无视神经强化的急性髓鞘少突胶质细胞糖蛋白igg视神经炎。

IF 0.6 Q4 OPHTHALMOLOGY
Case Reports in Ophthalmology Pub Date : 2024-12-03 eCollection Date: 2025-01-01 DOI:10.1159/000542889
Bava Jeyanathan, Jonathan Micieli
{"title":"无视神经强化的急性髓鞘少突胶质细胞糖蛋白igg视神经炎。","authors":"Bava Jeyanathan, Jonathan Micieli","doi":"10.1159/000542889","DOIUrl":null,"url":null,"abstract":"<p><strong>Introduction: </strong>Optic neuritis (ON) is a common neuro-ophthalmological condition and remains a significant indicator of inflammatory conditions affecting the central nervous system. Varying etiologies exist for ON including multiple sclerosis, NMOSD, and MOGAD. Differential diagnosis is achieved using both radiological and serological testing. MRI characteristics of MOG-ON include T2 hypersensitive lesions, nerve swelling, and gadolinium enhancement of the affected optic nerve. While acute MOG-ON usually presents with optic nerve enhancement, recognizing atypical presentations is critical in accurate diagnosis and effective management.</p><p><strong>Case presentation: </strong>We herein present a case of a 67-year-old woman presenting with sudden decrease in vision in the right eye. The patient underwent a 3T MRI of the orbits and brain 5 days post vision loss which returned normal right optic nerve appearance at presentation (no edema, enhancement or increased T2 signal). Further serological testing of the MOG antibody returned positive (1:100) while APQ4 antibodies were negative. This yielded a diagnosis of MOG-IgG-ON. Subsequently, the patient was treated with IV methylprednisolone 1 g daily for 5 days followed by prednisone 1 mg/kg, resulting in marked improvement in vision.</p><p><strong>Conclusion: </strong>This case highlights the complexity involved in diagnosing ON, especially in the context of MOGAD. Absence of optic nerve enhancement in this patient calls attention to the possibility of subclinical inflammation and/or detectable enhancement later in clinical course. Our findings, along with existing literature, highlight the need for clinicians to consider atypical MRI presentations in MOG-ON cases. Recognizing that normal MRI does not exclude MOG-ON is important for optimizing diagnostic accuracy and effective treatment interventions.</p>","PeriodicalId":9635,"journal":{"name":"Case Reports in Ophthalmology","volume":"16 1","pages":"7-11"},"PeriodicalIF":0.6000,"publicationDate":"2024-12-03","publicationTypes":"Journal Article","fieldsOfStudy":null,"isOpenAccess":false,"openAccessPdf":"https://www.ncbi.nlm.nih.gov/pmc/articles/PMC11703545/pdf/","citationCount":"0","resultStr":"{\"title\":\"Acute Myelin Oligodendrocyte Glycoprotein-IgG Optic Neuritis without Optic Nerve Enhancement.\",\"authors\":\"Bava Jeyanathan, Jonathan Micieli\",\"doi\":\"10.1159/000542889\",\"DOIUrl\":null,\"url\":null,\"abstract\":\"<p><strong>Introduction: </strong>Optic neuritis (ON) is a common neuro-ophthalmological condition and remains a significant indicator of inflammatory conditions affecting the central nervous system. Varying etiologies exist for ON including multiple sclerosis, NMOSD, and MOGAD. Differential diagnosis is achieved using both radiological and serological testing. MRI characteristics of MOG-ON include T2 hypersensitive lesions, nerve swelling, and gadolinium enhancement of the affected optic nerve. While acute MOG-ON usually presents with optic nerve enhancement, recognizing atypical presentations is critical in accurate diagnosis and effective management.</p><p><strong>Case presentation: </strong>We herein present a case of a 67-year-old woman presenting with sudden decrease in vision in the right eye. The patient underwent a 3T MRI of the orbits and brain 5 days post vision loss which returned normal right optic nerve appearance at presentation (no edema, enhancement or increased T2 signal). Further serological testing of the MOG antibody returned positive (1:100) while APQ4 antibodies were negative. This yielded a diagnosis of MOG-IgG-ON. Subsequently, the patient was treated with IV methylprednisolone 1 g daily for 5 days followed by prednisone 1 mg/kg, resulting in marked improvement in vision.</p><p><strong>Conclusion: </strong>This case highlights the complexity involved in diagnosing ON, especially in the context of MOGAD. Absence of optic nerve enhancement in this patient calls attention to the possibility of subclinical inflammation and/or detectable enhancement later in clinical course. Our findings, along with existing literature, highlight the need for clinicians to consider atypical MRI presentations in MOG-ON cases. Recognizing that normal MRI does not exclude MOG-ON is important for optimizing diagnostic accuracy and effective treatment interventions.</p>\",\"PeriodicalId\":9635,\"journal\":{\"name\":\"Case Reports in Ophthalmology\",\"volume\":\"16 1\",\"pages\":\"7-11\"},\"PeriodicalIF\":0.6000,\"publicationDate\":\"2024-12-03\",\"publicationTypes\":\"Journal Article\",\"fieldsOfStudy\":null,\"isOpenAccess\":false,\"openAccessPdf\":\"https://www.ncbi.nlm.nih.gov/pmc/articles/PMC11703545/pdf/\",\"citationCount\":\"0\",\"resultStr\":null,\"platform\":\"Semanticscholar\",\"paperid\":null,\"PeriodicalName\":\"Case Reports in Ophthalmology\",\"FirstCategoryId\":\"1085\",\"ListUrlMain\":\"https://doi.org/10.1159/000542889\",\"RegionNum\":0,\"RegionCategory\":null,\"ArticlePicture\":[],\"TitleCN\":null,\"AbstractTextCN\":null,\"PMCID\":null,\"EPubDate\":\"2025/1/1 0:00:00\",\"PubModel\":\"eCollection\",\"JCR\":\"Q4\",\"JCRName\":\"OPHTHALMOLOGY\",\"Score\":null,\"Total\":0}","platform":"Semanticscholar","paperid":null,"PeriodicalName":"Case Reports in Ophthalmology","FirstCategoryId":"1085","ListUrlMain":"https://doi.org/10.1159/000542889","RegionNum":0,"RegionCategory":null,"ArticlePicture":[],"TitleCN":null,"AbstractTextCN":null,"PMCID":null,"EPubDate":"2025/1/1 0:00:00","PubModel":"eCollection","JCR":"Q4","JCRName":"OPHTHALMOLOGY","Score":null,"Total":0}
引用次数: 0

