小行星雨:小行星体的皮肤二氧化硅肉芽肿。

IF 1.7 Q3 DERMATOLOGY
Fadwa Ahmed, Christopher DiMarco
{"title":"小行星雨:小行星体的皮肤二氧化硅肉芽肿。","authors":"Fadwa Ahmed, Christopher DiMarco","doi":"10.3390/dermatopathology12010004","DOIUrl":null,"url":null,"abstract":"<p><p>Cutaneous silica granulomas are a form of foreign-body granulomatous reactions. They are characterized histopathologically by sarcoidal granulomas in association with silica crystals. Asteroid bodies, a classical histopathological feature of sarcoidosis, have not previously been reported in association with silica granulomas. Herein, we present the case of an 83-year-old man with an asymptomatic papule on the vertex scalp. Histopathology revealed a dermal granulomatous reaction to silica crystals. Asteroid bodies were observed in the cytoplasm of multinucleated giant cells. In the absence of systemic symptoms or laboratory findings suggestive of sarcoidosis, a final diagnosis of silica granuloma with asteroid bodies was made. While they have been observed in several other granulomatous reactions, the present case represents a novel association of asteroid bodies with silica granulomas.</p>","PeriodicalId":42885,"journal":{"name":"Dermatopathology","volume":"12 1","pages":""},"PeriodicalIF":1.7000,"publicationDate":"2025-01-31","publicationTypes":"Journal Article","fieldsOfStudy":null,"isOpenAccess":false,"openAccessPdf":"https://www.ncbi.nlm.nih.gov/pmc/articles/PMC11860693/pdf/","citationCount":"0","resultStr":"{\"title\":\"Asteroid Shower: Cutaneous Silica Granuloma with Asteroid Bodies.\",\"authors\":\"Fadwa Ahmed, Christopher DiMarco\",\"doi\":\"10.3390/dermatopathology12010004\",\"DOIUrl\":null,\"url\":null,\"abstract\":\"<p><p>Cutaneous silica granulomas are a form of foreign-body granulomatous reactions. They are characterized histopathologically by sarcoidal granulomas in association with silica crystals. Asteroid bodies, a classical histopathological feature of sarcoidosis, have not previously been reported in association with silica granulomas. Herein, we present the case of an 83-year-old man with an asymptomatic papule on the vertex scalp. Histopathology revealed a dermal granulomatous reaction to silica crystals. Asteroid bodies were observed in the cytoplasm of multinucleated giant cells. In the absence of systemic symptoms or laboratory findings suggestive of sarcoidosis, a final diagnosis of silica granuloma with asteroid bodies was made. While they have been observed in several other granulomatous reactions, the present case represents a novel association of asteroid bodies with silica granulomas.</p>\",\"PeriodicalId\":42885,\"journal\":{\"name\":\"Dermatopathology\",\"volume\":\"12 1\",\"pages\":\"\"},\"PeriodicalIF\":1.7000,\"publicationDate\":\"2025-01-31\",\"publicationTypes\":\"Journal Article\",\"fieldsOfStudy\":null,\"isOpenAccess\":false,\"openAccessPdf\":\"https://www.ncbi.nlm.nih.gov/pmc/articles/PMC11860693/pdf/\",\"citationCount\":\"0\",\"resultStr\":null,\"platform\":\"Semanticscholar\",\"paperid\":null,\"PeriodicalName\":\"Dermatopathology\",\"FirstCategoryId\":\"1085\",\"ListUrlMain\":\"https://doi.org/10.3390/dermatopathology12010004\",\"RegionNum\":0,\"RegionCategory\":null,\"ArticlePicture\":[],\"TitleCN\":null,\"AbstractTextCN\":null,\"PMCID\":null,\"EPubDate\":\"\",\"PubModel\":\"\",\"JCR\":\"Q3\",\"JCRName\":\"DERMATOLOGY\",\"Score\":null,\"Total\":0}","platform":"Semanticscholar","paperid":null,"PeriodicalName":"Dermatopathology","FirstCategoryId":"1085","ListUrlMain":"https://doi.org/10.3390/dermatopathology12010004","RegionNum":0,"RegionCategory":null,"ArticlePicture":[],"TitleCN":null,"AbstractTextCN":null,"PMCID":null,"EPubDate":"","PubModel":"","JCR":"Q3","JCRName":"DERMATOLOGY","Score":null,"Total":0}
引用次数: 0

