囊性中性粒细胞肉芽肿性乳腺炎检出脓肿分枝杆菌1例。

IF 0.7 Q4 SURGERY
Surgical Case Reports Pub Date : 2025-01-01 Epub Date: 2025-02-07 DOI:10.70352/scrj.cr.24-0115
Hirokazu Yamazaki, Yasushi Ito, Keigo Goto, Masako Kasami
{"title":"囊性中性粒细胞肉芽肿性乳腺炎检出脓肿分枝杆菌1例。","authors":"Hirokazu Yamazaki, Yasushi Ito, Keigo Goto, Masako Kasami","doi":"10.70352/scrj.cr.24-0115","DOIUrl":null,"url":null,"abstract":"<p><strong>Introduction: </strong>Cystic neutrophilic granulomatous mastitis (CNGM) is characterized by granulomas with cysts that sometimes contain bacteria in the lumen, a surrounding neutrophilic infiltrate, and Langhans giant cells. There are no universally accepted diagnostic criteria for CNGM. <i>Corynebacterium kroppenstedtii</i>, a Gram-positive bacillus, has been reported to cause several infections, but the exact cause remains unclear. We report our experience with a case of CNGM, thought to be due to a rare <i>Mycobacteroides abscessus</i> infection.</p><p><strong>Case presentation: </strong>We report the case of a 36-year-old Japanese woman with granulomatous mastitis due to <i>Mycobacteroides abscessus</i> who had not undergone surgery and was not immunosuppressed. She presented with a chief complaint of pain and swelling in her left breast for 1 month. Mammography showed asymmetrical focal increased density, and ultrasonography showed an irregular hypoechoic area in the left 3 o'clock position. Contrast-enhanced magnetic resonance imaging showed segmental non-mass-enhancement. Ultrasound-guided vacuum-assisted biopsy with pathology revealed granulomatous mastitis. Ziehl-Neelsen staining revealed red-staining bacilli. The patient was followed up for observation because her breast pain had decreased after the examination, and there was no redness or fever. However, the breast pain has not completely disappeared, and intermittent purulent discharge from the biopsy site persisted for 5 months. Hence, two 12-Fr drains were inserted along the ductal dilatation-like hypoechoic area. Imipenem, amikacin, and clarithromycin were administered for 8 days. After 8 days of this therapy, the patient developed a drug-associated rash; therefore, antimicrobial therapy was discontinued, and the drains were removed. Her symptoms improved, and magnetic resonance imaging after 1 month showed that the previous imaging findings in her left breast had disappeared. At the time of writing, 18 months have passed since treatment, and no recurrence has been observed.</p><p><strong>Conclusions: </strong>We experienced a rare case of CNGM associated with <i>Mycobacteroides abscessus</i>. This case suggests that a combination of drainage and antimicrobial therapy may shorten the duration of antimicrobial therapy in CNGM.</p>","PeriodicalId":22096,"journal":{"name":"Surgical Case Reports","volume":"11 1","pages":""},"PeriodicalIF":0.7000,"publicationDate":"2025-01-01","publicationTypes":"Journal Article","fieldsOfStudy":null,"isOpenAccess":false,"openAccessPdf":"https://www.ncbi.nlm.nih.gov/pmc/articles/PMC11850989/pdf/","citationCount":"0","resultStr":"{\"title\":\"A Case of Cystic Neutrophilic Granulomatous Mastitis in Which <i>Mycobacteroides abscessus</i> Was Detected.\",\"authors\":\"Hirokazu Yamazaki, Yasushi Ito, Keigo Goto, Masako Kasami\",\"doi\":\"10.70352/scrj.cr.24-0115\",\"DOIUrl\":null,\"url\":null,\"abstract\":\"<p><strong>Introduction: </strong>Cystic neutrophilic granulomatous mastitis (CNGM) is characterized by granulomas with cysts that sometimes contain bacteria in the lumen, a surrounding neutrophilic infiltrate, and Langhans giant cells. There are no universally accepted diagnostic criteria for CNGM. <i>Corynebacterium kroppenstedtii</i>, a Gram-positive bacillus, has been reported to cause several infections, but the exact cause remains unclear. We report our experience with a case of CNGM, thought to be due to a rare <i>Mycobacteroides abscessus</i> infection.</p><p><strong>Case presentation: </strong>We report the case of a 36-year-old Japanese woman with granulomatous mastitis due to <i>Mycobacteroides abscessus</i> who had not undergone surgery and was not immunosuppressed. She presented with a chief complaint of pain and swelling in her left breast for 1 month. Mammography showed asymmetrical focal increased density, and ultrasonography showed an irregular hypoechoic area in the left 3 o'clock position. Contrast-enhanced magnetic resonance imaging showed segmental non-mass-enhancement. Ultrasound-guided vacuum-assisted biopsy with pathology revealed granulomatous mastitis. Ziehl-Neelsen staining revealed red-staining bacilli. The patient was followed up for observation because her breast pain had decreased after the examination, and there was no redness or fever. However, the breast pain has not completely disappeared, and intermittent purulent discharge from the biopsy site persisted for 5 months. Hence, two 12-Fr drains were inserted along the ductal dilatation-like hypoechoic area. Imipenem, amikacin, and clarithromycin were administered for 8 days. After 8 days of this therapy, the patient developed a drug-associated rash; therefore, antimicrobial therapy was discontinued, and the drains were removed. Her symptoms improved, and magnetic resonance imaging after 1 month showed that the previous imaging findings in her left breast had disappeared. At the time of writing, 18 months have passed since treatment, and no recurrence has been observed.</p><p><strong>Conclusions: </strong>We experienced a rare case of CNGM associated with <i>Mycobacteroides abscessus</i>. This case suggests that a combination of drainage and antimicrobial therapy may shorten the duration of antimicrobial therapy in CNGM.</p>\",\"PeriodicalId\":22096,\"journal\":{\"name\":\"Surgical Case Reports\",\"volume\":\"11 1\",\"pages\":\"\"},\"PeriodicalIF\":0.7000,\"publicationDate\":\"2025-01-01\",\"publicationTypes\":\"Journal Article\",\"fieldsOfStudy\":null,\"isOpenAccess\":false,\"openAccessPdf\":\"https://www.ncbi.nlm.nih.gov/pmc/articles/PMC11850989/pdf/\",\"citationCount\":\"0\",\"resultStr\":null,\"platform\":\"Semanticscholar\",\"paperid\":null,\"PeriodicalName\":\"Surgical Case Reports\",\"FirstCategoryId\":\"1085\",\"ListUrlMain\":\"https://doi.org/10.70352/scrj.cr.24-0115\",\"RegionNum\":0,\"RegionCategory\":null,\"ArticlePicture\":[],\"TitleCN\":null,\"AbstractTextCN\":null,\"PMCID\":null,\"EPubDate\":\"2025/2/7 0:00:00\",\"PubModel\":\"Epub\",\"JCR\":\"Q4\",\"JCRName\":\"SURGERY\",\"Score\":null,\"Total\":0}","platform":"Semanticscholar","paperid":null,"PeriodicalName":"Surgical Case Reports","FirstCategoryId":"1085","ListUrlMain":"https://doi.org/10.70352/scrj.cr.24-0115","RegionNum":0,"RegionCategory":null,"ArticlePicture":[],"TitleCN":null,"AbstractTextCN":null,"PMCID":null,"EPubDate":"2025/2/7 0:00:00","PubModel":"Epub","JCR":"Q4","JCRName":"SURGERY","Score":null,"Total":0}
引用次数: 0

