机器人辅助超低前切治疗严重会阴撕裂后直肠神经内分泌肿瘤1例。

IF 0.7 Q4 SURGERY
Surgical Case Reports Pub Date : 2025-01-01 Epub Date: 2025-02-01 DOI:10.70352/scrj.cr.24-0012
Kenji Baba, Masumi Wada, Naoki Kuroshima, Yuto Hozaka, Daisaku Kamiimabeppu, Masataka Shimonosono, Yota Kawasaki, Ken Sasaki, Michiyo Higashi, Hiroaki Kobayashi, Takaaki Arigami, Takao Ohtsuka
{"title":"机器人辅助超低前切治疗严重会阴撕裂后直肠神经内分泌肿瘤1例。","authors":"Kenji Baba, Masumi Wada, Naoki Kuroshima, Yuto Hozaka, Daisaku Kamiimabeppu, Masataka Shimonosono, Yota Kawasaki, Ken Sasaki, Michiyo Higashi, Hiroaki Kobayashi, Takaaki Arigami, Takao Ohtsuka","doi":"10.70352/scrj.cr.24-0012","DOIUrl":null,"url":null,"abstract":"<p><strong>Introduction: </strong>Surgical repair of severe perineal tears is required immediately postpartum. Owing to their low prevalence, the post-treatment course of severe tears is not well known. Herein, we report a rare case of a young woman who underwent robot-assisted curative resection with anal preservation for a rectal neuroendocrine tumor (NET) incidentally discovered following a severe perineal tear.</p><p><strong>Case presentation: </strong>A 29-year-old woman experienced a severe perineal tear during the first vaginal delivery, which led to the incidental discovery of a 20-mm rectal NET. Four months after the perineal tear, the gynecology and digestive surgery teams ensured that the tear wound had completely healed and anal function was preserved. The patient underwent robot-assisted ultra-low anterior resection with lymph node dissection. The procedure was successfully completed, preserving anal function, and histopathology confirmed an NET (G2, pT2N2aM0, pStage IIIB). The patient recovered smoothly and was discharged on the seventh postoperative day.</p><p><strong>Conclusions: </strong>Rectal surgery after severe perineal tears may be associated with scarring and fibrosis around the rectum, and precautions should be taken at the time of rectal dissection. Depending on the tumor condition, it may be advisable to perform rectal surgery several months after the tear rather than immediately after treatment for the tear.</p>","PeriodicalId":22096,"journal":{"name":"Surgical Case Reports","volume":"11 1","pages":""},"PeriodicalIF":0.7000,"publicationDate":"2025-01-01","publicationTypes":"Journal Article","fieldsOfStudy":null,"isOpenAccess":false,"openAccessPdf":"https://www.ncbi.nlm.nih.gov/pmc/articles/PMC11850458/pdf/","citationCount":"0","resultStr":"{\"title\":\"Robot-Assisted Ultra-Low Anterior Resection for Rectal Neuroendocrine Tumors after Severe Perineal Tears: A Case Report.\",\"authors\":\"Kenji Baba, Masumi Wada, Naoki Kuroshima, Yuto Hozaka, Daisaku Kamiimabeppu, Masataka Shimonosono, Yota Kawasaki, Ken Sasaki, Michiyo Higashi, Hiroaki Kobayashi, Takaaki Arigami, Takao Ohtsuka\",\"doi\":\"10.70352/scrj.cr.24-0012\",\"DOIUrl\":null,\"url\":null,\"abstract\":\"<p><strong>Introduction: </strong>Surgical repair of severe perineal tears is required immediately postpartum. Owing to their low prevalence, the post-treatment course of severe tears is not well known. Herein, we report a rare case of a young woman who underwent robot-assisted curative resection with anal preservation for a rectal neuroendocrine tumor (NET) incidentally discovered following a severe perineal tear.</p><p><strong>Case presentation: </strong>A 29-year-old woman experienced a severe perineal tear during the first vaginal delivery, which led to the incidental discovery of a 20-mm rectal NET. Four months after the perineal tear, the gynecology and digestive surgery teams ensured that the tear wound had completely healed and anal function was preserved. The patient underwent robot-assisted ultra-low anterior resection with lymph node dissection. The procedure was successfully completed, preserving anal function, and histopathology confirmed an NET (G2, pT2N2aM0, pStage IIIB). The patient recovered smoothly and was discharged on the seventh postoperative day.</p><p><strong>Conclusions: </strong>Rectal surgery after severe perineal tears may be associated with scarring and fibrosis around the rectum, and precautions should be taken at the time of rectal dissection. Depending on the tumor condition, it may be advisable to perform rectal surgery several months after the tear rather than immediately after treatment for the tear.</p>\",\"PeriodicalId\":22096,\"journal\":{\"name\":\"Surgical Case Reports\",\"volume\":\"11 1\",\"pages\":\"\"},\"PeriodicalIF\":0.7000,\"publicationDate\":\"2025-01-01\",\"publicationTypes\":\"Journal Article\",\"fieldsOfStudy\":null,\"isOpenAccess\":false,\"openAccessPdf\":\"https://www.ncbi.nlm.nih.gov/pmc/articles/PMC11850458/pdf/\",\"citationCount\":\"0\",\"resultStr\":null,\"platform\":\"Semanticscholar\",\"paperid\":null,\"PeriodicalName\":\"Surgical Case Reports\",\"FirstCategoryId\":\"1085\",\"ListUrlMain\":\"https://doi.org/10.70352/scrj.cr.24-0012\",\"RegionNum\":0,\"RegionCategory\":null,\"ArticlePicture\":[],\"TitleCN\":null,\"AbstractTextCN\":null,\"PMCID\":null,\"EPubDate\":\"2025/2/1 0:00:00\",\"PubModel\":\"Epub\",\"JCR\":\"Q4\",\"JCRName\":\"SURGERY\",\"Score\":null,\"Total\":0}","platform":"Semanticscholar","paperid":null,"PeriodicalName":"Surgical Case Reports","FirstCategoryId":"1085","ListUrlMain":"https://doi.org/10.70352/scrj.cr.24-0012","RegionNum":0,"RegionCategory":null,"ArticlePicture":[],"TitleCN":null,"AbstractTextCN":null,"PMCID":null,"EPubDate":"2025/2/1 0:00:00","PubModel":"Epub","JCR":"Q4","JCRName":"SURGERY","Score":null,"Total":0}
引用次数: 0

