猫大血肿伴严重贫血的输卵管积血首例报告。

Q3 Veterinary
Case Reports in Veterinary Medicine Pub Date : 2025-02-13 eCollection Date: 2025-01-01 DOI:10.1155/crve/7187009
Teruo Itoh, Atsuko Kojimoto, James Chambers, Kazuyuki Uchida, Hiroki Shii
{"title":"猫大血肿伴严重贫血的输卵管积血首例报告。","authors":"Teruo Itoh, Atsuko Kojimoto, James Chambers, Kazuyuki Uchida, Hiroki Shii","doi":"10.1155/crve/7187009","DOIUrl":null,"url":null,"abstract":"<p><p>A 6-year-old, intact female cat presented with sudden collapse. Clinical examinations indicated severe regenerative anemia and a large abdominal mass containing fluid. An exploratory laparotomy revealed a large cystic lesion at the cranial end of the right uterine horn. Ovariohysterectomy was performed, and the cat made a full recovery. The cystic lesion contained a blood clot and 102 mL of blood. Histological examination confirmed that the hemorrhagic lesion was located within the fallopian tube. The thickened uterus with severe vasodilation was histologically diagnosed as endometrial hyperplasia with congestion. This is the first reported case of hematosalpinx in a cat, a rare condition previously described in humans.</p>","PeriodicalId":37339,"journal":{"name":"Case Reports in Veterinary Medicine","volume":"2025 ","pages":"7187009"},"PeriodicalIF":0.0000,"publicationDate":"2025-02-13","publicationTypes":"Journal Article","fieldsOfStudy":null,"isOpenAccess":false,"openAccessPdf":"https://www.ncbi.nlm.nih.gov/pmc/articles/PMC11842142/pdf/","citationCount":"0","resultStr":"{\"title\":\"First Report of Hematosalpinx in a Cat With a Large Hematoma and Severe Anemia.\",\"authors\":\"Teruo Itoh, Atsuko Kojimoto, James Chambers, Kazuyuki Uchida, Hiroki Shii\",\"doi\":\"10.1155/crve/7187009\",\"DOIUrl\":null,\"url\":null,\"abstract\":\"<p><p>A 6-year-old, intact female cat presented with sudden collapse. Clinical examinations indicated severe regenerative anemia and a large abdominal mass containing fluid. An exploratory laparotomy revealed a large cystic lesion at the cranial end of the right uterine horn. Ovariohysterectomy was performed, and the cat made a full recovery. The cystic lesion contained a blood clot and 102 mL of blood. Histological examination confirmed that the hemorrhagic lesion was located within the fallopian tube. The thickened uterus with severe vasodilation was histologically diagnosed as endometrial hyperplasia with congestion. This is the first reported case of hematosalpinx in a cat, a rare condition previously described in humans.</p>\",\"PeriodicalId\":37339,\"journal\":{\"name\":\"Case Reports in Veterinary Medicine\",\"volume\":\"2025 \",\"pages\":\"7187009\"},\"PeriodicalIF\":0.0000,\"publicationDate\":\"2025-02-13\",\"publicationTypes\":\"Journal Article\",\"fieldsOfStudy\":null,\"isOpenAccess\":false,\"openAccessPdf\":\"https://www.ncbi.nlm.nih.gov/pmc/articles/PMC11842142/pdf/\",\"citationCount\":\"0\",\"resultStr\":null,\"platform\":\"Semanticscholar\",\"paperid\":null,\"PeriodicalName\":\"Case Reports in Veterinary Medicine\",\"FirstCategoryId\":\"1085\",\"ListUrlMain\":\"https://doi.org/10.1155/crve/7187009\",\"RegionNum\":0,\"RegionCategory\":null,\"ArticlePicture\":[],\"TitleCN\":null,\"AbstractTextCN\":null,\"PMCID\":null,\"EPubDate\":\"2025/1/1 0:00:00\",\"PubModel\":\"eCollection\",\"JCR\":\"Q3\",\"JCRName\":\"Veterinary\",\"Score\":null,\"Total\":0}","platform":"Semanticscholar","paperid":null,"PeriodicalName":"Case Reports in Veterinary Medicine","FirstCategoryId":"1085","ListUrlMain":"https://doi.org/10.1155/crve/7187009","RegionNum":0,"RegionCategory":null,"ArticlePicture":[],"TitleCN":null,"AbstractTextCN":null,"PMCID":null,"EPubDate":"2025/1/1 0:00:00","PubModel":"eCollection","JCR":"Q3","JCRName":"Veterinary","Score":null,"Total":0}
引用次数: 0

摘要

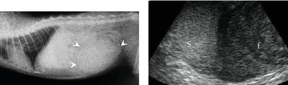
一只6岁,完好无损的母猫突然晕倒。临床检查显示严重的再生性贫血和腹部大肿块含液体。剖腹探查发现右子宫角颅端有一个巨大的囊性病变。进行了卵巢子宫切除术,猫完全康复。囊性病变包含一个血块和102毫升血液。组织学检查证实出血性病变位于输卵管内。子宫增厚伴严重血管扩张,组织学诊断为子宫内膜增生伴充血。这是第一例报告的猫的输卵管积血病例,这是一种罕见的疾病,以前在人类中被描述过。
本文章由计算机程序翻译,如有差异,请以英文原文为准。

First Report of Hematosalpinx in a Cat With a Large Hematoma and Severe Anemia.

First Report of Hematosalpinx in a Cat With a Large Hematoma and Severe Anemia.

First Report of Hematosalpinx in a Cat With a Large Hematoma and Severe Anemia.

First Report of Hematosalpinx in a Cat With a Large Hematoma and Severe Anemia.

A 6-year-old, intact female cat presented with sudden collapse. Clinical examinations indicated severe regenerative anemia and a large abdominal mass containing fluid. An exploratory laparotomy revealed a large cystic lesion at the cranial end of the right uterine horn. Ovariohysterectomy was performed, and the cat made a full recovery. The cystic lesion contained a blood clot and 102 mL of blood. Histological examination confirmed that the hemorrhagic lesion was located within the fallopian tube. The thickened uterus with severe vasodilation was histologically diagnosed as endometrial hyperplasia with congestion. This is the first reported case of hematosalpinx in a cat, a rare condition previously described in humans.

求助全文
通过发布文献求助,成功后即可免费获取论文全文。 去求助
来源期刊
Case Reports in Veterinary Medicine
Case Reports in Veterinary Medicine Veterinary-Veterinary (all)
CiteScore
0.70
自引率
0.00%
发文量
14
审稿时长
13 weeks
期刊介绍: Case Reports in Veterinary Medicine is a peer-reviewed, Open Access journal that publishes case reports and case series in all areas of veterinary medicine.
×
引用
GB/T 7714-2015
复制
MLA
复制
APA
复制
导出至
BibTeX EndNote RefMan NoteFirst NoteExpress
×
提示
您的信息不完整,为了账户安全,请先补充。
现在去补充
×
提示
您因"违规操作"
具体请查看互助需知
我知道了
×
提示
确定
请完成安全验证×
copy
已复制链接
快去分享给好友吧!
我知道了
右上角分享
点击右上角分享
0
联系我们:info@booksci.cn Book学术提供免费学术资源搜索服务,方便国内外学者检索中英文文献。致力于提供最便捷和优质的服务体验。 Copyright © 2023 布克学术 All rights reserved.
京ICP备2023020795号-1
ghs 京公网安备 11010802042870号
Book学术文献互助
Book学术文献互助群
群 号:604180095
Book学术官方微信