摘要

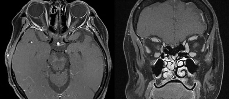
视神经炎(ON)是一种常见的神经眼科疾病,是影响中枢神经系统炎症的重要指标。ON的病因多种多样,包括多发性硬化症、NMOSD和MOGAD。鉴别诊断是通过放射学和血清学检测来实现的。MOG-ON的MRI特征包括T2超敏病变、神经肿胀、受累视神经钆增强。虽然急性MOG-ON通常表现为视神经增强,但识别非典型表现对于准确诊断和有效治疗至关重要。病例介绍:我们在此报告一位67岁的女性,表现为右眼视力突然下降。患者在视力丧失后5天接受了眼眶和脑部的3T MRI检查,显示右侧视神经外观恢复正常(无水肿、增强或T2信号增加)。进一步血清学检测MOG抗体呈阳性(1:100),而APQ4抗体呈阴性。结果诊断为MOG-IgG-ON。随后,患者静脉注射甲基强的松1 g/ d,连续5天,随后注射强的松1 mg/kg,视力明显改善。结论:本病例突出了诊断ON的复杂性,特别是在MOGAD的背景下。该患者视神经强化缺失提示在临床过程中可能出现亚临床炎症和/或可检测到的强化。我们的发现,连同现有的文献,强调临床医生需要考虑MOG-ON病例的非典型MRI表现。认识到正常的MRI不排除MOG-ON对于优化诊断准确性和有效的治疗干预非常重要。
本文章由计算机程序翻译,如有差异,请以英文原文为准。

Acute Myelin Oligodendrocyte Glycoprotein-IgG Optic Neuritis without Optic Nerve Enhancement.

