胃肠道神经外胚层肿瘤/骨骼外尤文氏肉瘤的回肠溃疡性结肠炎。

IF 0.6 Q4 GASTROENTEROLOGY & HEPATOLOGY
Case Reports in Gastroenterology Pub Date : 2024-12-12 eCollection Date: 2024-01-01 DOI:10.1159/000542659
Tianyu She, Stephanie Ren, Seymour Katz
{"title":"胃肠道神经外胚层肿瘤/骨骼外尤文氏肉瘤的回肠溃疡性结肠炎。","authors":"Tianyu She, Stephanie Ren, Seymour Katz","doi":"10.1159/000542659","DOIUrl":null,"url":null,"abstract":"<p><strong>Introduction: </strong>Malignant gastrointestinal neuroectodermal tumor (GNET), previously known as clear cell sarcoma-like tumor of the gastrointestinal tract, is an extremely rare and aggressive mesenchymal neoplasm characterized by high rates of recurrence, metastases, and mortality. Currently, there are no standardized guidelines for therapy.</p><p><strong>Case presentation: </strong>We present a case of GNET in a 32-year-old male with a history of lymphoma and ulcerative colitis (UC), who also had synchronous multiple liver metastasis. To our knowledge, this is the first documented case of GNET in a patient with inflammatory bowel disease.</p><p><strong>Conclusion: </strong>The narrow time frame in which UC and GNET were diagnosed warrants further investigation into their potential relationship.</p>","PeriodicalId":9614,"journal":{"name":"Case Reports in Gastroenterology","volume":"18 1","pages":"449-453"},"PeriodicalIF":0.6000,"publicationDate":"2024-12-12","publicationTypes":"Journal Article","fieldsOfStudy":null,"isOpenAccess":false,"openAccessPdf":"https://www.ncbi.nlm.nih.gov/pmc/articles/PMC11637492/pdf/","citationCount":"0","resultStr":"{\"title\":\"Gastrointestinal Neuroectodermal Tumor/Extraskeletal Ewing Sarcoma of the Ileum with Ulcerative Colitis.\",\"authors\":\"Tianyu She, Stephanie Ren, Seymour Katz\",\"doi\":\"10.1159/000542659\",\"DOIUrl\":null,\"url\":null,\"abstract\":\"<p><strong>Introduction: </strong>Malignant gastrointestinal neuroectodermal tumor (GNET), previously known as clear cell sarcoma-like tumor of the gastrointestinal tract, is an extremely rare and aggressive mesenchymal neoplasm characterized by high rates of recurrence, metastases, and mortality. Currently, there are no standardized guidelines for therapy.</p><p><strong>Case presentation: </strong>We present a case of GNET in a 32-year-old male with a history of lymphoma and ulcerative colitis (UC), who also had synchronous multiple liver metastasis. To our knowledge, this is the first documented case of GNET in a patient with inflammatory bowel disease.</p><p><strong>Conclusion: </strong>The narrow time frame in which UC and GNET were diagnosed warrants further investigation into their potential relationship.</p>\",\"PeriodicalId\":9614,\"journal\":{\"name\":\"Case Reports in Gastroenterology\",\"volume\":\"18 1\",\"pages\":\"449-453\"},\"PeriodicalIF\":0.6000,\"publicationDate\":\"2024-12-12\",\"publicationTypes\":\"Journal Article\",\"fieldsOfStudy\":null,\"isOpenAccess\":false,\"openAccessPdf\":\"https://www.ncbi.nlm.nih.gov/pmc/articles/PMC11637492/pdf/\",\"citationCount\":\"0\",\"resultStr\":null,\"platform\":\"Semanticscholar\",\"paperid\":null,\"PeriodicalName\":\"Case Reports in Gastroenterology\",\"FirstCategoryId\":\"1085\",\"ListUrlMain\":\"https://doi.org/10.1159/000542659\",\"RegionNum\":0,\"RegionCategory\":null,\"ArticlePicture\":[],\"TitleCN\":null,\"AbstractTextCN\":null,\"PMCID\":null,\"EPubDate\":\"2024/1/1 0:00:00\",\"PubModel\":\"eCollection\",\"JCR\":\"Q4\",\"JCRName\":\"GASTROENTEROLOGY & HEPATOLOGY\",\"Score\":null,\"Total\":0}","platform":"Semanticscholar","paperid":null,"PeriodicalName":"Case Reports in Gastroenterology","FirstCategoryId":"1085","ListUrlMain":"https://doi.org/10.1159/000542659","RegionNum":0,"RegionCategory":null,"ArticlePicture":[],"TitleCN":null,"AbstractTextCN":null,"PMCID":null,"EPubDate":"2024/1/1 0:00:00","PubModel":"eCollection","JCR":"Q4","JCRName":"GASTROENTEROLOGY & HEPATOLOGY","Score":null,"Total":0}
引用次数: 0

