一种新的COL11A1突变的不寻常视网膜表现:一例报告。

IF 0.6 Q4 OPHTHALMOLOGY
Case Reports in Ophthalmology Pub Date : 2025-01-10 eCollection Date: 2025-01-01 DOI:10.1159/000542708
Tobias Peschaut, Monja Michelitsch, Martina Brandner, Sandra Kamper, Lisa Ofner-Ziegenfuss, Jasmin Blatterer, Heidelis Anna Tichy, Laura Posch-Pertl
{"title":"一种新的COL11A1突变的不寻常视网膜表现:一例报告。","authors":"Tobias Peschaut, Monja Michelitsch, Martina Brandner, Sandra Kamper, Lisa Ofner-Ziegenfuss, Jasmin Blatterer, Heidelis Anna Tichy, Laura Posch-Pertl","doi":"10.1159/000542708","DOIUrl":null,"url":null,"abstract":"<p><strong>Introduction: </strong>Stickler syndrome is a rare collagenopathy, caused by mutations in various genes coding for fibrillar collagens II, IX, and XI. The disorder can be subdivided into different groups, depending on the genes affected and clinical features found in patients. Ocular symptoms, such as high myopia, retinal detachments, or anomalies in the vitreous, are present in most forms of Stickler syndrome. In this case report, we present a patient with an unusual retinal phenotype.</p><p><strong>Case presentation: </strong>Subject of this case report is a 33-year-old woman, who was examined at the Department of Ophthalmology at Medical University of Graz. A thorough ophthalmological examination was conducted, detailed medical and family history acquired, and genetic testing performed. Best corrected visual acuity was 20/20 on both eyes; however, impaired binocular vision associated with intermittent exotropia was found. Furthermore, dilated fundoscopy showed an unusual, hypopigmented spotted retinal phenotype. Fundus autofluorescence showed multiple hyperfluorescent spots corresponding with the spotted retinal appearance. Genetic testing revealed a novel variant in the gene <i>COL11A1</i>. No other ocular abnormalities which are associated with <i>COL11A1</i> were found.</p><p><strong>Conclusion: </strong>Several subtypes of Stickler syndrome have been reported in medical literature, greatly varying in clinical manifestations. Many different mutations in the gene <i>COL11A1</i> have been discovered and are typically associated with Stickler syndrome type 2. To our best knowledge, this is the first report of a patient with a mutation in the <i>COL11A1</i> gene presenting with a hypopigmented spotted retina.</p>","PeriodicalId":9635,"journal":{"name":"Case Reports in Ophthalmology","volume":"16 1","pages":"62-67"},"PeriodicalIF":0.6000,"publicationDate":"2025-01-10","publicationTypes":"Journal Article","fieldsOfStudy":null,"isOpenAccess":false,"openAccessPdf":"https://www.ncbi.nlm.nih.gov/pmc/articles/PMC11842027/pdf/","citationCount":"0","resultStr":"{\"title\":\"An Unusual Retinal Presentation of a Novel <i>COL11A1</i> Mutation: A Case Report.\",\"authors\":\"Tobias Peschaut, Monja Michelitsch, Martina Brandner, Sandra Kamper, Lisa Ofner-Ziegenfuss, Jasmin Blatterer, Heidelis Anna Tichy, Laura Posch-Pertl\",\"doi\":\"10.1159/000542708\",\"DOIUrl\":null,\"url\":null,\"abstract\":\"<p><strong>Introduction: </strong>Stickler syndrome is a rare collagenopathy, caused by mutations in various genes coding for fibrillar collagens II, IX, and XI. The disorder can be subdivided into different groups, depending on the genes affected and clinical features found in patients. Ocular symptoms, such as high myopia, retinal detachments, or anomalies in the vitreous, are present in most forms of Stickler syndrome. In this case report, we present a patient with an unusual retinal phenotype.</p><p><strong>Case presentation: </strong>Subject of this case report is a 33-year-old woman, who was examined at the Department of Ophthalmology at Medical University of Graz. A thorough ophthalmological examination was conducted, detailed medical and family history acquired, and genetic testing performed. Best corrected visual acuity was 20/20 on both eyes; however, impaired binocular vision associated with intermittent exotropia was found. Furthermore, dilated fundoscopy showed an unusual, hypopigmented spotted retinal phenotype. Fundus autofluorescence showed multiple hyperfluorescent spots corresponding with the spotted retinal appearance. Genetic testing revealed a novel variant in the gene <i>COL11A1</i>. No other ocular abnormalities which are associated with <i>COL11A1</i> were found.</p><p><strong>Conclusion: </strong>Several subtypes of Stickler syndrome have been reported in medical literature, greatly varying in clinical manifestations. Many different mutations in the gene <i>COL11A1</i> have been discovered and are typically associated with Stickler syndrome type 2. To our best knowledge, this is the first report of a patient with a mutation in the <i>COL11A1</i> gene presenting with a hypopigmented spotted retina.</p>\",\"PeriodicalId\":9635,\"journal\":{\"name\":\"Case Reports in Ophthalmology\",\"volume\":\"16 1\",\"pages\":\"62-67\"},\"PeriodicalIF\":0.6000,\"publicationDate\":\"2025-01-10\",\"publicationTypes\":\"Journal Article\",\"fieldsOfStudy\":null,\"isOpenAccess\":false,\"openAccessPdf\":\"https://www.ncbi.nlm.nih.gov/pmc/articles/PMC11842027/pdf/\",\"citationCount\":\"0\",\"resultStr\":null,\"platform\":\"Semanticscholar\",\"paperid\":null,\"PeriodicalName\":\"Case Reports in Ophthalmology\",\"FirstCategoryId\":\"1085\",\"ListUrlMain\":\"https://doi.org/10.1159/000542708\",\"RegionNum\":0,\"RegionCategory\":null,\"ArticlePicture\":[],\"TitleCN\":null,\"AbstractTextCN\":null,\"PMCID\":null,\"EPubDate\":\"2025/1/1 0:00:00\",\"PubModel\":\"eCollection\",\"JCR\":\"Q4\",\"JCRName\":\"OPHTHALMOLOGY\",\"Score\":null,\"Total\":0}","platform":"Semanticscholar","paperid":null,"PeriodicalName":"Case Reports in Ophthalmology","FirstCategoryId":"1085","ListUrlMain":"https://doi.org/10.1159/000542708","RegionNum":0,"RegionCategory":null,"ArticlePicture":[],"TitleCN":null,"AbstractTextCN":null,"PMCID":null,"EPubDate":"2025/1/1 0:00:00","PubModel":"eCollection","JCR":"Q4","JCRName":"OPHTHALMOLOGY","Score":null,"Total":0}
引用次数: 0

