胰十二指肠切除术后门静脉假性动脉瘤的血管内治疗:1例报告及文献复习。

IF 0.6 Q4 GASTROENTEROLOGY & HEPATOLOGY
Case Reports in Gastroenterology Pub Date : 2024-12-23 eCollection Date: 2025-01-01 DOI:10.1159/000542585
Jelmer E Oor, Eline Groeneweg, Gijs C Bloemsma, Reinoud P H Bokkers, Joost M Klaase
{"title":"胰十二指肠切除术后门静脉假性动脉瘤的血管内治疗:1例报告及文献复习。","authors":"Jelmer E Oor, Eline Groeneweg, Gijs C Bloemsma, Reinoud P H Bokkers, Joost M Klaase","doi":"10.1159/000542585","DOIUrl":null,"url":null,"abstract":"<p><strong>Introduction: </strong>Portal vein pseudoaneurysm is a rare but potential life-threatening complication following pancreatoduodenectomy. We herein report on the successful, minimally invasive treatment of this serious complication.</p><p><strong>Case presentation: </strong>A 68-year-old male patient who had undergone pancreatoduodenectomy with portal vein wedge resection at another facility presented to our department due to persistent bile leakage and intermittent bleeding. Abdominal computed tomography scanning demonstrated a large fluid collection surrounding the pancreatojejunostomy, with an occlusion of the common hepatic artery as well as a portal vein pseudoaneurysm. Treatment was performed by means of a minimally invasive approach, including endovascular portal vein stent placement and percutaneous transhepatic biliary drainage (PTBD) through the dehiscent hepaticojejunostomy. This was followed by the placement of a percutaneous pigtail in the peripancreatic fluid collection for adequate drainage. Antibiotics were administered for a total duration of 6 weeks following stent placement. In the subsequent weeks, the PTBD could be internalized and the pigtail removed, after which patient was discharged. During outpatient visits, a contrast injection through the PTBD confirmed the absence of bile leakage, after which the drain could be removed.</p><p><strong>Conclusion: </strong>This article presents one of the few published cases of portal vein pseudoaneurysm following pancreatoduodenectomy and underscores the vital role of minimally invasive endovascular stent and PTBD placement in managing this rare and potentially lethal complication.</p>","PeriodicalId":9614,"journal":{"name":"Case Reports in Gastroenterology","volume":"19 1","pages":"7-13"},"PeriodicalIF":0.6000,"publicationDate":"2024-12-23","publicationTypes":"Journal Article","fieldsOfStudy":null,"isOpenAccess":false,"openAccessPdf":"https://www.ncbi.nlm.nih.gov/pmc/articles/PMC11666264/pdf/","citationCount":"0","resultStr":"{\"title\":\"Endovascular Management of a Portal Vein Pseudoaneurysm following Pancreatoduodenectomy: A Case Report and Review of Literature.\",\"authors\":\"Jelmer E Oor, Eline Groeneweg, Gijs C Bloemsma, Reinoud P H Bokkers, Joost M Klaase\",\"doi\":\"10.1159/000542585\",\"DOIUrl\":null,\"url\":null,\"abstract\":\"<p><strong>Introduction: </strong>Portal vein pseudoaneurysm is a rare but potential life-threatening complication following pancreatoduodenectomy. We herein report on the successful, minimally invasive treatment of this serious complication.</p><p><strong>Case presentation: </strong>A 68-year-old male patient who had undergone pancreatoduodenectomy with portal vein wedge resection at another facility presented to our department due to persistent bile leakage and intermittent bleeding. Abdominal computed tomography scanning demonstrated a large fluid collection surrounding the pancreatojejunostomy, with an occlusion of the common hepatic artery as well as a portal vein pseudoaneurysm. Treatment was performed by means of a minimally invasive approach, including endovascular portal vein stent placement and percutaneous transhepatic biliary drainage (PTBD) through the dehiscent hepaticojejunostomy. This was followed by the placement of a percutaneous pigtail in the peripancreatic fluid collection for adequate drainage. Antibiotics were administered for a total duration of 6 weeks following stent placement. In the subsequent weeks, the PTBD could be internalized and the pigtail removed, after which patient was discharged. During outpatient visits, a contrast injection through the PTBD confirmed the absence of bile leakage, after which the drain could be removed.</p><p><strong>Conclusion: </strong>This article presents one of the few published cases of portal vein pseudoaneurysm following pancreatoduodenectomy and underscores the vital role of minimally invasive endovascular stent and PTBD placement in managing this rare and potentially lethal complication.</p>\",\"PeriodicalId\":9614,\"journal\":{\"name\":\"Case Reports in Gastroenterology\",\"volume\":\"19 1\",\"pages\":\"7-13\"},\"PeriodicalIF\":0.6000,\"publicationDate\":\"2024-12-23\",\"publicationTypes\":\"Journal Article\",\"fieldsOfStudy\":null,\"isOpenAccess\":false,\"openAccessPdf\":\"https://www.ncbi.nlm.nih.gov/pmc/articles/PMC11666264/pdf/\",\"citationCount\":\"0\",\"resultStr\":null,\"platform\":\"Semanticscholar\",\"paperid\":null,\"PeriodicalName\":\"Case Reports in Gastroenterology\",\"FirstCategoryId\":\"1085\",\"ListUrlMain\":\"https://doi.org/10.1159/000542585\",\"RegionNum\":0,\"RegionCategory\":null,\"ArticlePicture\":[],\"TitleCN\":null,\"AbstractTextCN\":null,\"PMCID\":null,\"EPubDate\":\"2025/1/1 0:00:00\",\"PubModel\":\"eCollection\",\"JCR\":\"Q4\",\"JCRName\":\"GASTROENTEROLOGY & HEPATOLOGY\",\"Score\":null,\"Total\":0}","platform":"Semanticscholar","paperid":null,"PeriodicalName":"Case Reports in Gastroenterology","FirstCategoryId":"1085","ListUrlMain":"https://doi.org/10.1159/000542585","RegionNum":0,"RegionCategory":null,"ArticlePicture":[],"TitleCN":null,"AbstractTextCN":null,"PMCID":null,"EPubDate":"2025/1/1 0:00:00","PubModel":"eCollection","JCR":"Q4","JCRName":"GASTROENTEROLOGY & HEPATOLOGY","Score":null,"Total":0}
引用次数: 0

