肾移植后45年发生的移植后淋巴细胞增生性疾病1例报告。

IF 1.1 4区 医学 Q3 MEDICINE, GENERAL & INTERNAL
Internal Medicine Pub Date : 2025-08-15 Epub Date: 2025-02-18 DOI:10.2169/internalmedicine.4828-24
Nobuaki Nishima, Yoshifumi Hamasaki, Giyoung Kwoun, Yosuke Hirakawa, Akira Chiba, Yuki Horiguchi, Kensuke Fukuda, Masaomi Nangaku
{"title":"肾移植后45年发生的移植后淋巴细胞增生性疾病1例报告。","authors":"Nobuaki Nishima, Yoshifumi Hamasaki, Giyoung Kwoun, Yosuke Hirakawa, Akira Chiba, Yuki Horiguchi, Kensuke Fukuda, Masaomi Nangaku","doi":"10.2169/internalmedicine.4828-24","DOIUrl":null,"url":null,"abstract":"<p><p>Post-transplant lymphoproliferative disorder (PTLD) affects from 0.8-2.5% of kidney transplant patients, with peaks in incidence within 1 year and 10-14 years post-transplant. Very late-onset PTLD (VL-PTLD) can occur over 10 years post-transplant, reportedly up to 30 years, but its characteristics remain unclear. A 61-year-old man developed PTLD 45 years after kidney transplant, presenting with fever and shortness of breath. Computed tomography revealed lung and liver masses and biopsy-confirmed stage IVB monomorphic PTLD. Despite obtaining an initial improvement, the patient died on day 66. VL-PTLD may differ from early- or late-onset PTLD, thus necessitating further research on both the associated risks and management.</p>","PeriodicalId":13719,"journal":{"name":"Internal Medicine","volume":" ","pages":"2466-2471"},"PeriodicalIF":1.1000,"publicationDate":"2025-08-15","publicationTypes":"Journal Article","fieldsOfStudy":null,"isOpenAccess":false,"openAccessPdf":"https://www.ncbi.nlm.nih.gov/pmc/articles/PMC12425584/pdf/","citationCount":"0","resultStr":"{\"title\":\"Post-Transplant Lymphoproliferative Disorder Which Developed 45 Years After Kidney Transplantation.\",\"authors\":\"Nobuaki Nishima, Yoshifumi Hamasaki, Giyoung Kwoun, Yosuke Hirakawa, Akira Chiba, Yuki Horiguchi, Kensuke Fukuda, Masaomi Nangaku\",\"doi\":\"10.2169/internalmedicine.4828-24\",\"DOIUrl\":null,\"url\":null,\"abstract\":\"<p><p>Post-transplant lymphoproliferative disorder (PTLD) affects from 0.8-2.5% of kidney transplant patients, with peaks in incidence within 1 year and 10-14 years post-transplant. Very late-onset PTLD (VL-PTLD) can occur over 10 years post-transplant, reportedly up to 30 years, but its characteristics remain unclear. A 61-year-old man developed PTLD 45 years after kidney transplant, presenting with fever and shortness of breath. Computed tomography revealed lung and liver masses and biopsy-confirmed stage IVB monomorphic PTLD. Despite obtaining an initial improvement, the patient died on day 66. VL-PTLD may differ from early- or late-onset PTLD, thus necessitating further research on both the associated risks and management.</p>\",\"PeriodicalId\":13719,\"journal\":{\"name\":\"Internal Medicine\",\"volume\":\" \",\"pages\":\"2466-2471\"},\"PeriodicalIF\":1.1000,\"publicationDate\":\"2025-08-15\",\"publicationTypes\":\"Journal Article\",\"fieldsOfStudy\":null,\"isOpenAccess\":false,\"openAccessPdf\":\"https://www.ncbi.nlm.nih.gov/pmc/articles/PMC12425584/pdf/\",\"citationCount\":\"0\",\"resultStr\":null,\"platform\":\"Semanticscholar\",\"paperid\":null,\"PeriodicalName\":\"Internal Medicine\",\"FirstCategoryId\":\"3\",\"ListUrlMain\":\"https://doi.org/10.2169/internalmedicine.4828-24\",\"RegionNum\":4,\"RegionCategory\":\"医学\",\"ArticlePicture\":[],\"TitleCN\":null,\"AbstractTextCN\":null,\"PMCID\":null,\"EPubDate\":\"2025/2/18 0:00:00\",\"PubModel\":\"Epub\",\"JCR\":\"Q3\",\"JCRName\":\"MEDICINE, GENERAL & INTERNAL\",\"Score\":null,\"Total\":0}","platform":"Semanticscholar","paperid":null,"PeriodicalName":"Internal Medicine","FirstCategoryId":"3","ListUrlMain":"https://doi.org/10.2169/internalmedicine.4828-24","RegionNum":4,"RegionCategory":"医学","ArticlePicture":[],"TitleCN":null,"AbstractTextCN":null,"PMCID":null,"EPubDate":"2025/2/18 0:00:00","PubModel":"Epub","JCR":"Q3","JCRName":"MEDICINE, GENERAL & INTERNAL","Score":null,"Total":0}
引用次数: 0

