家猫胃空肠吻合术治疗猫十二指肠嗜酸性硬化性纤维增生。

IF 0.7 Q3 VETERINARY SCIENCES
Journal of Feline Medicine and Surgery Open Reports Pub Date : 2025-02-24 eCollection Date: 2025-01-01 DOI:10.1177/20551169241310965
Jordyn E Blew, Charles W Bradley, David E Holt
{"title":"家猫胃空肠吻合术治疗猫十二指肠嗜酸性硬化性纤维增生。","authors":"Jordyn E Blew, Charles W Bradley, David E Holt","doi":"10.1177/20551169241310965","DOIUrl":null,"url":null,"abstract":"<p><strong>Case summary: </strong>A 2-year-old female spayed domestic shorthair cat was presented for evaluation of severe thickening of the proximal duodenum identified on abdominal ultrasound after a 1-year history of vomiting. At surgery, a proximal duodenal mass encompassed the areas of the major and minor duodenal papillae. A gastrojejunostomy was performed to bypass the proximal duodenum and maintain the integrity of the major duodenal papilla. Histopathology revealed changes consistent with feline eosinophilic sclerosing fibroplasia. The cat was treated with prednisolone and survived for 2.5 years. It was euthanized for bronchopneumonia.</p><p><strong>Relevance and novel information: </strong>This case report describes a surgical approach for cats with lesions involving the pylorus and proximal duodenum. Gastrojejunostomy provided a therapeutic option that preserved exocrine pancreatic and biliary secretion in this cat.</p>","PeriodicalId":36588,"journal":{"name":"Journal of Feline Medicine and Surgery Open Reports","volume":"11 1","pages":"20551169241310965"},"PeriodicalIF":0.7000,"publicationDate":"2025-02-24","publicationTypes":"Journal Article","fieldsOfStudy":null,"isOpenAccess":false,"openAccessPdf":"https://www.ncbi.nlm.nih.gov/pmc/articles/PMC11851735/pdf/","citationCount":"0","resultStr":"{\"title\":\"Feline eosinophilic sclerosing fibroplasia of the duodenum treated with gastrojejunostomy in a domestic shorthair cat.\",\"authors\":\"Jordyn E Blew, Charles W Bradley, David E Holt\",\"doi\":\"10.1177/20551169241310965\",\"DOIUrl\":null,\"url\":null,\"abstract\":\"<p><strong>Case summary: </strong>A 2-year-old female spayed domestic shorthair cat was presented for evaluation of severe thickening of the proximal duodenum identified on abdominal ultrasound after a 1-year history of vomiting. At surgery, a proximal duodenal mass encompassed the areas of the major and minor duodenal papillae. A gastrojejunostomy was performed to bypass the proximal duodenum and maintain the integrity of the major duodenal papilla. Histopathology revealed changes consistent with feline eosinophilic sclerosing fibroplasia. The cat was treated with prednisolone and survived for 2.5 years. It was euthanized for bronchopneumonia.</p><p><strong>Relevance and novel information: </strong>This case report describes a surgical approach for cats with lesions involving the pylorus and proximal duodenum. Gastrojejunostomy provided a therapeutic option that preserved exocrine pancreatic and biliary secretion in this cat.</p>\",\"PeriodicalId\":36588,\"journal\":{\"name\":\"Journal of Feline Medicine and Surgery Open Reports\",\"volume\":\"11 1\",\"pages\":\"20551169241310965\"},\"PeriodicalIF\":0.7000,\"publicationDate\":\"2025-02-24\",\"publicationTypes\":\"Journal Article\",\"fieldsOfStudy\":null,\"isOpenAccess\":false,\"openAccessPdf\":\"https://www.ncbi.nlm.nih.gov/pmc/articles/PMC11851735/pdf/\",\"citationCount\":\"0\",\"resultStr\":null,\"platform\":\"Semanticscholar\",\"paperid\":null,\"PeriodicalName\":\"Journal of Feline Medicine and Surgery Open Reports\",\"FirstCategoryId\":\"1085\",\"ListUrlMain\":\"https://doi.org/10.1177/20551169241310965\",\"RegionNum\":0,\"RegionCategory\":null,\"ArticlePicture\":[],\"TitleCN\":null,\"AbstractTextCN\":null,\"PMCID\":null,\"EPubDate\":\"2025/1/1 0:00:00\",\"PubModel\":\"eCollection\",\"JCR\":\"Q3\",\"JCRName\":\"VETERINARY SCIENCES\",\"Score\":null,\"Total\":0}","platform":"Semanticscholar","paperid":null,"PeriodicalName":"Journal of Feline Medicine and Surgery Open Reports","FirstCategoryId":"1085","ListUrlMain":"https://doi.org/10.1177/20551169241310965","RegionNum":0,"RegionCategory":null,"ArticlePicture":[],"TitleCN":null,"AbstractTextCN":null,"PMCID":null,"EPubDate":"2025/1/1 0:00:00","PubModel":"eCollection","JCR":"Q3","JCRName":"VETERINARY SCIENCES","Score":null,"Total":0}
引用次数: 0

