腹内硬纤维瘤伴疏松胶原纤维水肿。

IF 0.6 Q4 GASTROENTEROLOGY & HEPATOLOGY
Case Reports in Gastroenterology Pub Date : 2025-02-25 eCollection Date: 2025-01-01 DOI:10.1159/000543498
Mao Iino, Shoji Oura
{"title":"腹内硬纤维瘤伴疏松胶原纤维水肿。","authors":"Mao Iino, Shoji Oura","doi":"10.1159/000543498","DOIUrl":null,"url":null,"abstract":"<p><strong>Introduction: </strong>Diagnostic physicians tend to judge a low-dense area on computed tomography (CT) as central necrosis when it has no contrast enhancement and locates in the center of large tumors.</p><p><strong>Case presentation: </strong>An 80-year-old woman was referred to our hospital due to the detection of an abdominal mass on ultrasound (US). CT showed a well-demarcated oval mass, 11 cm in size, with a central low-density area. US showed high internal echoes and enhanced posterior echoes. Magnetic resonance imaging (MRI) showed the low-density area on CT to be hypo-intense on T1-weighted images and hyper-intense on T2-weighted images. MRI further showed the central part of the tumor to be hyper-intense both on diffusion-weighted images and apparent diffusion coefficient images. Under the tentative diagnosis of a gastrointestinal stromal tumor with central necrosis, the patient underwent tumor resection, revealing the tumor to be a jejunal submucosal tumor. Pathological study showed collagen fibers with heterogeneous density and sparse proliferation of spindle cells. The center of the tumor had marked edema in addition to sparse collagen fibers. Immunostaining showed that the atypical cells were diffusely positive for β catenin and negative for S100 protein, desmin, and DOG1, leading to the diagnosis of desmoid tumor (DT).</p><p><strong>Conclusions: </strong>Physicians should note that intra-abdominal DT can have edematous loose collagen fibers and may show central necrosis-like findings on CT.</p>","PeriodicalId":9614,"journal":{"name":"Case Reports in Gastroenterology","volume":"19 1","pages":"107-112"},"PeriodicalIF":0.6000,"publicationDate":"2025-02-25","publicationTypes":"Journal Article","fieldsOfStudy":null,"isOpenAccess":false,"openAccessPdf":"https://www.ncbi.nlm.nih.gov/pmc/articles/PMC11857155/pdf/","citationCount":"0","resultStr":"{\"title\":\"An Intra-Abdominal Desmoid Tumor with Edematous Loose Collagen Fibers.\",\"authors\":\"Mao Iino, Shoji Oura\",\"doi\":\"10.1159/000543498\",\"DOIUrl\":null,\"url\":null,\"abstract\":\"<p><strong>Introduction: </strong>Diagnostic physicians tend to judge a low-dense area on computed tomography (CT) as central necrosis when it has no contrast enhancement and locates in the center of large tumors.</p><p><strong>Case presentation: </strong>An 80-year-old woman was referred to our hospital due to the detection of an abdominal mass on ultrasound (US). CT showed a well-demarcated oval mass, 11 cm in size, with a central low-density area. US showed high internal echoes and enhanced posterior echoes. Magnetic resonance imaging (MRI) showed the low-density area on CT to be hypo-intense on T1-weighted images and hyper-intense on T2-weighted images. MRI further showed the central part of the tumor to be hyper-intense both on diffusion-weighted images and apparent diffusion coefficient images. Under the tentative diagnosis of a gastrointestinal stromal tumor with central necrosis, the patient underwent tumor resection, revealing the tumor to be a jejunal submucosal tumor. Pathological study showed collagen fibers with heterogeneous density and sparse proliferation of spindle cells. The center of the tumor had marked edema in addition to sparse collagen fibers. Immunostaining showed that the atypical cells were diffusely positive for β catenin and negative for S100 protein, desmin, and DOG1, leading to the diagnosis of desmoid tumor (DT).</p><p><strong>Conclusions: </strong>Physicians should note that intra-abdominal DT can have edematous loose collagen fibers and may show central necrosis-like findings on CT.</p>\",\"PeriodicalId\":9614,\"journal\":{\"name\":\"Case Reports in Gastroenterology\",\"volume\":\"19 1\",\"pages\":\"107-112\"},\"PeriodicalIF\":0.6000,\"publicationDate\":\"2025-02-25\",\"publicationTypes\":\"Journal Article\",\"fieldsOfStudy\":null,\"isOpenAccess\":false,\"openAccessPdf\":\"https://www.ncbi.nlm.nih.gov/pmc/articles/PMC11857155/pdf/\",\"citationCount\":\"0\",\"resultStr\":null,\"platform\":\"Semanticscholar\",\"paperid\":null,\"PeriodicalName\":\"Case Reports in Gastroenterology\",\"FirstCategoryId\":\"1085\",\"ListUrlMain\":\"https://doi.org/10.1159/000543498\",\"RegionNum\":0,\"RegionCategory\":null,\"ArticlePicture\":[],\"TitleCN\":null,\"AbstractTextCN\":null,\"PMCID\":null,\"EPubDate\":\"2025/1/1 0:00:00\",\"PubModel\":\"eCollection\",\"JCR\":\"Q4\",\"JCRName\":\"GASTROENTEROLOGY & HEPATOLOGY\",\"Score\":null,\"Total\":0}","platform":"Semanticscholar","paperid":null,"PeriodicalName":"Case Reports in Gastroenterology","FirstCategoryId":"1085","ListUrlMain":"https://doi.org/10.1159/000543498","RegionNum":0,"RegionCategory":null,"ArticlePicture":[],"TitleCN":null,"AbstractTextCN":null,"PMCID":null,"EPubDate":"2025/1/1 0:00:00","PubModel":"eCollection","JCR":"Q4","JCRName":"GASTROENTEROLOGY & HEPATOLOGY","Score":null,"Total":0}
引用次数: 0

