导水管狭窄合并双侧乳头水肿及外展神经麻痹无头痛1例。

IF 0.6 Q4 OPHTHALMOLOGY
Case Reports in Ophthalmology Pub Date : 2024-11-18 eCollection Date: 2024-01-01 DOI:10.1159/000542582
Daisuke Nakata, Hiroshi Okada, Takayuki Doi, Yoshiaki Shimada, Atsuhiro Tanikawa, Masayuki Horiguchi, Yasuki Ito
{"title":"导水管狭窄合并双侧乳头水肿及外展神经麻痹无头痛1例。","authors":"Daisuke Nakata, Hiroshi Okada, Takayuki Doi, Yoshiaki Shimada, Atsuhiro Tanikawa, Masayuki Horiguchi, Yasuki Ito","doi":"10.1159/000542582","DOIUrl":null,"url":null,"abstract":"<p><strong>Introduction: </strong>We report a case of aqueductal stenosis presenting with bilateral papilledema and diplopia, notably without headache.</p><p><strong>Case presentation: </strong>A 16-year-old girl with no relevant medical history presented with a 1-week history of binocular diplopia without any loss of visual acuity in either eye. At the time of her visit, she had no symptoms of headache or vomiting. Examination of eye movements revealed bilateral abduction deficits and fundoscopic examination showed bilateral optic disc swelling. Non-contrast computed tomography of the head indicated hydrocephalus. Contrast-enhanced magnetic resonance imaging of the head revealed significant dilatation of the lateral and third ventricles but not in the fourth ventricle. Sagittal T2-weighted imaging with constructive interference in the steady state showed membranous occlusion of the cerebral aqueduct. The patient underwent an endoscopic third ventriculostomy. Binocular diplopia improved during the early postoperative period.</p><p><strong>Conclusion: </strong>Aqueductal stenosis should be considered in the differential diagnosis for patients presenting with bilateral papilledema and abducens nerve palsies, even in the absence of headache or other neurological findings.</p>","PeriodicalId":9635,"journal":{"name":"Case Reports in Ophthalmology","volume":"15 1","pages":"873-878"},"PeriodicalIF":0.6000,"publicationDate":"2024-11-18","publicationTypes":"Journal Article","fieldsOfStudy":null,"isOpenAccess":false,"openAccessPdf":"https://www.ncbi.nlm.nih.gov/pmc/articles/PMC11842021/pdf/","citationCount":"0","resultStr":"{\"title\":\"A Case of Aqueductal Stenosis with Bilateral Papilledema and Abducens Nerve Palsies without Headache.\",\"authors\":\"Daisuke Nakata, Hiroshi Okada, Takayuki Doi, Yoshiaki Shimada, Atsuhiro Tanikawa, Masayuki Horiguchi, Yasuki Ito\",\"doi\":\"10.1159/000542582\",\"DOIUrl\":null,\"url\":null,\"abstract\":\"<p><strong>Introduction: </strong>We report a case of aqueductal stenosis presenting with bilateral papilledema and diplopia, notably without headache.</p><p><strong>Case presentation: </strong>A 16-year-old girl with no relevant medical history presented with a 1-week history of binocular diplopia without any loss of visual acuity in either eye. At the time of her visit, she had no symptoms of headache or vomiting. Examination of eye movements revealed bilateral abduction deficits and fundoscopic examination showed bilateral optic disc swelling. Non-contrast computed tomography of the head indicated hydrocephalus. Contrast-enhanced magnetic resonance imaging of the head revealed significant dilatation of the lateral and third ventricles but not in the fourth ventricle. Sagittal T2-weighted imaging with constructive interference in the steady state showed membranous occlusion of the cerebral aqueduct. The patient underwent an endoscopic third ventriculostomy. Binocular diplopia improved during the early postoperative period.</p><p><strong>Conclusion: </strong>Aqueductal stenosis should be considered in the differential diagnosis for patients presenting with bilateral papilledema and abducens nerve palsies, even in the absence of headache or other neurological findings.</p>\",\"PeriodicalId\":9635,\"journal\":{\"name\":\"Case Reports in Ophthalmology\",\"volume\":\"15 1\",\"pages\":\"873-878\"},\"PeriodicalIF\":0.6000,\"publicationDate\":\"2024-11-18\",\"publicationTypes\":\"Journal Article\",\"fieldsOfStudy\":null,\"isOpenAccess\":false,\"openAccessPdf\":\"https://www.ncbi.nlm.nih.gov/pmc/articles/PMC11842021/pdf/\",\"citationCount\":\"0\",\"resultStr\":null,\"platform\":\"Semanticscholar\",\"paperid\":null,\"PeriodicalName\":\"Case Reports in Ophthalmology\",\"FirstCategoryId\":\"1085\",\"ListUrlMain\":\"https://doi.org/10.1159/000542582\",\"RegionNum\":0,\"RegionCategory\":null,\"ArticlePicture\":[],\"TitleCN\":null,\"AbstractTextCN\":null,\"PMCID\":null,\"EPubDate\":\"2024/1/1 0:00:00\",\"PubModel\":\"eCollection\",\"JCR\":\"Q4\",\"JCRName\":\"OPHTHALMOLOGY\",\"Score\":null,\"Total\":0}","platform":"Semanticscholar","paperid":null,"PeriodicalName":"Case Reports in Ophthalmology","FirstCategoryId":"1085","ListUrlMain":"https://doi.org/10.1159/000542582","RegionNum":0,"RegionCategory":null,"ArticlePicture":[],"TitleCN":null,"AbstractTextCN":null,"PMCID":null,"EPubDate":"2024/1/1 0:00:00","PubModel":"eCollection","JCR":"Q4","JCRName":"OPHTHALMOLOGY","Score":null,"Total":0}
引用次数: 0

