全外显子组测序鉴定了低级别肾癌细胞瘤中叉头盒I1 (FOXI1)、角蛋白6c (KRT6C)和间隙连接蛋白δ 2 (GJD2)的突变:1例报告。

IF 2.3 3区 医学 Q2 PATHOLOGY
Akinari Kakumoto, Koichi Nishimura, Daisuke Toki, Rika Kasajima, Hajime Kuroda, Yoji Nagashima, Tsunenori Kondo, Yohei Miyagi, Atsuko Masunaga
{"title":"全外显子组测序鉴定了低级别肾癌细胞瘤中叉头盒I1 (FOXI1)、角蛋白6c (KRT6C)和间隙连接蛋白δ 2 (GJD2)的突变:1例报告。","authors":"Akinari Kakumoto, Koichi Nishimura, Daisuke Toki, Rika Kasajima, Hajime Kuroda, Yoji Nagashima, Tsunenori Kondo, Yohei Miyagi, Atsuko Masunaga","doi":"10.1186/s13000-025-01616-3","DOIUrl":null,"url":null,"abstract":"<p><strong>Background: </strong>Low-grade oncocytic tumor (LOT) of the kidney is an emerging entity among renal oncocytic tumors. While the histological features of LOT of the kidney are similar to those of renal oncocytoma, LOT immunohistochemically expresses keratin 7 (KRT7) but not KIT while renal oncocytoma expresses KIT. Molecular analyses of LOTs of the kidney using next generation sequencing revealed those tumors harbor mutations of mTOR-related genes.</p><p><strong>Case presentation: </strong>An 80-year-old Japanese man with a history of clear cell renal cell carcinoma and prostatic cancer underwent resection of the tumor of the right kidney, 10 mm in diameter, which was monitored for six years. The tumor was histologically composed of oncocytic cells that expressed KRT7, vimentin, SDHA, SDHB and fumarate hydratase, but not KIT, GATA3 and alpha-methylacyl-CoA racemase. We diagnosed the tumor as LOT of the kidney. Whole-exome sequencing of the LOT revealed single nucleotide variants in the DNA-binding region of forkhead box I1 (FOXI1), the coil 1B domain of keratin 6 C (KRT6C) and the intracytoplasmic region of gap junction delta 2 (GJD2), which encodes connexin 36. However, there was no mutations in mTOR-related genes. No copy number alterations were detected in the tumor.</p><p><strong>Conclusions: </strong>We report three mutations in genes that have not been previously reported in LOT of the kidney. The genes are not related to the mTOR pathway. Therefore, LOT of the kidney might occur through several mechanisms and/or include several types of renal oncocytic tumors.</p>","PeriodicalId":11237,"journal":{"name":"Diagnostic Pathology","volume":"20 1","pages":"21"},"PeriodicalIF":2.3000,"publicationDate":"2025-02-21","publicationTypes":"Journal Article","fieldsOfStudy":null,"isOpenAccess":false,"openAccessPdf":"https://www.ncbi.nlm.nih.gov/pmc/articles/PMC11844160/pdf/","citationCount":"0","resultStr":"{\"title\":\"Whole exome sequencing identified mutations of forkhead box I 1 (FOXI1), keratin 6 C (KRT6C) and gap junction protein delta 2 (GJD2) in a low-grade oncocytic tumor of the kidney: a case report.\",\"authors\":\"Akinari Kakumoto, Koichi Nishimura, Daisuke Toki, Rika Kasajima, Hajime Kuroda, Yoji Nagashima, Tsunenori Kondo, Yohei Miyagi, Atsuko Masunaga\",\"doi\":\"10.1186/s13000-025-01616-3\",\"DOIUrl\":null,\"url\":null,\"abstract\":\"<p><strong>Background: </strong>Low-grade oncocytic tumor (LOT) of the kidney is an emerging entity among renal oncocytic tumors. While the histological features of LOT of the kidney are similar to those of renal oncocytoma, LOT immunohistochemically expresses keratin 7 (KRT7) but not KIT while renal oncocytoma expresses KIT. Molecular analyses of LOTs of the kidney using next generation sequencing revealed those tumors harbor mutations of mTOR-related genes.</p><p><strong>Case presentation: </strong>An 80-year-old Japanese man with a history of clear cell renal cell carcinoma and prostatic cancer underwent resection of the tumor of the right kidney, 10 mm in diameter, which was monitored for six years. The tumor was histologically composed of oncocytic cells that expressed KRT7, vimentin, SDHA, SDHB and fumarate hydratase, but not KIT, GATA3 and alpha-methylacyl-CoA racemase. We diagnosed the tumor as LOT of the kidney. Whole-exome sequencing of the LOT revealed single nucleotide variants in the DNA-binding region of forkhead box I1 (FOXI1), the coil 1B domain of keratin 6 C (KRT6C) and the intracytoplasmic region of gap junction delta 2 (GJD2), which encodes connexin 36. However, there was no mutations in mTOR-related genes. No copy number alterations were detected in the tumor.</p><p><strong>Conclusions: </strong>We report three mutations in genes that have not been previously reported in LOT of the kidney. The genes are not related to the mTOR pathway. Therefore, LOT of the kidney might occur through several mechanisms and/or include several types of renal oncocytic tumors.</p>\",\"PeriodicalId\":11237,\"journal\":{\"name\":\"Diagnostic Pathology\",\"volume\":\"20 1\",\"pages\":\"21\"},\"PeriodicalIF\":2.3000,\"publicationDate\":\"2025-02-21\",\"publicationTypes\":\"Journal Article\",\"fieldsOfStudy\":null,\"isOpenAccess\":false,\"openAccessPdf\":\"https://www.ncbi.nlm.nih.gov/pmc/articles/PMC11844160/pdf/\",\"citationCount\":\"0\",\"resultStr\":null,\"platform\":\"Semanticscholar\",\"paperid\":null,\"PeriodicalName\":\"Diagnostic Pathology\",\"FirstCategoryId\":\"3\",\"ListUrlMain\":\"https://doi.org/10.1186/s13000-025-01616-3\",\"RegionNum\":3,\"RegionCategory\":\"医学\",\"ArticlePicture\":[],\"TitleCN\":null,\"AbstractTextCN\":null,\"PMCID\":null,\"EPubDate\":\"\",\"PubModel\":\"\",\"JCR\":\"Q2\",\"JCRName\":\"PATHOLOGY\",\"Score\":null,\"Total\":0}","platform":"Semanticscholar","paperid":null,"PeriodicalName":"Diagnostic Pathology","FirstCategoryId":"3","ListUrlMain":"https://doi.org/10.1186/s13000-025-01616-3","RegionNum":3,"RegionCategory":"医学","ArticlePicture":[],"TitleCN":null,"AbstractTextCN":null,"PMCID":null,"EPubDate":"","PubModel":"","JCR":"Q2","JCRName":"PATHOLOGY","Score":null,"Total":0}
引用次数: 0

