多层羊膜移植上睑成形术后透热性角膜烧伤的处理:1例报告及文献复习。

IF 0.6 Q4 OPHTHALMOLOGY
Case Reports in Ophthalmology Pub Date : 2025-01-24 eCollection Date: 2025-01-01 DOI:10.1159/000543760
Konstantina Bachtalia, Sotiria Palioura
{"title":"多层羊膜移植上睑成形术后透热性角膜烧伤的处理:1例报告及文献复习。","authors":"Konstantina Bachtalia, Sotiria Palioura","doi":"10.1159/000543760","DOIUrl":null,"url":null,"abstract":"<p><strong>Introduction: </strong>Thermal injuries associated with cosmetic eyelid surgery can significantly impair corneal integrity, potentially leading to vision loss. Conventional management, including bandage contact lens use, topical steroids, lubrication, autologous serum tears, and vitamin C, plays a crucial role in preventing long-term complications. This case report explores the potential benefits of multilayer amniotic membrane transplantation (AMT) as an adjunct to standard therapy for treating diathermy-associated corneal burns. Review of the literature advocates the beneficial effects of supplementary AMT in managing thermal corneal trauma.</p><p><strong>Case description: </strong>A 75-year-old man presented with unilateral diathermy-associated corneal laceration superior to the visual axis following cosmetic blepharoplasty. Vision had deteriorated from his baseline 20/30 to 20/125 postoperatively. Intervention involved multilayer AMT alongside standard care, including topical steroids and antibiotics, oral doxycycline, and vitamin C. Postoperative course was monitored with anterior segment optical coherence tomography (AS-OCT) imaging. By 3 months, complete corneal healing and restoration of baseline visual acuity were achieved.</p><p><strong>Conclusion: </strong>This is the first documented case of multilayer AMT as an effective supplement to conventional management of diathermy-associated corneal injury. While AMTs unique properties likely contributed to corneal healing and visual recovery, the results should be interpreted in the context of a multimodal therapeutic approach.</p>","PeriodicalId":9635,"journal":{"name":"Case Reports in Ophthalmology","volume":"16 1","pages":"133-142"},"PeriodicalIF":0.6000,"publicationDate":"2025-01-24","publicationTypes":"Journal Article","fieldsOfStudy":null,"isOpenAccess":false,"openAccessPdf":"https://www.ncbi.nlm.nih.gov/pmc/articles/PMC11842102/pdf/","citationCount":"0","resultStr":"{\"title\":\"Management of Diathermy-Induced Corneal Burn following Upper Eyelid Blepharoplasty with Multilayer Amniotic Membrane Transplantation: A Case Report and Review of the Literature.\",\"authors\":\"Konstantina Bachtalia, Sotiria Palioura\",\"doi\":\"10.1159/000543760\",\"DOIUrl\":null,\"url\":null,\"abstract\":\"<p><strong>Introduction: </strong>Thermal injuries associated with cosmetic eyelid surgery can significantly impair corneal integrity, potentially leading to vision loss. Conventional management, including bandage contact lens use, topical steroids, lubrication, autologous serum tears, and vitamin C, plays a crucial role in preventing long-term complications. This case report explores the potential benefits of multilayer amniotic membrane transplantation (AMT) as an adjunct to standard therapy for treating diathermy-associated corneal burns. Review of the literature advocates the beneficial effects of supplementary AMT in managing thermal corneal trauma.</p><p><strong>Case description: </strong>A 75-year-old man presented with unilateral diathermy-associated corneal laceration superior to the visual axis following cosmetic blepharoplasty. Vision had deteriorated from his baseline 20/30 to 20/125 postoperatively. Intervention involved multilayer AMT alongside standard care, including topical steroids and antibiotics, oral doxycycline, and vitamin C. Postoperative course was monitored with anterior segment optical coherence tomography (AS-OCT) imaging. By 3 months, complete corneal healing and restoration of baseline visual acuity were achieved.</p><p><strong>Conclusion: </strong>This is the first documented case of multilayer AMT as an effective supplement to conventional management of diathermy-associated corneal injury. While AMTs unique properties likely contributed to corneal healing and visual recovery, the results should be interpreted in the context of a multimodal therapeutic approach.</p>\",\"PeriodicalId\":9635,\"journal\":{\"name\":\"Case Reports in Ophthalmology\",\"volume\":\"16 1\",\"pages\":\"133-142\"},\"PeriodicalIF\":0.6000,\"publicationDate\":\"2025-01-24\",\"publicationTypes\":\"Journal Article\",\"fieldsOfStudy\":null,\"isOpenAccess\":false,\"openAccessPdf\":\"https://www.ncbi.nlm.nih.gov/pmc/articles/PMC11842102/pdf/\",\"citationCount\":\"0\",\"resultStr\":null,\"platform\":\"Semanticscholar\",\"paperid\":null,\"PeriodicalName\":\"Case Reports in Ophthalmology\",\"FirstCategoryId\":\"1085\",\"ListUrlMain\":\"https://doi.org/10.1159/000543760\",\"RegionNum\":0,\"RegionCategory\":null,\"ArticlePicture\":[],\"TitleCN\":null,\"AbstractTextCN\":null,\"PMCID\":null,\"EPubDate\":\"2025/1/1 0:00:00\",\"PubModel\":\"eCollection\",\"JCR\":\"Q4\",\"JCRName\":\"OPHTHALMOLOGY\",\"Score\":null,\"Total\":0}","platform":"Semanticscholar","paperid":null,"PeriodicalName":"Case Reports in Ophthalmology","FirstCategoryId":"1085","ListUrlMain":"https://doi.org/10.1159/000543760","RegionNum":0,"RegionCategory":null,"ArticlePicture":[],"TitleCN":null,"AbstractTextCN":null,"PMCID":null,"EPubDate":"2025/1/1 0:00:00","PubModel":"eCollection","JCR":"Q4","JCRName":"OPHTHALMOLOGY","Score":null,"Total":0}
引用次数: 0