摘要

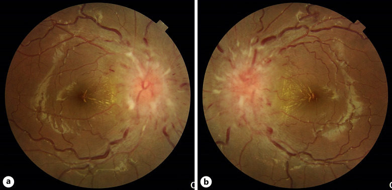
导言:我们报告一例导水管狭窄,表现为双侧乳头水肿和复视,特别没有头痛。病例介绍:16岁女孩,无相关病史,双眼复视1周,双眼无视力减退。在她就诊时,她没有头痛或呕吐的症状。眼球运动检查显示双侧外展缺陷,眼底检查显示双侧视盘肿胀。头部非对比ct显示脑积水。头部磁共振增强成像显示侧脑室和第三脑室明显扩张,但第四脑室无明显扩张。稳定状态下矢状t2加权成像显示脑导水管膜性闭塞。患者接受了内窥镜第三脑室切开术。术后早期双眼复视改善。结论:对于双侧乳头水肿和外展神经麻痹的患者,即使没有头痛或其他神经学表现,也应考虑输水管狭窄的鉴别诊断。
本文章由计算机程序翻译,如有差异,请以英文原文为准。

A Case of Aqueductal Stenosis with Bilateral Papilledema and Abducens Nerve Palsies without Headache.

A Case of Aqueductal Stenosis with Bilateral Papilledema and Abducens Nerve Palsies without Headache.

A Case of Aqueductal Stenosis with Bilateral Papilledema and Abducens Nerve Palsies without Headache.

A Case of Aqueductal Stenosis with Bilateral Papilledema and Abducens Nerve Palsies without Headache.

Introduction: We report a case of aqueductal stenosis presenting with bilateral papilledema and diplopia, notably without headache.

Case presentation: A 16-year-old girl with no relevant medical history presented with a 1-week history of binocular diplopia without any loss of visual acuity in either eye. At the time of her visit, she had no symptoms of headache or vomiting. Examination of eye movements revealed bilateral abduction deficits and fundoscopic examination showed bilateral optic disc swelling. Non-contrast computed tomography of the head indicated hydrocephalus. Contrast-enhanced magnetic resonance imaging of the head revealed significant dilatation of the lateral and third ventricles but not in the fourth ventricle. Sagittal T2-weighted imaging with constructive interference in the steady state showed membranous occlusion of the cerebral aqueduct. The patient underwent an endoscopic third ventriculostomy. Binocular diplopia improved during the early postoperative period.

Conclusion: Aqueductal stenosis should be considered in the differential diagnosis for patients presenting with bilateral papilledema and abducens nerve palsies, even in the absence of headache or other neurological findings.

求助全文
通过发布文献求助,成功后即可免费获取论文全文。 去求助
来源期刊
CiteScore
0.90
自引率
0.00%
发文量
129
审稿时长
12 weeks
期刊介绍: This peer-reviewed online-only journal publishes original case reports covering the entire spectrum of ophthalmology, including prevention, diagnosis, treatment, toxicities of therapy, supportive care, quality-of-life, and survivorship issues. The submission of negative results is strongly encouraged. The journal will also accept case reports dealing with the use of novel technologies, both in the arena of diagnosis and treatment. Supplementary material is welcomed. The intent of the journal is to provide clinicians and researchers with a tool to disseminate their personal experiences to a wider public as well as to review interesting cases encountered by colleagues all over the world. Universally used terms can be searched across the entire growing collection of case reports, further facilitating the retrieval of specific information. Following the open access principle, the entire contents can be retrieved at no charge, guaranteeing easy access to this valuable source of anecdotal information at all times.
×
引用
GB/T 7714-2015
复制
MLA
复制
APA
复制
导出至
BibTeX EndNote RefMan NoteFirst NoteExpress
×
提示
您的信息不完整,为了账户安全,请先补充。
现在去补充
×
提示
您因"违规操作"
具体请查看互助需知
我知道了
×
提示
确定
请完成安全验证×
copy
已复制链接
快去分享给好友吧!
我知道了
右上角分享
点击右上角分享
0
联系我们:info@booksci.cn Book学术提供免费学术资源搜索服务,方便国内外学者检索中英文文献。致力于提供最便捷和优质的服务体验。 Copyright © 2023 布克学术 All rights reserved.
京ICP备2023020795号-1
ghs 京公网安备 11010802042870号
Book学术文献互助
Book学术文献互助群
群 号:604180095
Book学术官方微信