双侧浆液性视网膜脱离是低白蛋白血症引起的系统性红斑狼疮的初始表现:1例报告。

IF 0.6 Q4 OPHTHALMOLOGY
Case Reports in Ophthalmology Pub Date : 2024-12-11 eCollection Date: 2025-01-01 DOI:10.1159/000543005
Zikang Xu, Anyi Liang, Dan Cao, Liang Zhang
{"title":"双侧浆液性视网膜脱离是低白蛋白血症引起的系统性红斑狼疮的初始表现:1例报告。","authors":"Zikang Xu, Anyi Liang, Dan Cao, Liang Zhang","doi":"10.1159/000543005","DOIUrl":null,"url":null,"abstract":"<p><strong>Introduction: </strong>There are diverse etiologies of serous retinal detachment (SRD), and hypoalbuminemia is one of the rare causes of it. We report a case of bilateral SRD attributed to decreased serum albumin level caused by systemic lupus erythematosus (SLE).</p><p><strong>Case presentation: </strong>A 28-year-old female with no significant past medical history presented with bilateral palpebral edema for 10 days and blurred vision for 3 days. Optical coherence tomography demonstrated subretinal fluid in both eyes; fluorescein angiography revealed multiple hyperfluorescent spots with late leakage and pooling. Extensive serological and systemic examinations showed a slight decrease in serum albumin level with no other notable abnormalities. With the suspected diagnosis of Vogt-Koyanagi-Harada disease, the patient received high-dose intravenous corticosteroid therapy without any improvement. However, significant clinical improvement was achieved after albumin supplementation and corticosteroid dose tapering. The decrease in albumin levels in this patient was ultimately found to be due to protein-losing enteropathy (PLE) caused by SLE.</p><p><strong>Conclusions: </strong>This case presented a rare cause of bilateral SRD associated with hypoalbuminemia induced by SLE-related PLE. The report revealed that ocular involvements such as palpebral edema and SRD can be the initial manifestations of SLE rather than common lupus retinopathy. It emphasized the values of ocular manifestations as a clue for prompt diagnosis and management of systemic conditions.</p>","PeriodicalId":9635,"journal":{"name":"Case Reports in Ophthalmology","volume":"16 1","pages":"48-56"},"PeriodicalIF":0.6000,"publicationDate":"2024-12-11","publicationTypes":"Journal Article","fieldsOfStudy":null,"isOpenAccess":false,"openAccessPdf":"https://www.ncbi.nlm.nih.gov/pmc/articles/PMC11842062/pdf/","citationCount":"0","resultStr":"{\"title\":\"Bilateral Serous Retinal Detachment as an Initial Manifestation of Systemic Lupus Erythematosus due to Hypoalbuminemia: A Case Report.\",\"authors\":\"Zikang Xu, Anyi Liang, Dan Cao, Liang Zhang\",\"doi\":\"10.1159/000543005\",\"DOIUrl\":null,\"url\":null,\"abstract\":\"<p><strong>Introduction: </strong>There are diverse etiologies of serous retinal detachment (SRD), and hypoalbuminemia is one of the rare causes of it. We report a case of bilateral SRD attributed to decreased serum albumin level caused by systemic lupus erythematosus (SLE).</p><p><strong>Case presentation: </strong>A 28-year-old female with no significant past medical history presented with bilateral palpebral edema for 10 days and blurred vision for 3 days. Optical coherence tomography demonstrated subretinal fluid in both eyes; fluorescein angiography revealed multiple hyperfluorescent spots with late leakage and pooling. Extensive serological and systemic examinations showed a slight decrease in serum albumin level with no other notable abnormalities. With the suspected diagnosis of Vogt-Koyanagi-Harada disease, the patient received high-dose intravenous corticosteroid therapy without any improvement. However, significant clinical improvement was achieved after albumin supplementation and corticosteroid dose tapering. The decrease in albumin levels in this patient was ultimately found to be due to protein-losing enteropathy (PLE) caused by SLE.</p><p><strong>Conclusions: </strong>This case presented a rare cause of bilateral SRD associated with hypoalbuminemia induced by SLE-related PLE. The report revealed that ocular involvements such as palpebral edema and SRD can be the initial manifestations of SLE rather than common lupus retinopathy. It emphasized the values of ocular manifestations as a clue for prompt diagnosis and management of systemic conditions.</p>\",\"PeriodicalId\":9635,\"journal\":{\"name\":\"Case Reports in Ophthalmology\",\"volume\":\"16 1\",\"pages\":\"48-56\"},\"PeriodicalIF\":0.6000,\"publicationDate\":\"2024-12-11\",\"publicationTypes\":\"Journal Article\",\"fieldsOfStudy\":null,\"isOpenAccess\":false,\"openAccessPdf\":\"https://www.ncbi.nlm.nih.gov/pmc/articles/PMC11842062/pdf/\",\"citationCount\":\"0\",\"resultStr\":null,\"platform\":\"Semanticscholar\",\"paperid\":null,\"PeriodicalName\":\"Case Reports in Ophthalmology\",\"FirstCategoryId\":\"1085\",\"ListUrlMain\":\"https://doi.org/10.1159/000543005\",\"RegionNum\":0,\"RegionCategory\":null,\"ArticlePicture\":[],\"TitleCN\":null,\"AbstractTextCN\":null,\"PMCID\":null,\"EPubDate\":\"2025/1/1 0:00:00\",\"PubModel\":\"eCollection\",\"JCR\":\"Q4\",\"JCRName\":\"OPHTHALMOLOGY\",\"Score\":null,\"Total\":0}","platform":"Semanticscholar","paperid":null,"PeriodicalName":"Case Reports in Ophthalmology","FirstCategoryId":"1085","ListUrlMain":"https://doi.org/10.1159/000543005","RegionNum":0,"RegionCategory":null,"ArticlePicture":[],"TitleCN":null,"AbstractTextCN":null,"PMCID":null,"EPubDate":"2025/1/1 0:00:00","PubModel":"eCollection","JCR":"Q4","JCRName":"OPHTHALMOLOGY","Score":null,"Total":0}
引用次数: 0

