严重登革、动脉瘤性蛛网膜下腔出血及噬血细胞性淋巴组织细胞增多症:罕见合并病例。

IF 0.9 Q2 MEDICINE, GENERAL & INTERNAL
Einstein-Sao Paulo Pub Date : 2025-02-21 eCollection Date: 2025-01-01 DOI:10.31744/einstein_journal/2025RC1209
Saboor Mateen, Ajay Mishra, Shivesh Singh, Firdaus Jabeen
{"title":"严重登革、动脉瘤性蛛网膜下腔出血及噬血细胞性淋巴组织细胞增多症:罕见合并病例。","authors":"Saboor Mateen, Ajay Mishra, Shivesh Singh, Firdaus Jabeen","doi":"10.31744/einstein_journal/2025RC1209","DOIUrl":null,"url":null,"abstract":"<p><p>Dengue, a vector-borne acute febrile illness caused by members of the Flavivirus genus, has dramatically increased its occurrence worldwide. Neurological complications of dengue range from 2.63 to 40%, and subarachnoid hemorrhage is a rare, but significant manifestation. Hemophagocytic lymphohistiocytosis is a life-threatening hyperinflammatory syndrome, sometimes secondary to infections such as dengue. This report presents a rare case of severe dengue with subarachnoid hemorrhage and hemophagocytic lymphohistiocytosis. A 19-year-old male presented with a 7-day history of fever and myalgia, followed by severe headache and vomiting. Initial examination revealed high fever, hepatosplenomegaly, and pancytopenia. Lumbar puncture confirmed via computed tomography showed a Fisher Grade 2 subarachnoid hemorrhage with a small aneurysm at the junction of the left anterior coronary and anterior communicating arteries. Secondary hemophagocytic lymphohistiocytosis was diagnosed based on the criteria from 2004, with elevated inflammatory markers, hypertriglyceridemia, and hyperferritinemia. The patient was treated conservatively with intravenous fluids, osmotic diuretics, antiepileptics, steroids, and nimodipine. The patient showed clinical improvement and was discharged on the 11th day. Isolated subarachnoid hemorrhage is rare in dengue. The hyperinflammatory state in hemophagocytic lymphohistiocytosis, which is often overlooked due to nonspecific symptoms, can lead to aneurysm formation and rupture. Persistent fever, cytopenia, and hyperferritinemia should raise suspicion of hemophagocytic lymphohistiocytosis in cases of severe dengue with neurological complications. In patients with severe dengue and intracranial hemorrhage, clinicians should remain cautious for hemophagocytic lymphohistiocytosis to reduce the associated morbidity and mortality.</p>","PeriodicalId":47359,"journal":{"name":"Einstein-Sao Paulo","volume":"23 ","pages":"eRC1209"},"PeriodicalIF":0.9000,"publicationDate":"2025-02-21","publicationTypes":"Journal Article","fieldsOfStudy":null,"isOpenAccess":false,"openAccessPdf":"https://www.ncbi.nlm.nih.gov/pmc/articles/PMC11869786/pdf/","citationCount":"0","resultStr":"{\"title\":\"Severe dengue, aneurysmal sub-arachnoid hemorrhage, and hemophagocytic lymphohistiocytosis: a rare case combination.\",\"authors\":\"Saboor Mateen, Ajay Mishra, Shivesh Singh, Firdaus Jabeen\",\"doi\":\"10.31744/einstein_journal/2025RC1209\",\"DOIUrl\":null,\"url\":null,\"abstract\":\"<p><p>Dengue, a vector-borne acute febrile illness caused by members of the Flavivirus genus, has dramatically increased its occurrence worldwide. Neurological complications of dengue range from 2.63 to 40%, and subarachnoid hemorrhage is a rare, but significant manifestation. Hemophagocytic lymphohistiocytosis is a life-threatening hyperinflammatory syndrome, sometimes secondary to infections such as dengue. This report presents a rare case of severe dengue with subarachnoid hemorrhage and hemophagocytic lymphohistiocytosis. A 19-year-old male presented with a 7-day history of fever and myalgia, followed by severe headache and vomiting. Initial examination revealed high fever, hepatosplenomegaly, and pancytopenia. Lumbar puncture confirmed via computed tomography showed a Fisher Grade 2 subarachnoid hemorrhage with a small aneurysm at the junction of the left anterior coronary and anterior communicating arteries. Secondary hemophagocytic lymphohistiocytosis was diagnosed based on the criteria from 2004, with elevated inflammatory markers, hypertriglyceridemia, and hyperferritinemia. The patient was treated conservatively with intravenous fluids, osmotic diuretics, antiepileptics, steroids, and nimodipine. The patient showed clinical improvement and was discharged on the 11th day. Isolated subarachnoid hemorrhage is rare in dengue. The hyperinflammatory state in hemophagocytic lymphohistiocytosis, which is often overlooked due to nonspecific symptoms, can lead to aneurysm formation and rupture. Persistent fever, cytopenia, and hyperferritinemia should raise suspicion of hemophagocytic lymphohistiocytosis in cases of severe dengue with neurological complications. In patients with severe dengue and intracranial hemorrhage, clinicians should remain cautious for hemophagocytic lymphohistiocytosis to reduce the associated morbidity and mortality.</p>\",\"PeriodicalId\":47359,\"journal\":{\"name\":\"Einstein-Sao Paulo\",\"volume\":\"23 \",\"pages\":\"eRC1209\"},\"PeriodicalIF\":0.9000,\"publicationDate\":\"2025-02-21\",\"publicationTypes\":\"Journal Article\",\"fieldsOfStudy\":null,\"isOpenAccess\":false,\"openAccessPdf\":\"https://www.ncbi.nlm.nih.gov/pmc/articles/PMC11869786/pdf/\",\"citationCount\":\"0\",\"resultStr\":null,\"platform\":\"Semanticscholar\",\"paperid\":null,\"PeriodicalName\":\"Einstein-Sao Paulo\",\"FirstCategoryId\":\"1085\",\"ListUrlMain\":\"https://doi.org/10.31744/einstein_journal/2025RC1209\",\"RegionNum\":0,\"RegionCategory\":null,\"ArticlePicture\":[],\"TitleCN\":null,\"AbstractTextCN\":null,\"PMCID\":null,\"EPubDate\":\"2025/1/1 0:00:00\",\"PubModel\":\"eCollection\",\"JCR\":\"Q2\",\"JCRName\":\"MEDICINE, GENERAL & INTERNAL\",\"Score\":null,\"Total\":0}","platform":"Semanticscholar","paperid":null,"PeriodicalName":"Einstein-Sao Paulo","FirstCategoryId":"1085","ListUrlMain":"https://doi.org/10.31744/einstein_journal/2025RC1209","RegionNum":0,"RegionCategory":null,"ArticlePicture":[],"TitleCN":null,"AbstractTextCN":null,"PMCID":null,"EPubDate":"2025/1/1 0:00:00","PubModel":"eCollection","JCR":"Q2","JCRName":"MEDICINE, GENERAL & INTERNAL","Score":null,"Total":0}
引用次数: 0

