罕见的钙化反应1例报告。

Biomedicine hub Pub Date : 2025-01-27 eCollection Date: 2025-01-01 DOI:10.1159/000543604
Maria Lafrid, Narjiss Labioui, Mohamed Hallak, Abdelaali Bahadi, Driss El Kabbaj, Mohamed Allaoui, Yassir Zajjari
{"title":"罕见的钙化反应1例报告。","authors":"Maria Lafrid, Narjiss Labioui, Mohamed Hallak, Abdelaali Bahadi, Driss El Kabbaj, Mohamed Allaoui, Yassir Zajjari","doi":"10.1159/000543604","DOIUrl":null,"url":null,"abstract":"<p><strong>Introduction: </strong>Calciphylaxis is a rare and severe disorder characterized by obstructive small vessel disease in the subcutaneous adipose tissue and skin, leading to necrotic skin lesions. The condition poses a significant risk of mortality due to infectious and ischemic complications.</p><p><strong>Case presentation: </strong>We present the case of a 60-year-old woman, with a history of renal lithiasis, hypertension, and end-stage renal disease on hemodialysis complicated by hyperparathyroidism and aortic valve replacement. She developed extensive necrotic lesions on both lower limbs and upper extremities, prompting a diagnosis of calciphylaxis. Radiographic and biopsy findings supported the diagnosis, revealing characteristic calcifications. Treatment involved antibiotics, oral thiosulfate, daily hemodialysis, hyperbaric oxygen therapy, and discontinuation of calcium and alfacalcidol, with alendronate initiation. Unfortunately, despite these interventions, the patient experienced a rapid clinical decline, developing septic shock necessitating bilateral leg amputations. Regrettably, she succumbed to the disease 10 days later.</p><p><strong>Conclusion: </strong>This case underscores the challenging prognosis of calciphylaxis and the need for effective therapeutic options, including surgical intervention and access to injectable thiosulfate.</p>","PeriodicalId":101351,"journal":{"name":"Biomedicine hub","volume":"10 1","pages":"44-49"},"PeriodicalIF":0.0000,"publicationDate":"2025-01-27","publicationTypes":"Journal Article","fieldsOfStudy":null,"isOpenAccess":false,"openAccessPdf":"https://www.ncbi.nlm.nih.gov/pmc/articles/PMC11835414/pdf/","citationCount":"0","resultStr":"{\"title\":\"A Rare Case of Calciphylaxis: A Case Report.\",\"authors\":\"Maria Lafrid, Narjiss Labioui, Mohamed Hallak, Abdelaali Bahadi, Driss El Kabbaj, Mohamed Allaoui, Yassir Zajjari\",\"doi\":\"10.1159/000543604\",\"DOIUrl\":null,\"url\":null,\"abstract\":\"<p><strong>Introduction: </strong>Calciphylaxis is a rare and severe disorder characterized by obstructive small vessel disease in the subcutaneous adipose tissue and skin, leading to necrotic skin lesions. The condition poses a significant risk of mortality due to infectious and ischemic complications.</p><p><strong>Case presentation: </strong>We present the case of a 60-year-old woman, with a history of renal lithiasis, hypertension, and end-stage renal disease on hemodialysis complicated by hyperparathyroidism and aortic valve replacement. She developed extensive necrotic lesions on both lower limbs and upper extremities, prompting a diagnosis of calciphylaxis. Radiographic and biopsy findings supported the diagnosis, revealing characteristic calcifications. Treatment involved antibiotics, oral thiosulfate, daily hemodialysis, hyperbaric oxygen therapy, and discontinuation of calcium and alfacalcidol, with alendronate initiation. Unfortunately, despite these interventions, the patient experienced a rapid clinical decline, developing septic shock necessitating bilateral leg amputations. Regrettably, she succumbed to the disease 10 days later.</p><p><strong>Conclusion: </strong>This case underscores the challenging prognosis of calciphylaxis and the need for effective therapeutic options, including surgical intervention and access to injectable thiosulfate.</p>\",\"PeriodicalId\":101351,\"journal\":{\"name\":\"Biomedicine hub\",\"volume\":\"10 1\",\"pages\":\"44-49\"},\"PeriodicalIF\":0.0000,\"publicationDate\":\"2025-01-27\",\"publicationTypes\":\"Journal Article\",\"fieldsOfStudy\":null,\"isOpenAccess\":false,\"openAccessPdf\":\"https://www.ncbi.nlm.nih.gov/pmc/articles/PMC11835414/pdf/\",\"citationCount\":\"0\",\"resultStr\":null,\"platform\":\"Semanticscholar\",\"paperid\":null,\"PeriodicalName\":\"Biomedicine hub\",\"FirstCategoryId\":\"1085\",\"ListUrlMain\":\"https://doi.org/10.1159/000543604\",\"RegionNum\":0,\"RegionCategory\":null,\"ArticlePicture\":[],\"TitleCN\":null,\"AbstractTextCN\":null,\"PMCID\":null,\"EPubDate\":\"2025/1/1 0:00:00\",\"PubModel\":\"eCollection\",\"JCR\":\"\",\"JCRName\":\"\",\"Score\":null,\"Total\":0}","platform":"Semanticscholar","paperid":null,"PeriodicalName":"Biomedicine hub","FirstCategoryId":"1085","ListUrlMain":"https://doi.org/10.1159/000543604","RegionNum":0,"RegionCategory":null,"ArticlePicture":[],"TitleCN":null,"AbstractTextCN":null,"PMCID":null,"EPubDate":"2025/1/1 0:00:00","PubModel":"eCollection","JCR":"","JCRName":"","Score":null,"Total":0}
引用次数: 0

