偶然发现的十二指肠胃肠道间质瘤:手术治疗及术后问题- 1例报告及文献复习。

IF 0.5 Q4 GASTROENTEROLOGY & HEPATOLOGY
Case Reports in Gastrointestinal Medicine Pub Date : 2025-02-14 eCollection Date: 2025-01-01 DOI:10.1155/crgm/5493240
Peter Lüthje, Ilona Nurmi-Lüthje
{"title":"偶然发现的十二指肠胃肠道间质瘤:手术治疗及术后问题- 1例报告及文献复习。","authors":"Peter Lüthje, Ilona Nurmi-Lüthje","doi":"10.1155/crgm/5493240","DOIUrl":null,"url":null,"abstract":"<p><p><b>Background:</b> Gastrointestinal stromal tumours (GISTs) are mesenchymal tumours of the digestive tract that can involve any part of the tract. The tumours can be harmless or life-threatening. <b>Materials and Methods:</b> A case report of a surgeon who fell in a Finnish sauna, and he immediately felt that some ribs were broken. Magnetic resonance imaging and ultrasound showed three fractured ribs and an intrasplenic haematoma. Contrast-enhanced computed tomography (CT) demonstrated a small intrasplenic anomaly but no haematoma. Incidentally, an incidentaloma in the left adrenal gland was diagnosed. Three months later, a control CT scan was performed. The radiological findings on the adrenal gland and laboratory examinations matched those of a benign adenoma. Incidentally, a small duodenal tumour was diagnosed. At the same time, anaemia (haemoglobin: 104 g/L) and iron deficiency (ferritin: 8 μg/L) were noticed. An esophagogastroduodenoscopy showed an intramural tumour localised after the bulb-descending junction. Because the tumour was submucosal, the pathological diagnosis failed. Three months later, a radical surgical resection of the tumour with a resection margin of 2 mm and primary closing of the duodenum was performed. Pathological examination showed a well-circumscribed submucosal mesenchymal tumour with spindle cells. A tumour-free margin was uncertain. Immunohistochemistry findings showed a GIST. Due to the uncertain margin, an esophagogastroduodenoscopy control was planned at 2 years postoperatively. The patient disagreed with the decision and ordered a private control CT 3 months after the operation. The new CT found no local recurrence or metastasis. The patient contacted the head surgeon of the clinic, who ordered a 1-year postoperative CT. The 1-year follow-up CT finding agreed with the previous findings. <b>Conclusion:</b> The aftertreatment of a radical-operated GIST is extremely important if histologic examination of the tumour-free margin is uncertain. In that case, CT controls should be considered once a year for at least 3 years.</p>","PeriodicalId":45645,"journal":{"name":"Case Reports in Gastrointestinal Medicine","volume":"2025 ","pages":"5493240"},"PeriodicalIF":0.5000,"publicationDate":"2025-02-14","publicationTypes":"Journal Article","fieldsOfStudy":null,"isOpenAccess":false,"openAccessPdf":"https://www.ncbi.nlm.nih.gov/pmc/articles/PMC11845264/pdf/","citationCount":"0","resultStr":"{\"title\":\"Incidentally Discovered Duodenal Gastrointestinal Stromal Tumour (GIST): Operative Treatment and Problems After Surgery-A Case Report and Literature Review.\",\"authors\":\"Peter Lüthje, Ilona Nurmi-Lüthje\",\"doi\":\"10.1155/crgm/5493240\",\"DOIUrl\":null,\"url\":null,\"abstract\":\"<p><p><b>Background:</b> Gastrointestinal stromal tumours (GISTs) are mesenchymal tumours of the digestive tract that can involve any part of the tract. The tumours can be harmless or life-threatening. <b>Materials and Methods:</b> A case report of a surgeon who fell in a Finnish sauna, and he immediately felt that some ribs were broken. Magnetic resonance imaging and ultrasound showed three fractured ribs and an intrasplenic haematoma. Contrast-enhanced computed tomography (CT) demonstrated a small intrasplenic anomaly but no haematoma. Incidentally, an incidentaloma in the left adrenal gland was diagnosed. Three months later, a control CT scan was performed. The radiological findings on the adrenal gland and laboratory examinations matched those of a benign adenoma. Incidentally, a small duodenal tumour was diagnosed. At the same time, anaemia (haemoglobin: 104 g/L) and iron deficiency (ferritin: 8 μg/L) were noticed. An esophagogastroduodenoscopy showed an intramural tumour localised after the bulb-descending junction. Because the tumour was submucosal, the pathological diagnosis failed. Three months later, a radical surgical resection of the tumour with a resection margin of 2 mm and primary closing of the duodenum was performed. Pathological examination showed a well-circumscribed submucosal mesenchymal tumour with spindle cells. A tumour-free margin was uncertain. Immunohistochemistry findings showed a GIST. Due to the uncertain margin, an esophagogastroduodenoscopy control was planned at 2 years postoperatively. The patient disagreed with the decision and ordered a private control CT 3 months after the operation. The new CT found no local recurrence or metastasis. The patient contacted the head surgeon of the clinic, who ordered a 1-year postoperative CT. The 1-year follow-up CT finding agreed with the previous findings. <b>Conclusion:</b> The aftertreatment of a radical-operated GIST is extremely important if histologic examination of the tumour-free margin is uncertain. In that case, CT controls should be considered once a year for at least 3 years.</p>\",\"PeriodicalId\":45645,\"journal\":{\"name\":\"Case Reports in Gastrointestinal Medicine\",\"volume\":\"2025 \",\"pages\":\"5493240\"},\"PeriodicalIF\":0.5000,\"publicationDate\":\"2025-02-14\",\"publicationTypes\":\"Journal Article\",\"fieldsOfStudy\":null,\"isOpenAccess\":false,\"openAccessPdf\":\"https://www.ncbi.nlm.nih.gov/pmc/articles/PMC11845264/pdf/\",\"citationCount\":\"0\",\"resultStr\":null,\"platform\":\"Semanticscholar\",\"paperid\":null,\"PeriodicalName\":\"Case Reports in Gastrointestinal Medicine\",\"FirstCategoryId\":\"1085\",\"ListUrlMain\":\"https://doi.org/10.1155/crgm/5493240\",\"RegionNum\":0,\"RegionCategory\":null,\"ArticlePicture\":[],\"TitleCN\":null,\"AbstractTextCN\":null,\"PMCID\":null,\"EPubDate\":\"2025/1/1 0:00:00\",\"PubModel\":\"eCollection\",\"JCR\":\"Q4\",\"JCRName\":\"GASTROENTEROLOGY & HEPATOLOGY\",\"Score\":null,\"Total\":0}","platform":"Semanticscholar","paperid":null,"PeriodicalName":"Case Reports in Gastrointestinal Medicine","FirstCategoryId":"1085","ListUrlMain":"https://doi.org/10.1155/crgm/5493240","RegionNum":0,"RegionCategory":null,"ArticlePicture":[],"TitleCN":null,"AbstractTextCN":null,"PMCID":null,"EPubDate":"2025/1/1 0:00:00","PubModel":"eCollection","JCR":"Q4","JCRName":"GASTROENTEROLOGY & HEPATOLOGY","Score":null,"Total":0}
引用次数: 0

