内镜注射肉毒杆菌毒素以防止印第安纳眼袋转移患者的眼袋收缩。

IF 3.5 4区 医学 Q2 UROLOGY & NEPHROLOGY
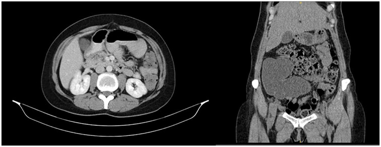
Therapeutic Advances in Urology Pub Date : 2025-02-19 eCollection Date: 2025-01-01 DOI:10.1177/17562872251317930
Emre Albayrak, Naşide Mangir, Hasan Serkan Doğan, Serdar Tekgül
{"title":"内镜注射肉毒杆菌毒素以防止印第安纳眼袋转移患者的眼袋收缩。","authors":"Emre Albayrak, Naşide Mangir, Hasan Serkan Doğan, Serdar Tekgül","doi":"10.1177/17562872251317930","DOIUrl":null,"url":null,"abstract":"<p><p>Continent urinary diversion is the preferred method of bladder substitution for many patients who undergo cystectomy for benign conditions. Additional interventions are often necessitated after a continent diversion to achieve continence. One such procedure is the injection of botulinum toxin into the neobladder. Previous injections into the pouch bladder have been performed percutaneously. Here we present a less invasive endoscopic injection technique where flexible equipment has been used successfully to inject botulinum toxin into the pouch bladder via the pouch stoma. We demonstrate the feasibility of the injection and its efficacy in reducing pouch contractions and the patient's symptoms. A 36-year-old female presented with persistent urinary incontinence symptoms 1 year after Indiana pouch diversion. Despite previous conservative measures and ileocecal valve reinforcement surgery, incontinence persisted. The endoscopic injection, facilitated through the pouch stoma, proved effective in decreasing muscle contractions and alleviating spasm-like sensations without observed side effects. This case shows the feasibility, safety and efficacy of botulinum toxin injection into Indiana pouch endoscopically.</p>","PeriodicalId":23010,"journal":{"name":"Therapeutic Advances in Urology","volume":"17 ","pages":"17562872251317930"},"PeriodicalIF":3.5000,"publicationDate":"2025-02-19","publicationTypes":"Journal Article","fieldsOfStudy":null,"isOpenAccess":false,"openAccessPdf":"https://www.ncbi.nlm.nih.gov/pmc/articles/PMC11837128/pdf/","citationCount":"0","resultStr":"{\"title\":\"Endoscopic injection of botulinum toxin to prevent pouch contractions in a patient with Indiana pouch diversion.\",\"authors\":\"Emre Albayrak, Naşide Mangir, Hasan Serkan Doğan, Serdar Tekgül\",\"doi\":\"10.1177/17562872251317930\",\"DOIUrl\":null,\"url\":null,\"abstract\":\"<p><p>Continent urinary diversion is the preferred method of bladder substitution for many patients who undergo cystectomy for benign conditions. Additional interventions are often necessitated after a continent diversion to achieve continence. One such procedure is the injection of botulinum toxin into the neobladder. Previous injections into the pouch bladder have been performed percutaneously. Here we present a less invasive endoscopic injection technique where flexible equipment has been used successfully to inject botulinum toxin into the pouch bladder via the pouch stoma. We demonstrate the feasibility of the injection and its efficacy in reducing pouch contractions and the patient's symptoms. A 36-year-old female presented with persistent urinary incontinence symptoms 1 year after Indiana pouch diversion. Despite previous conservative measures and ileocecal valve reinforcement surgery, incontinence persisted. The endoscopic injection, facilitated through the pouch stoma, proved effective in decreasing muscle contractions and alleviating spasm-like sensations without observed side effects. This case shows the feasibility, safety and efficacy of botulinum toxin injection into Indiana pouch endoscopically.</p>\",\"PeriodicalId\":23010,\"journal\":{\"name\":\"Therapeutic Advances in Urology\",\"volume\":\"17 \",\"pages\":\"17562872251317930\"},\"PeriodicalIF\":3.5000,\"publicationDate\":\"2025-02-19\",\"publicationTypes\":\"Journal Article\",\"fieldsOfStudy\":null,\"isOpenAccess\":false,\"openAccessPdf\":\"https://www.ncbi.nlm.nih.gov/pmc/articles/PMC11837128/pdf/\",\"citationCount\":\"0\",\"resultStr\":null,\"platform\":\"Semanticscholar\",\"paperid\":null,\"PeriodicalName\":\"Therapeutic Advances in Urology\",\"FirstCategoryId\":\"3\",\"ListUrlMain\":\"https://doi.org/10.1177/17562872251317930\",\"RegionNum\":4,\"RegionCategory\":\"医学\",\"ArticlePicture\":[],\"TitleCN\":null,\"AbstractTextCN\":null,\"PMCID\":null,\"EPubDate\":\"2025/1/1 0:00:00\",\"PubModel\":\"eCollection\",\"JCR\":\"Q2\",\"JCRName\":\"UROLOGY & NEPHROLOGY\",\"Score\":null,\"Total\":0}","platform":"Semanticscholar","paperid":null,"PeriodicalName":"Therapeutic Advances in Urology","FirstCategoryId":"3","ListUrlMain":"https://doi.org/10.1177/17562872251317930","RegionNum":4,"RegionCategory":"医学","ArticlePicture":[],"TitleCN":null,"AbstractTextCN":null,"PMCID":null,"EPubDate":"2025/1/1 0:00:00","PubModel":"eCollection","JCR":"Q2","JCRName":"UROLOGY & NEPHROLOGY","Score":null,"Total":0}
引用次数: 0