摘要

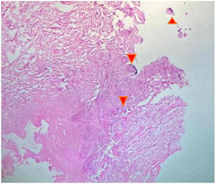
钙化反应是一种罕见而严重的疾病,其特征是皮下脂肪组织和皮肤中的阻塞性小血管病变,导致皮肤坏死。由于感染和缺血性并发症,这种情况有很大的死亡风险。病例介绍:我们报告一名60岁的女性,有肾结石、高血压和终末期肾脏疾病的血液透析史,并伴有甲状旁腺功能亢进和主动脉瓣置换术。她的下肢和上肢出现了广泛的坏死性病变,促使诊断为钙化反应。影像学和活检结果支持诊断,显示特征性钙化。治疗包括抗生素,口服硫代硫酸盐,每日血液透析,高压氧治疗,停用钙和阿法骨化醇,阿仑膦酸钠起始。不幸的是,尽管采取了这些干预措施,患者还是经历了快速的临床衰退,发展为感染性休克,需要截肢。令人遗憾的是,她在10天后死于这种疾病。结论:该病例强调了钙化反应的预后具有挑战性,需要有效的治疗选择,包括手术干预和注射硫代硫酸盐。
本文章由计算机程序翻译,如有差异,请以英文原文为准。

A Rare Case of Calciphylaxis: A Case Report.

A Rare Case of Calciphylaxis: A Case Report.

A Rare Case of Calciphylaxis: A Case Report.

A Rare Case of Calciphylaxis: A Case Report.

Introduction: Calciphylaxis is a rare and severe disorder characterized by obstructive small vessel disease in the subcutaneous adipose tissue and skin, leading to necrotic skin lesions. The condition poses a significant risk of mortality due to infectious and ischemic complications.

Case presentation: We present the case of a 60-year-old woman, with a history of renal lithiasis, hypertension, and end-stage renal disease on hemodialysis complicated by hyperparathyroidism and aortic valve replacement. She developed extensive necrotic lesions on both lower limbs and upper extremities, prompting a diagnosis of calciphylaxis. Radiographic and biopsy findings supported the diagnosis, revealing characteristic calcifications. Treatment involved antibiotics, oral thiosulfate, daily hemodialysis, hyperbaric oxygen therapy, and discontinuation of calcium and alfacalcidol, with alendronate initiation. Unfortunately, despite these interventions, the patient experienced a rapid clinical decline, developing septic shock necessitating bilateral leg amputations. Regrettably, she succumbed to the disease 10 days later.

Conclusion: This case underscores the challenging prognosis of calciphylaxis and the need for effective therapeutic options, including surgical intervention and access to injectable thiosulfate.

求助全文
通过发布文献求助,成功后即可免费获取论文全文。 去求助
来源期刊
自引率
0.00%
发文量
0
×
引用
GB/T 7714-2015
复制
MLA
复制
APA
复制
导出至
BibTeX EndNote RefMan NoteFirst NoteExpress
×
提示
您的信息不完整,为了账户安全,请先补充。
现在去补充
×
提示
您因"违规操作"
具体请查看互助需知
我知道了
×
提示
确定
请完成安全验证×
copy
已复制链接
快去分享给好友吧!
我知道了
右上角分享
点击右上角分享
0
联系我们:info@booksci.cn Book学术提供免费学术资源搜索服务,方便国内外学者检索中英文文献。致力于提供最便捷和优质的服务体验。 Copyright © 2023 布克学术 All rights reserved.
京ICP备2023020795号-1
ghs 京公网安备 11010802042870号
Book学术文献互助
Book学术文献互助群
群 号:604180095
Book学术官方微信