下肢扭转畸形的放射学评估:综述。

IF 0.9 4区 医学 Q4 ORTHOPEDICS
Annals of Joint Pub Date : 2025-01-21 eCollection Date: 2025-01-01 DOI:10.21037/aoj-24-42
Pietro Conte, Giuseppe Anzillotti, Nicola Pizza, Caterina Chiappe, Rodolfo Morales-Avalos, Vicente Sanchis-Alfonso, Joan Carles Monllau, Simone Perelli
{"title":"下肢扭转畸形的放射学评估:综述。","authors":"Pietro Conte, Giuseppe Anzillotti, Nicola Pizza, Caterina Chiappe, Rodolfo Morales-Avalos, Vicente Sanchis-Alfonso, Joan Carles Monllau, Simone Perelli","doi":"10.21037/aoj-24-42","DOIUrl":null,"url":null,"abstract":"<p><strong>Background and objective: </strong>The evaluation of both femoral and tibial torsional profiles remains a challenge in the orthopedic practice since there is no agreement on the most precise and reliable measurement method and technique. The aim of this review is to collect and critically report the most relevant and up-to-date evidence on the radiological techniques available to determine lower limb torsional deformities and to discuss the advantages and limitations of each technique to better define their optimal field of application.</p><p><strong>Methods: </strong>Literature research on PubMed, Embase, and Google Scholar databases was performed, utilizing the following search string: \"torsion\" AND (\"lower limb\" OR \"femur\" OR \"tibia\"). Relevant clinical and preclinical studies evaluating different radiological techniques to assess lower limb torsional deformities, and possibly comparing them, were collected and critically reviewed.</p><p><strong>Key content and findings: </strong>Computed tomography (CT) is still considered the best method to measure both femoral and tibial torsional angles. Its main limitation, the radiation exposure, has been recently addressed with ultra-low dose protocols that were proven to be as accurate as standard protocols. On the other hand, magnetic resonance imaging (MRI) offers a nonionizing, radiation-free option that is now considered almost equivalent to CT. However, MRI consists in a long and expensive procedure that can be hindered by issues linked to metal implants, patient's positioning and measurement variabilities. Lastly, three-dimensional (3D) reconstructions derived from low-dose biplanar radiographies (LD-BRs) have been proposed as a low-radiating, quick and reliable solution to overcome the limitations of both MRI and CT scans.</p><p><strong>Conclusions: </strong>To date, CT has still to be considered the gold standard for the radiological assessment of lower limb torsional deformities. Nonetheless, MRI and LD-BR have been proven to be valid and reliable alternatives, especially in specific clinical settings.</p>","PeriodicalId":44459,"journal":{"name":"Annals of Joint","volume":"10 ","pages":"7"},"PeriodicalIF":0.9000,"publicationDate":"2025-01-21","publicationTypes":"Journal Article","fieldsOfStudy":null,"isOpenAccess":false,"openAccessPdf":"https://www.ncbi.nlm.nih.gov/pmc/articles/PMC11836740/pdf/","citationCount":"0","resultStr":"{\"title\":\"Radiological assessment of lower limb torsional deformities: a narrative review.