摘要

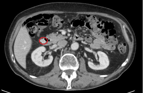
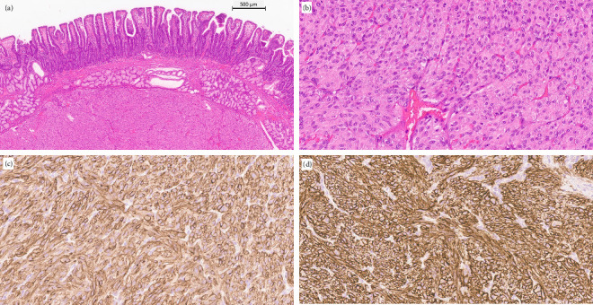
背景:胃肠道间质瘤(gist)是消化道的间质肿瘤,可累及消化道的任何部分。这些肿瘤可能是无害的,也可能危及生命。材料与方法:报告一位外科医生在芬兰桑拿浴室中跌倒,立即感觉肋骨断裂的病例。核磁共振及超音波显示三根肋骨骨折及脾内血肿。增强计算机断层扫描(CT)显示小脾内异常,但没有血肿。顺便说一句,左肾上腺的一个偶然瘤被诊断出来。三个月后,进行对照CT扫描。肾上腺的放射学表现和实验室检查符合良性腺瘤。顺便说一句,诊断出一个小的十二指肠肿瘤。同时出现贫血(血红蛋白:104 g/L)和缺铁(铁蛋白:8 g/L)。食管胃十二指肠镜检查显示肿瘤位于球降连接处后。由于肿瘤位于粘膜下,病理诊断失败。三个月后,行根治性手术切除肿瘤,切除边缘为2mm,并初步关闭十二指肠。病理检查显示黏膜下间质肿瘤,边界分明,有梭形细胞。无肿瘤边缘不确定。免疫组化结果显示GIST。由于边缘不确定,术后2年计划进行食管胃十二指肠镜对照。患者不同意该决定,并在手术后3个月要求进行私人对照CT检查。新CT未见局部复发或转移。患者联系了诊所的外科主任医生,他要求术后1年的CT检查。1年随访的CT结果与之前的发现一致。结论:根治性GIST术后无瘤缘组织学检查不确定时,术后治疗至关重要。在这种情况下,应考虑每年进行一次CT控制,至少持续3年。
本文章由计算机程序翻译,如有差异,请以英文原文为准。

