一例罕见且具有挑战性的儿童颅内结核瘤治疗过程中出现药物毒性和免疫重建炎症综合征的病例报告。

IF 2.3
Experimental and therapeutic medicine Pub Date : 2025-02-05 eCollection Date: 2025-04-01 DOI:10.3892/etm.2025.12815
Fatma Tuğba Çetin, Ümmühan Çay, Fatma Kilinç, Ömer Kaya, Nisanur Tapaç, Emel Bakanoğlu, Asena Ünal, Özlem Özgür Gündeşlioğlu, Arzu Demir, Derya Alabaz
{"title":"一例罕见且具有挑战性的儿童颅内结核瘤治疗过程中出现药物毒性和免疫重建炎症综合征的病例报告。","authors":"Fatma Tuğba Çetin, Ümmühan Çay, Fatma Kilinç, Ömer Kaya, Nisanur Tapaç, Emel Bakanoğlu, Asena Ünal, Özlem Özgür Gündeşlioğlu, Arzu Demir, Derya Alabaz","doi":"10.3892/etm.2025.12815","DOIUrl":null,"url":null,"abstract":"<p><p>Intracranial tuberculoma represents one of the most severe complications of central nervous system tuberculosis (TB), with an incidence that is relatively low. In cases of intracranial tuberculoma, patients may develop drug toxicity and/or immune reconstitution inflammatory syndrome (IRIS) while receiving anti-TB treatment. The current study presented the case of a seven-year-old female patient with intracranial tuberculoma who developed drug-induced hepatotoxicity and IRIS during the course of treatment. During the follow-up of the patient, anti-TB drug-induced hepatitis developed, which led to the discontinuation of the drug twice. In the seventh month of treatment, cranial MRI showed the progression of tuberculoma lesions. The possibility of IRIS or treatment failure was considered and the treatment was restarted with steroids and non-hepatotoxic anti-TB drugs. With steroid and anti-TB treatment, the lesions regressed almost completely and the neurological deficit regressed. Patients receiving treatment should be followed up closely due to the possible side effects of anti-TB drugs, especially IRIS, which develops as an immune restructuring response during the recovery of the immune system.</p>","PeriodicalId":94002,"journal":{"name":"Experimental and therapeutic medicine","volume":"29 4","pages":"66"},"PeriodicalIF":2.3000,"publicationDate":"2025-02-05","publicationTypes":"Journal Article","fieldsOfStudy":null,"isOpenAccess":false,"openAccessPdf":"https://www.ncbi.nlm.nih.gov/pmc/articles/PMC11843197/pdf/","citationCount":"0","resultStr":"{\"title\":\"A rare and challenging pediatric case of drug toxicity and immune reconstitution inflammatory syndrome during the treatment of intracranial tuberculoma: A case report.\",\"authors\":\"Fatma Tuğba Çetin, Ümmühan Çay, Fatma Kilinç, Ömer Kaya, Nisanur Tapaç, Emel Bakanoğlu, Asena Ünal, Özlem Özgür Gündeşlioğlu, Arzu Demir, Derya Alabaz\",\"doi\":\"10.3892/etm.2025.12815\",\"DOIUrl\":null,\"url\":null,\"abstract\":\"<p><p>Intracranial tuberculoma represents one of the most severe complications of central nervous system tuberculosis (TB), with an incidence that is relatively low. In cases of intracranial tuberculoma, patients may develop drug toxicity and/or immune reconstitution inflammatory syndrome (IRIS) while receiving anti-TB treatment. The current study presented the case of a seven-year-old female patient with intracranial tuberculoma who developed drug-induced hepatotoxicity and IRIS during the course of treatment. During the follow-up of the patient, anti-TB drug-induced hepatitis developed, which led to the discontinuation of the drug twice. In the seventh month of treatment, cranial MRI showed the progression of tuberculoma lesions. The possibility of IRIS or treatment failure was considered and the treatment was restarted with steroids and non-hepatotoxic anti-TB drugs. With steroid and anti-TB treatment, the lesions regressed almost completely and the neurological deficit regressed. Patients receiving treatment should be followed up closely due to the possible side effects of anti-TB drugs, especially IRIS, which develops as an immune restructuring response during the recovery of the immune system.</p>\",\"PeriodicalId\":94002,\"journal\":{\"name\":\"Experimental and therapeutic medicine\",\"volume\":\"29 4\",\"pages\":\"66\"},\"PeriodicalIF\":2.3000,\"publicationDate\":\"2025-02-05\",\"publicationTypes\":\"Journal Article\",\"fieldsOfStudy\":null,\"isOpenAccess\":false,\"openAccessPdf\":\"https://www.ncbi.nlm.nih.gov/pmc/articles/PMC11843197/pdf/\",\"citationCount\":\"0\",\"resultStr\":null,\"platform\":\"Semanticscholar\",\"paperid\":null,\"PeriodicalName\":\"Experimental and therapeutic medicine\",\"FirstCategoryId\":\"1085\",\"ListUrlMain\":\"https://doi.org/10.3892/etm.2025.12815\",\"RegionNum\":0,\"RegionCategory\":null,\"ArticlePicture\":[],\"TitleCN\":null,\"AbstractTextCN\":null,\"PMCID\":null,\"EPubDate\":\"2025/4/1 0:00:00\",\"PubModel\":\"eCollection\",\"JCR\":\"\",\"JCRName\":\"\",\"Score\":null,\"Total\":0}","platform":"Semanticscholar","paperid":null,"PeriodicalName":"Experimental and therapeutic medicine","FirstCategoryId":"1085","ListUrlMain":"https://doi.org/10.3892/etm.2025.12815","RegionNum":0,"RegionCategory":null,"ArticlePicture":[],"TitleCN":null,"AbstractTextCN":null,"PMCID":null,"EPubDate":"2025/4/1 0:00:00","PubModel":"eCollection","JCR":"","JCRName":"","Score":null,"Total":0}
引用次数: 0