\",\"authors\":\"Pietro Conte, Giuseppe Anzillotti, Nicola Pizza, Caterina Chiappe, Rodolfo Morales-Avalos, Vicente Sanchis-Alfonso, Joan Carles Monllau, Simone Perelli\",\"doi\":\"10.21037/aoj-24-42\",\"DOIUrl\":null,\"url\":null,\"abstract\":\"<p><strong>Background and objective: </strong>The evaluation of both femoral and tibial torsional profiles remains a challenge in the orthopedic practice since there is no agreement on the most precise and reliable measurement method and technique. The aim of this review is to collect and critically report the most relevant and up-to-date evidence on the radiological techniques available to determine lower limb torsional deformities and to discuss the advantages and limitations of each technique to better define their optimal field of application.</p><p><strong>Methods: </strong>Literature research on PubMed, Embase, and Google Scholar databases was performed, utilizing the following search string: \\\"torsion\\\" AND (\\\"lower limb\\\" OR \\\"femur\\\" OR \\\"tibia\\\"). Relevant clinical and preclinical studies evaluating different radiological techniques to assess lower limb torsional deformities, and possibly comparing them, were collected and critically reviewed.</p><p><strong>Key content and findings: </strong>Computed tomography (CT) is still considered the best method to measure both femoral and tibial torsional angles. Its main limitation, the radiation exposure, has been recently addressed with ultra-low dose protocols that were proven to be as accurate as standard protocols. On the other hand, magnetic resonance imaging (MRI) offers a nonionizing, radiation-free option that is now considered almost equivalent to CT. However, MRI consists in a long and expensive procedure that can be hindered by issues linked to metal implants, patient's positioning and measurement variabilities. Lastly, three-dimensional (3D) reconstructions derived from low-dose biplanar radiographies (LD-BRs) have been proposed as a low-radiating, quick and reliable solution to overcome the limitations of both MRI and CT scans.</p><p><strong>Conclusions: </strong>To date, CT has still to be considered the gold standard for the radiological assessment of lower limb torsional deformities. Nonetheless, MRI and LD-BR have been proven to be valid and reliable alternatives, especially in specific clinical settings.</p>\",\"PeriodicalId\":44459,\"journal\":{\"name\":\"Annals of Joint\",\"volume\":\"10 \",\"pages\":\"7\"},\"PeriodicalIF\":0.9000,\"publicationDate\":\"2025-01-21\",\"publicationTypes\":\"Journal Article\",\"fieldsOfStudy\":null,\"isOpenAccess\":false,\"openAccessPdf\":\"https://www.ncbi.nlm.nih.gov/pmc/articles/PMC11836740/pdf/\",\"citationCount\":\"0\",\"resultStr\":null,\"platform\":\"Semanticscholar\",\"paperid\":null,\"PeriodicalName\":\"Annals of Joint\",\"FirstCategoryId\":\"3\",\"ListUrlMain\":\"https://doi.org/10.21037/aoj-24-42\",\"RegionNum\":4,\"RegionCategory\":\"医学\",\"ArticlePicture\":[],\"TitleCN\":null,\"AbstractTextCN\":null,\"PMCID\":null,\"EPubDate\":\"2025/1/1 0:00:00\",\"PubModel\":\"eCollection\",\"JCR\":\"Q4\",\"JCRName\":\"ORTHOPEDICS\",\"Score\":null,\"Total\":0}","platform":"Semanticscholar","paperid":null,"PeriodicalName":"Annals of Joint","FirstCategoryId":"3","ListUrlMain":"https://doi.org/10.21037/aoj-24-42","RegionNum":4,"RegionCategory":"医学","ArticlePicture":[],"TitleCN":null,"AbstractTextCN":null,"PMCID":null,"EPubDate":"2025/1/1 0:00:00","PubModel":"eCollection","JCR":"Q4","JCRName":"ORTHOPEDICS","Score":null,"Total":0}
引用次数: 0

