一名陶瓷工人被诊断患有Sjögren综合症。

IF 1.6 4区 医学 Q3 ENVIRONMENTAL SCIENCES
Industrial Health Pub Date : 2025-07-20 Epub Date: 2025-02-19 DOI:10.2486/indhealth.2024-0175
Asuman Aslan Kara, Gülden Sari, Adem Koyuncu, Zeynep Öztürk, Ceprail Şimşek
{"title":"一名陶瓷工人被诊断患有Sjögren综合症。","authors":"Asuman Aslan Kara, Gülden Sari, Adem Koyuncu, Zeynep Öztürk, Ceprail Şimşek","doi":"10.2486/indhealth.2024-0175","DOIUrl":null,"url":null,"abstract":"<p><p>Silicosis is a fibrotic respiratory disease caused by inhalation of crystalline compounds. In particular, it should be taken into account in all professions where silica is used, such as sandblasting, stone bench manufacturing, ceramics, jewelry and glass production Sjögren's syndrome (SS) is a slowly progressive systemic autoimmune disease characterized by chronic lymphocytic invasion of exocrine glands and extraglandular tissues, accompanied by a series of systemic symptoms. Occupational silica exposure is known to be associated with autoimmune diseases such as systemic sclerosis and systemic lupus erythematosus This manuscript presents a case of Sjögren's syndrome in a ceramic worker.</p>","PeriodicalId":13531,"journal":{"name":"Industrial Health","volume":" ","pages":"408-411"},"PeriodicalIF":1.6000,"publicationDate":"2025-07-20","publicationTypes":"Journal Article","fieldsOfStudy":null,"isOpenAccess":false,"openAccessPdf":"https://www.ncbi.nlm.nih.gov/pmc/articles/PMC12304656/pdf/","citationCount":"0","resultStr":"{\"title\":\"A ceramic worker diagnosed with Sjögren's syndrome.\",\"authors\":\"Asuman Aslan Kara, Gülden Sari, Adem Koyuncu, Zeynep Öztürk, Ceprail Şimşek\",\"doi\":\"10.2486/indhealth.2024-0175\",\"DOIUrl\":null,\"url\":null,\"abstract\":\"<p><p>Silicosis is a fibrotic respiratory disease caused by inhalation of crystalline compounds. In particular, it should be taken into account in all professions where silica is used, such as sandblasting, stone bench manufacturing, ceramics, jewelry and glass production Sjögren's syndrome (SS) is a slowly progressive systemic autoimmune disease characterized by chronic lymphocytic invasion of exocrine glands and extraglandular tissues, accompanied by a series of systemic symptoms. Occupational silica exposure is known to be associated with autoimmune diseases such as systemic sclerosis and systemic lupus erythematosus This manuscript presents a case of Sjögren's syndrome in a ceramic worker.</p>\",\"PeriodicalId\":13531,\"journal\":{\"name\":\"Industrial Health\",\"volume\":\" \",\"pages\":\"408-411\"},\"PeriodicalIF\":1.6000,\"publicationDate\":\"2025-07-20\",\"publicationTypes\":\"Journal Article\",\"fieldsOfStudy\":null,\"isOpenAccess\":false,\"openAccessPdf\":\"https://www.ncbi.nlm.nih.gov/pmc/articles/PMC12304656/pdf/\",\"citationCount\":\"0\",\"resultStr\":null,\"platform\":\"Semanticscholar\",\"paperid\":null,\"PeriodicalName\":\"Industrial Health\",\"FirstCategoryId\":\"3\",\"ListUrlMain\":\"https://doi.org/10.2486/indhealth.2024-0175\",\"RegionNum\":4,\"RegionCategory\":\"医学\",\"ArticlePicture\":[],\"TitleCN\":null,\"AbstractTextCN\":null,\"PMCID\":null,\"EPubDate\":\"2025/2/19 0:00:00\",\"PubModel\":\"Epub\",\"JCR\":\"Q3\",\"JCRName\":\"ENVIRONMENTAL SCIENCES\",\"Score\":null,\"Total\":0}","platform":"Semanticscholar","paperid":null,"PeriodicalName":"Industrial Health","FirstCategoryId":"3","ListUrlMain":"https://doi.org/10.2486/indhealth.2024-0175","RegionNum":4,"RegionCategory":"医学","ArticlePicture":[],"TitleCN":null,"AbstractTextCN":null,"PMCID":null,"EPubDate":"2025/2/19 0:00:00","PubModel":"Epub","JCR":"Q3","JCRName":"ENVIRONMENTAL SCIENCES","Score":null,"Total":0}
引用次数: 0