摘要

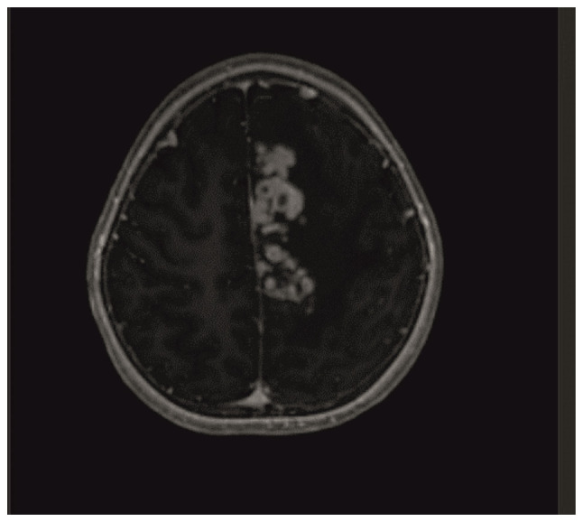
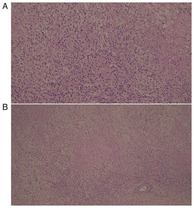
颅内结核瘤是中枢神经系统结核(TB)最严重的并发症之一,发病率相对较低。在颅内结核瘤病例中,患者在接受抗结核治疗时可能出现药物毒性和/或免疫重建炎症综合征(IRIS)。目前的研究报告了一名7岁的颅内结核瘤女性患者在治疗过程中出现药物性肝毒性和IRIS。在患者随访期间,出现抗结核药物性肝炎,导致两次停药。在治疗的第七个月,颅脑MRI显示结核瘤病变的进展。考虑到IRIS或治疗失败的可能性,重新开始使用类固醇和非肝毒性抗结核药物治疗。通过类固醇和抗结核治疗,病变几乎完全消退,神经功能缺损也得到了缓解。由于抗结核药物可能产生的副作用,特别是IRIS,应密切随访接受治疗的患者,IRIS是在免疫系统恢复过程中作为免疫重组反应而发展起来的。
本文章由计算机程序翻译,如有差异,请以英文原文为准。

A rare and challenging pediatric case of drug toxicity and immune reconstitution inflammatory syndrome during the treatment of intracranial tuberculoma: A case report.

A rare and challenging pediatric case of drug toxicity and immune reconstitution inflammatory syndrome during the treatment of intracranial tuberculoma: A case report.

A rare and challenging pediatric case of drug toxicity and immune reconstitution inflammatory syndrome during the treatment of intracranial tuberculoma: A case report.

A rare and challenging pediatric case of drug toxicity and immune reconstitution inflammatory syndrome during the treatment of intracranial tuberculoma: A case report.

Intracranial tuberculoma represents one of the most severe complications of central nervous system tuberculosis (TB), with an incidence that is relatively low. In cases of intracranial tuberculoma, patients may develop drug toxicity and/or immune reconstitution inflammatory syndrome (IRIS) while receiving anti-TB treatment. The current study presented the case of a seven-year-old female patient with intracranial tuberculoma who developed drug-induced hepatotoxicity and IRIS during the course of treatment. During the follow-up of the patient, anti-TB drug-induced hepatitis developed, which led to the discontinuation of the drug twice. In the seventh month of treatment, cranial MRI showed the progression of tuberculoma lesions. The possibility of IRIS or treatment failure was considered and the treatment was restarted with steroids and non-hepatotoxic anti-TB drugs. With steroid and anti-TB treatment, the lesions regressed almost completely and the neurological deficit regressed. Patients receiving treatment should be followed up closely due to the possible side effects of anti-TB drugs, especially IRIS, which develops as an immune restructuring response during the recovery of the immune system.

求助全文
通过发布文献求助,成功后即可免费获取论文全文。 去求助
来源期刊
自引率
0.00%
发文量
0
×
引用
GB/T 7714-2015
复制
MLA
复制
APA
复制
导出至
BibTeX EndNote RefMan NoteFirst NoteExpress
×
提示
您的信息不完整,为了账户安全,请先补充。
现在去补充
×
提示
您因"违规操作"
具体请查看互助需知
我知道了
×
提示
确定
请完成安全验证×
copy
已复制链接
快去分享给好友吧!
我知道了
右上角分享
点击右上角分享
0
联系我们:info@booksci.cn Book学术提供免费学术资源搜索服务,方便国内外学者检索中英文文献。致力于提供最便捷和优质的服务体验。 Copyright © 2023 布克学术 All rights reserved.
京ICP备2023020795号-1
ghs 京公网安备 11010802042870号
Book学术文献互助
Book学术文献互助群
群 号:604180095
Book学术官方微信