摘要

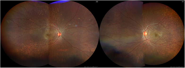
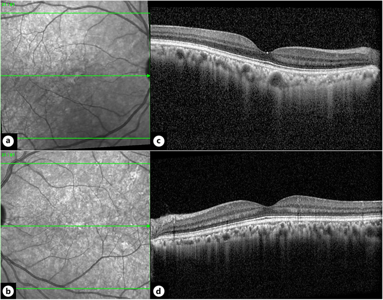
简介:Stickler综合征是一种罕见的胶原病,由编码纤维状胶原II、IX和XI的各种基因突变引起。根据受影响的基因和患者的临床特征,这种疾病可以细分为不同的群体。眼部症状,如高度近视,视网膜脱离,或玻璃体异常,存在于大多数形式的Stickler综合征。在这个病例报告中,我们提出了一个不寻常的视网膜表型的病人。病例介绍:本病例报告的对象是一名33岁的女性,她在格拉茨医科大学眼科接受了检查。进行了彻底的眼科检查,获得了详细的病史和家族史,并进行了基因检测。双眼最佳矫正视力为20/20;然而,发现双眼视力受损与间歇性外斜视有关。此外,扩大眼底镜显示一个不寻常的,低色素斑点视网膜表型。眼底自身荧光显示多发高荧光斑,与视网膜斑点相对应。基因检测显示COL11A1基因有一种新的变异。未发现其他与COL11A1相关的眼部异常。结论:医学文献报道了Stickler综合征的几个亚型,其临床表现差异很大。在COL11A1基因中发现了许多不同的突变,这些突变通常与2型Stickler综合征有关。据我们所知,这是首例COL11A1基因突变患者出现视网膜色素沉着斑点的报告。
本文章由计算机程序翻译,如有差异,请以英文原文为准。

An Unusual Retinal Presentation of a Novel <i>COL11A1</i> Mutation: A Case Report.