摘要

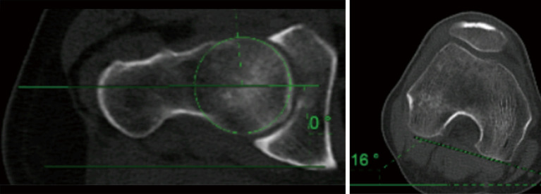
背景和目的:股骨和胫骨扭转曲线的评估仍然是矫形外科实践中的一项挑战,因为对于最精确、最可靠的测量方法和技术还没有达成一致。本综述旨在收集和批判性地报告可用于确定下肢扭转畸形的放射学技术的最新相关证据,并讨论每种技术的优势和局限性,以更好地确定其最佳应用领域:在 PubMed、Embase 和 Google Scholar 数据库中进行文献研究,使用以下搜索字符串:"扭转 "和("下肢 "或 "股骨 "或 "胫骨")。收集了评估下肢扭转畸形的不同放射学技术的相关临床和临床前研究,并对其进行了可能的比较:计算机断层扫描(CT)仍被认为是测量股骨和胫骨扭转角度的最佳方法。它的主要局限性--辐射暴露,最近已通过超低剂量方案得到解决,并被证明与标准方案一样精确。另一方面,磁共振成像(MRI)提供了一种非电离、无辐射的选择,目前被认为几乎等同于 CT。不过,核磁共振成像的过程漫长而昂贵,可能会受到金属植入物、患者体位和测量差异等问题的影响。最后,从低剂量双平面放射成像(LD-BRs)中提取的三维(3D)重建被认为是一种低辐射、快速可靠的解决方案,可以克服核磁共振成像和 CT 扫描的局限性:结论:迄今为止,CT 仍被视为下肢扭转畸形放射学评估的黄金标准。尽管如此,MRI 和 LD-BR 已被证明是有效、可靠的替代方法,尤其是在特定的临床环境中。
本文章由计算机程序翻译,如有差异,请以英文原文为准。

Radiological assessment of lower limb torsional deformities: a narrative review.

Radiological assessment of lower limb torsional deformities: a narrative review.

Radiological assessment of lower limb torsional deformities: a narrative review.

Radiological assessment of lower limb torsional deformities: a narrative review.

Background and objective: The evaluation of both femoral and tibial torsional profiles remains a challenge in the orthopedic practice since there is no agreement on the most precise and reliable measurement method and technique. The aim of this review is to collect and critically report the most relevant and up-to-date evidence on the radiological techniques available to determine lower limb torsional deformities and to discuss the advantages and limitations of each technique to better define their optimal field of application.

Methods: Literature research on PubMed, Embase, and Google Scholar databases was performed, utilizing the following search string: "torsion" AND ("lower limb" OR "femur" OR "tibia"). Relevant clinical and preclinical studies evaluating different radiological techniques to assess lower limb torsional deformities, and possibly comparing them, were collected and critically reviewed.

Key content and findings: Computed tomography (CT) is still considered the best method to measure both femoral and tibial torsional angles. Its main limitation, the radiation exposure, has been recently addressed with ultra-low dose protocols that were proven to be as accurate as standard protocols. On the other hand, magnetic resonance imaging (MRI) offers a nonionizing, radiation-free option that is now considered almost equivalent to CT. However, MRI consists in a long and expensive procedure that can be hindered by issues linked to metal implants, patient's positioning and measurement variabilities. Lastly, three-dimensional (3D) reconstructions derived from low-dose biplanar radiographies (LD-BRs) have been proposed as a low-radiating, quick and reliable solution to overcome the limitations of both MRI and CT scans.

Conclusions: To date, CT has still to be considered the gold standard for the radiological assessment of lower limb torsional deformities. Nonetheless, MRI and LD-BR have been proven to be valid and reliable alternatives, especially in specific clinical settings.

求助全文
通过发布文献求助,成功后即可免费获取论文全文。 去求助
来源期刊
Annals of Joint
Annals of Joint ORTHOPEDICS-
CiteScore
1.10
自引率
-25.00%
发文量
17
×
引用
GB/T 7714-2015
复制
MLA
复制
APA
复制
导出至
BibTeX EndNote RefMan NoteFirst NoteExpress
×
提示
您的信息不完整,为了账户安全,请先补充。
现在去补充
×
提示
您因"违规操作"
具体请查看互助需知
我知道了
×
提示
确定
请完成安全验证×
copy
已复制链接
快去分享给好友吧!
我知道了
右上角分享
点击右上角分享
0
联系我们:info@booksci.cn Book学术提供免费学术资源搜索服务,方便国内外学者检索中英文文献。致力于提供最便捷和优质的服务体验。 Copyright © 2023 布克学术 All rights reserved.
京ICP备2023020795号-1
ghs 京公网安备 11010802042870号
Book学术文献互助
Book学术文献互助群
群 号:604180095
Book学术官方微信