在资源有限的环境下结节性硬化症的诊断和治疗——一名14岁赞比亚女青少年的病例报告。

IF 0.6 Q3 MEDICINE, GENERAL & INTERNAL
Clinical Medicine Insights. Case Reports Pub Date : 2025-02-18 eCollection Date: 2025-01-01 DOI:10.1177/11795476251321268
Mwamba Lienda, Meek Mwila, Chilala Sichula, Chishiba Kabengele, Moses Akombwa, Christina Zulu, Chihena Hansini Banda, Hellen M'hango
{"title":"在资源有限的环境下结节性硬化症的诊断和治疗——一名14岁赞比亚女青少年的病例报告。","authors":"Mwamba Lienda, Meek Mwila, Chilala Sichula, Chishiba Kabengele, Moses Akombwa, Christina Zulu, Chihena Hansini Banda, Hellen M'hango","doi":"10.1177/11795476251321268","DOIUrl":null,"url":null,"abstract":"<p><p>Tuberous sclerosis complex (TSC) is a rare multisystemic neurocutaneous syndrome with a wide spectrum of clinical manifestations. We present a case of a 14-year-old adolescent female who presented with a history of facial angiofibromas since the age of 8 months. Physical examination was remarkable for multiple angiofibromas on the face, and other multiple cutaneous manifestations of TSC. MRI of the head, and abdomen revealed cortical tubers, multiple bilateral periventricular and subependymal nodular lesions, calcifications, and bilateral kidney enlargement with multiple bilateral renal angiomyolipomas of varying sizes in a background of bilateral polycystic kidneys, MRI of the chest was unremarkable. A diagnosis of TSC was made using the clinical diagnostic criteria which consist of major and minor features. A diagnosis using genetic studies could not be made due to a lack of resources. Management was multidisciplinary and regular monitoring every 6 months will be required to monitor disease progression and manage complications as they arise. This case illustrates the multidisciplinary approach needed to address the diverse clinical manifestations of TSC and the diagnostic challenges, treatment limitations, and psychological impact of TSC in low-resource settings like Zambia where access to advanced therapies is limited.</p>","PeriodicalId":10357,"journal":{"name":"Clinical Medicine Insights. Case Reports","volume":"18 ","pages":"11795476251321268"},"PeriodicalIF":0.6000,"publicationDate":"2025-02-18","publicationTypes":"Journal Article","fieldsOfStudy":null,"isOpenAccess":false,"openAccessPdf":"https://www.ncbi.nlm.nih.gov/pmc/articles/PMC11837062/pdf/","citationCount":"0","resultStr":"{\"title\":\"Diagnosis and Management of Tuberous Sclerosis Complex in a Resource-Limited Setting-A Case Report of a 14-Year-Old Female Zambian Adolescent.\",\"authors\":\"Mwamba Lienda, Meek Mwila, Chilala Sichula, Chishiba Kabengele, Moses Akombwa, Christina Zulu, Chihena Hansini Banda, Hellen M'hango\",\"doi\":\"10.1177/11795476251321268\",\"DOIUrl\":null,\"url\":null,\"abstract\":\"<p><p>Tuberous sclerosis complex (TSC) is a rare multisystemic neurocutaneous syndrome with a wide spectrum of clinical manifestations. We present a case of a 14-year-old adolescent female who presented with a history of facial angiofibromas since the age of 8 months. Physical examination was remarkable for multiple angiofibromas on the face, and other multiple cutaneous manifestations of TSC. MRI of the head, and abdomen revealed cortical tubers, multiple bilateral periventricular and subependymal nodular lesions, calcifications, and bilateral kidney enlargement with multiple bilateral renal angiomyolipomas of varying sizes in a background of bilateral polycystic kidneys, MRI of the chest was unremarkable. A diagnosis of TSC was made using the clinical diagnostic criteria which consist of major and minor features. A diagnosis using genetic studies could not be made due to a lack of resources. Management was multidisciplinary and regular monitoring every 6 months will be required to monitor disease progression and manage complications as they arise. This case illustrates the multidisciplinary approach needed to address the diverse clinical manifestations of TSC and the diagnostic challenges, treatment limitations, and psychological impact of TSC in low-resource settings like Zambia where access to advanced therapies is limited.</p>\",\"PeriodicalId\":10357,\"journal\":{\"name\":\"Clinical Medicine Insights. Case Reports\",\"volume\":\"18 \",\"pages\":\"11795476251321268\"},\"PeriodicalIF\":0.6000,\"publicationDate\":\"2025-02-18\",\"publicationTypes\":\"Journal Article\",\"fieldsOfStudy\":null,\"isOpenAccess\":false,\"openAccessPdf\":\"https://www.ncbi.nlm.nih.gov/pmc/articles/PMC11837062/pdf/\",\"citationCount\":\"0\",\"resultStr\":null,\"platform\":\"Semanticscholar\",\"paperid\":null,\"PeriodicalName\":\"Clinical Medicine Insights. Case Reports\",\"FirstCategoryId\":\"1085\",\"ListUrlMain\":\"https://doi.org/10.1177/11795476251321268\",\"RegionNum\":0,\"RegionCategory\":null,\"ArticlePicture\":[],\"TitleCN\":null,\"AbstractTextCN\":null,\"PMCID\":null,\"EPubDate\":\"2025/1/1 0:00:00\",\"PubModel\":\"eCollection\",\"JCR\":\"Q3\",\"JCRName\":\"MEDICINE, GENERAL & INTERNAL\",\"Score\":null,\"Total\":0}","platform":"Semanticscholar","paperid":null,"PeriodicalName":"Clinical Medicine Insights. Case Reports","FirstCategoryId":"1085","ListUrlMain":"https://doi.org/10.1177/11795476251321268","RegionNum":0,"RegionCategory":null,"ArticlePicture":[],"TitleCN":null,"AbstractTextCN":null,"PMCID":null,"EPubDate":"2025/1/1 0:00:00","PubModel":"eCollection","JCR":"Q3","JCRName":"MEDICINE, GENERAL & INTERNAL","Score":null,"Total":0}
引用次数: 0