摘要

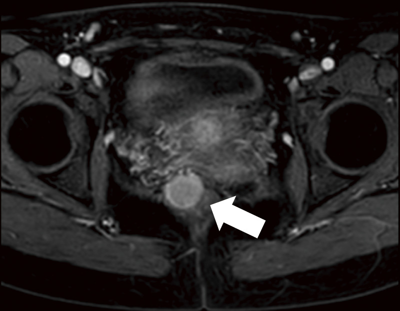
手术修复严重的会阴撕裂是需要立即产后。由于患病率低,严重撕裂后的治疗过程尚不清楚。在此,我们报告一个罕见的病例,一位年轻女性在严重会阴撕裂后偶然发现直肠神经内分泌肿瘤(NET),她接受了机器人辅助的治疗性切除和肛门保留。病例介绍:一名29岁的女性在第一次阴道分娩时经历了严重的会阴撕裂,这导致偶然发现了一个20毫米的直肠网。会阴撕裂4个月后,妇科和消化外科小组确保撕裂伤口完全愈合,肛门功能得以保留。患者接受了机器人辅助的超低前切除术并淋巴结清扫。手术成功完成,保留了肛门功能,组织病理学证实为NET (G2, pT2N2aM0, pStage IIIB)。患者恢复顺利,于术后第7天出院。结论:会阴严重撕裂后的直肠手术可能与直肠周围瘢痕及纤维化有关,切除直肠时应注意预防。根据肿瘤的情况,最好在撕裂后几个月进行直肠手术,而不是在撕裂治疗后立即进行。
本文章由计算机程序翻译,如有差异,请以英文原文为准。

Robot-Assisted Ultra-Low Anterior Resection for Rectal Neuroendocrine Tumors after Severe Perineal Tears: A Case Report.

Robot-Assisted Ultra-Low Anterior Resection for Rectal Neuroendocrine Tumors after Severe Perineal Tears: A Case Report.

Robot-Assisted Ultra-Low Anterior Resection for Rectal Neuroendocrine Tumors after Severe Perineal Tears: A Case Report.

Robot-Assisted Ultra-Low Anterior Resection for Rectal Neuroendocrine Tumors after Severe Perineal Tears: A Case Report.

Introduction: Surgical repair of severe perineal tears is required immediately postpartum. Owing to their low prevalence, the post-treatment course of severe tears is not well known. Herein, we report a rare case of a young woman who underwent robot-assisted curative resection with anal preservation for a rectal neuroendocrine tumor (NET) incidentally discovered following a severe perineal tear.

Case presentation: A 29-year-old woman experienced a severe perineal tear during the first vaginal delivery, which led to the incidental discovery of a 20-mm rectal NET. Four months after the perineal tear, the gynecology and digestive surgery teams ensured that the tear wound had completely healed and anal function was preserved. The patient underwent robot-assisted ultra-low anterior resection with lymph node dissection. The procedure was successfully completed, preserving anal function, and histopathology confirmed an NET (G2, pT2N2aM0, pStage IIIB). The patient recovered smoothly and was discharged on the seventh postoperative day.

Conclusions: Rectal surgery after severe perineal tears may be associated with scarring and fibrosis around the rectum, and precautions should be taken at the time of rectal dissection. Depending on the tumor condition, it may be advisable to perform rectal surgery several months after the tear rather than immediately after treatment for the tear.

求助全文
通过发布文献求助,成功后即可免费获取论文全文。 去求助
来源期刊
自引率
0.00%
发文量
218
审稿时长
13 weeks
×
引用
GB/T 7714-2015
复制
MLA
复制
APA
复制
导出至
BibTeX EndNote RefMan NoteFirst NoteExpress
×
提示
您的信息不完整,为了账户安全,请先补充。
现在去补充
×
提示
您因"违规操作"
具体请查看互助需知
我知道了
×
提示
确定
请完成安全验证×
copy
已复制链接
快去分享给好友吧!
我知道了
右上角分享
点击右上角分享
0
联系我们:info@booksci.cn Book学术提供免费学术资源搜索服务,方便国内外学者检索中英文文献。致力于提供最便捷和优质的服务体验。 Copyright © 2023 布克学术 All rights reserved.
京ICP备2023020795号-1
ghs 京公网安备 11010802042870号
Book学术文献互助
Book学术文献互助群
群 号:604180095
Book学术官方微信