姜黄和胡椒碱相关的药物性肝损伤:一个病例和回顾。

IF 0.6 Q4 GASTROENTEROLOGY & HEPATOLOGY
Case Reports in Gastroenterology Pub Date : 2025-02-24 eCollection Date: 2025-01-01 DOI:10.1159/000543679
Atul Shrestha, Sarah Elliott, Joshua Haron Abasszade, Kyle Wu, Thomas Worland, Ian Simpson, Anouk Dev
{"title":"姜黄和胡椒碱相关的药物性肝损伤:一个病例和回顾。","authors":"Atul Shrestha, Sarah Elliott, Joshua Haron Abasszade, Kyle Wu, Thomas Worland, Ian Simpson, Anouk Dev","doi":"10.1159/000543679","DOIUrl":null,"url":null,"abstract":"<p><strong>Introduction: </strong>Turmeric is a common spice used in traditional Chinese and Ayurvedic medicine for a variety of purported health benefits. Recent concerns have arisen regarding turmeric-induced liver injury linked to formulations with enhanced bioavailability, often including piperine found in black pepper.</p><p><strong>Case presentation: </strong>We explore a case of a 40-year-old female with increasing fatigue, pruritus, and dark urine following consumption of turmeric and black pepper \"wellness shots\" leading to a significant drug-induced liver injury.</p><p><strong>Conclusion: </strong>This case underscores the critical need to recognise herbal remedies, such as turmeric, as potential sources of hepatotoxicity. Despite a reputation of safety, limited regulation and testing of turmeric may mean potential adverse effects are under-recognised. Understanding the mechanisms behind turmeric and black pepper's hepatotoxicity, including the role of potential genetic predispositions, requires further investigation for its safe use.</p>","PeriodicalId":9614,"journal":{"name":"Case Reports in Gastroenterology","volume":"19 1","pages":"96-106"},"PeriodicalIF":0.6000,"publicationDate":"2025-02-24","publicationTypes":"Journal Article","fieldsOfStudy":null,"isOpenAccess":false,"openAccessPdf":"https://www.ncbi.nlm.nih.gov/pmc/articles/PMC11850025/pdf/","citationCount":"0","resultStr":"{\"title\":\"Drug-Induced Liver Injury Associated with Turmeric and Piperine: A Case and Review.\",\"authors\":\"Atul Shrestha, Sarah Elliott, Joshua Haron Abasszade, Kyle Wu, Thomas Worland, Ian Simpson, Anouk Dev\",\"doi\":\"10.1159/000543679\",\"DOIUrl\":null,\"url\":null,\"abstract\":\"<p><strong>Introduction: </strong>Turmeric is a common spice used in traditional Chinese and Ayurvedic medicine for a variety of purported health benefits. Recent concerns have arisen regarding turmeric-induced liver injury linked to formulations with enhanced bioavailability, often including piperine found in black pepper.</p><p><strong>Case presentation: </strong>We explore a case of a 40-year-old female with increasing fatigue, pruritus, and dark urine following consumption of turmeric and black pepper \\\"wellness shots\\\" leading to a significant drug-induced liver injury.</p><p><strong>Conclusion: </strong>This case underscores the critical need to recognise herbal remedies, such as turmeric, as potential sources of hepatotoxicity. Despite a reputation of safety, limited regulation and testing of turmeric may mean potential adverse effects are under-recognised. Understanding the mechanisms behind turmeric and black pepper's hepatotoxicity, including the role of potential genetic predispositions, requires further investigation for its safe use.</p>\",\"PeriodicalId\":9614,\"journal\":{\"name\":\"Case Reports in Gastroenterology\",\"volume\":\"19 1\",\"pages\":\"96-106\"},\"PeriodicalIF\":0.6000,\"publicationDate\":\"2025-02-24\",\"publicationTypes\":\"Journal Article\",\"fieldsOfStudy\":null,\"isOpenAccess\":false,\"openAccessPdf\":\"https://www.ncbi.nlm.nih.gov/pmc/articles/PMC11850025/pdf/\",\"citationCount\":\"0\",\"resultStr\":null,\"platform\":\"Semanticscholar\",\"paperid\":null,\"PeriodicalName\":\"Case Reports in Gastroenterology\",\"FirstCategoryId\":\"1085\",\"ListUrlMain\":\"https://doi.org/10.1159/000543679\",\"RegionNum\":0,\"RegionCategory\":null,\"ArticlePicture\":[],\"TitleCN\":null,\"AbstractTextCN\":null,\"PMCID\":null,\"EPubDate\":\"2025/1/1 0:00:00\",\"PubModel\":\"eCollection\",\"JCR\":\"Q4\",\"JCRName\":\"GASTROENTEROLOGY & HEPATOLOGY\",\"Score\":null,\"Total\":0}","platform":"Semanticscholar","paperid":null,"PeriodicalName":"Case Reports in Gastroenterology","FirstCategoryId":"1085","ListUrlMain":"https://doi.org/10.1159/000543679","RegionNum":0,"RegionCategory":null,"ArticlePicture":[],"TitleCN":null,"AbstractTextCN":null,"PMCID":null,"EPubDate":"2025/1/1 0:00:00","PubModel":"eCollection","JCR":"Q4","JCRName":"GASTROENTEROLOGY & HEPATOLOGY","Score":null,"Total":0}
引用次数: 0