摘要

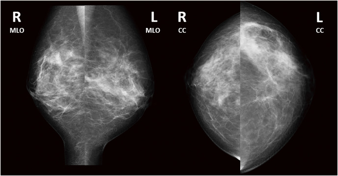
囊性中性粒细胞肉芽肿性乳腺炎(CNGM)的特征是肉芽肿伴囊肿,有时管腔内含有细菌,周围有中性粒细胞浸润,朗汉斯巨细胞。CNGM没有普遍接受的诊断标准。据报道,克氏棒状杆菌是一种革兰氏阳性芽孢杆菌,可引起几种感染,但确切原因尚不清楚。我们报告我们的经验与CNGM的情况下,认为是由于一种罕见的脓肿分枝杆菌感染。病例介绍:我们报告一例36岁的日本女性,由于脓肿分枝杆菌引起的肉芽肿性乳腺炎,她没有接受手术,也没有免疫抑制。她的主诉是左乳房疼痛和肿胀1个月。乳房x光检查示不对称灶性密度增高,超声检查示左侧3点钟位置不规则低回声区。磁共振增强成像显示节段性无质量增强。超声引导下的真空辅助活检病理显示肉芽肿性乳腺炎。Ziehl-Neelsen染色显示红色染色杆菌。检查后乳房疼痛减轻,无红肿发热,随访观察。然而,乳房疼痛并没有完全消失,活检部位的间歇性脓性分泌物持续了5个月。因此,沿着导管扩张样低回声区插入两条12-Fr引流管。给予亚胺培南、阿米卡星和克拉霉素8天。治疗8天后,患者出现药物相关性皮疹;因此,停用抗菌药物治疗,并移除引流管。她的症状有所改善,1个月后磁共振成像显示左乳房先前的影像学表现消失。在撰写本文时,自治疗以来已过去18个月,未观察到复发。结论:我们经历了一例罕见的CNGM合并脓肿分枝杆菌的病例。本病例提示,联合引流和抗菌治疗可缩短CNGM的抗菌治疗时间。
本文章由计算机程序翻译,如有差异,请以英文原文为准。

