结肠炎诱发胰瘘伴胰腹水。

IF 0.6 Q4 GASTROENTEROLOGY & HEPATOLOGY
Case Reports in Gastroenterology Pub Date : 2025-01-16 eCollection Date: 2025-01-01 DOI:10.1159/000543007
Evan Winrich, Ethan Steele, Amal Shine, Dipendra Parajuli
{"title":"结肠炎诱发胰瘘伴胰腹水。","authors":"Evan Winrich, Ethan Steele, Amal Shine, Dipendra Parajuli","doi":"10.1159/000543007","DOIUrl":null,"url":null,"abstract":"<p><strong>Introduction: </strong>Although cases of severe pancreatitis causing fistula formation into the colon have been documented, the reverse process of colitis causing a pancreatic fistula remains undocumented.</p><p><strong>Case presentation: </strong>We present the case of a 79-year-old male with severe colitis resulting in perforation and pericolonic abscess formation adjacent to the pancreas, which resulted in an internal pancreatic fistula and pancreatic ascites. After 2 paracenteses, our patient ultimately underwent endoscopic retrograde cholangiopancreatography (ERCP) with sphincterotomy and pancreatic duct stent placement. The patient clinically improved and was ultimately discharged.</p><p><strong>Conclusion: </strong>Follow-up ERCP was performed 2 months after discharge and showed no contrast extravasation, illustrating closure of the previous pancreatic fistula. Ultimately, our case demonstrates that cases of severe colitis may contribute to adjacent pancreatic fistula and ascites formation.</p>","PeriodicalId":9614,"journal":{"name":"Case Reports in Gastroenterology","volume":"19 1","pages":"38-42"},"PeriodicalIF":0.6000,"publicationDate":"2025-01-16","publicationTypes":"Journal Article","fieldsOfStudy":null,"isOpenAccess":false,"openAccessPdf":"https://www.ncbi.nlm.nih.gov/pmc/articles/PMC11737884/pdf/","citationCount":"0","resultStr":"{\"title\":\"Colitis-Induced Pancreatic Fistula with Pancreatic Ascites.\",\"authors\":\"Evan Winrich, Ethan Steele, Amal Shine, Dipendra Parajuli\",\"doi\":\"10.1159/000543007\",\"DOIUrl\":null,\"url\":null,\"abstract\":\"<p><strong>Introduction: </strong>Although cases of severe pancreatitis causing fistula formation into the colon have been documented, the reverse process of colitis causing a pancreatic fistula remains undocumented.</p><p><strong>Case presentation: </strong>We present the case of a 79-year-old male with severe colitis resulting in perforation and pericolonic abscess formation adjacent to the pancreas, which resulted in an internal pancreatic fistula and pancreatic ascites. After 2 paracenteses, our patient ultimately underwent endoscopic retrograde cholangiopancreatography (ERCP) with sphincterotomy and pancreatic duct stent placement. The patient clinically improved and was ultimately discharged.</p><p><strong>Conclusion: </strong>Follow-up ERCP was performed 2 months after discharge and showed no contrast extravasation, illustrating closure of the previous pancreatic fistula. Ultimately, our case demonstrates that cases of severe colitis may contribute to adjacent pancreatic fistula and ascites formation.</p>\",\"PeriodicalId\":9614,\"journal\":{\"name\":\"Case Reports in Gastroenterology\",\"volume\":\"19 1\",\"pages\":\"38-42\"},\"PeriodicalIF\":0.6000,\"publicationDate\":\"2025-01-16\",\"publicationTypes\":\"Journal Article\",\"fieldsOfStudy\":null,\"isOpenAccess\":false,\"openAccessPdf\":\"https://www.ncbi.nlm.nih.gov/pmc/articles/PMC11737884/pdf/\",\"citationCount\":\"0\",\"resultStr\":null,\"platform\":\"Semanticscholar\",\"paperid\":null,\"PeriodicalName\":\"Case Reports in Gastroenterology\",\"FirstCategoryId\":\"1085\",\"ListUrlMain\":\"https://doi.org/10.1159/000543007\",\"RegionNum\":0,\"RegionCategory\":null,\"ArticlePicture\":[],\"TitleCN\":null,\"AbstractTextCN\":null,\"PMCID\":null,\"EPubDate\":\"2025/1/1 0:00:00\",\"PubModel\":\"eCollection\",\"JCR\":\"Q4\",\"JCRName\":\"GASTROENTEROLOGY & HEPATOLOGY\",\"Score\":null,\"Total\":0}","platform":"Semanticscholar","paperid":null,"PeriodicalName":"Case Reports in Gastroenterology","FirstCategoryId":"1085","ListUrlMain":"https://doi.org/10.1159/000543007","RegionNum":0,"RegionCategory":null,"ArticlePicture":[],"TitleCN":null,"AbstractTextCN":null,"PMCID":null,"EPubDate":"2025/1/1 0:00:00","PubModel":"eCollection","JCR":"Q4","JCRName":"GASTROENTEROLOGY & HEPATOLOGY","Score":null,"Total":0}
引用次数: 0