摘要

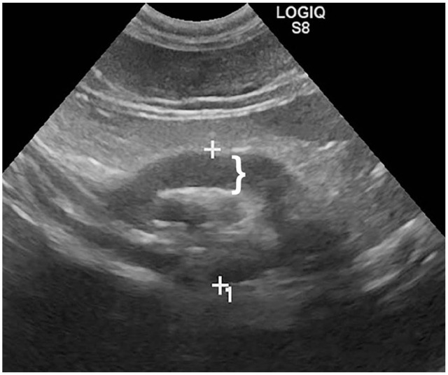
病例总结:一只2岁的雌性家养短毛猫在1年的呕吐史后,在腹部超声检查中发现十二指肠近端严重增厚。手术时,近端十二指肠肿块包围了十二指肠大乳头和小乳头区域。通过胃空肠吻合术绕过近端十二指肠,维持主要十二指肠乳头的完整性。组织病理学显示的变化与猫嗜酸性硬化纤维增生一致。猫用强的松龙治疗,存活了2.5年。它因支气管肺炎而被安乐死。相关性和新信息:本病例报告描述了一种涉及幽门和近端十二指肠病变的猫的手术方法。胃空肠吻合术提供了一种保留外分泌、胰腺和胆道分泌的治疗选择。
本文章由计算机程序翻译,如有差异,请以英文原文为准。

Feline eosinophilic sclerosing fibroplasia of the duodenum treated with gastrojejunostomy in a domestic shorthair cat.

Feline eosinophilic sclerosing fibroplasia of the duodenum treated with gastrojejunostomy in a domestic shorthair cat.

Feline eosinophilic sclerosing fibroplasia of the duodenum treated with gastrojejunostomy in a domestic shorthair cat.

Feline eosinophilic sclerosing fibroplasia of the duodenum treated with gastrojejunostomy in a domestic shorthair cat.

Case summary: A 2-year-old female spayed domestic shorthair cat was presented for evaluation of severe thickening of the proximal duodenum identified on abdominal ultrasound after a 1-year history of vomiting. At surgery, a proximal duodenal mass encompassed the areas of the major and minor duodenal papillae. A gastrojejunostomy was performed to bypass the proximal duodenum and maintain the integrity of the major duodenal papilla. Histopathology revealed changes consistent with feline eosinophilic sclerosing fibroplasia. The cat was treated with prednisolone and survived for 2.5 years. It was euthanized for bronchopneumonia.

Relevance and novel information: This case report describes a surgical approach for cats with lesions involving the pylorus and proximal duodenum. Gastrojejunostomy provided a therapeutic option that preserved exocrine pancreatic and biliary secretion in this cat.

求助全文
通过发布文献求助,成功后即可免费获取论文全文。 去求助
来源期刊
CiteScore
1.30
自引率
14.30%
发文量
57
审稿时长
15 weeks
×
引用
GB/T 7714-2015
复制
MLA
复制
APA
复制
导出至
BibTeX EndNote RefMan NoteFirst NoteExpress
×
提示
您的信息不完整,为了账户安全,请先补充。
现在去补充
×
提示
您因"违规操作"
具体请查看互助需知
我知道了
×
提示
确定
请完成安全验证×
copy
已复制链接
快去分享给好友吧!
我知道了
右上角分享
点击右上角分享
0
联系我们:info@booksci.cn Book学术提供免费学术资源搜索服务,方便国内外学者检索中英文文献。致力于提供最便捷和优质的服务体验。 Copyright © 2023 布克学术 All rights reserved.
京ICP备2023020795号-1
ghs 京公网安备 11010802042870号
Book学术文献互助
Book学术文献互助群
群 号:604180095
Book学术官方微信