儿童菊池-藤本病:儿童皮肤和组织病理学特征的病例报告和回顾。

IF 1.7 Q3 DERMATOLOGY
Alberto Soto-Moreno, Francisco Vílchez-Márquez, María Narváez-Simón, Julia Castro-Martín, Francisco Manuel Ramos-Pleguezuelos, Agustín Soto-Díaz, Jesús Tercedor-Sánchez, Salvador Arias-Santiago
{"title":"儿童菊池-藤本病:儿童皮肤和组织病理学特征的病例报告和回顾。","authors":"Alberto Soto-Moreno, Francisco Vílchez-Márquez, María Narváez-Simón, Julia Castro-Martín, Francisco Manuel Ramos-Pleguezuelos, Agustín Soto-Díaz, Jesús Tercedor-Sánchez, Salvador Arias-Santiago","doi":"10.3390/dermatopathology12010007","DOIUrl":null,"url":null,"abstract":"<p><p>Kikuchi-Fujimoto disease (KFD) is a rare condition characterized by necrotizing lymphadenitis and fever, often associated with immune dysregulation. Histologically, it features necrotic foci with abundant histiocytes and plasmacytoid dendritic cells but notably lacks neutrophils and eosinophils. Recent evidence reveals a notable prevalence among pediatric patients, who may exhibit distinct features compared to adults. We reported the case of an 11-year-old girl presenting with persistent fever, cervical adenopathy, and a malar rash, leading to a diagnosis of KFD following lymph node biopsy, which revealed non-suppurative necrosis and histiocytic infiltration. Empirical treatment with antivirals and antibiotics was ineffective, but corticosteroid therapy achieved symptom remission. A literature review identified 48 relevant studies involving 386 pediatric cases, with histopathological findings consistent with classical descriptions of KFD. Cutaneous involvement was reported in 11.14% of cases, ranging from maculopapular rashes to lupus-like eruptions. Notable complications included the development of systemic lupus erythematous, Sjögren syndrome, and rare instances of hemophagocytic syndrome or central nervous system involvement. Kikuchi-Fujimoto disease should be considered in the differential diagnosis of pediatric patients presenting with fever and lymphadenopathy, taking into account a higher frequency of cutaneous manifestations in pediatric cases. A skin biopsy may be helpful in diagnosing KFD and provide valuable information regarding the potential risk of developing systemic lupus erythematosus in the future.</p>","PeriodicalId":42885,"journal":{"name":"Dermatopathology","volume":"12 1","pages":""},"PeriodicalIF":1.7000,"publicationDate":"2025-02-13","publicationTypes":"Journal Article","fieldsOfStudy":null,"isOpenAccess":false,"openAccessPdf":"https://www.ncbi.nlm.nih.gov/pmc/articles/PMC11860556/pdf/","citationCount":"0","resultStr":"{\"title\":\"Pediatric Kikuchi-Fujimoto Disease: Case Report and Review of Cutaneous and Histopathologic Features in Childhood.\",\"authors\":\"Alberto Soto-Moreno, Francisco Vílchez-Márquez, María Narváez-Simón, Julia Castro-Martín, Francisco Manuel Ramos-Pleguezuelos, Agustín Soto-Díaz, Jesús Tercedor-Sánchez, Salvador Arias-Santiago\",\"doi\":\"10.3390/dermatopathology12010007\",\"DOIUrl\":null,\"url\":null,\"abstract\":\"<p><p>Kikuchi-Fujimoto disease (KFD) is a rare condition characterized by necrotizing lymphadenitis and fever, often associated with immune dysregulation. Histologically, it features necrotic foci with abundant histiocytes and plasmacytoid dendritic cells but notably lacks neutrophils and eosinophils. Recent evidence reveals a notable prevalence among pediatric patients, who may exhibit distinct features compared to adults. We reported the case of an 11-year-old girl presenting with persistent fever, cervical adenopathy, and a malar rash, leading to a diagnosis of KFD following lymph node biopsy, which revealed non-suppurative necrosis and histiocytic infiltration. Empirical treatment with antivirals and antibiotics was ineffective, but corticosteroid therapy achieved symptom remission. A literature review identified 48 relevant studies involving 386 pediatric cases, with histopathological findings consistent with classical descriptions of KFD. Cutaneous involvement was reported in 11.14% of cases, ranging from maculopapular rashes to lupus-like eruptions. Notable complications included the development of systemic lupus erythematous, Sjögren syndrome, and rare instances of hemophagocytic syndrome or central nervous system involvement. Kikuchi-Fujimoto disease should be considered in the differential diagnosis of pediatric patients presenting with fever and lymphadenopathy, taking into account a higher frequency of cutaneous manifestations in pediatric cases. A skin biopsy may be helpful in diagnosing KFD and provide valuable information regarding the potential risk of developing systemic lupus erythematosus in the future.</p>\",\"PeriodicalId\":42885,\"journal\":{\"name\":\"Dermatopathology\",\"volume\":\"12 1\",\"pages\":\"\"},\"PeriodicalIF\":1.7000,\"publicationDate\":\"2025-02-13\",\"publicationTypes\":\"Journal Article\",\"fieldsOfStudy\":null,\"isOpenAccess\":false,\"openAccessPdf\":\"https://www.ncbi.nlm.nih.gov/pmc/articles/PMC11860556/pdf/\",\"citationCount\":\"0\",\"resultStr\":null,\"platform\":\"Semanticscholar\",\"paperid\":null,\"PeriodicalName\":\"Dermatopathology\",\"FirstCategoryId\":\"1085\",\"ListUrlMain\":\"https://doi.org/10.3390/dermatopathology12010007\",\"RegionNum\":0,\"RegionCategory\":null,\"ArticlePicture\":[],\"TitleCN\":null,\"AbstractTextCN\":null,\"PMCID\":null,\"EPubDate\":\"\",\"PubModel\":\"\",\"JCR\":\"Q3\",\"JCRName\":\"DERMATOLOGY\",\"Score\":null,\"Total\":0}","platform":"Semanticscholar","paperid":null,"PeriodicalName":"Dermatopathology","FirstCategoryId":"1085","ListUrlMain":"https://doi.org/10.3390/dermatopathology12010007","RegionNum":0,"RegionCategory":null,"ArticlePicture":[],"TitleCN":null,"AbstractTextCN":null,"PMCID":null,"EPubDate":"","PubModel":"","JCR":"Q3","JCRName":"DERMATOLOGY","Score":null,"Total":0}
引用次数: 0

