血管增殖性视网膜肿瘤:病例系列的表现、管理和结果。

IF 0.6 Q4 OPHTHALMOLOGY
Case Reports in Ophthalmology Pub Date : 2024-12-16 eCollection Date: 2025-01-01 DOI:10.1159/000542956
Ana Faria Pereira, Rita Teixeira-Martins, Amandio Rocha-Sousa, Susana Penas
{"title":"血管增殖性视网膜肿瘤:病例系列的表现、管理和结果。","authors":"Ana Faria Pereira, Rita Teixeira-Martins, Amandio Rocha-Sousa, Susana Penas","doi":"10.1159/000542956","DOIUrl":null,"url":null,"abstract":"<p><strong>Introduction: </strong>Vasoproliferative retinal tumors (VPRTs) are rare, benign retinal lesions characterized by abnormal vascular proliferation. They may appear sporadically or with systemic conditions like von Hippel-Lindau disease, often resembling other retinal lesions and posing diagnostic challenges. VPRTs can lead to vision loss if not adequately managed. Current management ranges from observation to different treatment strategies, from laser photocoagulation, photodynamic therapy, cryotherapy to intravitreal injections and vitrectomy. However, optimal approach is still debated due to VPRTs' rarity and varied presentations.</p><p><strong>Case presentations: </strong>This series presents three VPRT cases. The first, a 73-year-old man who presented with sudden vision loss due to a VPRT-related vitreous hemorrhage, required multiple interventions, including vitrectomies and anti-VEGF injections, but suffered recurrent macular edema and glaucoma, requiring ongoing management. The second, a 42-year-old asymptomatic man, showed lipid exudation and peripheral retinal detachment, needing photodynamic therapy, laser, and cryotherapy. The third, a 56-year-old woman with decreased visual acuity and epiretinal membrane, achieved stability and good visual outcomes after vitrectomy with cryotherapy.</p><p><strong>Conclusions: </strong>VPRTs pose diagnostic and therapeutic challenges given their heterogeneous presentations and potential for complications. Our cases illustrate that a multimodal management strategy - incorporating tailored combinations of therapies such as laser photocoagulation, cryotherapy, anti-VEGF injections, and surgery - is essential to address individual characteristics of each patient's disease. Personalized treatment approaches allow for precise targeting of the lesions while minimizing risk of complications, contributing to better disease stabilization and visual outcomes. Early detection and tailored management are essential, though further research is needed to establish standardized treatment protocols.</p>","PeriodicalId":9635,"journal":{"name":"Case Reports in Ophthalmology","volume":"16 1","pages":"27-36"},"PeriodicalIF":0.6000,"publicationDate":"2024-12-16","publicationTypes":"Journal Article","fieldsOfStudy":null,"isOpenAccess":false,"openAccessPdf":"https://www.ncbi.nlm.nih.gov/pmc/articles/PMC11842064/pdf/","citationCount":"0","resultStr":"{\"title\":\"Vasoproliferative Retinal Tumors: Manifestations, Management, and Outcomes in a Case Series.\",\"authors\":\"Ana Faria Pereira, Rita Teixeira-Martins, Amandio Rocha-Sousa, Susana Penas\",\"doi\":\"10.1159/000542956\",\"DOIUrl\":null,\"url\":null,\"abstract\":\"<p><strong>Introduction: </strong>Vasoproliferative retinal tumors (VPRTs) are rare, benign retinal lesions characterized by abnormal vascular proliferation. They may appear sporadically or with systemic conditions like von Hippel-Lindau disease, often resembling other retinal lesions and posing diagnostic challenges. VPRTs can lead to vision loss if not adequately managed. Current management ranges from observation to different treatment strategies, from laser photocoagulation, photodynamic therapy, cryotherapy to intravitreal injections and vitrectomy. However, optimal approach is still debated due to VPRTs' rarity and varied presentations.</p><p><strong>Case presentations: </strong>This series presents three VPRT cases. The first, a 73-year-old man who presented with sudden vision loss due to a VPRT-related vitreous hemorrhage, required multiple interventions, including vitrectomies and anti-VEGF injections, but suffered recurrent macular edema and glaucoma, requiring ongoing management. The second, a 42-year-old asymptomatic man, showed lipid exudation and peripheral retinal detachment, needing photodynamic therapy, laser, and cryotherapy. The third, a 56-year-old woman with decreased visual acuity and epiretinal membrane, achieved stability and good visual outcomes after vitrectomy with cryotherapy.</p><p><strong>Conclusions: </strong>VPRTs pose diagnostic and therapeutic challenges given their heterogeneous presentations and potential for complications. Our cases illustrate that a multimodal management strategy - incorporating tailored combinations of therapies such as laser photocoagulation, cryotherapy, anti-VEGF injections, and surgery - is essential to address individual characteristics of each patient's disease. Personalized treatment approaches allow for precise targeting of the lesions while minimizing risk of complications, contributing to better disease stabilization and visual outcomes. Early detection and tailored management are essential, though further research is needed to establish standardized treatment protocols.</p>\",\"PeriodicalId\":9635,\"journal\":{\"name\":\"Case Reports in Ophthalmology\",\"volume\":\"16 1\",\"pages\":\"27-36\"},\"PeriodicalIF\":0.6000,\"publicationDate\":\"2024-12-16\",\"publicationTypes\":\"Journal Article\",\"fieldsOfStudy\":null,\"isOpenAccess\":false,\"openAccessPdf\":\"https://www.ncbi.nlm.nih.gov/pmc/articles/PMC11842064/pdf/\",\"citationCount\":\"0\",\"resultStr\":null,\"platform\":\"Semanticscholar\",\"paperid\":null,\"PeriodicalName\":\"Case Reports in Ophthalmology\",\"FirstCategoryId\":\"1085\",\"ListUrlMain\":\"https://doi.org/10.1159/000542956\",\"RegionNum\":0,\"RegionCategory\":null,\"ArticlePicture\":[],\"TitleCN\":null,\"AbstractTextCN\":null,\"PMCID\":null,\"EPubDate\":\"2025/1/1 0:00:00\",\"PubModel\":\"eCollection\",\"JCR\":\"Q4\",\"JCRName\":\"OPHTHALMOLOGY\",\"Score\":null,\"Total\":0}","platform":"Semanticscholar","paperid":null,"PeriodicalName":"Case Reports in Ophthalmology","FirstCategoryId":"1085","ListUrlMain":"https://doi.org/10.1159/000542956","RegionNum":0,"RegionCategory":null,"ArticlePicture":[],"TitleCN":null,"AbstractTextCN":null,"PMCID":null,"EPubDate":"2025/1/1 0:00:00","PubModel":"eCollection","JCR":"Q4","JCRName":"OPHTHALMOLOGY","Score":null,"Total":0}
引用次数: 0