An Unusual Retinal Presentation of a Novel <i>COL11A1</i> Mutation: A Case Report.

An Unusual Retinal Presentation of a Novel <i>COL11A1</i> Mutation: A Case Report.

An Unusual Retinal Presentation of a Novel COL11A1 Mutation: A Case Report.

Introduction: Stickler syndrome is a rare collagenopathy, caused by mutations in various genes coding for fibrillar collagens II, IX, and XI. The disorder can be subdivided into different groups, depending on the genes affected and clinical features found in patients. Ocular symptoms, such as high myopia, retinal detachments, or anomalies in the vitreous, are present in most forms of Stickler syndrome. In this case report, we present a patient with an unusual retinal phenotype.

Case presentation: Subject of this case report is a 33-year-old woman, who was examined at the Department of Ophthalmology at Medical University of Graz. A thorough ophthalmological examination was conducted, detailed medical and family history acquired, and genetic testing performed. Best corrected visual acuity was 20/20 on both eyes; however, impaired binocular vision associated with intermittent exotropia was found. Furthermore, dilated fundoscopy showed an unusual, hypopigmented spotted retinal phenotype. Fundus autofluorescence showed multiple hyperfluorescent spots corresponding with the spotted retinal appearance. Genetic testing revealed a novel variant in the gene COL11A1. No other ocular abnormalities which are associated with COL11A1 were found.

Conclusion: Several subtypes of Stickler syndrome have been reported in medical literature, greatly varying in clinical manifestations. Many different mutations in the gene COL11A1 have been discovered and are typically associated with Stickler syndrome type 2. To our best knowledge, this is the first report of a patient with a mutation in the COL11A1 gene presenting with a hypopigmented spotted retina.

求助全文
通过发布文献求助,成功后即可免费获取论文全文。 去求助
来源期刊
CiteScore
0.90
自引率
0.00%
发文量
129
审稿时长
12 weeks
期刊介绍: This peer-reviewed online-only journal publishes original case reports covering the entire spectrum of ophthalmology, including prevention, diagnosis, treatment, toxicities of therapy, supportive care, quality-of-life, and survivorship issues. The submission of negative results is strongly encouraged. The journal will also accept case reports dealing with the use of novel technologies, both in the arena of diagnosis and treatment. Supplementary material is welcomed. The intent of the journal is to provide clinicians and researchers with a tool to disseminate their personal experiences to a wider public as well as to review interesting cases encountered by colleagues all over the world. Universally used terms can be searched across the entire growing collection of case reports, further facilitating the retrieval of specific information. Following the open access principle, the entire contents can be retrieved at no charge, guaranteeing easy access to this valuable source of anecdotal information at all times.
×
引用
GB/T 7714-2015
复制
MLA
复制
APA
复制
导出至
BibTeX EndNote RefMan NoteFirst NoteExpress
×
提示
您的信息不完整,为了账户安全,请先补充。
现在去补充
×
提示
您因"违规操作"
具体请查看互助需知
我知道了
×
提示
确定
请完成安全验证×
copy
已复制链接
快去分享给好友吧!
我知道了
右上角分享
点击右上角分享
0
联系我们:info@booksci.cn Book学术提供免费学术资源搜索服务,方便国内外学者检索中英文文献。致力于提供最便捷和优质的服务体验。 Copyright © 2023 布克学术 All rights reserved.
京ICP备2023020795号-1
ghs 京公网安备 11010802042870号
Book学术文献互助
Book学术文献互助群
群 号:604180095
Book学术官方微信