摘要

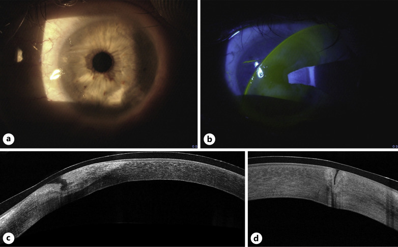
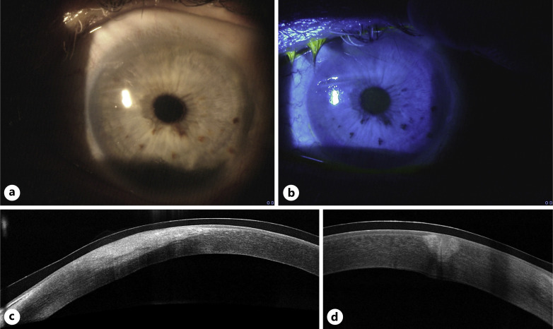
导言:与眼睑美容手术相关的热损伤会严重损害角膜的完整性,可能导致视力丧失。传统的治疗方法,包括使用绷带隐形眼镜、外用类固醇、润滑剂、自体血清泪液和维生素 C,在预防长期并发症方面起着至关重要的作用。本病例报告探讨了多层羊膜移植(AMT)作为标准疗法辅助治疗电热相关性角膜烧伤的潜在益处。文献综述认为,多层羊膜移植在治疗热角膜创伤方面具有辅助疗效:一名 75 岁的男子在眼睑整容术后出现单侧眼轴上方的电热相关性角膜裂伤。术后视力从基线 20/30 下降到 20/125。干预措施包括多层 AMT 以及标准护理,包括局部类固醇和抗生素、口服多西环素和维生素 C。三个月后,角膜完全愈合,视力恢复到基线水平:这是第一例记录在案的多层 AMT 作为传统治疗电疗相关角膜损伤的有效补充的病例。虽然 AMT 的独特性能可能有助于角膜愈合和视力恢复,但应结合多模式治疗方法来解释这一结果。
本文章由计算机程序翻译,如有差异,请以英文原文为准。

Management of Diathermy-Induced Corneal Burn following Upper Eyelid Blepharoplasty with Multilayer Amniotic Membrane Transplantation: A Case Report and Review of the Literature.

