12 weeks
期刊介绍: Pediatric Rheumatology is an open access, peer-reviewed, online journal encompassing all aspects of clinical and basic research related to pediatric rheumatology and allied subjects. The journal’s scope of diseases and syndromes include musculoskeletal pain syndromes, rheumatic fever and post-streptococcal syndromes, juvenile idiopathic arthritis, systemic lupus erythematosus, juvenile dermatomyositis, local and systemic scleroderma, Kawasaki disease, Henoch-Schonlein purpura and other vasculitides, sarcoidosis, inherited musculoskeletal syndromes, autoinflammatory syndromes, and others.
×
引用
GB/T 7714-2015
复制
MLA
复制
APA
复制
导出至
BibTeX EndNote RefMan NoteFirst NoteExpress
×
提示
您的信息不完整,为了账户安全,请先补充。
现在去补充
×
提示
您因"违规操作"
具体请查看互助需知
我知道了
×
提示
确定
请完成安全验证×
copy
已复制链接
快去分享给好友吧!
我知道了
右上角分享
点击右上角分享
0
联系我们:info@booksci.cn Book学术提供免费学术资源搜索服务,方便国内外学者检索中英文文献。致力于提供最便捷和优质的服务体验。 Copyright © 2023 布克学术 All rights reserved.
京ICP备2023020795号-1
ghs 京公网安备 11010802042870号
Book学术文献互助
Book学术文献互助群
群 号:604180095
Book学术官方微信