摘要

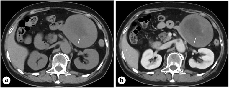
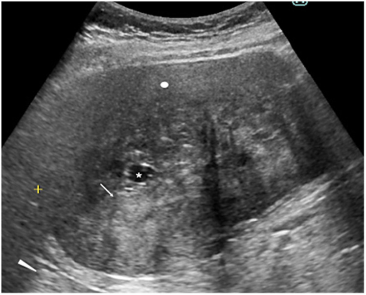
导读:当CT上低密度区域未增强且位于大肿瘤中心时,诊断医师倾向于将其判断为中心性坏死。病例介绍:一名80岁妇女因超声检查发现腹部肿块而转诊至我院。CT示界限清晰的椭圆形肿块,大小约11cm,中心低密度区。超声显示内回声高,后回声增强。磁共振成像(MRI)显示CT上低密度区在t1加权上呈低强度,在t2加权上呈高强度。MRI进一步显示肿瘤中心部位弥散加权像和表观弥散系数像均呈高强度。经初步诊断为胃肠道间质肿瘤伴中央坏死,行肿瘤切除术,发现肿瘤为空肠黏膜下肿瘤。病理检查显示胶原纤维密度不均,梭形细胞稀疏增生。肿瘤中心有明显水肿,胶原纤维稀疏。免疫染色显示非典型细胞弥散性β catenin阳性,S100蛋白、desmin、DOG1阴性,诊断为desmoid tumor (DT)。结论:医生应注意腹腔内DT可出现水肿性疏松的胶原纤维,并可在CT上显示中心坏死样表现。
本文章由计算机程序翻译,如有差异,请以英文原文为准。

An Intra-Abdominal Desmoid Tumor with Edematous Loose Collagen Fibers.

An Intra-Abdominal Desmoid Tumor with Edematous Loose Collagen Fibers.

An Intra-Abdominal Desmoid Tumor with Edematous Loose Collagen Fibers.

An Intra-Abdominal Desmoid Tumor with Edematous Loose Collagen Fibers.

Introduction: Diagnostic physicians tend to judge a low-dense area on computed tomography (CT) as central necrosis when it has no contrast enhancement and locates in the center of large tumors.

Case presentation: An 80-year-old woman was referred to our hospital due to the detection of an abdominal mass on ultrasound (US). CT showed a well-demarcated oval mass, 11 cm in size, with a central low-density area. US showed high internal echoes and enhanced posterior echoes. Magnetic resonance imaging (MRI) showed the low-density area on CT to be hypo-intense on T1-weighted images and hyper-intense on T2-weighted images. MRI further showed the central part of the tumor to be hyper-intense both on diffusion-weighted images and apparent diffusion coefficient images. Under the tentative diagnosis of a gastrointestinal stromal tumor with central necrosis, the patient underwent tumor resection, revealing the tumor to be a jejunal submucosal tumor. Pathological study showed collagen fibers with heterogeneous density and sparse proliferation of spindle cells. The center of the tumor had marked edema in addition to sparse collagen fibers. Immunostaining showed that the atypical cells were diffusely positive for β catenin and negative for S100 protein, desmin, and DOG1, leading to the diagnosis of desmoid tumor (DT).

Conclusions: Physicians should note that intra-abdominal DT can have edematous loose collagen fibers and may show central necrosis-like findings on CT.

求助全文
通过发布文献求助,成功后即可免费获取论文全文。 去求助
来源期刊
Case Reports in Gastroenterology
Case Reports in Gastroenterology Medicine-Gastroenterology
CiteScore
1.10
自引率
0.00%
发文量
99
审稿时长
7 weeks
期刊介绍:
×
引用
GB/T 7714-2015
复制
MLA
复制
APA
复制
导出至
BibTeX EndNote RefMan NoteFirst NoteExpress
×
提示
您的信息不完整,为了账户安全,请先补充。
现在去补充
×
提示
您因"违规操作"
具体请查看互助需知
我知道了
×
提示
确定
请完成安全验证×
copy
已复制链接
快去分享给好友吧!
我知道了
右上角分享
点击右上角分享
0
联系我们:info@booksci.cn Book学术提供免费学术资源搜索服务,方便国内外学者检索中英文文献。致力于提供最便捷和优质的服务体验。 Copyright © 2023 布克学术 All rights reserved.
京ICP备2023020795号-1
ghs 京公网安备 11010802042870号
Book学术文献互助
Book学术文献互助群
群 号:604180095
Book学术官方微信