摘要

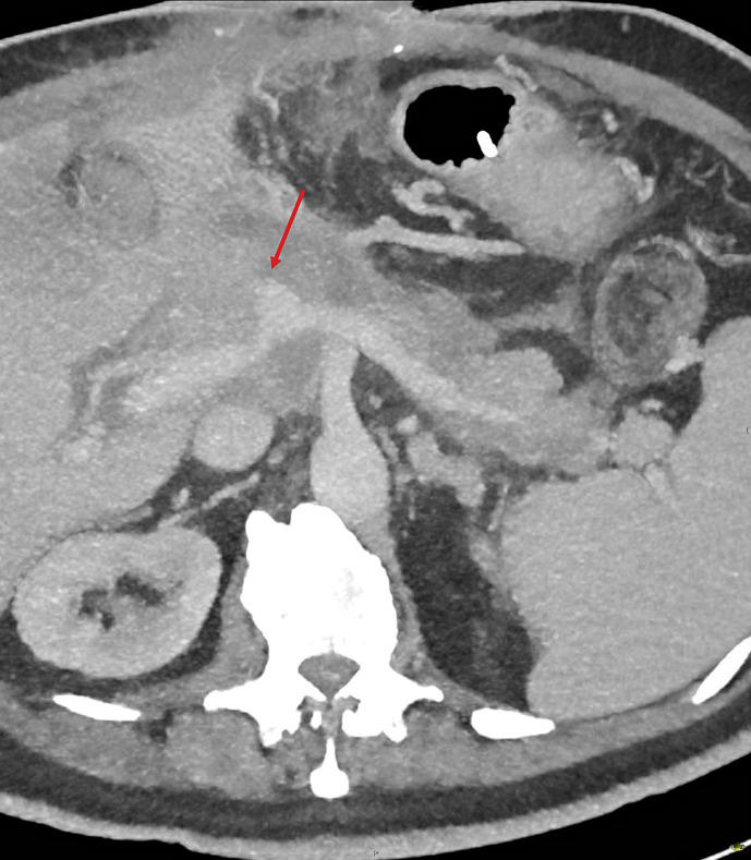
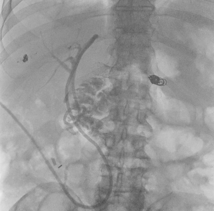
简介:门静脉假性动脉瘤是胰十二指肠切除术后一种罕见但可能危及生命的并发症。我们在此报告这一严重并发症的成功微创治疗:一位 68 岁的男性患者曾在另一家医院接受胰十二指肠切除术和门静脉楔形切除术,因持续胆汁渗漏和间歇性出血来到我科就诊。腹部计算机断层扫描显示,胰空肠造口周围有大量积液,肝总动脉闭塞,门静脉假性动脉瘤。治疗采用了微创方法,包括放置血管内门静脉支架和通过开裂的肝空肠造口进行经皮经肝胆道引流(PTBD)。随后在胰周积液处放置经皮胰尾,以充分引流。放置支架后,抗生素的使用时间共计 6 周。在随后的几周内,PTBD 可以被内化,辫子也可以被移除,之后患者就可以出院了。在门诊就诊时,通过 PTBD 注射造影剂证实没有胆汁渗漏,之后引流管即可拔除:本文介绍了为数不多的已发表的胰十二指肠切除术后门静脉假性动脉瘤病例,并强调了微创血管内支架和 PTBD 置入术在处理这种罕见且可能致命的并发症中的重要作用。
本文章由计算机程序翻译,如有差异,请以英文原文为准。