摘要

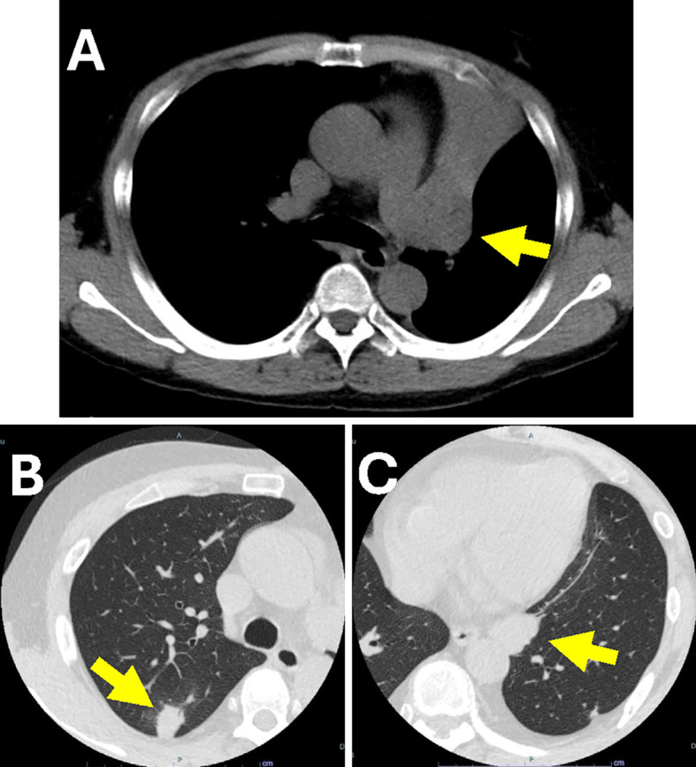
移植后淋巴细胞增生性疾病(PTLD)影响0.8-2.5%的肾移植患者,发病率在移植后1年和10-14年达到高峰。非常晚发性PTLD (VL-PTLD)可在移植后10年以上发生,据报道可达30年,但其特征尚不清楚。61岁男性,肾移植45年后出现PTLD,表现为发热、呼吸急促。计算机断层扫描显示肺和肝脏肿块,活检证实为IVB期单纯性PTLD。尽管获得了初步改善,但患者于第66天死亡。VL-PTLD可能不同于早发性或晚发性PTLD,因此需要进一步研究相关风险和管理。
本文章由计算机程序翻译,如有差异,请以英文原文为准。

Post-Transplant Lymphoproliferative Disorder Which Developed 45 Years After Kidney Transplantation.

Post-Transplant Lymphoproliferative Disorder Which Developed 45 Years After Kidney Transplantation.

Post-Transplant Lymphoproliferative Disorder Which Developed 45 Years After Kidney Transplantation.

Post-Transplant Lymphoproliferative Disorder Which Developed 45 Years After Kidney Transplantation.

Post-transplant lymphoproliferative disorder (PTLD) affects from 0.8-2.5% of kidney transplant patients, with peaks in incidence within 1 year and 10-14 years post-transplant. Very late-onset PTLD (VL-PTLD) can occur over 10 years post-transplant, reportedly up to 30 years, but its characteristics remain unclear. A 61-year-old man developed PTLD 45 years after kidney transplant, presenting with fever and shortness of breath. Computed tomography revealed lung and liver masses and biopsy-confirmed stage IVB monomorphic PTLD. Despite obtaining an initial improvement, the patient died on day 66. VL-PTLD may differ from early- or late-onset PTLD, thus necessitating further research on both the associated risks and management.

求助全文
通过发布文献求助,成功后即可免费获取论文全文。 去求助
来源期刊
Internal Medicine
Internal Medicine 医学-医学:内科
CiteScore
1.90
自引率
8.30%
发文量
0
审稿时长
2.2 months
期刊介绍: Internal Medicine is an open-access online only journal published monthly by the Japanese Society of Internal Medicine. Articles must be prepared in accordance with "The Uniform Requirements for Manuscripts Submitted to Biomedical Journals (see Annals of Internal Medicine 108: 258-265, 1988), must be contributed solely to the Internal Medicine, and become the property of the Japanese Society of Internal Medicine. Statements contained therein are the responsibility of the author(s). The Society reserves copyright and renewal on all published material and such material may not be reproduced in any form without the written permission of the Society.
×
引用
GB/T 7714-2015
复制
MLA
复制
APA
复制
导出至
BibTeX EndNote RefMan NoteFirst NoteExpress
×
提示
您的信息不完整,为了账户安全,请先补充。
现在去补充
×
提示
您因"违规操作"
具体请查看互助需知
我知道了
×
提示
确定
请完成安全验证×
copy
已复制链接
快去分享给好友吧!
我知道了
右上角分享
点击右上角分享
0
联系我们:info@booksci.cn Book学术提供免费学术资源搜索服务,方便国内外学者检索中英文文献。致力于提供最便捷和优质的服务体验。 Copyright © 2023 布克学术 All rights reserved.
京ICP备2023020795号-1
ghs 京公网安备 11010802042870号
Book学术文献互助
Book学术文献互助群
群 号:604180095
Book学术官方微信