小儿白血病皮肤伴睾丸受累1例报告。

IF 0.8 Q4 DERMATOLOGY
Case Reports in Dermatology Pub Date : 2024-11-20 eCollection Date: 2024-01-01 DOI:10.1159/000542377
Sophie Bailleux, Sandrine Cao, Bita Dezfoulian, Patrick Collins, Joan Somja, Sophie Gatineau, Julie Longton, Arjen F Nikkels
{"title":"小儿白血病皮肤伴睾丸受累1例报告。","authors":"Sophie Bailleux, Sandrine Cao, Bita Dezfoulian, Patrick Collins, Joan Somja, Sophie Gatineau, Julie Longton, Arjen F Nikkels","doi":"10.1159/000542377","DOIUrl":null,"url":null,"abstract":"<p><strong>Introduction: </strong>Aleukemic leukemia cutis (ALC) is a rare condition and concerns less than 10% of leukemia cutis (LC) cases. LC is defined as a cutaneous infiltration of neoplastic myeloid or lymphoid blasts, which occurs in the absence of any prior bone marrow or peripheral blood involvement.</p><p><strong>Case presentation: </strong>A pediatric case of B-cell ALL presenting as ALC is presented because of an exceptional testicular localization.</p><p><strong>Conclusion: </strong>B-cell acute lymphoblastic leukemia presenting as ALC is rarely described in the literature, and this case could be the first of childhood ALC with testicular involvement.</p>","PeriodicalId":9619,"journal":{"name":"Case Reports in Dermatology","volume":"16 1","pages":"248-253"},"PeriodicalIF":0.8000,"publicationDate":"2024-11-20","publicationTypes":"Journal Article","fieldsOfStudy":null,"isOpenAccess":false,"openAccessPdf":"https://www.ncbi.nlm.nih.gov/pmc/articles/PMC11634224/pdf/","citationCount":"0","resultStr":"{\"title\":\"Pediatric Aleukemic Leukemia Cutis with Testicular Involvement: A Case Report.\",\"authors\":\"Sophie Bailleux, Sandrine Cao, Bita Dezfoulian, Patrick Collins, Joan Somja, Sophie Gatineau, Julie Longton, Arjen F Nikkels\",\"doi\":\"10.1159/000542377\",\"DOIUrl\":null,\"url\":null,\"abstract\":\"<p><strong>Introduction: </strong>Aleukemic leukemia cutis (ALC) is a rare condition and concerns less than 10% of leukemia cutis (LC) cases. LC is defined as a cutaneous infiltration of neoplastic myeloid or lymphoid blasts, which occurs in the absence of any prior bone marrow or peripheral blood involvement.</p><p><strong>Case presentation: </strong>A pediatric case of B-cell ALL presenting as ALC is presented because of an exceptional testicular localization.</p><p><strong>Conclusion: </strong>B-cell acute lymphoblastic leukemia presenting as ALC is rarely described in the literature, and this case could be the first of childhood ALC with testicular involvement.</p>\",\"PeriodicalId\":9619,\"journal\":{\"name\":\"Case Reports in Dermatology\",\"volume\":\"16 1\",\"pages\":\"248-253\"},\"PeriodicalIF\":0.8000,\"publicationDate\":\"2024-11-20\",\"publicationTypes\":\"Journal Article\",\"fieldsOfStudy\":null,\"isOpenAccess\":false,\"openAccessPdf\":\"https://www.ncbi.nlm.nih.gov/pmc/articles/PMC11634224/pdf/\",\"citationCount\":\"0\",\"resultStr\":null,\"platform\":\"Semanticscholar\",\"paperid\":null,\"PeriodicalName\":\"Case Reports in Dermatology\",\"FirstCategoryId\":\"1085\",\"ListUrlMain\":\"https://doi.org/10.1159/000542377\",\"RegionNum\":0,\"RegionCategory\":null,\"ArticlePicture\":[],\"TitleCN\":null,\"AbstractTextCN\":null,\"PMCID\":null,\"EPubDate\":\"2024/1/1 0:00:00\",\"PubModel\":\"eCollection\",\"JCR\":\"Q4\",\"JCRName\":\"DERMATOLOGY\",\"Score\":null,\"Total\":0}","platform":"Semanticscholar","paperid":null,"PeriodicalName":"Case Reports in Dermatology","FirstCategoryId":"1085","ListUrlMain":"https://doi.org/10.1159/000542377","RegionNum":0,"RegionCategory":null,"ArticlePicture":[],"TitleCN":null,"AbstractTextCN":null,"PMCID":null,"EPubDate":"2024/1/1 0:00:00","PubModel":"eCollection","JCR":"Q4","JCRName":"DERMATOLOGY","Score":null,"Total":0}
引用次数: 0