摘要

大陆尿转移是膀胱替代的首选方法,许多患者接受膀胱切除术良性条件。在大陆转移后,通常需要额外的干预措施以达到控制。其中一种手术是向新膀胱注射肉毒杆菌毒素。以前的囊膀胱注射都是经皮进行的。在这里,我们提出了一种微创内窥镜注射技术,在这种技术中,柔性设备已经成功地将肉毒杆菌毒素注射到囊袋膀胱中,通过囊袋口。我们证明了注射的可行性及其在减少眼袋收缩和患者症状方面的疗效。一位36岁女性在印第安纳州膀胱转移后1年出现持续性尿失禁症状。尽管先前的保守措施和回盲瓣强化手术,尿失禁仍然存在。内镜下注射,方便通过袋口,证明有效减少肌肉收缩和缓解痉挛样感觉,没有观察到的副作用。本病例证明了在内镜下印第安纳袋内注射肉毒毒素的可行性、安全性和有效性。
本文章由计算机程序翻译,如有差异,请以英文原文为准。

Endoscopic injection of botulinum toxin to prevent pouch contractions in a patient with Indiana pouch diversion.

Endoscopic injection of botulinum toxin to prevent pouch contractions in a patient with Indiana pouch diversion.

Endoscopic injection of botulinum toxin to prevent pouch contractions in a patient with Indiana pouch diversion.

Endoscopic injection of botulinum toxin to prevent pouch contractions in a patient with Indiana pouch diversion.

Continent urinary diversion is the preferred method of bladder substitution for many patients who undergo cystectomy for benign conditions. Additional interventions are often necessitated after a continent diversion to achieve continence. One such procedure is the injection of botulinum toxin into the neobladder. Previous injections into the pouch bladder have been performed percutaneously. Here we present a less invasive endoscopic injection technique where flexible equipment has been used successfully to inject botulinum toxin into the pouch bladder via the pouch stoma. We demonstrate the feasibility of the injection and its efficacy in reducing pouch contractions and the patient's symptoms. A 36-year-old female presented with persistent urinary incontinence symptoms 1 year after Indiana pouch diversion. Despite previous conservative measures and ileocecal valve reinforcement surgery, incontinence persisted. The endoscopic injection, facilitated through the pouch stoma, proved effective in decreasing muscle contractions and alleviating spasm-like sensations without observed side effects. This case shows the feasibility, safety and efficacy of botulinum toxin injection into Indiana pouch endoscopically.

求助全文
通过发布文献求助,成功后即可免费获取论文全文。 去求助
来源期刊
CiteScore
3.70
自引率
0.00%
发文量
39
审稿时长
10 weeks
期刊介绍: Therapeutic Advances in Urology delivers the highest quality peer-reviewed articles, reviews, and scholarly comment on pioneering efforts and innovative studies across all areas of urology. The journal has a strong clinical and pharmacological focus and is aimed at clinicians and researchers in urology, providing a forum in print and online for publishing the highest quality articles in this area. The editors welcome articles of current interest across all areas of urology, including treatment of urological disorders, with a focus on emerging pharmacological therapies.
×
引用
GB/T 7714-2015
复制
MLA
复制
APA
复制
导出至
BibTeX EndNote RefMan NoteFirst NoteExpress
×
提示
您的信息不完整,为了账户安全,请先补充。
现在去补充
×
提示
您因"违规操作"
具体请查看互助需知
我知道了
×
提示
确定
请完成安全验证×
copy
已复制链接
快去分享给好友吧!
我知道了
右上角分享
点击右上角分享
0
联系我们:info@booksci.cn Book学术提供免费学术资源搜索服务,方便国内外学者检索中英文文献。致力于提供最便捷和优质的服务体验。 Copyright © 2023 布克学术 All rights reserved.
京ICP备2023020795号-1
ghs 京公网安备 11010802042870号
Book学术文献互助
Book学术文献互助群
群 号:604180095
Book学术官方微信