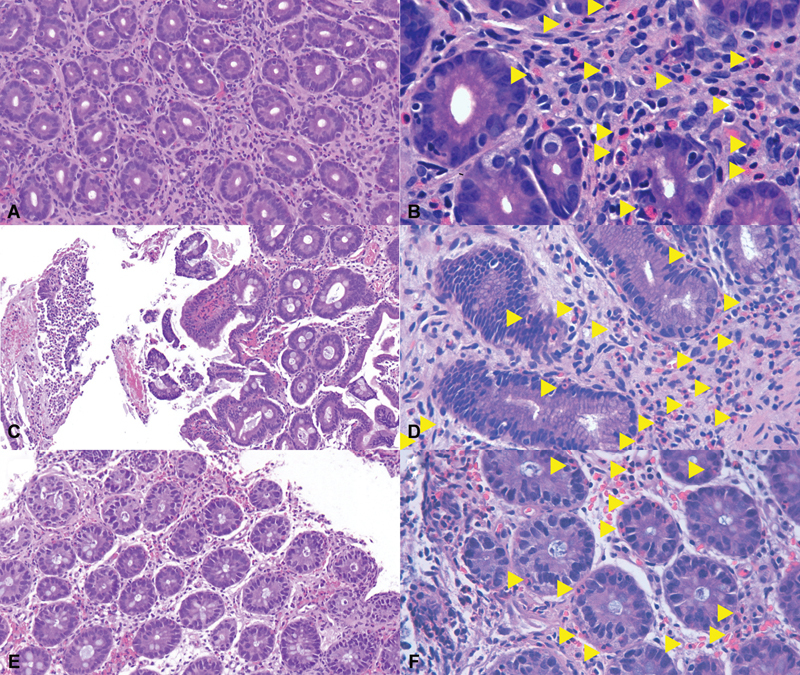
下消化道出血,呕吐和体重停滞在新生儿短暂性嗜酸性胃肠炎表现良好的新生儿。

IF 0.6 Q4 PEDIATRICS
AJP Reports Pub Date : 2025-02-20 eCollection Date: 2025-01-01 DOI:10.1055/a-2531-4618
Bernat Servitje-Verdaguer, Clara Comalrena-de-Sobregrau-Martínez, Carmen-María Sánchez-Molina, Joan-Carles Ferreres-Piñas, Núria Torre-Monmany, Diana García-Tirado
{"title":"下消化道出血,呕吐和体重停滞在新生儿短暂性嗜酸性胃肠炎表现良好的新生儿。","authors":"Bernat Servitje-Verdaguer, Clara Comalrena-de-Sobregrau-Martínez, Carmen-María Sánchez-Molina, Joan-Carles Ferreres-Piñas, Núria Torre-Monmany, Diana García-Tirado","doi":"10.1055/a-2531-4618","DOIUrl":null,"url":null,"abstract":"<p><p>This study presents a novel case of neonatal transient eosinophilic gastroenterocolitis, a proposed new entity causing upper and lower digestive symptoms and extensive gastrointestinal eosinophilic infiltration in newborns without a proven active food allergy. The condition's proposed pathophysiology and relationship to similar conditions, alongside clinical and therapeutic approaches, are also discussed.</p>","PeriodicalId":7645,"journal":{"name":"AJP Reports","volume":"15 1","pages":"e25-e31"},"PeriodicalIF":0.6000,"publicationDate":"2025-02-20","publicationTypes":"Journal Article","fieldsOfStudy":null,"isOpenAccess":false,"openAccessPdf":"https://www.ncbi.nlm.nih.gov/pmc/articles/PMC11842129/pdf/","citationCount":"0","resultStr":"{\"title\":\"Lower Gastrointestinal Bleeding, Vomiting, and Weight Stagnation in a Well-Appearing Neonate with Neonatal Transient Eosinophilic Gastroenterocolitis.\",\"authors\":\"Bernat Servitje-Verdaguer, Clara Comalrena-de-Sobregrau-Martínez, Carmen-María Sánchez-Molina, Joan-Carles Ferreres-Piñas, Núria Torre-Monmany, Diana García-Tirado\",\"doi\":\"10.1055/a-2531-4618\",\"DOIUrl\":null,\"url\":null,\"abstract\":\"<p><p>This study presents a novel case of neonatal transient eosinophilic gastroenterocolitis, a proposed new entity causing upper and lower digestive symptoms and extensive gastrointestinal eosinophilic infiltration in newborns without a proven active food allergy. The condition's proposed pathophysiology and relationship to similar conditions, alongside clinical and therapeutic approaches, are also discussed.</p>\",\"PeriodicalId\":7645,\"journal\":{\"name\":\"AJP Reports\",\"volume\":\"15 1\",\"pages\":\"e25-e31\"},\"PeriodicalIF\":0.6000,\"publicationDate\":\"2025-02-20\",\"publicationTypes\":\"Journal Article\",\"fieldsOfStudy\":null,\"isOpenAccess\":false,\"openAccessPdf\":\"https://www.ncbi.nlm.nih.gov/pmc/articles/PMC11842129/pdf/\",\"citationCount\":\"0\",\"resultStr\":null,\"platform\":\"Semanticscholar\",\"paperid\":null,\"PeriodicalName\":\"AJP Reports\",\"FirstCategoryId\":\"1085\",\"ListUrlMain\":\"https://doi.org/10.1055/a-2531-4618\",\"RegionNum\":0,\"RegionCategory\":null,\"ArticlePicture\":[],\"TitleCN\":null,\"AbstractTextCN\":null,\"PMCID\":null,\"EPubDate\":\"2025/1/1 0:00:00\",\"PubModel\":\"eCollection\",\"JCR\":\"Q4\",\"JCRName\":\"PEDIATRICS\",\"Score\":null,\"Total\":0}","platform":"Semanticscholar","paperid":null,"PeriodicalName":"AJP Reports","FirstCategoryId":"1085","ListUrlMain":"https://doi.org/10.1055/a-2531-4618","RegionNum":0,"RegionCategory":null,"ArticlePicture":[],"TitleCN":null,"AbstractTextCN":null,"PMCID":null,"EPubDate":"2025/1/1 0:00:00","PubModel":"eCollection","JCR":"Q4","JCRName":"PEDIATRICS","Score":null,"Total":0}
引用次数: 0