摘要

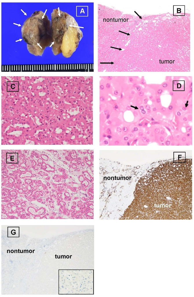
背景:肾低级别嗜瘤细胞瘤(LOT)是肾嗜瘤细胞肿瘤中的一种新兴肿瘤。肾LOT的组织学特征与肾癌细胞瘤相似,但LOT免疫组织化学表达角蛋白7 (KRT7)而不表达KIT,而肾癌细胞瘤表达KIT。利用下一代测序技术对许多肾脏进行分子分析,发现这些肿瘤含有mtor相关基因的突变。病例介绍:一名80岁的日本男性,有透明细胞肾细胞癌和前列腺癌病史,接受右肾肿瘤切除术,直径10毫米,监测6年。肿瘤在组织学上由表达KRT7、vimentin、SDHA、SDHB和富马酸水合酶的癌细胞组成,但不表达KIT、GATA3和α -甲基酰基辅酶a消旋酶。我们诊断肿瘤为肾LOT。LOT的全外显子组测序显示,叉头盒I1的dna结合区(FOXI1)、角蛋白6c的线圈1B结构域(KRT6C)和编码连接蛋白36的间隙连接2的胞质内区域(GJD2)存在单核苷酸变异。然而,mtor相关基因未见突变。肿瘤中未检测到拷贝数改变。结论:我们报告了三个基因突变,这些突变在肾脏LOT中以前没有报道过。这些基因与mTOR通路无关。因此,肾脏LOT可能通过多种机制发生和/或包括几种类型的肾嗜瘤细胞肿瘤。
本文章由计算机程序翻译,如有差异,请以英文原文为准。

Whole exome sequencing identified mutations of forkhead box I 1 (FOXI1), keratin 6 C (KRT6C) and gap junction protein delta 2 (GJD2) in a low-grade oncocytic tumor of the kidney: a case report.