摘要

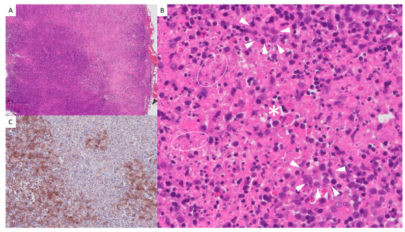
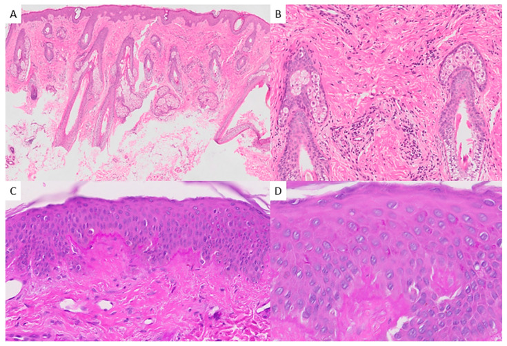
菊池-藤本氏病(KFD)是一种罕见的疾病,以坏死性淋巴结炎和发热为特征,通常与免疫失调有关。从组织学角度看,它的特点是坏死灶内有大量组织细胞和浆细胞树突状细胞,但明显缺乏中性粒细胞和嗜酸性粒细胞。最近的证据显示,儿童患者的发病率很高,与成人相比,他们可能表现出不同的特征。我们报告了一例 11 岁女孩的病例,她表现为持续发热、宫颈腺病和腮腺皮疹,经淋巴结活检后诊断为 KFD,活检结果显示淋巴结非化脓性坏死和组织细胞浸润。使用抗病毒药物和抗生素进行经验性治疗无效,但皮质类固醇治疗使症状得到缓解。文献综述发现了 48 项相关研究,涉及 386 个儿科病例,其组织病理学结果与 KFD 的经典描述一致。据报道,11.14%的病例有皮肤受累,从斑丘疹到红斑狼疮样糜烂不等。值得注意的并发症包括系统性红斑狼疮、斯约格伦综合征,以及罕见的嗜血细胞综合征或中枢神经系统受累。考虑到小儿病例中皮肤表现的频率较高,在对发热和淋巴结病的小儿患者进行鉴别诊断时应考虑菊地-藤本氏病。皮肤活检可能有助于诊断菊池-藤本氏病,并提供有关未来患系统性红斑狼疮潜在风险的宝贵信息。
本文章由计算机程序翻译,如有差异,请以英文原文为准。