摘要

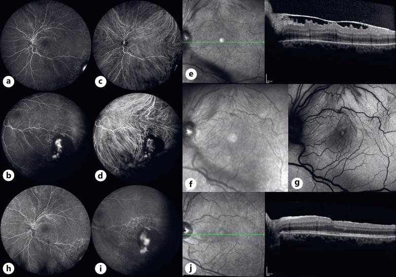
血管增殖性视网膜肿瘤(VPRTs)是一种罕见的视网膜良性病变,其特征是血管增生异常。它们可能偶尔出现,也可能伴有像希佩尔-林道病这样的全身性疾病,通常与其他视网膜病变相似,给诊断带来挑战。如果治疗不当,vprt可能导致视力丧失。目前的治疗范围从观察到不同的治疗策略,从激光光凝、光动力治疗、冷冻治疗到玻璃体内注射和玻璃体切除术。然而,由于vprt的罕见性和多样化的表现,最佳方法仍然存在争议。案例介绍:本系列介绍了三个VPRT案例。第一位患者是一名73岁的男性,由于vprt相关的玻璃体出血导致突然视力丧失,需要多种干预措施,包括玻璃体切除术和抗vegf注射,但复发性黄斑水肿和青光眼,需要持续治疗。第二位患者,42岁,无症状,表现为脂质渗出和周围视网膜脱离,需要光动力治疗、激光和冷冻治疗。第三例患者为56岁女性,视力下降,视网膜前膜下降,玻璃体切除冷冻治疗后视力稳定,视力效果良好。结论:VPRTs由于其异质性表现和潜在的并发症,给诊断和治疗带来了挑战。我们的病例表明,多模式管理策略——结合量身定制的治疗组合,如激光光凝、冷冻疗法、抗vegf注射和手术——对于解决每位患者疾病的个体特征至关重要。个性化的治疗方法可以精确定位病变,同时最大限度地降低并发症的风险,有助于更好的疾病稳定和视力结果。尽管需要进一步的研究来建立标准化的治疗方案,但早期发现和量身定制的管理是必不可少的。
本文章由计算机程序翻译,如有差异,请以英文原文为准。

Vasoproliferative Retinal Tumors: Manifestations, Management, and Outcomes in a Case Series.

