Leber遗传性视神经病变+ m.14487tbbb10c基因突变与半肌张力障碍的因果关系:1例报告。

IF 0.6 Q4 OPHTHALMOLOGY
Case Reports in Ophthalmology Pub Date : 2024-11-13 eCollection Date: 2024-01-01 DOI:10.1159/000542202
Fumio Takano, Kaori Ueda, Norio Chihara, Mina Arai, Mari Sakamoto, Takuji Kurimoto, Yuko Yamada-Nakanishi, Makoto Nakamura
{"title":"Leber遗传性视神经病变+ m.14487tbbb10c基因突变与半肌张力障碍的因果关系:1例报告。","authors":"Fumio Takano, Kaori Ueda, Norio Chihara, Mina Arai, Mari Sakamoto, Takuji Kurimoto, Yuko Yamada-Nakanishi, Makoto Nakamura","doi":"10.1159/000542202","DOIUrl":null,"url":null,"abstract":"<p><strong>Introduction: </strong>Leber hereditary optic neuropathy (LHON) complicated with extraocular symptoms is called LHON plus. We describe a case of LHON plus with a rare mutation, which also caused dystonia.</p><p><strong>Case presentation: </strong>An 18-year-old male patient developed symptoms of dystonia at the age of 15 years. Two years later, he noticed decreased visual acuity and central scotoma in the left eye. One month later, the same symptoms occurred in the right eye. Although the optic discs in both eyes revealed mildly redness and edematous change, no abnormal findings were detected on fluorescence fundus angiography and orbital magnetic resonance imaging. Mitochondrial deoxyribonucleic acid (mtDNA) sequencing detected the m.14487 T>C mutation. From clinical course and fundus findings, the case was diagnosed LHON. The optic nerve gradually atrophied and central scotoma remained.</p><p><strong>Conclusion: </strong>The m.14487 T>C mutation is one of the causative mutations in patients with dystonia or Leigh encephalopathy and a minor mutation in patients with LHON. However, in the present case, ocular symptoms were more severe than systematic symptoms and the disease course was consistent with LHON. For the above reasons, this case can be diagnosed as LHON plus. Whole mtDNA sequencing is important in diagnosing LHON if none of the three major mutations are detected.</p>","PeriodicalId":9635,"journal":{"name":"Case Reports in Ophthalmology","volume":"15 1","pages":"852-858"},"PeriodicalIF":0.6000,"publicationDate":"2024-11-13","publicationTypes":"Journal Article","fieldsOfStudy":null,"isOpenAccess":false,"openAccessPdf":"https://www.ncbi.nlm.nih.gov/pmc/articles/PMC11842009/pdf/","citationCount":"0","resultStr":"{\"title\":\"Leber Hereditary Optic Neuropathy \\\"Plus\\\" with the m.14487 T>C Mutation as the Causality of Hemidystonia: A Case Report.\",\"authors\":\"Fumio Takano, Kaori Ueda, Norio Chihara, Mina Arai, Mari Sakamoto, Takuji Kurimoto, Yuko Yamada-Nakanishi, Makoto Nakamura\",\"doi\":\"10.1159/000542202\",\"DOIUrl\":null,\"url\":null,\"abstract\":\"<p><strong>Introduction: </strong>Leber hereditary optic neuropathy (LHON) complicated with extraocular symptoms is called LHON plus. We describe a case of LHON plus with a rare mutation, which also caused dystonia.</p><p><strong>Case presentation: </strong>An 18-year-old male patient developed symptoms of dystonia at the age of 15 years. Two years later, he noticed decreased visual acuity and central scotoma in the left eye. One month later, the same symptoms occurred in the right eye. Although the optic discs in both eyes revealed mildly redness and edematous change, no abnormal findings were detected on fluorescence fundus angiography and orbital magnetic resonance imaging. Mitochondrial deoxyribonucleic acid (mtDNA) sequencing detected the m.14487 T>C mutation. From clinical course and fundus findings, the case was diagnosed LHON. The optic nerve gradually atrophied and central scotoma remained.</p><p><strong>Conclusion: </strong>The m.14487 T>C mutation is one of the causative mutations in patients with dystonia or Leigh encephalopathy and a minor mutation in patients with LHON. However, in the present case, ocular symptoms were more severe than systematic symptoms and the disease course was consistent with LHON. For the above reasons, this case can be diagnosed as LHON plus. Whole mtDNA sequencing is important in diagnosing LHON if none of the three major mutations are detected.</p>\",\"PeriodicalId\":9635,\"journal\":{\"name\":\"Case Reports in Ophthalmology\",\"volume\":\"15 1\",\"pages\":\"852-858\"},\"PeriodicalIF\":0.6000,\"publicationDate\":\"2024-11-13\",\"publicationTypes\":\"Journal Article\",\"fieldsOfStudy\":null,\"isOpenAccess\":false,\"openAccessPdf\":\"https://www.ncbi.nlm.nih.gov/pmc/articles/PMC11842009/pdf/\",\"citationCount\":\"0\",\"resultStr\":null,\"platform\":\"Semanticscholar\",\"paperid\":null,\"PeriodicalName\":\"Case Reports in Ophthalmology\",\"FirstCategoryId\":\"1085\",\"ListUrlMain\":\"https://doi.org/10.1159/000542202\",\"RegionNum\":0,\"RegionCategory\":null,\"ArticlePicture\":[],\"TitleCN\":null,\"AbstractTextCN\":null,\"PMCID\":null,\"EPubDate\":\"2024/1/1 0:00:00\",\"PubModel\":\"eCollection\",\"JCR\":\"Q4\",\"JCRName\":\"OPHTHALMOLOGY\",\"Score\":null,\"Total\":0}","platform":"Semanticscholar","paperid":null,"PeriodicalName":"Case Reports in Ophthalmology","FirstCategoryId":"1085","ListUrlMain":"https://doi.org/10.1159/000542202","RegionNum":0,"RegionCategory":null,"ArticlePicture":[],"TitleCN":null,"AbstractTextCN":null,"PMCID":null,"EPubDate":"2024/1/1 0:00:00","PubModel":"eCollection","JCR":"Q4","JCRName":"OPHTHALMOLOGY","Score":null,"Total":0}
引用次数: 0