Pediatric Kikuchi-Fujimoto Disease: Case Report and Review of Cutaneous and Histopathologic Features in Childhood.

Pediatric Kikuchi-Fujimoto Disease: Case Report and Review of Cutaneous and Histopathologic Features in Childhood.

Pediatric Kikuchi-Fujimoto Disease: Case Report and Review of Cutaneous and Histopathologic Features in Childhood.

Pediatric Kikuchi-Fujimoto Disease: Case Report and Review of Cutaneous and Histopathologic Features in Childhood.

Kikuchi-Fujimoto disease (KFD) is a rare condition characterized by necrotizing lymphadenitis and fever, often associated with immune dysregulation. Histologically, it features necrotic foci with abundant histiocytes and plasmacytoid dendritic cells but notably lacks neutrophils and eosinophils. Recent evidence reveals a notable prevalence among pediatric patients, who may exhibit distinct features compared to adults. We reported the case of an 11-year-old girl presenting with persistent fever, cervical adenopathy, and a malar rash, leading to a diagnosis of KFD following lymph node biopsy, which revealed non-suppurative necrosis and histiocytic infiltration. Empirical treatment with antivirals and antibiotics was ineffective, but corticosteroid therapy achieved symptom remission. A literature review identified 48 relevant studies involving 386 pediatric cases, with histopathological findings consistent with classical descriptions of KFD. Cutaneous involvement was reported in 11.14% of cases, ranging from maculopapular rashes to lupus-like eruptions. Notable complications included the development of systemic lupus erythematous, Sjögren syndrome, and rare instances of hemophagocytic syndrome or central nervous system involvement. Kikuchi-Fujimoto disease should be considered in the differential diagnosis of pediatric patients presenting with fever and lymphadenopathy, taking into account a higher frequency of cutaneous manifestations in pediatric cases. A skin biopsy may be helpful in diagnosing KFD and provide valuable information regarding the potential risk of developing systemic lupus erythematosus in the future.

求助全文
通过发布文献求助,成功后即可免费获取论文全文。 去求助
来源期刊
Dermatopathology
Dermatopathology DERMATOLOGY-
自引率
5.30%
发文量
39
审稿时长
11 weeks
×
引用
GB/T 7714-2015
复制
MLA
复制
APA
复制
导出至
BibTeX EndNote RefMan NoteFirst NoteExpress
×
提示
您的信息不完整,为了账户安全,请先补充。
现在去补充
×
提示
您因"违规操作"
具体请查看互助需知
我知道了
×
提示
确定
请完成安全验证×
copy
已复制链接
快去分享给好友吧!
我知道了
右上角分享
点击右上角分享
0
联系我们:info@booksci.cn Book学术提供免费学术资源搜索服务,方便国内外学者检索中英文文献。致力于提供最便捷和优质的服务体验。 Copyright © 2023 布克学术 All rights reserved.
京ICP备2023020795号-1
ghs 京公网安备 11010802042870号
Book学术文献互助
Book学术文献互助群
群 号:604180095
Book学术官方微信