摘要

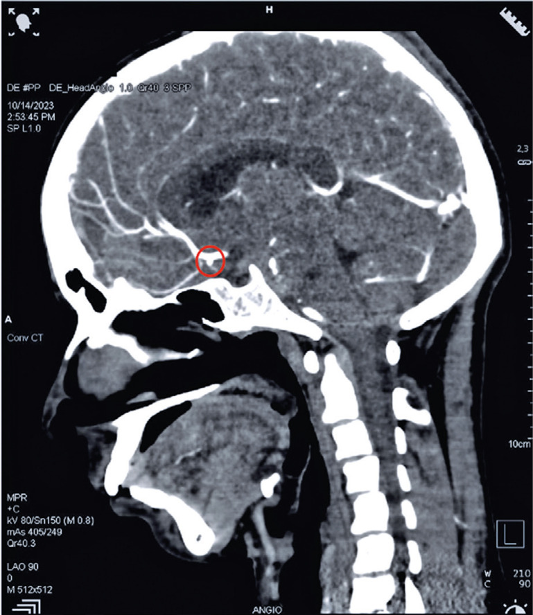
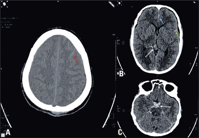
登革热是一种由黄热病病毒属成员引起的病媒传播急性发热性疾病,在全球的发病率急剧上升。登革热的神经系统并发症从 2.63%到 40%不等,蛛网膜下腔出血是一种罕见但重要的表现。嗜血细胞淋巴组织细胞增多症是一种危及生命的高炎症综合征,有时继发于登革热等感染。本报告介绍了一例严重登革热伴蛛网膜下腔出血和嗜血细胞淋巴组织细胞增多症的罕见病例。一名 19 岁男性患者因发热和肌痛就诊 7 天,随后出现剧烈头痛和呕吐。初步检查发现患者有高热、肝脾肿大和全血细胞减少。腰椎穿刺经计算机断层扫描确认,显示费舍尔2级蛛网膜下腔出血,左前冠状动脉和前交通动脉交界处有一个小动脉瘤。根据 2004 年的标准,继发性嗜血细胞淋巴组织细胞增多症被诊断为炎症指标升高、高甘油三酯血症和高铁蛋白血症。患者接受了静脉输液、渗透性利尿剂、抗癫痫药、类固醇和尼莫地平等保守治疗。患者的临床症状有所改善,并于第 11 天出院。孤立的蛛网膜下腔出血在登革热中很少见。嗜血细胞性淋巴组织细胞增多症的高炎症状态往往因症状不特异而被忽视,它可导致动脉瘤形成和破裂。对于伴有神经系统并发症的重症登革热患者,持续发热、全血细胞减少和高铁蛋白血症应引起对嗜血细胞淋巴组织细胞增多症的怀疑。对于严重登革热并发颅内出血的患者,临床医生应继续警惕嗜血细胞淋巴组织细胞增多症,以降低相关的发病率和死亡率。
本文章由计算机程序翻译,如有差异,请以英文原文为准。