Endovascular Management of a Portal Vein Pseudoaneurysm following Pancreatoduodenectomy: A Case Report and Review of Literature.

Endovascular Management of a Portal Vein Pseudoaneurysm following Pancreatoduodenectomy: A Case Report and Review of Literature.

Endovascular Management of a Portal Vein Pseudoaneurysm following Pancreatoduodenectomy: A Case Report and Review of Literature.

Endovascular Management of a Portal Vein Pseudoaneurysm following Pancreatoduodenectomy: A Case Report and Review of Literature.

Introduction: Portal vein pseudoaneurysm is a rare but potential life-threatening complication following pancreatoduodenectomy. We herein report on the successful, minimally invasive treatment of this serious complication.

Case presentation: A 68-year-old male patient who had undergone pancreatoduodenectomy with portal vein wedge resection at another facility presented to our department due to persistent bile leakage and intermittent bleeding. Abdominal computed tomography scanning demonstrated a large fluid collection surrounding the pancreatojejunostomy, with an occlusion of the common hepatic artery as well as a portal vein pseudoaneurysm. Treatment was performed by means of a minimally invasive approach, including endovascular portal vein stent placement and percutaneous transhepatic biliary drainage (PTBD) through the dehiscent hepaticojejunostomy. This was followed by the placement of a percutaneous pigtail in the peripancreatic fluid collection for adequate drainage. Antibiotics were administered for a total duration of 6 weeks following stent placement. In the subsequent weeks, the PTBD could be internalized and the pigtail removed, after which patient was discharged. During outpatient visits, a contrast injection through the PTBD confirmed the absence of bile leakage, after which the drain could be removed.

Conclusion: This article presents one of the few published cases of portal vein pseudoaneurysm following pancreatoduodenectomy and underscores the vital role of minimally invasive endovascular stent and PTBD placement in managing this rare and potentially lethal complication.

求助全文
通过发布文献求助,成功后即可免费获取论文全文。 去求助
来源期刊
Case Reports in Gastroenterology
Case Reports in Gastroenterology Medicine-Gastroenterology
CiteScore
1.10
自引率
0.00%
发文量
99
审稿时长
7 weeks
期刊介绍:
×
引用
GB/T 7714-2015
复制
MLA
复制
APA
复制
导出至
BibTeX EndNote RefMan NoteFirst NoteExpress
×
提示
您的信息不完整,为了账户安全,请先补充。
现在去补充
×
提示
您因"违规操作"
具体请查看互助需知
我知道了
×
提示
确定
请完成安全验证×
copy
已复制链接
快去分享给好友吧!
我知道了
右上角分享
点击右上角分享
0
联系我们:info@booksci.cn Book学术提供免费学术资源搜索服务,方便国内外学者检索中英文文献。致力于提供最便捷和优质的服务体验。 Copyright © 2023 布克学术 All rights reserved.
京ICP备2023020795号-1
ghs 京公网安备 11010802042870号
Book学术文献互助
Book学术文献互助群
群 号:604180095
Book学术官方微信