摘要

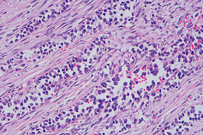
恶性胃肠道神经外胚层肿瘤(GNET),以前被称为胃肠道透明细胞肉瘤样肿瘤,是一种极其罕见的侵袭性间质肿瘤,具有高复发、转移和死亡率的特点。目前,还没有标准化的治疗指南。病例介绍:我们报告了一个32岁男性的GNET病例,他有淋巴瘤和溃疡性结肠炎(UC)的病史,同时也有多发肝转移。据我们所知,这是第一例记录在案的炎症性肠病患者的GNET病例。结论:UC和GNET的诊断时间较短,值得进一步研究它们之间的潜在关系。
本文章由计算机程序翻译,如有差异,请以英文原文为准。

Gastrointestinal Neuroectodermal Tumor/Extraskeletal Ewing Sarcoma of the Ileum with Ulcerative Colitis.

Gastrointestinal Neuroectodermal Tumor/Extraskeletal Ewing Sarcoma of the Ileum with Ulcerative Colitis.

Gastrointestinal Neuroectodermal Tumor/Extraskeletal Ewing Sarcoma of the Ileum with Ulcerative Colitis.

Introduction: Malignant gastrointestinal neuroectodermal tumor (GNET), previously known as clear cell sarcoma-like tumor of the gastrointestinal tract, is an extremely rare and aggressive mesenchymal neoplasm characterized by high rates of recurrence, metastases, and mortality. Currently, there are no standardized guidelines for therapy.

Case presentation: We present a case of GNET in a 32-year-old male with a history of lymphoma and ulcerative colitis (UC), who also had synchronous multiple liver metastasis. To our knowledge, this is the first documented case of GNET in a patient with inflammatory bowel disease.

Conclusion: The narrow time frame in which UC and GNET were diagnosed warrants further investigation into their potential relationship.

求助全文
通过发布文献求助,成功后即可免费获取论文全文。 去求助
来源期刊
Case Reports in Gastroenterology
Case Reports in Gastroenterology Medicine-Gastroenterology
CiteScore
1.10
自引率
0.00%
发文量
99
审稿时长
7 weeks
期刊介绍:
×
引用
GB/T 7714-2015
复制
MLA
复制
APA
复制
导出至
BibTeX EndNote RefMan NoteFirst NoteExpress
×
提示
您的信息不完整,为了账户安全,请先补充。
现在去补充
×
提示
您因"违规操作"
具体请查看互助需知
我知道了
×
提示
确定
请完成安全验证×
copy
已复制链接
快去分享给好友吧!
我知道了
右上角分享
点击右上角分享
0
联系我们:info@booksci.cn Book学术提供免费学术资源搜索服务,方便国内外学者检索中英文文献。致力于提供最便捷和优质的服务体验。 Copyright © 2023 布克学术 All rights reserved.
京ICP备2023020795号-1
ghs 京公网安备 11010802042870号
Book学术文献互助
Book学术文献互助群
群 号:604180095
Book学术官方微信