Incidentally Discovered Duodenal Gastrointestinal Stromal Tumour (GIST): Operative Treatment and Problems After Surgery-A Case Report and Literature Review.

Incidentally Discovered Duodenal Gastrointestinal Stromal Tumour (GIST): Operative Treatment and Problems After Surgery-A Case Report and Literature Review.

Incidentally Discovered Duodenal Gastrointestinal Stromal Tumour (GIST): Operative Treatment and Problems After Surgery-A Case Report and Literature Review.

Background: Gastrointestinal stromal tumours (GISTs) are mesenchymal tumours of the digestive tract that can involve any part of the tract. The tumours can be harmless or life-threatening. Materials and Methods: A case report of a surgeon who fell in a Finnish sauna, and he immediately felt that some ribs were broken. Magnetic resonance imaging and ultrasound showed three fractured ribs and an intrasplenic haematoma. Contrast-enhanced computed tomography (CT) demonstrated a small intrasplenic anomaly but no haematoma. Incidentally, an incidentaloma in the left adrenal gland was diagnosed. Three months later, a control CT scan was performed. The radiological findings on the adrenal gland and laboratory examinations matched those of a benign adenoma. Incidentally, a small duodenal tumour was diagnosed. At the same time, anaemia (haemoglobin: 104 g/L) and iron deficiency (ferritin: 8 μg/L) were noticed. An esophagogastroduodenoscopy showed an intramural tumour localised after the bulb-descending junction. Because the tumour was submucosal, the pathological diagnosis failed. Three months later, a radical surgical resection of the tumour with a resection margin of 2 mm and primary closing of the duodenum was performed. Pathological examination showed a well-circumscribed submucosal mesenchymal tumour with spindle cells. A tumour-free margin was uncertain. Immunohistochemistry findings showed a GIST. Due to the uncertain margin, an esophagogastroduodenoscopy control was planned at 2 years postoperatively. The patient disagreed with the decision and ordered a private control CT 3 months after the operation. The new CT found no local recurrence or metastasis. The patient contacted the head surgeon of the clinic, who ordered a 1-year postoperative CT. The 1-year follow-up CT finding agreed with the previous findings. Conclusion: The aftertreatment of a radical-operated GIST is extremely important if histologic examination of the tumour-free margin is uncertain. In that case, CT controls should be considered once a year for at least 3 years.

求助全文
通过发布文献求助,成功后即可免费获取论文全文。 去求助
来源期刊
Case Reports in Gastrointestinal Medicine
Case Reports in Gastrointestinal Medicine GASTROENTEROLOGY & HEPATOLOGY-
自引率
0.00%
发文量
33
审稿时长
14 weeks
×
引用
GB/T 7714-2015
复制
MLA
复制
APA
复制
导出至
BibTeX EndNote RefMan NoteFirst NoteExpress
×
提示
您的信息不完整,为了账户安全,请先补充。
现在去补充
×
提示
您因"违规操作"
具体请查看互助需知
我知道了
×
提示
确定
请完成安全验证×
copy
已复制链接
快去分享给好友吧!
我知道了
右上角分享
点击右上角分享
0
联系我们:info@booksci.cn Book学术提供免费学术资源搜索服务,方便国内外学者检索中英文文献。致力于提供最便捷和优质的服务体验。 Copyright © 2023 布克学术 All rights reserved.
京ICP备2023020795号-1
ghs 京公网安备 11010802042870号
Book学术文献互助
Book学术文献互助群
群 号:604180095
Book学术官方微信