A Case of Cystic Neutrophilic Granulomatous Mastitis in Which <i>Mycobacteroides abscessus</i> Was Detected.

A Case of Cystic Neutrophilic Granulomatous Mastitis in Which <i>Mycobacteroides abscessus</i> Was Detected.

A Case of Cystic Neutrophilic Granulomatous Mastitis in Which <i>Mycobacteroides abscessus</i> Was Detected.

A Case of Cystic Neutrophilic Granulomatous Mastitis in Which Mycobacteroides abscessus Was Detected.

Introduction: Cystic neutrophilic granulomatous mastitis (CNGM) is characterized by granulomas with cysts that sometimes contain bacteria in the lumen, a surrounding neutrophilic infiltrate, and Langhans giant cells. There are no universally accepted diagnostic criteria for CNGM. Corynebacterium kroppenstedtii, a Gram-positive bacillus, has been reported to cause several infections, but the exact cause remains unclear. We report our experience with a case of CNGM, thought to be due to a rare Mycobacteroides abscessus infection.

Case presentation: We report the case of a 36-year-old Japanese woman with granulomatous mastitis due to Mycobacteroides abscessus who had not undergone surgery and was not immunosuppressed. She presented with a chief complaint of pain and swelling in her left breast for 1 month. Mammography showed asymmetrical focal increased density, and ultrasonography showed an irregular hypoechoic area in the left 3 o'clock position. Contrast-enhanced magnetic resonance imaging showed segmental non-mass-enhancement. Ultrasound-guided vacuum-assisted biopsy with pathology revealed granulomatous mastitis. Ziehl-Neelsen staining revealed red-staining bacilli. The patient was followed up for observation because her breast pain had decreased after the examination, and there was no redness or fever. However, the breast pain has not completely disappeared, and intermittent purulent discharge from the biopsy site persisted for 5 months. Hence, two 12-Fr drains were inserted along the ductal dilatation-like hypoechoic area. Imipenem, amikacin, and clarithromycin were administered for 8 days. After 8 days of this therapy, the patient developed a drug-associated rash; therefore, antimicrobial therapy was discontinued, and the drains were removed. Her symptoms improved, and magnetic resonance imaging after 1 month showed that the previous imaging findings in her left breast had disappeared. At the time of writing, 18 months have passed since treatment, and no recurrence has been observed.

Conclusions: We experienced a rare case of CNGM associated with Mycobacteroides abscessus. This case suggests that a combination of drainage and antimicrobial therapy may shorten the duration of antimicrobial therapy in CNGM.

求助全文
通过发布文献求助,成功后即可免费获取论文全文。 去求助
来源期刊
自引率
0.00%
发文量
218
审稿时长
13 weeks
×
引用
GB/T 7714-2015
复制
MLA
复制
APA
复制
导出至
BibTeX EndNote RefMan NoteFirst NoteExpress
×
提示
您的信息不完整,为了账户安全,请先补充。
现在去补充
×
提示
您因"违规操作"
具体请查看互助需知
我知道了
×
提示
确定
请完成安全验证×
copy
已复制链接
快去分享给好友吧!
我知道了
右上角分享
点击右上角分享
0
联系我们:info@booksci.cn Book学术提供免费学术资源搜索服务,方便国内外学者检索中英文文献。致力于提供最便捷和优质的服务体验。 Copyright © 2023 布克学术 All rights reserved.
京ICP备2023020795号-1
ghs 京公网安备 11010802042870号
Book学术文献互助
Book学术文献互助群
群 号:604180095
Book学术官方微信