摘要

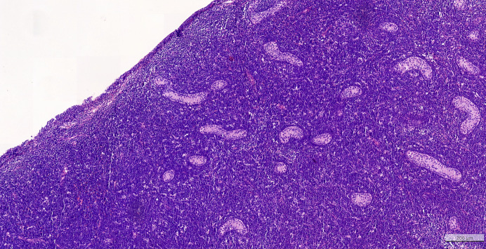
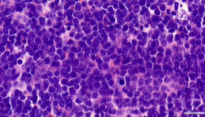
Aleukemic leukemia cutis (ALC)是一种罕见的疾病,仅占白血病(LC)病例的不到10%。LC被定义为肿瘤性髓细胞或淋巴细胞的皮肤浸润,在先前没有任何骨髓或外周血受累的情况下发生。病例介绍:一个儿童b细胞ALL表现为ALC,因为一个特殊的睾丸定位。结论:以ALC表现的b细胞急性淋巴细胞白血病在文献中很少报道,该病例可能是第一例儿童期ALC累及睾丸。
本文章由计算机程序翻译,如有差异,请以英文原文为准。

Pediatric Aleukemic Leukemia Cutis with Testicular Involvement: A Case Report.

Pediatric Aleukemic Leukemia Cutis with Testicular Involvement: A Case Report.

Pediatric Aleukemic Leukemia Cutis with Testicular Involvement: A Case Report.

Pediatric Aleukemic Leukemia Cutis with Testicular Involvement: A Case Report.

Introduction: Aleukemic leukemia cutis (ALC) is a rare condition and concerns less than 10% of leukemia cutis (LC) cases. LC is defined as a cutaneous infiltration of neoplastic myeloid or lymphoid blasts, which occurs in the absence of any prior bone marrow or peripheral blood involvement.

Case presentation: A pediatric case of B-cell ALL presenting as ALC is presented because of an exceptional testicular localization.

Conclusion: B-cell acute lymphoblastic leukemia presenting as ALC is rarely described in the literature, and this case could be the first of childhood ALC with testicular involvement.

求助全文
通过发布文献求助,成功后即可免费获取论文全文。 去求助
来源期刊
CiteScore
1.60
自引率
0.00%
发文量
57
审稿时长
9 weeks
×
引用
GB/T 7714-2015
复制
MLA
复制
APA
复制
导出至
BibTeX EndNote RefMan NoteFirst NoteExpress
×
提示
您的信息不完整,为了账户安全,请先补充。
现在去补充
×
提示
您因"违规操作"
具体请查看互助需知
我知道了
×
提示
确定
请完成安全验证×
copy
已复制链接
快去分享给好友吧!
我知道了
右上角分享
点击右上角分享
0
联系我们:info@booksci.cn Book学术提供免费学术资源搜索服务,方便国内外学者检索中英文文献。致力于提供最便捷和优质的服务体验。 Copyright © 2023 布克学术 All rights reserved.
京ICP备2023020795号-1
ghs 京公网安备 11010802042870号
Book学术文献互助
Book学术文献互助群
群 号:604180095
Book学术官方微信