摘要

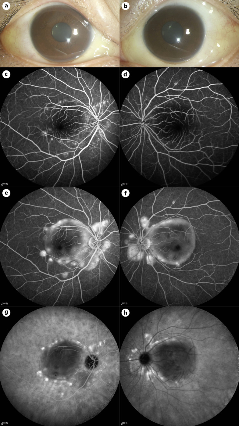
浆液性视网膜脱离(SRD)有多种病因,低白蛋白血症是其中一种罕见的病因。我们报告一例双侧SRD归因于血清白蛋白水平下降引起的系统性红斑狼疮(SLE)。病例介绍:28岁女性,无明显既往病史,双侧眼睑水肿10天,视力模糊3天。光学相干断层扫描显示双眼视网膜下积液;荧光素血管造影显示多个高荧光斑点,伴晚期渗漏和池化。广泛的血清学和全身检查显示血清白蛋白水平轻微下降,无其他明显异常。由于怀疑诊断为Vogt-Koyanagi-Harada病,患者接受了大剂量静脉注射皮质类固醇治疗,但没有任何改善。然而,在白蛋白补充和皮质类固醇剂量逐渐减少后,取得了显著的临床改善。该患者的白蛋白水平下降最终被发现是由于SLE引起的蛋白质丢失性肠病(PLE)。结论:该病例是一种罕见的双侧SRD伴slee相关PLE所致低白蛋白血症的病例。报告显示,眼部受累,如眼睑水肿和SRD可能是SLE的初始表现,而不是常见的狼疮视网膜病变。它强调了眼部表现作为及时诊断和处理系统性疾病的线索的价值。
本文章由计算机程序翻译,如有差异,请以英文原文为准。

Bilateral Serous Retinal Detachment as an Initial Manifestation of Systemic Lupus Erythematosus due to Hypoalbuminemia: A Case Report.

Bilateral Serous Retinal Detachment as an Initial Manifestation of Systemic Lupus Erythematosus due to Hypoalbuminemia: A Case Report.

Bilateral Serous Retinal Detachment as an Initial Manifestation of Systemic Lupus Erythematosus due to Hypoalbuminemia: A Case Report.

Bilateral Serous Retinal Detachment as an Initial Manifestation of Systemic Lupus Erythematosus due to Hypoalbuminemia: A Case Report.

Introduction: There are diverse etiologies of serous retinal detachment (SRD), and hypoalbuminemia is one of the rare causes of it. We report a case of bilateral SRD attributed to decreased serum albumin level caused by systemic lupus erythematosus (SLE).

Case presentation: A 28-year-old female with no significant past medical history presented with bilateral palpebral edema for 10 days and blurred vision for 3 days. Optical coherence tomography demonstrated subretinal fluid in both eyes; fluorescein angiography revealed multiple hyperfluorescent spots with late leakage and pooling. Extensive serological and systemic examinations showed a slight decrease in serum albumin level with no other notable abnormalities. With the suspected diagnosis of Vogt-Koyanagi-Harada disease, the patient received high-dose intravenous corticosteroid therapy without any improvement. However, significant clinical improvement was achieved after albumin supplementation and corticosteroid dose tapering. The decrease in albumin levels in this patient was ultimately found to be due to protein-losing enteropathy (PLE) caused by SLE.

Conclusions: This case presented a rare cause of bilateral SRD associated with hypoalbuminemia induced by SLE-related PLE. The report revealed that ocular involvements such as palpebral edema and SRD can be the initial manifestations of SLE rather than common lupus retinopathy. It emphasized the values of ocular manifestations as a clue for prompt diagnosis and management of systemic conditions.

求助全文
通过发布文献求助,成功后即可免费获取论文全文。 去求助
来源期刊
CiteScore
0.90
自引率
0.00%
发文量
129
审稿时长
12 weeks
期刊介绍: This peer-reviewed online-only journal publishes original case reports covering the entire spectrum of ophthalmology, including prevention, diagnosis, treatment, toxicities of therapy, supportive care, quality-of-life, and survivorship issues. The submission of negative results is strongly encouraged. The journal will also accept case reports dealing with the use of novel technologies, both in the arena of diagnosis and treatment. Supplementary material is welcomed. The intent of the journal is to provide clinicians and researchers with a tool to disseminate their personal experiences to a wider public as well as to review interesting cases encountered by colleagues all over the world. Universally used terms can be searched across the entire growing collection of case reports, further facilitating the retrieval of specific information. Following the open access principle, the entire contents can be retrieved at no charge, guaranteeing easy access to this valuable source of anecdotal information at all times.
×
引用
GB/T 7714-2015
复制
MLA
复制
APA
复制
导出至
BibTeX EndNote RefMan NoteFirst NoteExpress
×
提示
您的信息不完整,为了账户安全,请先补充。
现在去补充
×
提示
您因"违规操作"
具体请查看互助需知
我知道了
×
提示
确定
请完成安全验证×
copy
已复制链接
快去分享给好友吧!
我知道了
右上角分享
点击右上角分享
0
联系我们:info@booksci.cn Book学术提供免费学术资源搜索服务,方便国内外学者检索中英文文献。致力于提供最便捷和优质的服务体验。 Copyright © 2023 布克学术 All rights reserved.
京ICP备2023020795号-1
ghs 京公网安备 11010802042870号
Book学术文献互助
Book学术文献互助群
群 号:604180095
Book学术官方微信