Whole exome sequencing identified mutations of forkhead box I 1 (FOXI1), keratin 6 C (KRT6C) and gap junction protein delta 2 (GJD2) in a low-grade oncocytic tumor of the kidney: a case report.

Whole exome sequencing identified mutations of forkhead box I 1 (FOXI1), keratin 6 C (KRT6C) and gap junction protein delta 2 (GJD2) in a low-grade oncocytic tumor of the kidney: a case report.

Background: Low-grade oncocytic tumor (LOT) of the kidney is an emerging entity among renal oncocytic tumors. While the histological features of LOT of the kidney are similar to those of renal oncocytoma, LOT immunohistochemically expresses keratin 7 (KRT7) but not KIT while renal oncocytoma expresses KIT. Molecular analyses of LOTs of the kidney using next generation sequencing revealed those tumors harbor mutations of mTOR-related genes.

Case presentation: An 80-year-old Japanese man with a history of clear cell renal cell carcinoma and prostatic cancer underwent resection of the tumor of the right kidney, 10 mm in diameter, which was monitored for six years. The tumor was histologically composed of oncocytic cells that expressed KRT7, vimentin, SDHA, SDHB and fumarate hydratase, but not KIT, GATA3 and alpha-methylacyl-CoA racemase. We diagnosed the tumor as LOT of the kidney. Whole-exome sequencing of the LOT revealed single nucleotide variants in the DNA-binding region of forkhead box I1 (FOXI1), the coil 1B domain of keratin 6 C (KRT6C) and the intracytoplasmic region of gap junction delta 2 (GJD2), which encodes connexin 36. However, there was no mutations in mTOR-related genes. No copy number alterations were detected in the tumor.

Conclusions: We report three mutations in genes that have not been previously reported in LOT of the kidney. The genes are not related to the mTOR pathway. Therefore, LOT of the kidney might occur through several mechanisms and/or include several types of renal oncocytic tumors.

求助全文
通过发布文献求助,成功后即可免费获取论文全文。 去求助
来源期刊
Diagnostic Pathology
Diagnostic Pathology 医学-病理学
CiteScore
4.60
自引率
0.00%
发文量
93
审稿时长
1 months
期刊介绍: Diagnostic Pathology is an open access, peer-reviewed, online journal that considers research in surgical and clinical pathology, immunology, and biology, with a special focus on cutting-edge approaches in diagnostic pathology and tissue-based therapy. The journal covers all aspects of surgical pathology, including classic diagnostic pathology, prognosis-related diagnosis (tumor stages, prognosis markers, such as MIB-percentage, hormone receptors, etc.), and therapy-related findings. The journal also focuses on the technological aspects of pathology, including molecular biology techniques, morphometry aspects (stereology, DNA analysis, syntactic structure analysis), communication aspects (telecommunication, virtual microscopy, virtual pathology institutions, etc.), and electronic education and quality assurance (for example interactive publication, on-line references with automated updating, etc.).
×
引用
GB/T 7714-2015
复制
MLA
复制
APA
复制
导出至
BibTeX EndNote RefMan NoteFirst NoteExpress
×
提示
您的信息不完整,为了账户安全,请先补充。
现在去补充
×
提示
您因"违规操作"
具体请查看互助需知
我知道了
×
提示
确定
请完成安全验证×
copy
已复制链接
快去分享给好友吧!
我知道了
右上角分享
点击右上角分享
0
联系我们:info@booksci.cn Book学术提供免费学术资源搜索服务,方便国内外学者检索中英文文献。致力于提供最便捷和优质的服务体验。 Copyright © 2023 布克学术 All rights reserved.
京ICP备2023020795号-1
ghs 京公网安备 11010802042870号
Book学术文献互助
Book学术文献互助群
群 号:604180095
Book学术官方微信