摘要

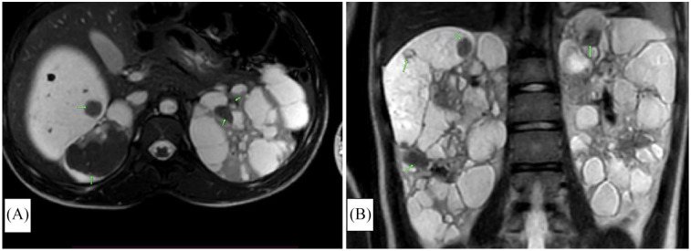
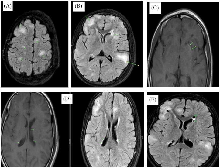
结节性硬化症(TSC)是一种罕见的多系统神经皮肤综合征,具有广泛的临床表现。我们提出一个14岁的青少年女性谁提出了历史的面部血管纤维瘤,因为年龄8个月。查体时发现面部多发血管纤维瘤及其他多发性皮肤表现。头部和腹部MRI显示皮质结节,多发双侧脑室周围和室管膜下结节病变,钙化,双侧肾脏肿大伴多发大小不等的双侧肾脏血管平滑肌脂肪瘤,双侧多囊肾背景,胸部MRI未见明显变化。诊断TSC采用临床诊断标准,其中包括主要和次要特征。由于缺乏资源,无法通过基因研究进行诊断。管理是多学科的,需要每6个月定期监测一次,以监测疾病进展并在出现并发症时进行管理。该病例说明了在资源匮乏的环境中,如赞比亚,需要多学科方法来解决TSC的各种临床表现,以及TSC的诊断挑战、治疗限制和心理影响,因为那里获得先进治疗的机会有限。
本文章由计算机程序翻译,如有差异,请以英文原文为准。

Diagnosis and Management of Tuberous Sclerosis Complex in a Resource-Limited Setting-A Case Report of a 14-Year-Old Female Zambian Adolescent.

Diagnosis and Management of Tuberous Sclerosis Complex in a Resource-Limited Setting-A Case Report of a 14-Year-Old Female Zambian Adolescent.

Diagnosis and Management of Tuberous Sclerosis Complex in a Resource-Limited Setting-A Case Report of a 14-Year-Old Female Zambian Adolescent.

Diagnosis and Management of Tuberous Sclerosis Complex in a Resource-Limited Setting-A Case Report of a 14-Year-Old Female Zambian Adolescent.

Tuberous sclerosis complex (TSC) is a rare multisystemic neurocutaneous syndrome with a wide spectrum of clinical manifestations. We present a case of a 14-year-old adolescent female who presented with a history of facial angiofibromas since the age of 8 months. Physical examination was remarkable for multiple angiofibromas on the face, and other multiple cutaneous manifestations of TSC. MRI of the head, and abdomen revealed cortical tubers, multiple bilateral periventricular and subependymal nodular lesions, calcifications, and bilateral kidney enlargement with multiple bilateral renal angiomyolipomas of varying sizes in a background of bilateral polycystic kidneys, MRI of the chest was unremarkable. A diagnosis of TSC was made using the clinical diagnostic criteria which consist of major and minor features. A diagnosis using genetic studies could not be made due to a lack of resources. Management was multidisciplinary and regular monitoring every 6 months will be required to monitor disease progression and manage complications as they arise. This case illustrates the multidisciplinary approach needed to address the diverse clinical manifestations of TSC and the diagnostic challenges, treatment limitations, and psychological impact of TSC in low-resource settings like Zambia where access to advanced therapies is limited.

求助全文
通过发布文献求助,成功后即可免费获取论文全文。 去求助
来源期刊
Clinical Medicine Insights. Case Reports
Clinical Medicine Insights. Case Reports MEDICINE, GENERAL & INTERNAL-
CiteScore
1.10
自引率
0.00%
发文量
57
审稿时长
8 weeks
×
引用
GB/T 7714-2015
复制
MLA
复制
APA
复制
导出至
BibTeX EndNote RefMan NoteFirst NoteExpress
×
提示
您的信息不完整,为了账户安全,请先补充。
现在去补充
×
提示
您因"违规操作"
具体请查看互助需知
我知道了
×
提示
确定
请完成安全验证×
copy
已复制链接
快去分享给好友吧!
我知道了
右上角分享
点击右上角分享
0
联系我们:info@booksci.cn Book学术提供免费学术资源搜索服务,方便国内外学者检索中英文文献。致力于提供最便捷和优质的服务体验。 Copyright © 2023 布克学术 All rights reserved.
京ICP备2023020795号-1
ghs 京公网安备 11010802042870号
Book学术文献互助
Book学术文献互助群
群 号:604180095
Book学术官方微信