摘要

本研究报告了一例新生儿短暂性嗜酸性胃肠炎的新病例,这是一种新的实体,可引起新生儿上消化道和下消化道症状和广泛的胃肠道嗜酸性粒细胞浸润,但未证实有活动性食物过敏。该条件提出的病理生理学和关系到类似的条件,以及临床和治疗方法,也进行了讨论。
本文章由计算机程序翻译,如有差异,请以英文原文为准。

Lower Gastrointestinal Bleeding, Vomiting, and Weight Stagnation in a Well-Appearing Neonate with Neonatal Transient Eosinophilic Gastroenterocolitis.

Lower Gastrointestinal Bleeding, Vomiting, and Weight Stagnation in a Well-Appearing Neonate with Neonatal Transient Eosinophilic Gastroenterocolitis.

Lower Gastrointestinal Bleeding, Vomiting, and Weight Stagnation in a Well-Appearing Neonate with Neonatal Transient Eosinophilic Gastroenterocolitis.

Lower Gastrointestinal Bleeding, Vomiting, and Weight Stagnation in a Well-Appearing Neonate with Neonatal Transient Eosinophilic Gastroenterocolitis.

This study presents a novel case of neonatal transient eosinophilic gastroenterocolitis, a proposed new entity causing upper and lower digestive symptoms and extensive gastrointestinal eosinophilic infiltration in newborns without a proven active food allergy. The condition's proposed pathophysiology and relationship to similar conditions, alongside clinical and therapeutic approaches, are also discussed.

求助全文
通过发布文献求助,成功后即可免费获取论文全文。 去求助
来源期刊
AJP Reports
AJP Reports PEDIATRICS-
CiteScore
2.20
自引率
0.00%
发文量
30
审稿时长
12 weeks
×
引用
GB/T 7714-2015
复制
MLA
复制
APA
复制
导出至
BibTeX EndNote RefMan NoteFirst NoteExpress
×
提示
您的信息不完整,为了账户安全,请先补充。
现在去补充
×
提示
您因"违规操作"
具体请查看互助需知
我知道了
×
提示
确定
请完成安全验证×
copy
已复制链接
快去分享给好友吧!
我知道了
右上角分享
点击右上角分享
0
联系我们:info@booksci.cn Book学术提供免费学术资源搜索服务,方便国内外学者检索中英文文献。致力于提供最便捷和优质的服务体验。 Copyright © 2023 布克学术 All rights reserved.
京ICP备2023020795号-1
ghs 京公网安备 11010802042870号
Book学术文献互助
Book学术文献互助群
群 号:604180095
Book学术官方微信