Vasoproliferative Retinal Tumors: Manifestations, Management, and Outcomes in a Case Series.

Vasoproliferative Retinal Tumors: Manifestations, Management, and Outcomes in a Case Series.

Vasoproliferative Retinal Tumors: Manifestations, Management, and Outcomes in a Case Series.

Introduction: Vasoproliferative retinal tumors (VPRTs) are rare, benign retinal lesions characterized by abnormal vascular proliferation. They may appear sporadically or with systemic conditions like von Hippel-Lindau disease, often resembling other retinal lesions and posing diagnostic challenges. VPRTs can lead to vision loss if not adequately managed. Current management ranges from observation to different treatment strategies, from laser photocoagulation, photodynamic therapy, cryotherapy to intravitreal injections and vitrectomy. However, optimal approach is still debated due to VPRTs' rarity and varied presentations.

Case presentations: This series presents three VPRT cases. The first, a 73-year-old man who presented with sudden vision loss due to a VPRT-related vitreous hemorrhage, required multiple interventions, including vitrectomies and anti-VEGF injections, but suffered recurrent macular edema and glaucoma, requiring ongoing management. The second, a 42-year-old asymptomatic man, showed lipid exudation and peripheral retinal detachment, needing photodynamic therapy, laser, and cryotherapy. The third, a 56-year-old woman with decreased visual acuity and epiretinal membrane, achieved stability and good visual outcomes after vitrectomy with cryotherapy.

Conclusions: VPRTs pose diagnostic and therapeutic challenges given their heterogeneous presentations and potential for complications. Our cases illustrate that a multimodal management strategy - incorporating tailored combinations of therapies such as laser photocoagulation, cryotherapy, anti-VEGF injections, and surgery - is essential to address individual characteristics of each patient's disease. Personalized treatment approaches allow for precise targeting of the lesions while minimizing risk of complications, contributing to better disease stabilization and visual outcomes. Early detection and tailored management are essential, though further research is needed to establish standardized treatment protocols.

求助全文
通过发布文献求助,成功后即可免费获取论文全文。 去求助
来源期刊
CiteScore
0.90
自引率
0.00%
发文量
129
审稿时长
12 weeks
期刊介绍: This peer-reviewed online-only journal publishes original case reports covering the entire spectrum of ophthalmology, including prevention, diagnosis, treatment, toxicities of therapy, supportive care, quality-of-life, and survivorship issues. The submission of negative results is strongly encouraged. The journal will also accept case reports dealing with the use of novel technologies, both in the arena of diagnosis and treatment. Supplementary material is welcomed. The intent of the journal is to provide clinicians and researchers with a tool to disseminate their personal experiences to a wider public as well as to review interesting cases encountered by colleagues all over the world. Universally used terms can be searched across the entire growing collection of case reports, further facilitating the retrieval of specific information. Following the open access principle, the entire contents can be retrieved at no charge, guaranteeing easy access to this valuable source of anecdotal information at all times.
×
引用
GB/T 7714-2015
复制
MLA
复制
APA
复制
导出至
BibTeX EndNote RefMan NoteFirst NoteExpress
×
提示
您的信息不完整,为了账户安全,请先补充。
现在去补充
×
提示
您因"违规操作"
具体请查看互助需知
我知道了
×
提示
确定
请完成安全验证×
copy
已复制链接
快去分享给好友吧!
我知道了
右上角分享
点击右上角分享
0
联系我们:info@booksci.cn Book学术提供免费学术资源搜索服务,方便国内外学者检索中英文文献。致力于提供最便捷和优质的服务体验。 Copyright © 2023 布克学术 All rights reserved.
京ICP备2023020795号-1
ghs 京公网安备 11010802042870号
Book学术文献互助
Book学术文献互助群
群 号:604180095
Book学术官方微信