摘要

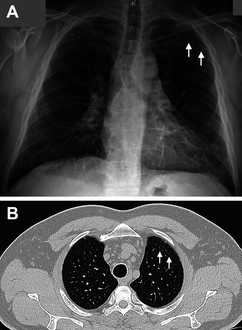
矽肺病是一种因吸入结晶化合物而引起的纤维化呼吸系统疾病。特别是在所有使用二氧化硅的行业中,如喷砂、石凳制造、陶瓷、珠宝和玻璃生产,都应该考虑到这一点。Sjögren综合征(SS)是一种缓慢进展的全身性自身免疫性疾病,其特征是慢性淋巴细胞侵袭外分泌腺和腺外组织,并伴有一系列全身性症状。职业二氧化硅暴露已知与自身免疫性疾病有关,如系统性硬化症和系统性红斑狼疮。本文介绍了一个陶瓷工人Sjögren综合征的病例。
本文章由计算机程序翻译,如有差异,请以英文原文为准。

A ceramic worker diagnosed with Sjögren's syndrome.

A ceramic worker diagnosed with Sjögren's syndrome.

A ceramic worker diagnosed with Sjögren's syndrome.

Silicosis is a fibrotic respiratory disease caused by inhalation of crystalline compounds. In particular, it should be taken into account in all professions where silica is used, such as sandblasting, stone bench manufacturing, ceramics, jewelry and glass production Sjögren's syndrome (SS) is a slowly progressive systemic autoimmune disease characterized by chronic lymphocytic invasion of exocrine glands and extraglandular tissues, accompanied by a series of systemic symptoms. Occupational silica exposure is known to be associated with autoimmune diseases such as systemic sclerosis and systemic lupus erythematosus This manuscript presents a case of Sjögren's syndrome in a ceramic worker.

求助全文
通过发布文献求助,成功后即可免费获取论文全文。 去求助
来源期刊
Industrial Health
Industrial Health 医学-毒理学
CiteScore
3.40
自引率
5.00%
发文量
64
审稿时长
6-12 weeks
期刊介绍: INDUSTRIAL HEALTH covers all aspects of occupational medicine, ergonomics, industrial hygiene, engineering, safety and policy sciences. The journal helps promote solutions for the control and improvement of working conditions, and for the application of valuable research findings to the actual working environment.
×
引用
GB/T 7714-2015
复制
MLA
复制
APA
复制
导出至
BibTeX EndNote RefMan NoteFirst NoteExpress
×
提示
您的信息不完整,为了账户安全,请先补充。
现在去补充
×
提示
您因"违规操作"
具体请查看互助需知
我知道了
×
提示
确定
请完成安全验证×
copy
已复制链接
快去分享给好友吧!
我知道了
右上角分享
点击右上角分享
0
联系我们:info@booksci.cn Book学术提供免费学术资源搜索服务,方便国内外学者检索中英文文献。致力于提供最便捷和优质的服务体验。 Copyright © 2023 布克学术 All rights reserved.
京ICP备2023020795号-1
ghs 京公网安备 11010802042870号
Book学术文献互助
Book学术文献互助群
群 号:604180095
Book学术官方微信