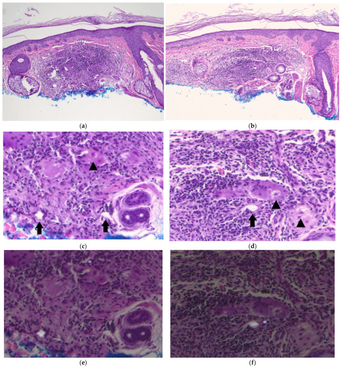
摘要

皮肤二氧化硅肉芽肿是异物肉芽肿反应的一种形式。在组织病理学上表现为结节状肉芽肿伴二氧化硅晶体。小行星体是结节病的典型组织病理学特征,以前未见与硅肉芽肿相关的报道。在此,我们提出的情况下,一个83岁的男子与无症状丘疹的顶点头皮。组织病理学显示皮肤对二氧化硅晶体的肉芽肿反应。在多核巨细胞细胞质中可见小行星体。由于没有系统性症状或提示结节病的实验室结果,最终诊断为小行星体硅肉芽肿。虽然它们已经在其他几个肉芽肿反应中被观察到,但本病例代表了小行星体与硅肉芽肿的新联系。
本文章由计算机程序翻译,如有差异,请以英文原文为准。

Asteroid Shower: Cutaneous Silica Granuloma with Asteroid Bodies.

Asteroid Shower: Cutaneous Silica Granuloma with Asteroid Bodies.

Asteroid Shower: Cutaneous Silica Granuloma with Asteroid Bodies.

Cutaneous silica granulomas are a form of foreign-body granulomatous reactions. They are characterized histopathologically by sarcoidal granulomas in association with silica crystals. Asteroid bodies, a classical histopathological feature of sarcoidosis, have not previously been reported in association with silica granulomas. Herein, we present the case of an 83-year-old man with an asymptomatic papule on the vertex scalp. Histopathology revealed a dermal granulomatous reaction to silica crystals. Asteroid bodies were observed in the cytoplasm of multinucleated giant cells. In the absence of systemic symptoms or laboratory findings suggestive of sarcoidosis, a final diagnosis of silica granuloma with asteroid bodies was made. While they have been observed in several other granulomatous reactions, the present case represents a novel association of asteroid bodies with silica granulomas.

求助全文
通过发布文献求助,成功后即可免费获取论文全文。 去求助
来源期刊
Dermatopathology
Dermatopathology DERMATOLOGY-
自引率
5.30%
发文量
39
审稿时长
11 weeks
×
引用
GB/T 7714-2015
复制
MLA
复制
APA
复制
导出至
BibTeX EndNote RefMan NoteFirst NoteExpress
×
提示
您的信息不完整,为了账户安全,请先补充。
现在去补充
×
提示
您因"违规操作"
具体请查看互助需知
我知道了
×
提示
确定
请完成安全验证×
copy
已复制链接
快去分享给好友吧!
我知道了
右上角分享
点击右上角分享
0
联系我们:info@booksci.cn Book学术提供免费学术资源搜索服务,方便国内外学者检索中英文文献。致力于提供最便捷和优质的服务体验。 Copyright © 2023 布克学术 All rights reserved.
京ICP备2023020795号-1
ghs 京公网安备 11010802042870号
Book学术文献互助
Book学术文献互助群
群 号:604180095
Book学术官方微信