摘要

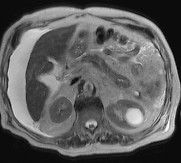
虽然严重胰腺炎导致结肠内瘘管形成的病例已有文献记载,但结肠炎导致胰瘘的相反过程仍未见记载。病例介绍:我们报告一例79岁男性严重结肠炎,导致胰腺附近穿孔和结肠周围脓肿形成,导致内部胰瘘和胰腺腹水。在2次穿刺后,我们的患者最终接受了内镜逆行胆管造影(ERCP)、括约肌切开术和胰管支架置入术。患者临床好转,最终出院。结论:出院后2个月随访ERCP,未见造影剂外渗,提示既往胰瘘闭合。最后,我们的病例表明,严重的结肠炎可能导致邻近的胰瘘和腹水的形成。
本文章由计算机程序翻译,如有差异,请以英文原文为准。

Colitis-Induced Pancreatic Fistula with Pancreatic Ascites.

Colitis-Induced Pancreatic Fistula with Pancreatic Ascites.

Colitis-Induced Pancreatic Fistula with Pancreatic Ascites.

Colitis-Induced Pancreatic Fistula with Pancreatic Ascites.

Introduction: Although cases of severe pancreatitis causing fistula formation into the colon have been documented, the reverse process of colitis causing a pancreatic fistula remains undocumented.

Case presentation: We present the case of a 79-year-old male with severe colitis resulting in perforation and pericolonic abscess formation adjacent to the pancreas, which resulted in an internal pancreatic fistula and pancreatic ascites. After 2 paracenteses, our patient ultimately underwent endoscopic retrograde cholangiopancreatography (ERCP) with sphincterotomy and pancreatic duct stent placement. The patient clinically improved and was ultimately discharged.

Conclusion: Follow-up ERCP was performed 2 months after discharge and showed no contrast extravasation, illustrating closure of the previous pancreatic fistula. Ultimately, our case demonstrates that cases of severe colitis may contribute to adjacent pancreatic fistula and ascites formation.

求助全文
通过发布文献求助,成功后即可免费获取论文全文。 去求助
来源期刊
Case Reports in Gastroenterology
Case Reports in Gastroenterology Medicine-Gastroenterology
CiteScore
1.10
自引率
0.00%
发文量
99
审稿时长
7 weeks
期刊介绍:
×
引用
GB/T 7714-2015
复制
MLA
复制
APA
复制
导出至
BibTeX EndNote RefMan NoteFirst NoteExpress
×
提示
您的信息不完整,为了账户安全,请先补充。
现在去补充
×
提示
您因"违规操作"
具体请查看互助需知
我知道了
×
提示
确定
请完成安全验证×
copy
已复制链接
快去分享给好友吧!
我知道了
右上角分享
点击右上角分享
0
联系我们:info@booksci.cn Book学术提供免费学术资源搜索服务,方便国内外学者检索中英文文献。致力于提供最便捷和优质的服务体验。 Copyright © 2023 布克学术 All rights reserved.
京ICP备2023020795号-1
ghs 京公网安备 11010802042870号
Book学术文献互助
Book学术文献互助群
群 号:604180095
Book学术官方微信