Severe dengue, aneurysmal sub-arachnoid hemorrhage, and hemophagocytic lymphohistiocytosis: a rare case combination.

Severe dengue, aneurysmal sub-arachnoid hemorrhage, and hemophagocytic lymphohistiocytosis: a rare case combination.

Severe dengue, aneurysmal sub-arachnoid hemorrhage, and hemophagocytic lymphohistiocytosis: a rare case combination.

Severe dengue, aneurysmal sub-arachnoid hemorrhage, and hemophagocytic lymphohistiocytosis: a rare case combination.

Dengue, a vector-borne acute febrile illness caused by members of the Flavivirus genus, has dramatically increased its occurrence worldwide. Neurological complications of dengue range from 2.63 to 40%, and subarachnoid hemorrhage is a rare, but significant manifestation. Hemophagocytic lymphohistiocytosis is a life-threatening hyperinflammatory syndrome, sometimes secondary to infections such as dengue. This report presents a rare case of severe dengue with subarachnoid hemorrhage and hemophagocytic lymphohistiocytosis. A 19-year-old male presented with a 7-day history of fever and myalgia, followed by severe headache and vomiting. Initial examination revealed high fever, hepatosplenomegaly, and pancytopenia. Lumbar puncture confirmed via computed tomography showed a Fisher Grade 2 subarachnoid hemorrhage with a small aneurysm at the junction of the left anterior coronary and anterior communicating arteries. Secondary hemophagocytic lymphohistiocytosis was diagnosed based on the criteria from 2004, with elevated inflammatory markers, hypertriglyceridemia, and hyperferritinemia. The patient was treated conservatively with intravenous fluids, osmotic diuretics, antiepileptics, steroids, and nimodipine. The patient showed clinical improvement and was discharged on the 11th day. Isolated subarachnoid hemorrhage is rare in dengue. The hyperinflammatory state in hemophagocytic lymphohistiocytosis, which is often overlooked due to nonspecific symptoms, can lead to aneurysm formation and rupture. Persistent fever, cytopenia, and hyperferritinemia should raise suspicion of hemophagocytic lymphohistiocytosis in cases of severe dengue with neurological complications. In patients with severe dengue and intracranial hemorrhage, clinicians should remain cautious for hemophagocytic lymphohistiocytosis to reduce the associated morbidity and mortality.

求助全文
通过发布文献求助,成功后即可免费获取论文全文。 去求助
来源期刊
Einstein-Sao Paulo
Einstein-Sao Paulo MEDICINE, GENERAL & INTERNAL-
CiteScore
2.00
自引率
0.00%
发文量
210
审稿时长
38 weeks
×
引用
GB/T 7714-2015
复制
MLA
复制
APA
复制
导出至
BibTeX EndNote RefMan NoteFirst NoteExpress
×
提示
您的信息不完整,为了账户安全,请先补充。
现在去补充
×
提示
您因"违规操作"
具体请查看互助需知
我知道了
×
提示
确定
请完成安全验证×
copy
已复制链接
快去分享给好友吧!
我知道了
右上角分享
点击右上角分享
0
联系我们:info@booksci.cn Book学术提供免费学术资源搜索服务,方便国内外学者检索中英文文献。致力于提供最便捷和优质的服务体验。 Copyright © 2023 布克学术 All rights reserved.
京ICP备2023020795号-1
ghs 京公网安备 11010802042870号
Book学术文献互助
Book学术文献互助群
群 号:604180095
Book学术官方微信