Acute Myelin Oligodendrocyte Glycoprotein-IgG Optic Neuritis without Optic Nerve Enhancement.

Introduction: Optic neuritis (ON) is a common neuro-ophthalmological condition and remains a significant indicator of inflammatory conditions affecting the central nervous system. Varying etiologies exist for ON including multiple sclerosis, NMOSD, and MOGAD. Differential diagnosis is achieved using both radiological and serological testing. MRI characteristics of MOG-ON include T2 hypersensitive lesions, nerve swelling, and gadolinium enhancement of the affected optic nerve. While acute MOG-ON usually presents with optic nerve enhancement, recognizing atypical presentations is critical in accurate diagnosis and effective management.

Case presentation: We herein present a case of a 67-year-old woman presenting with sudden decrease in vision in the right eye. The patient underwent a 3T MRI of the orbits and brain 5 days post vision loss which returned normal right optic nerve appearance at presentation (no edema, enhancement or increased T2 signal). Further serological testing of the MOG antibody returned positive (1:100) while APQ4 antibodies were negative. This yielded a diagnosis of MOG-IgG-ON. Subsequently, the patient was treated with IV methylprednisolone 1 g daily for 5 days followed by prednisone 1 mg/kg, resulting in marked improvement in vision.

Conclusion: This case highlights the complexity involved in diagnosing ON, especially in the context of MOGAD. Absence of optic nerve enhancement in this patient calls attention to the possibility of subclinical inflammation and/or detectable enhancement later in clinical course. Our findings, along with existing literature, highlight the need for clinicians to consider atypical MRI presentations in MOG-ON cases. Recognizing that normal MRI does not exclude MOG-ON is important for optimizing diagnostic accuracy and effective treatment interventions.

求助全文
通过发布文献求助,成功后即可免费获取论文全文。 去求助
来源期刊
CiteScore
0.90
自引率
0.00%
发文量
129
审稿时长
12 weeks
期刊介绍: This peer-reviewed online-only journal publishes original case reports covering the entire spectrum of ophthalmology, including prevention, diagnosis, treatment, toxicities of therapy, supportive care, quality-of-life, and survivorship issues. The submission of negative results is strongly encouraged. The journal will also accept case reports dealing with the use of novel technologies, both in the arena of diagnosis and treatment. Supplementary material is welcomed. The intent of the journal is to provide clinicians and researchers with a tool to disseminate their personal experiences to a wider public as well as to review interesting cases encountered by colleagues all over the world. Universally used terms can be searched across the entire growing collection of case reports, further facilitating the retrieval of specific information. Following the open access principle, the entire contents can be retrieved at no charge, guaranteeing easy access to this valuable source of anecdotal information at all times.
×
引用
GB/T 7714-2015
复制
MLA
复制
APA
复制
导出至
BibTeX EndNote RefMan NoteFirst NoteExpress
×
提示
您的信息不完整,为了账户安全,请先补充。
现在去补充
×
提示
您因"违规操作"
具体请查看互助需知
我知道了
×
提示
确定
请完成安全验证×
copy
已复制链接
快去分享给好友吧!
我知道了
右上角分享
点击右上角分享
0
联系我们:info@booksci.cn Book学术提供免费学术资源搜索服务,方便国内外学者检索中英文文献。致力于提供最便捷和优质的服务体验。 Copyright © 2023 布克学术 All rights reserved.
京ICP备2023020795号-1
ghs 京公网安备 11010802042870号
Book学术文献互助
Book学术文献互助群
群 号:604180095
Book学术官方微信