Management of Diathermy-Induced Corneal Burn following Upper Eyelid Blepharoplasty with Multilayer Amniotic Membrane Transplantation: A Case Report and Review of the Literature.

Management of Diathermy-Induced Corneal Burn following Upper Eyelid Blepharoplasty with Multilayer Amniotic Membrane Transplantation: A Case Report and Review of the Literature.

Management of Diathermy-Induced Corneal Burn following Upper Eyelid Blepharoplasty with Multilayer Amniotic Membrane Transplantation: A Case Report and Review of the Literature.

Introduction: Thermal injuries associated with cosmetic eyelid surgery can significantly impair corneal integrity, potentially leading to vision loss. Conventional management, including bandage contact lens use, topical steroids, lubrication, autologous serum tears, and vitamin C, plays a crucial role in preventing long-term complications. This case report explores the potential benefits of multilayer amniotic membrane transplantation (AMT) as an adjunct to standard therapy for treating diathermy-associated corneal burns. Review of the literature advocates the beneficial effects of supplementary AMT in managing thermal corneal trauma.

Case description: A 75-year-old man presented with unilateral diathermy-associated corneal laceration superior to the visual axis following cosmetic blepharoplasty. Vision had deteriorated from his baseline 20/30 to 20/125 postoperatively. Intervention involved multilayer AMT alongside standard care, including topical steroids and antibiotics, oral doxycycline, and vitamin C. Postoperative course was monitored with anterior segment optical coherence tomography (AS-OCT) imaging. By 3 months, complete corneal healing and restoration of baseline visual acuity were achieved.

Conclusion: This is the first documented case of multilayer AMT as an effective supplement to conventional management of diathermy-associated corneal injury. While AMTs unique properties likely contributed to corneal healing and visual recovery, the results should be interpreted in the context of a multimodal therapeutic approach.

求助全文
通过发布文献求助,成功后即可免费获取论文全文。 去求助
来源期刊
CiteScore
0.90
自引率
0.00%
发文量
129
审稿时长
12 weeks
期刊介绍: This peer-reviewed online-only journal publishes original case reports covering the entire spectrum of ophthalmology, including prevention, diagnosis, treatment, toxicities of therapy, supportive care, quality-of-life, and survivorship issues. The submission of negative results is strongly encouraged. The journal will also accept case reports dealing with the use of novel technologies, both in the arena of diagnosis and treatment. Supplementary material is welcomed. The intent of the journal is to provide clinicians and researchers with a tool to disseminate their personal experiences to a wider public as well as to review interesting cases encountered by colleagues all over the world. Universally used terms can be searched across the entire growing collection of case reports, further facilitating the retrieval of specific information. Following the open access principle, the entire contents can be retrieved at no charge, guaranteeing easy access to this valuable source of anecdotal information at all times.
×
引用
GB/T 7714-2015
复制
MLA
复制
APA
复制
导出至
BibTeX EndNote RefMan NoteFirst NoteExpress
×
提示
您的信息不完整,为了账户安全,请先补充。
现在去补充
×
提示
您因"违规操作"
具体请查看互助需知
我知道了
×
提示
确定
请完成安全验证×
copy
已复制链接
快去分享给好友吧!
我知道了
右上角分享
点击右上角分享
0
联系我们:info@booksci.cn Book学术提供免费学术资源搜索服务,方便国内外学者检索中英文文献。致力于提供最便捷和优质的服务体验。 Copyright © 2023 布克学术 All rights reserved.
京ICP备2023020795号-1
ghs 京公网安备 11010802042870号
Book学术文献互助
Book学术文献互助群
群 号:604180095
Book学术官方微信