摘要

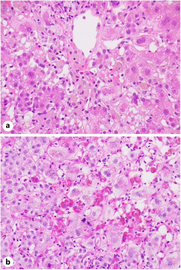
简介:姜黄是一种常见的香料,用于传统的中国和阿育吠陀医学,有各种各样的健康益处。最近,人们开始关注姜黄引起的肝损伤,这与生物利用度增强的配方有关,通常包括黑胡椒中的胡椒碱。病例介绍:我们研究了一例40岁女性,在服用姜黄和黑胡椒“健康注射”后,疲劳、瘙痒和尿色加深,导致明显的药物性肝损伤。结论:该病例强调了认识草药(如姜黄)作为潜在肝毒性来源的迫切需要。尽管姜黄素以安全著称,但对其的监管和检测有限,可能意味着潜在的不良影响未得到充分认识。了解姜黄和黑胡椒肝毒性背后的机制,包括潜在遗传倾向的作用,需要进一步研究其安全使用。
本文章由计算机程序翻译,如有差异,请以英文原文为准。

Drug-Induced Liver Injury Associated with Turmeric and Piperine: A Case and Review.

Drug-Induced Liver Injury Associated with Turmeric and Piperine: A Case and Review.

Drug-Induced Liver Injury Associated with Turmeric and Piperine: A Case and Review.

Drug-Induced Liver Injury Associated with Turmeric and Piperine: A Case and Review.

Introduction: Turmeric is a common spice used in traditional Chinese and Ayurvedic medicine for a variety of purported health benefits. Recent concerns have arisen regarding turmeric-induced liver injury linked to formulations with enhanced bioavailability, often including piperine found in black pepper.

Case presentation: We explore a case of a 40-year-old female with increasing fatigue, pruritus, and dark urine following consumption of turmeric and black pepper "wellness shots" leading to a significant drug-induced liver injury.

Conclusion: This case underscores the critical need to recognise herbal remedies, such as turmeric, as potential sources of hepatotoxicity. Despite a reputation of safety, limited regulation and testing of turmeric may mean potential adverse effects are under-recognised. Understanding the mechanisms behind turmeric and black pepper's hepatotoxicity, including the role of potential genetic predispositions, requires further investigation for its safe use.

求助全文
通过发布文献求助,成功后即可免费获取论文全文。 去求助
来源期刊
Case Reports in Gastroenterology
Case Reports in Gastroenterology Medicine-Gastroenterology
CiteScore
1.10
自引率
0.00%
发文量
99
审稿时长
7 weeks
期刊介绍:
×
引用
GB/T 7714-2015
复制
MLA
复制
APA
复制
导出至
BibTeX EndNote RefMan NoteFirst NoteExpress
×
提示
您的信息不完整,为了账户安全,请先补充。
现在去补充
×
提示
您因"违规操作"
具体请查看互助需知
我知道了
×
提示
确定
请完成安全验证×
copy
已复制链接
快去分享给好友吧!
我知道了
右上角分享
点击右上角分享
0
联系我们:info@booksci.cn Book学术提供免费学术资源搜索服务,方便国内外学者检索中英文文献。致力于提供最便捷和优质的服务体验。 Copyright © 2023 布克学术 All rights reserved.
京ICP备2023020795号-1
ghs 京公网安备 11010802042870号
Book学术文献互助
Book学术文献互助群
群 号:604180095
Book学术官方微信