摘要

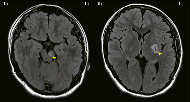
Leber遗传性视神经病变(LHON)合并眼外症状被称为LHON +。我们描述了一例LHON加上一个罕见的突变,这也引起肌张力障碍。病例介绍:一名18岁男性患者在15岁时出现肌张力障碍症状。两年后,他发现视力下降,左眼出现中央暗斑。一个月后,右眼出现了同样的症状。两眼视盘虽有轻度红肿变化,但荧光眼底血管造影及眼眶磁共振未见异常。线粒体脱氧核糖核酸(mtDNA)测序检测到m.14487T > C突变。根据临床病程及眼底表现,诊断为LHON。视神经逐渐萎缩,中心暗瘤残留。结论:m.14487tbbbbc突变是肌张力障碍或Leigh脑病患者的致病突变之一,在LHON患者中是一个次要突变。然而,在本病例中,眼部症状比全身症状更严重,病程与LHON一致。基于以上原因,本病例可诊断为LHON +。如果没有检测到三种主要突变,则全mtDNA测序对诊断LHON很重要。
本文章由计算机程序翻译,如有差异,请以英文原文为准。

Leber Hereditary Optic Neuropathy "Plus" with the m.14487 T>C Mutation as the Causality of Hemidystonia: A Case Report.

Leber Hereditary Optic Neuropathy "Plus" with the m.14487 T>C Mutation as the Causality of Hemidystonia: A Case Report.

Leber Hereditary Optic Neuropathy "Plus" with the m.14487 T>C Mutation as the Causality of Hemidystonia: A Case Report.

Leber Hereditary Optic Neuropathy "Plus" with the m.14487 T>C Mutation as the Causality of Hemidystonia: A Case Report.

Introduction: Leber hereditary optic neuropathy (LHON) complicated with extraocular symptoms is called LHON plus. We describe a case of LHON plus with a rare mutation, which also caused dystonia.

Case presentation: An 18-year-old male patient developed symptoms of dystonia at the age of 15 years. Two years later, he noticed decreased visual acuity and central scotoma in the left eye. One month later, the same symptoms occurred in the right eye. Although the optic discs in both eyes revealed mildly redness and edematous change, no abnormal findings were detected on fluorescence fundus angiography and orbital magnetic resonance imaging. Mitochondrial deoxyribonucleic acid (mtDNA) sequencing detected the m.14487 T>C mutation. From clinical course and fundus findings, the case was diagnosed LHON. The optic nerve gradually atrophied and central scotoma remained.

Conclusion: The m.14487 T>C mutation is one of the causative mutations in patients with dystonia or Leigh encephalopathy and a minor mutation in patients with LHON. However, in the present case, ocular symptoms were more severe than systematic symptoms and the disease course was consistent with LHON. For the above reasons, this case can be diagnosed as LHON plus. Whole mtDNA sequencing is important in diagnosing LHON if none of the three major mutations are detected.

求助全文
通过发布文献求助,成功后即可免费获取论文全文。 去求助
来源期刊
CiteScore
0.90
自引率
0.00%
发文量
129
审稿时长
12 weeks
期刊介绍: This peer-reviewed online-only journal publishes original case reports covering the entire spectrum of ophthalmology, including prevention, diagnosis, treatment, toxicities of therapy, supportive care, quality-of-life, and survivorship issues. The submission of negative results is strongly encouraged. The journal will also accept case reports dealing with the use of novel technologies, both in the arena of diagnosis and treatment. Supplementary material is welcomed. The intent of the journal is to provide clinicians and researchers with a tool to disseminate their personal experiences to a wider public as well as to review interesting cases encountered by colleagues all over the world. Universally used terms can be searched across the entire growing collection of case reports, further facilitating the retrieval of specific information. Following the open access principle, the entire contents can be retrieved at no charge, guaranteeing easy access to this valuable source of anecdotal information at all times.
×
引用
GB/T 7714-2015
复制
MLA
复制
APA
复制
导出至
BibTeX EndNote RefMan NoteFirst NoteExpress
×
提示
您的信息不完整,为了账户安全,请先补充。
现在去补充
×
提示
您因"违规操作"
具体请查看互助需知
我知道了
×
提示
确定
请完成安全验证×
copy
已复制链接
快去分享给好友吧!
我知道了
右上角分享
点击右上角分享
0
联系我们:info@booksci.cn Book学术提供免费学术资源搜索服务,方便国内外学者检索中英文文献。致力于提供最便捷和优质的服务体验。 Copyright © 2023 布克学术 All rights reserved.
京ICP备2023020795号-1
ghs 京公网安备 11010802042870号
Book学术文献互助
Book学术文献互助群
群 号:604180095
Book学术官方微信